
今日与大家分享的是《正海-妙术视界》第一百五十五期,由大连医科大学附属第二临床学院神经外科主任宋飞教授带来的海绵窦内巨大海绵状血管瘤切除一例,欢迎观看、分享。

宋飞,教授,主任医师,博士,研究生导师,大连医科大学附属第二临床学院神经外科主任。专业方向:脑血管病及神经系统肿瘤的诊断及治疗。美国洛杉矶加州大学(UCLA)医学中心研修,美国斯坦福大学医学中心高级访问学者,中国医师协会神经外科分会颅底专科(学组)全国委员,中国医师协会脑胶质瘤专业委员会第一届专业培训与健康教育专业委员会(学组)全国委员,中国医师协会急诊医师分会神经急诊专业委员会全国委员,辽宁省医学会及大连市医学会神经外科分会委员,辽宁省抗癌协会神经肿瘤分会委员。
33岁女患,因“反复头晕伴右侧眼角麻木2年”为主诉入院;
入院查体:神志清楚,言语流利,步入病房,自主体位,查体合作。右侧额部及眼角感觉减退。双眼裂等大,无眼睑下垂,无眼震。双瞳孔等大正圆,直径约2.5mm,对光反射灵敏。双侧眼球无突出,向各方向运动正常。结膜、巩膜无充血水肿,无视物重影,口角不偏,伸舌居中。双下肢无浮肿,四肢肌力V级,肌张力正常,双巴氏征阴性。
辅助检查:
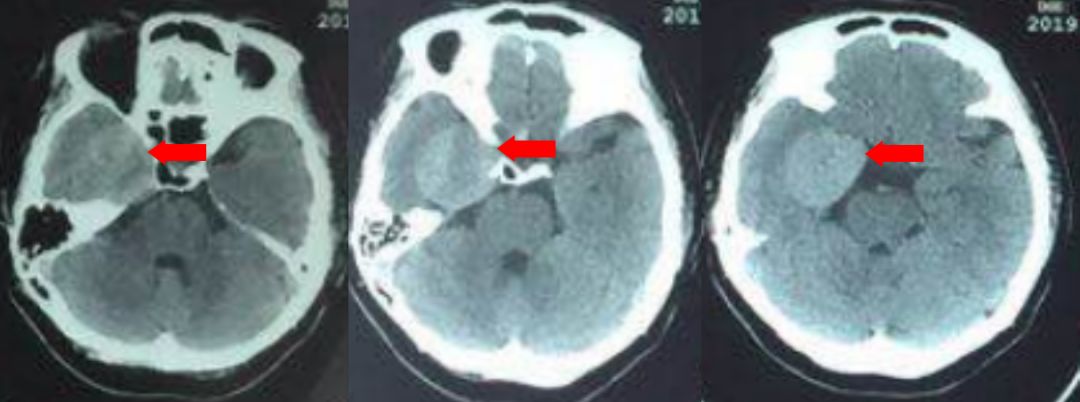
头CT:右侧海绵窦区可见类圆形高密度影,密度均匀,边缘较清晰,与正常组织界限清楚,考虑颅脑肿瘤可能性大。

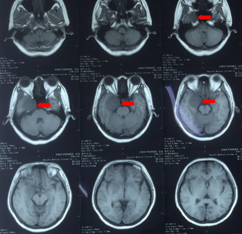
颅脑核磁平扫加增强:右侧海绵窦区可见类圆形长T1长T2信号,增强可见均匀强化,大小约36x41x35mm,病灶边缘清晰,无含铁血黄素带,周边脑组织无明显水肿表现,右颈内动脉海绵窦段部分包绕。

颅脑核磁T1W1成像

颅脑核磁T2W1成像

颅脑核磁增强扫描
根据影像学特点,诊断为海绵窦内巨大海绵状血管瘤可能性大。

患者为年轻女性,手术区域剃头备皮,头皮其余区域保留头发;采用改良翼点入路,常规开颅。

分离侧裂达中颅窝底,见海绵窦区巨大肿物,位于硬膜外海绵窦内,质韧,界清,包膜张力较高。

肿瘤主体在右侧海绵窦内,海绵窦外侧壁、上壁、后壁硬脑膜膨胀、变薄。
对于海绵窦内的海绵状血管瘤的切除,因其血供丰富,常整块切除。此例患者,经游离肿瘤四周,反复电灼肿瘤包膜,预使肿瘤体积缩小,但肿瘤体积巨大,无法整块切除。

术中决定分块切除。充分做好止血准备,反复灼烧、准备大量明胶卷以及液体明胶。

充分的电灼、止血,切除部分肿瘤以缩小其体积,扩大操作空间。

严格控制出血,应用明胶海绵填塞压迫和液体明胶交替使用以达到止血目的。

电灼肿瘤上壁及后壁交界处硬脑膜,锐性分离,彻底切除肿瘤包膜。

明胶海绵及棉条压迫控制出血。

止血纱及人工硬膜覆盖,术毕。

术后复查头CT,颅内未见出血,中线居中,环池清楚。

术后复查的核磁,右侧海绵窦内海绵状血管瘤全部切除,未见残留征象。
![]()
术后无眼睑下垂,眼球向各方向运动正常,双侧瞳孔等大光敏。
![]()
手术切口愈合良好
![]()
术后病理示:海绵状血管瘤
1.海绵窦内海绵状血管瘤大多起病隐匿、进展缓慢,临床发现时肿瘤体积已较大。需要与该部位其他良性肿瘤鉴别,如神经鞘瘤、脑膜瘤及垂体瘤等相鉴别;
2.额颞入路是治疗该病的常用手法,如肿瘤局限于海绵窦内,可采用改良翼点开颅或额颞联合耳前颞下入路手术,肿瘤从海绵窦生长至鞍内、鞍上或颅中窝,则可加行眶、颧弓切断。
3.海绵窦内海绵状血管瘤其实质为扩张的静脉窦样结构,术中出血量常较大,为避免大量出血,常整块切除。在此手术过程中,经游离肿瘤四周,反复电灼肿瘤包膜,预使肿瘤体积缩小,但肿瘤体积巨大,无法整块切除。我们经过充分的灼烧、应用明胶卷以及液体明胶交替止血,成功完成了肿瘤的分块切除,手术全程出血量仅约400ml。
4. 此部位肿瘤常包裹颈内动脉海绵窦段、动眼神经、外展神经等重要结构,手术难度较大,致残率及致死率高。控制出血和保护颈内动脉及重要神经是贯穿整个手术的核心;
5.术中注意事项:
①沿肿瘤外周逐步小心电灼,避免贸然突破肿瘤包膜进入瘤内,这会导致难以控制的致命大出血;
②首先分离肿瘤后内侧或前内侧间隙,找到肿瘤的供血动脉,大多为脑膜垂体干,电凝后切断,可显著减少肿瘤的张力和出血。
③肿瘤包绕颈内动脉海绵窦段时,要格外注意保护该血管,避免热损伤和暴露牵引损伤;必要时在该血管周围可适当残留少部分肿瘤,以避免灾难性后果。
④小心游离和保护位于肿瘤表面的第III、IV和V对脑神经,然后充分电灼肿瘤,使肿瘤体积缩小,完整切除肿瘤;如果肿瘤体积巨大,不得已分块切除,则要严密控制出血量及出血速度,必要时给予全身降压。
⑤动眼神经通常位于肿瘤上壁,尽量避免热灼损伤。
⑥视神经及颈内动脉床突上段通常位于肿瘤上壁内侧,且伴有不同程度的移位,需预判断这些重要结构,提前小心保护。
⑦肿瘤或海绵窦内静脉性出血,不可盲目电凝或填塞大块明胶海绵,这不仅不利于肿瘤游离,更易损伤脑神经及重要血管,导致不可避免的灾难性后果;可采用小块明胶海绵填塞,电凝填塞海绵,必要时抬高患者头部加以控制。
![]()




