中国苏州大学第三附属医院神经外科的秦华平等报道1例创伤性脑梗死在去骨瓣减压术后发生硬膜下积液合并脑积水的治疗过程,文章发表在2019年2月的《BMC Surgery》在线。
——摘自文章章节
![]()
【Ref: Wu R, et al. BMC Surg. 2019 Feb 27;19(1):26. doi: 10.1186/s12893-019-0489-5.】
研究背景
创伤性脑梗死(posttraumatic cerebral infarction,PTCI)是颅脑损伤后的罕见并发症,其发生率为1.9%~10.4%。一旦发生,应尽早行去骨瓣减压术(decompressive craniectomy,DC),可降低颅内压,改善患者的临床预后,减少死亡率。DC术后的并发症,有脑皮质疝、硬膜下积液、癫痫和脑积水等,而硬膜下积液同时发生脑积水较少见。中国苏州大学第三附属医院神经外科的秦华平等报道1例创伤性脑梗死在去骨瓣减压术后发生硬膜下积液合并脑积水的治疗过程,文章发表在2019年2月的《BMC Surgery》在线。
研究方法
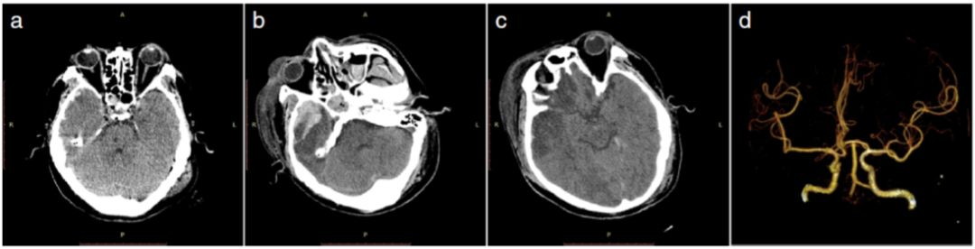
45岁男性患者,因车祸头部受伤。入院后GCS评分8分;头颅CT检查示,右侧额颞部硬膜下血肿合并右侧额颞叶小血肿,占位效应不明显。入院第二天GCS评分12分,头颅CT复查可见右侧颞叶内血肿增大伴额颞叶脑梗死,头颅CTA未发现颅内主要动脉异常改变。入院第三、四天头颅CT扫描发现脑梗死范围扩大,有明显占位效应,GCS评分下降至9分,遂行右侧额颞去骨瓣减压术(图1)。

图1. 创伤后第一、第二天头部CT表现:a.入院时头部CT:右侧额颞部硬膜下血肿合并右侧额颞叶血肿;b.入院第二天脑内血肿增大;c.出现创伤性脑梗死;d.头部CTA。
DC术后第一天头颅CT显示,左侧额颞少量硬膜下积液。右额颞骨窗处脑组织膨出,给予绷带压迫;但左侧额颞硬膜下积液逐渐增大。术后2周,CT扫描示右侧皮下积液、半球间硬膜下积液、左侧额颞硬膜下积液增大和侧脑室扩大。术后第6周病情加重,左侧瞳孔散大;CT复查发现,左侧硬膜下积液进一步变大,有明显压迫效应(图2)。

图2. 去骨瓣减压前、后头部CT表现:a.入院第四天,DC术前头部CT示,右额颞脑梗死;b.DC术后第一天头部CT:左侧额颞少量硬膜下积液;c.DC术后第2周头部CT:出现右侧皮下积液、大脑纵裂硬膜下积液、左侧额颞硬膜下积液扩大和脑室扩大;d.DC术后第6周头部CT显示因左侧额颞硬膜下积液压迫,中线移位。
立即行左额钻孔硬膜下积液引流。引流术后头部CT显示,左侧硬膜下积液显著减少;患者意识较前改善。引流管拔除的第5天,患者意识再次恶化,左侧瞳孔散大;头部CT复查提示,左侧额颞巨大硬膜下积液,遂行左侧硬膜下-腹腔分流术(subdural peritoneal shunt,SPS),硬膜下积液未完全消失(图3)。

图3. 硬膜下积液钻孔引流和硬膜下-腹腔分流术后头部CT表现:a.钻孔引流术后第一天头部CT;b.拔除钻孔引流管时头部CT;c.SPS术前头部CT;d.SPS术后头部CT。
硬膜下-腹腔分流术后20天行右侧颅骨修补术。颅骨修补术后CT见左额颞硬膜下积液未完全解决,脑室系统扩大。在术后75天作脑室腹腔分流术(ventriculoperitoneal shunt,VPS),应用Y型管连接作VPS和SPS。术后3月后,硬膜下积液消失,脑室仍稍扩大(图4)。患者出院时GOS评分3分,转入康复医院继续治疗。

图4. 颅骨修补术和脑室腹腔分流术后头部CT表现:a.颅骨修补术第一天头部CT;b.硬膜下积液未完全吸收,而脑室扩张;c.脑室腹腔分流术后第一天头部CT;d.VPS术3月后头部CT。
研究结果
去骨瓣减压术后出现硬膜下积液合并脑积水是硬膜下积液的一种特殊表现;其发生机制复杂,尚未明确。主要成因可以归结为脑脊液循环障碍。首先应当区分硬膜下积液与硬膜下水囊瘤:硬膜下积液可能与蛛网膜下腔相通,而硬膜下水囊瘤与蛛网膜下腔不相通。有文献指出,在增强CT和MRI图像上,硬膜下水囊瘤可见增强的囊壁。脑池造影术可观察其是否参与脑脊液循环。有人认为,在影像学上额角指数大于0.33时,发生硬膜下积液合并脑积水可能性较大,但此时的硬膜下积液可能是硬膜下水囊瘤。
结论
硬膜下积液合并脑积水防治方法多种,如硬膜修补可以减少去骨瓣术后的脑脊液循环障碍;头部绷带包扎降低脑组织外疝的发生;早期进行颅骨修补术可预防脑脊液动力学的改变,降低脑积水的发生率。作者认为,硬膜下积液的钻孔引流术和硬膜下腹腔分流术只能暂时改善患者的症状,而脑室腹腔分流术可能是治疗硬膜下积液合并脑积水的有效方式。一旦确诊,均应及时行脑室腹腔分流术。






