北京首都医科大学天坛医院放射科的Jing Xue等将CT灌注成像(computed tomography perfusion,CTP)的原始图像(CTP source images,CTP-Sis)用于侧枝代偿分级,并检验其与DSA的一致性,结果发表在2019年4月的《Quantitative Imaging in Medicine and Surgery》上。
——摘自文章章节
【Ref: Xue J, et al. Quant Imaging Med Surg. 2019 Apr;9(4):615-624. doi: 10.21037/qims.2019.04.05.】
研究背景
烟雾病(Moyamoya disease,MMD)主要病理学表现是双侧颈内动脉远端及其主要分支的慢性进行性狭窄或闭塞。如果单侧受累,称为单侧MMD。精确评估患者侧枝循环和脑灌注情况,对于诊断、判断预后、确定合适的治疗方法和随访是必不可少的。DSA是常用的评价侧枝代偿的手段,但具有侵入性、耗时和复杂的处理过程。因此,临床上需要一种相对简便和无创的评价侧枝代偿的方法。北京首都医科大学天坛医院放射科的Jing Xue等将CT灌注成像(computed tomography perfusion,CTP)的原始图像(CTP source images,CTP-Sis)用于侧枝代偿分级,并检验其与DSA的一致性,结果发表在2019年4月的《Quantitative Imaging in Medicine and Surgery》上。
研究方法
![]()
图1. CTP动脉期和静脉期的原始图像。A.CTP动脉期原始图像;B.CTP静脉期原始图像;C.CTP动脉期和CTP静脉期的时间--密度曲线(TAC);水平轴表示时间(秒),垂直轴代表密度。采集时间50秒,每秒对应一副图像。所示病例中,扫描开始后12秒时动脉期时间--密度曲线达到峰值,12秒定为动脉期。19秒时静脉期时间--密度曲线达峰值,19秒定为静脉期。
根据阿尔伯塔卒中规划早期CT评分(Alberta Stroke Programme Early CT Score)将大脑半球分为10个解剖区域。采用美国介入和治疗神经放射学会/介入放射学会(American Society of Interventional and Therapeutic Neuroradiology/Society of Interventional Radiology,ASITN/SIR)提出的侧枝代偿0-4级的5级法分级,由两位神经影像学医生通过DSA图像对10个解剖区域的侧枝代偿程度进行评级:0级,缺血区域无侧枝代偿;1级,缺血区域周围有缓慢发展的侧枝代偿,无灌注区;2级,缺血区域周边快速发展的侧枝代偿,无灌注区;3级,缺血区域侧枝代偿发展缓慢,静脉期可见血管显影;4级,侧枝代偿充分,并经逆行灌注至整个缺血区。由另两位神经影像学医生对10个区域CTP-Sis进行分级:0级,动脉期和静脉期缺血区均无增强;1级,缺血区边缘静脉期增强;2级,缺血区边缘动脉期增强,而静脉期有无灌注区;3级,缺血区静脉期完全增强;4级,缺血区动脉期完全增强(图2、3)。
![]()
图2. 侧枝代偿分级;DSA图像与CTP成像中各血供区域的对应关系。
![]()
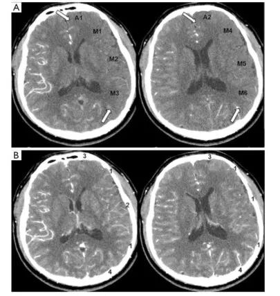
图3. 1例37岁男性患者,单侧烟雾病的CTP-Sis评分。A为动脉期,B为静脉期,箭头所指为低灌注区。
研究结果
24例症状性单侧MMD患者中,男15例,女9例;平均年龄30.7±10.1岁;MMD于左侧17例,右侧7例。CTP与DSA间隔时间为14.7±10.3天。侧枝代偿5级法分级结果,按CTP-Sis分级法:0~4级分别为2、22、18、73、125个和按DSA分级1、17、11、86、125个。CTP-Sis分级低估DSA分级的部分3级区域(表1、图4)。两位DSA读片者结论基本一致,两位CTP读片者结论亦基本一致。
表1. 两种5级法分级结果对比。
![]()
![]()
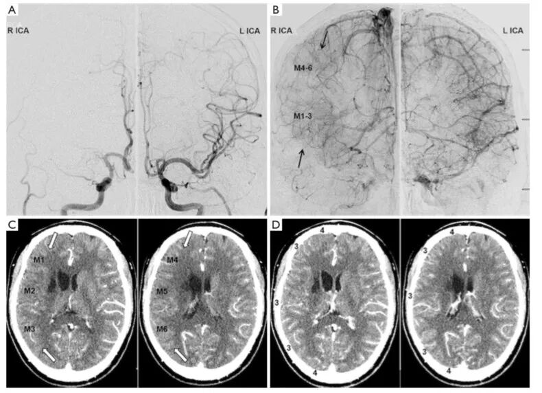
图4. 侧枝代偿两种分级比较。22岁男性单侧烟雾病患者。双侧颈内动脉DSA的动脉期(A)和静脉期(B),显示右侧大脑中动脉延时显影(箭头,M1-6,3级);CTP-Sis分级:动脉期(C)中度强化(M1-6),静脉期(D)完全强化。白色箭头表示低灌注区域。患者侧枝代偿两种分级结果一致。
结论
该研究建立评估侧枝代偿的CTP-Sis分级系统。CTP原始图像可以提供类似DSA的动脉期、实质期和静脉期的图像;根据侧枝循环到达缺血区的速度和程度进行分级,与DSA分级有较高的一致性。由于CTP-Sis分级侧重于软脑膜侧枝代偿,可能因存在皮质下白质病变或梗死,所以对某些DSA分级为3级的区域评分偏低。
总之,CTP-Sis是一种相对简便和无创的快速评价侧枝代偿的方法,能更好地反映患者的脑灌注情况。






