
引 言:
上颌内动脉(internal maxillary artery),在很多教科书和文献中又称为上颌动脉(maxillary artery),是颈外动脉的终末分支之一。上颌内动脉走行于颅底和颜面部,分支较多,供血范围广泛。我们已经详细描述了上颌内动脉的重要分支脑膜中动脉和脑膜副动脉的解剖。在接下来的笔记中,我们拟分几个篇幅,介绍上颌内动脉主干及其他分支的解剖。
这一部分内容可参阅脑血管解剖笔记“镫骨动脉”(点击“镫骨动脉”即可详细了解)。
颈外动脉和上颌内动脉的胚胎发育可以简单地以以下几步来描述。
(一)原始主动脉弓的形成
胚胎早期,胚胎动脉由腹侧主动脉(ventral aorta)和两条背侧主动脉(dorsal aorta)组成。在这两者之间形成原始主动脉弓。在腹侧主动脉和背侧主动脉之间形成了成对的六条原始主动脉弓(primitive aortice arch),也称咽弓(pharyngeal arch)。
第一主动脉弓发育成原始下颌动脉(primitive mandibular artery),退化后在成人为翼管动脉(Vidian artery);第二主动脉弓发育成舌骨动脉(hyoid artery),在成人中以颈鼓室动脉(caroticotympanic artery)存在。
胚胎早期的原始主动脉弓(Tanoue 2013)。
![]()
(二)颈动脉的发育
腹侧主动脉的近端和第三主动脉弓发育成颈总动脉。腹侧主动脉远端残端称为腹侧咽动脉(ventral pharyngeal artery),最后由它发育成颈外动脉。
颈总动脉和腹侧咽动脉的形成示意图(Tanoue 2013)。
![]()
(三)颈外动脉和上颌内动脉的形成
舌骨动脉发育成镫骨动脉(stapedial artery),镫骨动脉分为下干(又称上颌下颌干)和上干(又称眶上干)。镫骨动脉的上颌下颌干与腹侧咽动脉融合,形成颈外动脉和上颌内动脉。眶上干的背侧支最后形成脑膜中动脉的颅内段。
20mm胚胎期:镫骨动脉分支。上颌下颌干加入颈外动脉,形成从上颌内动脉发出的脑膜中动脉的主干。眶上干形成脑膜中动脉的颅内段,并发出分支进入眼眶,最后融入眼动脉,供应眼球外结构(Dilenge 1980)。
![]()
颈外动脉和上颌内动脉的形成示意图(Tanoue 2013)。
![]()
上颌内动脉是颈外动脉的终末分支之一。它起源于下颌颈水平,于腮腺实质内发出。上颌内动脉在蝶下颌韧带和下颌支之间的间隙向前走行,位于翼外肌的浅面或者深面,向前到达翼腭窝。
上颌内动脉分为三段,分别是第一段(下颌段,mandibular segment),第二段(翼段,pterygoid segment)和第三段(翼腭段,pterygopalatine segment)。
左侧位,显示上颌内动脉的分段,蓝色代表第一段(下颌段),粉色代表第二段(翼段),黄色代表第三段(翼腭段)(Dilenge 1980)。
![]()
第一段和第二段分支在侧位造影上容易辨认,第三段分支在正位造影上容易辨认。
右侧颈外动脉造影,侧位,显示上颌内动脉的三段及分支(Tanoue 2013)。
![]()
右侧颈外动脉造影,正位,显示上颌内动脉的三段及分支(Tanoue 2013)。
![]()
根据上颌内动脉的走行,特别是上颌内动脉的第二段(翼段)与翼外肌的关系,将上颌内动脉的走行分为浅部型(superficial type)和深部型(deep type)。
按照Uysal等(Uysal 2011)的定义,浅部型认为是上颌内动脉走行于翼外肌的外侧(实际上是位于翼外肌下头的外侧,也就是说上颌内动脉向上走行于翼外肌上头的深面),而深部型认为是上颌内动脉走行于翼外肌的内侧。
Uysal等在西方人中发现外侧型占57.1%,而内侧型占42.9%(Uysal 2011)。而Maeda等总结日本人的研究,发现外侧型占92.7%,而内侧型只有7.3%(Maeda 2012)。
Uysal等描述的上颌内动脉与翼外肌的关系示意图(Uysal 2011)。
![]()
Lasjaunias等(Lasjaunias 2001)介绍了一种在脑血管造影上区分浅部型和深部型的方法。在颈外动脉或上颌内动脉造影的正位片上,如果上颌内动脉走行方向的轮廓与脑膜中动脉是相反的,则为浅部型;如果上颌内动脉走行方向的轮廓与脑膜中动脉相同,则为深部型。
上颌内动脉两种不同的走行,正位观(Lasjaunias 2001)。左侧为浅部型,上颌内动脉走行方向的轮廓(虚箭)与脑膜中动脉(实箭)是相反的。右侧为深部型,注意上颌内动脉走行方向的轮廓(虚箭)与脑膜中动脉(实箭)相同。
![]()
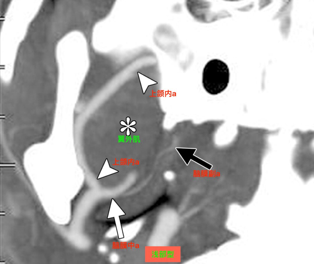
在CTA上,也可以区分浅部型和深部型。
CTA,浅部型,上颌内动脉走行于翼外肌浅面,脑膜中动脉和脑膜副动脉共干发出(Tanoue 2013)。
![]()
CTA,深部型,上颌内动脉走行于翼外肌深面,脑膜中动脉和脑膜副动脉分别发自上颌内动脉(Tanoue 2013)。
![]()
1、颈外动脉和上颌内动脉的形成主要是腹侧咽动脉与镫骨动脉上颌下颌干融合的结果。
2、上颌内动脉分为三段,分别为第一段(下颌段)、第二段(翼段)和第三段(翼腭段)。
3、根据上颌内动脉与翼外肌的关系,分为浅部型和深部型。

Dilenge, D., & Ascherl, G. F., Jr. (1980). Variations of the ophthalmic and middle meningeal arteries: relation to the embryonic stapedial artery. AJNR Am J Neuroradiol, 1(1), 45-54.
Lasjaunias, P., A., B., & ter Brugge, K. G. (2001). Surgical Neuroangiography: Volume 1 Clinical Vascular Anatomy and Variations (2nd ed. Vol. 1): Springer.
Maeda, S., Aizawa, Y., Kumaki, K., & Kageyama, I. (2012). Variations in the course of the maxillary artery in Japanese adults. Anat Sci Int, 87(4), 187-194.
Tanoue, S., Kiyosue, H., Mori, H., Hori, Y., Okahara, M., & Sagara, Y. (2013). Maxillary artery: functional and imaging anatomy for safe and effective transcatheter treatment. Radiographics, 33(7), e209-224.
Uysal, I. I., Buyukmumcu, M., & Seker , M. (2011). Clinical significance of maxillary artery and its branches: a cadaver study and review of the literature. International Journal of Morphology, 29(4), 1274-1281.




