今天为大家分享的是,由首都医科大学三博脑科医院神经外科二病房主任张明山医生带来的:岩骨及颈静脉孔区肿瘤手术治疗,欢迎阅读、分享!

张明山,主任医师,副教授,硕士研究生导师,神经外科博士,耳鼻咽喉头颈外科博士后,首都医科大学三博脑科医院神经外科二病房主任。中华中青年神经外科交流协会委员,北京医学会神经外科学青年委员会委员,中国医促会颅底外科分会青年委员会委员,中国抗癌协会神经肿瘤专业委员会北京青年委员会副主任委员,北京医学奖励基金会肺癌医学青年专家委员会肺癌脑及脑膜转移MDT 协作组委员,中国临床肿瘤学会恶性黑色素瘤专家委员会委员。
从事神经外科工作15年,其中颅底外科学习及工作14年。专业特长:擅长对听神经瘤、垂体瘤、胶质瘤、脑膜瘤,颅内外沟通肿瘤,颅内转移癌等颅内肿瘤的诊断与治疗。对神经外科重症患者的治疗及并发症的防治也具有丰富的临床经验。每年完成200余例神经外科手术。近几年应用神经外科入路结合耳科入路手术治疗侧颅底肿瘤。同时开展多学科协作综合治疗颅内转移癌。以第一作者发表核心期刊论文15篇,其中SCI收录3篇,参编著作3部。
2019年1-6月共手术治疗岩骨及颈静脉孔区肿瘤15例,根据肿瘤的生长方式个性化选择神经外科入路或耳科入路,现挑选几个典型病例同大家分享。
15例肿瘤中,鞘瘤6例、血管外皮细胞瘤3例、脑膜瘤2例、化感瘤1例、颅骨梭形细胞瘤1例、透明细胞瘤1例、腮腺癌岩骨转移1例。原发11例,复发4例。肿瘤位置:岩骨内7例,颈静脉孔沟通5例,后组颅神经来源3例。手术入路:Fisch颞下窝A型入路2例,迷路下经乳突5例,岩枕入路3例、乙状窦后入路3例、枕下旁正中入路1例,颈部切口1例。切除程度:全切6例,近全切5例,大部切除4例。
颈静脉孔神经鞘瘤的Samii分类
A型:肿瘤主体位于颅内,颈静脉孔肿瘤较少。
B型:肿瘤主体位于颈静脉孔,颅内部分较少。
C型:肿瘤主体位于颅外。
D型:颅内、外部分的肿瘤,呈“哑铃”形。
女,46岁,右颈后部疼痛1个月,查体:(-)。按Samii的分类,属于A型,起源于后组颅神经,有时易与听神经瘤混淆,其特点是肿瘤位置较低,且岩骨骨窗可见内听道对称。该患者乙状窦后入路,术中可见肿瘤起源于后组颅神经,深入颈静脉孔内。

图1. A术前岩骨CT平扫可见双侧内听道对称,未见内听道扩大;B,C,D术前磁共振,可见肿瘤呈囊实性,不均匀强化;E,F术后强化磁共振,示肿瘤全切除。
女,60岁,间断头晕3年,右面颊压痛,无呛咳,无声嘶。按Samii的分类,属于C型,肿瘤生长于颅外颈段的后组颅神经。手术做颈部切口,肿瘤位置较高,邻近颈静脉孔,切口上缘至乳突。术中肿瘤全切除。

图2. A,B,C术前磁共振,见肿瘤位于颈部,腮腺深方,均匀强化;D,E,F术后磁共振,可见肿瘤全切除。
女,61岁,右下肢无力3月,左下肢肌肉萎缩,肌力4级。按Samii的分类,属于D型,此类型颈静脉孔鞘瘤,主要位于颅内CPA及岩骨内,未向颈部生长,且颈静脉孔骨质扩大明显,入口宽阔,颅内肿瘤体积较大,先切除颅内部分肿瘤后,颅内操作空间大,直视效果佳,通过增宽的颈静脉孔入口切除岩骨内的肿瘤。此例采用乙状窦后入路。

图3. A,B,C术前磁共振,见肿瘤位于桥脑小脑角区及颈静脉孔骨质内,囊实性,颅内部分肿瘤体积巨大;D,E,F术后磁共振,可见肿瘤全切除,红色箭头为颈内动脉岩骨段。
女,41岁,2016年3月14日外院行左顶枕开颅脑膜瘤切除术。2017年2月r-刀治疗,2017年11月出现声嘶,呛咳及吞咽困难。2018年1月5日外院再次手术,病理脑膜瘤增生活跃。2018年3月r-刀治疗,近5个月开始出现颈部疼痛。查体:左侧面神经功能2-3级,悬雍垂右偏,咽反射减退,耸肩对称,伸舌左偏。
该患者一开始肿瘤位于小脑幕(图4A,B),复发时肿瘤向岩骨内生长(图4C),第一次手术颞枕开颅,第二次手术原切口向后颅窝延长。再次复发来我院,肿瘤完全位于岩骨内,且范围广泛,手术采用耳科迷路下经乳突入路,新做了一个耳后弧形切口,没有借用前两次手术的切口(图6)。术中磨除乳突残存骨质,肿瘤位于岩骨内,血供丰富,有几个肿瘤结节突入硬膜下,一并予以切除,镜下近全切除肿瘤,术后患者后组颅神经症状暂时加重,鼻饲饮食1周后拔除胃管正常口中进食。面瘫没有加重同术前,无脑脊液漏,术前的头颈部疼痛症状缓解。
迷路下经乳突入路的适合于肿瘤位于岩骨,硬膜外生长,术前存在听力的患者,术中破坏的结构少,内耳及面神经垂直段均要求保留。此病例神经外科常用的乙状窦后入路及远外侧入路均不适合。

图4. A,B第一次术前磁共振,见肿瘤位于小脑幕;C第二次术前磁共振,肿瘤复发向岩骨内生长。

图5. A术前头部CT平扫肿瘤位于左侧岩骨内高密度;B术前岩骨CT见岩骨破坏明显;C术前磁共振T1像,D T2像长T1,长T2,结节状。

图6. A头皮瘢痕处为前两次手术切口,紫色弧形为本次手术切口;B术前颅骨CT重建可见前两次手术骨瓣。

图7. A,B,C,D术前强化磁共振,见肿瘤主体位于岩骨内,部分肿瘤结节突入桥脑小脑角区,强化明显;E,F,G,H术后磁共振,可见肿瘤切除满意,包括硬膜下的肿瘤也予以切除。
女,46岁,2年前在外院行左侧桥小脑角区肿瘤切除术,术后残留肿瘤进行性增大;左侧面神经功能2级,左侧听力丧失,咽反射正常,耸肩有力,伸舌居中,四肢肌力正常。
此患者是颈静脉孔内外沟通的神经鞘瘤,颅内肿瘤结节状,岩骨内肿瘤较多,且有一部分肿瘤生长至颈部。2年前已行乙状窦后入路,但未能全切。本次手术我们未选择乙状窦后入路,原因是岩骨内肿瘤较多,且颈静脉孔入口相对狭小(图8A,B),不利于岩骨内肿瘤的切除,二是颅内部分肿瘤位置靠内,体积不是很大,小脑半球遮挡较多,切除颅内部分肿瘤后,CPA不会向本组病例3那样提供一个很大的操作空间,颈静脉孔内的肿瘤很难切除干净,该患者颈部也有肿瘤(图11B),通过颅内-岩骨这个路径很难将颈部肿瘤切除。我们选择了耳科的岩枕经乙状窦入路,术前评估了静脉系统的代偿情况(图8C)提示右侧横窦及颈内静脉代偿良好。
上次手术切口是后颅窝倒“7”,我们采用原切口并向颈部延长(图9)。取下上次乙状窦后开颅骨瓣,解剖颈部,将颈内静脉解剖出来,磨钻磨除岩骨,显露岩骨内肿瘤,先切除岩骨内部分肿瘤后,结扎并剪断乙状窦,窦前后的硬膜剪开,切除颅内部分肿瘤后空间宽阔,继续切除岩骨内肿瘤,最后结扎剪断颈内静脉,切除颈部肿瘤,肿瘤全切除。术后患者2周鼻饲饮食后拔除胃管,左侧面神经功能3级,无脑脊液漏。此入路的优点是颈部、颅内及岩骨均能显露,迷路下操作,不会对面神经及听力功能产生破坏,小脑牵拉较轻或无需牵拉。

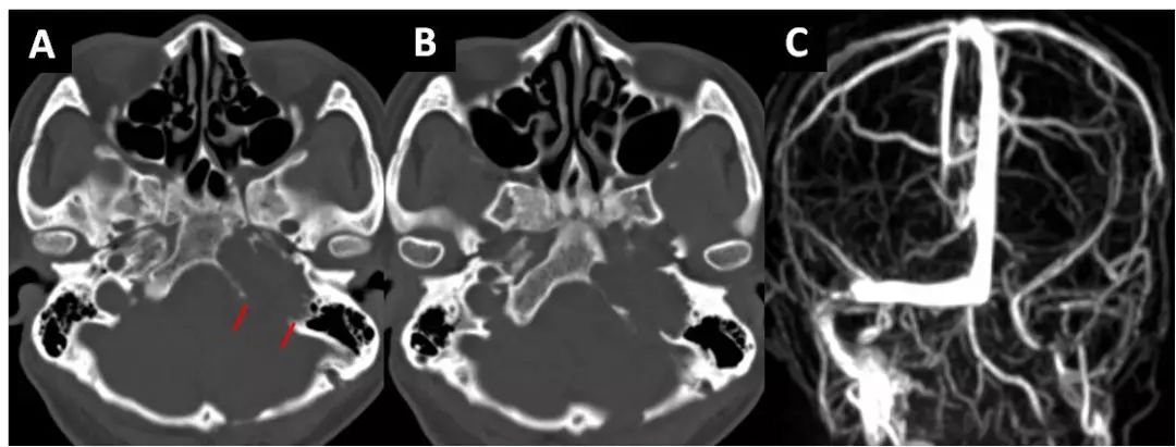
图8. A,B术前岩骨CT可见左侧颈静脉孔扩大,岩骨破坏明显,但是颈静脉孔的入口较狭窄(红色标记);C术前MRV见左侧横窦及颈内静脉闭塞,右侧代偿良好。

图9. A头皮瘢痕处为上次手术切口;B为本次手术切口。

图10. 上方5张图为术前轴位强化磁共振,肿瘤呈多结节状,岩骨内肿瘤也较多;下方5图为手术后强化脂肪抑制像磁共振,肿瘤切除满意。

图11. A,B为术前冠状位磁共振,红圈为延伸至颈部肿瘤;C,D为术后磁共振。




