提示
“浙二神外周刊”不定期接收外院投稿,审核后发表。欢迎各专业同道联系我们,分享精彩病例、研究热点或前沿资讯。投稿请联系:shishi74@163.com
前言
浙医二院神经外科真正建立脊柱脊髓亚专科始于2008年,由朱永坚主任负责牵头。经过十余年的发展,取得了较大成绩,尤其在脊柱脊髓微创外科方面颇有特色(显微镜,或联合内镜,单独内镜),脊柱退变性疾病的后路经皮内镜手术在国内有较高声誉。同时,也对严重的颈椎退变疾病,开展经典的颈椎前路和后路手术。在对脊髓进行彻底减压的同时,维护脊柱稳定还是相当重要。本期开始系列报道科室脊柱脊髓亚专业组的相关病例,与同道共享,并希望大家,尤其是骨科脊柱亚专业同道的指导,交流,以期推动我国脊柱神经外科的共同提高。
![]()
病史简介
患者女,76岁,因“双下肢进行性麻木、无力1年”入院。
1年前患者无明显诱因出现持续性双下肢麻木无力感,右下肢较重,无发热、肢体运动障碍等不适,也无两便异常。遂至当地医院就诊,予以保守治疗,症状好转不明显,且进行性加重,伴下肢无力。初可自行行走,后需拄拐杖辅助,10天前患者下肢麻木、无力进一步加重致行走不能,右下肢至足底麻木明显,伴大便排便困难,小便次数增多等。于2019-05-13至外院行MRI检查,提示胸11椎体稍变扁,胸10-12椎旁及椎管内前后硬膜外条片状信号,海绵状血管瘤可能,脊髓受压明显,椎管重度狭窄。颈7,胸1椎体弥漫化及胸8椎体小结节样强化,血管瘤可能。患者为求进一步诊疗来浙江大学医学院附属第二医院就诊,门诊拟“胸椎管内肿瘤”收住入院。
入院查体:患者胸腰椎无明显压痛及叩击痛,脊柱活动度无明显受限。左下肢肌力III级,右下肢肌力II级,上肢肌力V级,腹股沟平面以下浅感觉减退,四肢肌张力正常,双侧巴氏征阳性。
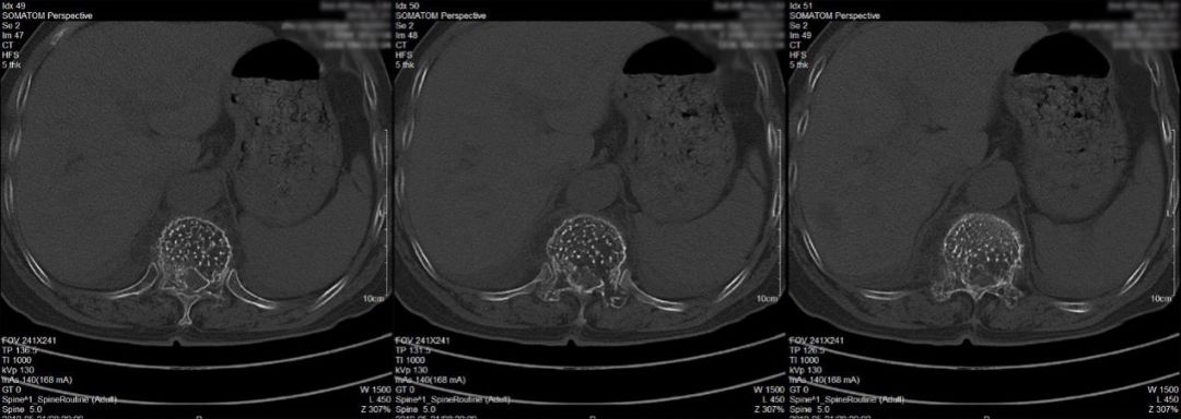
影像学检查:胸椎增强MRI提示胸11椎体及附件骨骨质破坏,呈膨胀性改变,椎体内间栅栏状纵行骨小梁存留(图1);胸椎CT平扫提示病变累及胸11全椎体及附件,表现为蜂窝样骨质改变。胸11椎体及两侧椎弓根、横突骨质密度减低,呈栅栏状改变,椎体向四周膨隆,椎管狭窄,椎旁软组织肿胀。胸12、腰1楔形变(图2)。
![]()
图1.术前胸椎增强MRI检查提示胸11及颈7病变,考虑血管瘤可能,转移性肿瘤待排。胸11病变继发病理性骨折,椎管狭窄,脊髓受压。
![]()
图2.术前胸椎CT平扫见胸11蜂窝样改变,提示血管瘤可能。
诊疗经过
入院后完善检查,科室讨论认为患者临床表现为双下肢进行性麻木、无力,影像学表现考虑诊断为胸11脊椎侵袭性血管瘤,脊髓受压明显,有明确手术指征。对于脊椎侵袭性血管瘤,因肿瘤血供非常丰富,直接手术风险大,一般可考虑血管栓塞后行肿瘤或椎体切除、减压术。因患者年龄较大(76岁),对手术耐受性差,且经济能力有限,经与家属沟通后,决定采取有限干预方式即单纯后路减压、肿瘤部分切除术,策略是以最小的创伤代价达到脊髓减压、挽救脊髓功能的目的,术中风险主要是肿瘤残留所致的出血控制困难,预防措施包含充足的备血、各种止血材料准备以及万不得已时的椎体全切+固定手术。
手术过程:患者俯卧位,以胸11为中心取约10cm直切口,切开皮肤,剥离两侧椎旁肌肉,暴露胸10-11棘突及椎板,见胸11两侧椎板皮质表面虫蚀状血窦出血,以铣刀由相对正常的区域开始快速铣下胸10-11椎板及棘突,见暗红色出血汹涌,以骨蜡封闭骨缘学窦、电凝静脉丛迅速止血,探查显露硬脊膜,肿瘤占位于硬膜右侧及前方,灰红色有较完整包膜,与硬脊膜边界尚清晰,包膜内丰富海绵血窦样结构,边电凝烧灼边分块切除,直至椎体后缘,瘤体血供与椎体血窦相通,以骨蜡填塞及流体明胶止血并清理创面,见硬膜减压充分,局部无明显活动性渗血后,留置皮下负压引流管一根,逐层缝合肌肉及皮肤。手术结束,术中出血300ml左右,未输血。术后手术标本送常规病理。
术后患者下肢无力症状较术前部分缓解,查体双下肢肌力III级(术前右下肢肌力II级),复查MRI(图3)及CT(图4)见胸10-11椎板及棘突切除后改变,胸11椎管内病变大部切除,硬膜囊及脊髓受压明显缓解。术后第6天转康复科进一步治疗,建议根据康复情况择期行放射治疗。
![]()
图3.术后第2天复查胸椎增强MRI,椎板切除,椎管内病灶大部切除,硬膜囊及脊髓受压明显缓解。
![]()
图4.术后第4天复查胸椎CT平扫示胸10-11椎板及棘突切除,术区无明显出血。
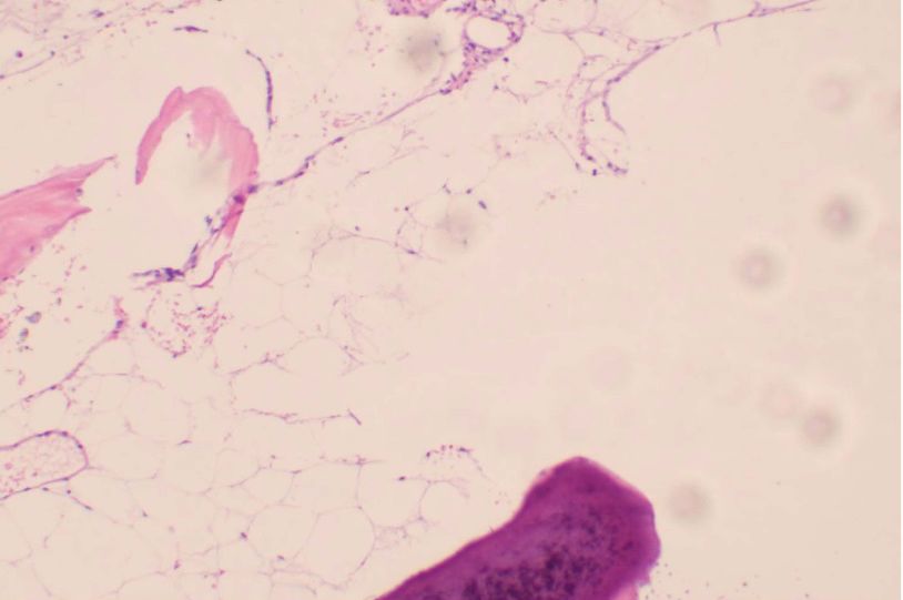
病理结果
病理诊断:(胸11椎体)骨组织内见不规则增生血管,考虑骨血管瘤。
![]()
讨论
脊椎血管瘤是一种良性血管性病变,通常起源于骨髓腔内皮细胞并包绕骨小梁生长[1]。在普通人群中的发病率约10%-12%[2]。组织学上脊椎血管瘤由新生血管构成,并且大多数新生血管都有包括毛细血管、静脉、静脉毛细血管在内的正常结构,但没有动静脉分流的发生,本质上是一类血管错构瘤。根据组织学特点可将脊椎血管瘤分为海绵状血管瘤,毛细血管瘤和混合型血管瘤,海绵状血管瘤常发生在颅骨,而毛细血管瘤常发生于脊椎[2]。脊椎血管瘤根据临床表现可分为三类:大部分脊椎血管瘤都不伴有临床表现,称为无症状性脊椎血管瘤,目前主流观点认为对于这部分无症状的患者,既不需要进行治疗,也不需要随访观察;若脊椎血管瘤仅造成腰背痛等局部症状被称为局部症状性脊椎血管瘤;部分椎体血管瘤伴有骨质膨胀、骨皮质破坏、骨折或血肿,可引起脊髓和神经根压迫症状,称为症状性脊椎血管瘤,约占椎体血管瘤的0.9%至1.2%[1,3]。侵袭性脊椎血管瘤是对这一类生物学特性和影像学特征上表现为侵袭性生长的椎体血管瘤的描述[4,5]。侵袭性脊椎血管瘤病变多见于胸椎,约占80%, 其次是颈椎和腰椎,骶尾椎少见。妊娠晚期子宫压迫造成的血流动力学改变常常会诱发女性患者侵袭性椎体血管瘤临床症状快速进展。
在影像学方面,侵袭性椎体血管瘤在CT上的典型表现包括:1.溶骨性骨质破坏,可见不同程度的骨小梁增粗、密度增高及周围骨质硬化,残留骨小梁交织成栅栏样、网络状或蜂窝状;2.椎体或附件呈轻度膨胀性改变,骨皮质不完整,椎体后缘膨隆,向椎管方向突出;3.软组织肿块向椎旁、椎管内侵袭,周围组织受压或侵犯,压迫脊髓或神经根;4.病理性压缩骨折。而MRI除了可以更好的显示软组织肿块的侵袭特性、范围及脊髓、神经根受压情况外,还也可以通过识别病变中脂肪成分的比例,估计血管瘤的生长特性:通常在T1WI、T2WI上呈高信号的椎体血管瘤脂肪成分较高,血管瘤生长呈静止性;而T1WI低信号,T2WI高信号的椎体血管瘤血管成分较多,血管瘤常呈侵袭性生长,导致脊髓及神经根受压[3,6]。回顾本病例,患者术前胸椎CT影像表现出了上述4点侵袭性椎体血管瘤的特征性改变:1.病变累及胸11全椎体及附件,表现为蜂窝样溶骨性改变;2.椎体向四周膨隆,向后方压迫脊髓,椎管狭窄;3.椎管内及椎旁软组织肿胀,压迫脊髓及神经根;4.胸12、腰1楔形变,压缩性骨折表现。而术前的胸椎增强MRI不仅直观反应出脊髓及神经根的受压情况,还可见病变在T1WI呈低信号,T2WI呈高信号,增强T1WI中病变信号显著增高,提示病变脂肪成分较少,血管成分较多,更易呈侵袭性生长。
在治疗方面由于症状性脊椎侵袭性血管瘤发病率较低,目前尚缺乏相关循证医学证据。但目前普遍观点认为,当脊椎侵袭性血管瘤造成患者疼痛或神经功能损伤时需要进行外科干预。其中对于影像学不能确诊的患者,可以考虑经皮穿刺明确病理诊断;对于症状较轻或者进展缓慢且不伴有椎管压迫症的患者可以尝试进行非手术治疗,如血管栓塞术、椎体成形术或局部放疗;针对症状严重或者进展急剧的患者,可以考虑配合术前血管栓塞进行完整切除或者分块全切;最后对于无法做到完整切除病灶或只能进行减压手术的病例,椎体成形术和辅助放疗可能有助于降低病变复发的风险[1,7,8]。本病例中患者临床表现为双下肢进行性麻木、无力1年,近10天症状显著加重致患者无法行走,根据上述观点应选择配合术前血管栓塞进行椎体完整切除或者分块全切。然而在本病例中,一方面患者年龄较大,手术耐受能力较差,椎体切除会增加患者围手术期并发症的风险;另一方面椎体切除术后康复时间较长,术前辅助血管栓塞费用较高,都会增加患者家庭的经济负担。此外,由患者术前胸椎增强MRI可见,引起患者脊髓及神经根受压的主要因素为椎管内和椎间孔区富含血管成分的软组织肿块,合并有脊椎膨胀性改变造成的骨性膨出。因患者胸11椎体受肿瘤侵犯已导致病理性骨折,手术切除后脊柱稳定性将受进一步影响,建议做一期固定,但与家属沟通后坚持选择最小创伤的干预方案,目标聚焦于减轻患者当前的病痛及挽救功能,拒绝做一期固定。本病例最终选择“椎管内病损切除+减压术”,目标是通过切除胸10-11椎板行后方减压并切除椎管内右侧造成占位压迫的软性肿块,充分减压以挽救脊髓功能。术中证实了椎管内病变质地软,内含较丰富的血窦,硬脊膜受压明显,压迫来源于硬膜右侧及前方。术后患者右下肢肌力较前明显改善,证明脊髓及神经根受压充分缓解。该患者术中出血控制可(约300ml),围手术期未出现相关并发症,住院时间较短,临床表现改善明显,达到了预定的手术初期布标。回顾本病例的诊疗决策,虽然患者的预后还存在不确定性,即后续是否出现进一步的脊柱畸形及疾病本身进展与否尚有待随访观察,我们认为遵循伦理原则、在医患充分沟通基础上,根据患者基本情况、疾病的性质表现、以及家庭条件和家属治疗意愿,做最低程度的外科干预,也常常不失为一种可供选择的方案。
参考文献
[1]Vasudeva, V. S., Chi, J. H., Groff, M. W. Surgical treatment of aggressive vertebral hemangiomas. Neurosurg Focus, 2016, 41: E7.
[2]刘孝萍, 吴春根, 李明华, 李跃华. 脊柱血管瘤的病理、临床及影像学分型与PVP的应用. 中国医学计算机成像杂志, 2011, 17: 565-568.
[3]袁慧书. 脊柱症状性血管瘤的影像诊断. In: 第十四届全国骨关节影像学术会议论文集. 青岛, 2012: 20-21.
[4]杨欢, 高剑波, 梁盼. 脊柱侵袭性血管瘤的CT和MRI影像学特点分析. 中国实用医刊, 2019, 46: 36-39.
[5]杨强, 李建民, 杨志平, 郑燕平, 李昕, 李振峰. 伴脊髓压迫的脊椎侵袭性血管瘤手术方式选择. 中国脊柱脊髓杂志, 2018, 28: 228-233.
[6]万光耀, 段峰, 王文娟, 郝大鹏, 张传玉, 刘吉华, 徐文坚. 伴有侵袭征象的脊柱良性病变的X线、CT与MRI对比研究. 实用放射学杂志, 2017, 33: 595-598.
[7]Wang, B., Han, S. B., Jiang, L., Liu, X. G., Yang, S. M., Meng, N., Wei, F., Liu, Z. J. Intraoperative vertebroplasty during surgical decompression and instrumentation for aggressive vertebral hemangiomas: a retrospective study of 39 patients and review of the literature. Spine J, 2018, 18: 1128-1135.
[8]Thakar, S., Sai Kiran, N. A., Mohan, D., Pushpa, B. T., Hegde, V., Hegde, A. S. Aggressive thoracic vertebral lesion with intraosseous and epidural components. Spine J, 2016, 16: e35-36.
(本文由浙二神外周刊原创,浙江大学医学院附属第二医院神经外科谢之易医师整理,朱永坚主任医师审校,张建民主任终审)




