提示
“浙二神外周刊”不定期接收外院投稿,审核后发表。欢迎各专业同道联系我们,分享精彩病例、研究热点或前沿资讯。投稿请联系:shishi74@163.com
前言
本期周刊由绍兴市人民医院(浙江大学绍兴医院)神经外科来稿,袁紫刚副主任医师整理,金国良主任审校。欢迎兄弟单位踊跃投稿,由《浙二神外周刊》发表,神外资讯同步转发,以供更多同道共享,学习。
病史简介
患者男,44岁,高处坠落致头部外伤意识不清3小时急诊入院。
入院时患者深昏迷,GCS6分,左侧瞳孔0.5cm,右侧瞳孔0.3cm,对光反射均消失。急诊头颅CT提示:“左侧额颞顶部急性硬膜外血肿,脑疝(图1)”,急诊行左侧颅内血肿清除+去骨瓣减压术,术后即刻头颅CT复查提示:“右侧额颞叶急性硬膜下血肿”(图2),再次开颅行右侧颅内血肿清除+去骨瓣减压术。术后转ICU科呼吸支持治疗。术后再次复查CT,见血肿已清除,无硬膜下积液,中线基本居中(图3)。术后5天患者病情好转,GCS8分,双侧瞳孔0.3cm,对光反射迟钝,转回神经外科监护病房。
![]()
图1. 急诊头颅CT提示:左侧额颞顶部急性硬膜外血肿。
![]()
图2. 左侧急性硬膜外血肿清除+去骨瓣减压术后,出现右侧急性硬膜下血肿。
![]()
图3. 双侧血肿清除+去骨瓣减压术后次日CT复查,无明显硬膜下积液。
术后一周因右侧颅骨缺损处膨隆加重,复查CT示双侧硬膜下积液,左侧明显(图4),虽反复硬膜下积液抽吸和腰大池持续引流,但积液始终存在,意识状况也逐渐下降,出现深昏迷,GCS4分,左侧瞳孔0.35cm,右侧瞳孔0.2cm,对光反射均消失。一月后CT复查,硬膜下积液如前,左侧呈顽固性硬膜下积液。同时可见左侧额叶脑组织局限性粘连征象(图5)。
![]()
图4. 双侧血肿清除+去骨瓣减压术后1周CT提示左侧硬膜下积液,中线右偏。
![]()
图5. 术后1月,左侧硬膜下积液持续存在,反复经皮穿刺抽液无效。同时可见左侧额叶脑组织局限性粘连征象(图中黄色箭头)。
鉴于上述情况,科室讨论决定行手术探查。逐在全麻下行颅骨缺损修补+硬膜下腔探查。术中见额部硬脑膜悬吊处有蛛网膜缝住,并与硬脑膜一起悬吊,蛛网膜呈“帐篷”样隆起,将“帐篷”样隆起的蛛网膜悬吊线剪断(图6), 蛛网膜悬吊处有脑脊液流出,双极电凝电灼蛛网膜悬吊处。重新缝合硬脑膜,并行颅骨修补术(图7)。
![]()
图6. 左额部切开硬脑膜探查,见蛛网膜被悬吊,与硬脑膜悬吊线对应。拆除缝线,松解蛛网膜,脑组织未能迅速复位,可见脑脊液从蛛网膜悬吊处流出。双极电凝蛛网膜悬吊处,松解之。
![]()
图7. 重新缝合硬脑膜,并行颅骨修补术。
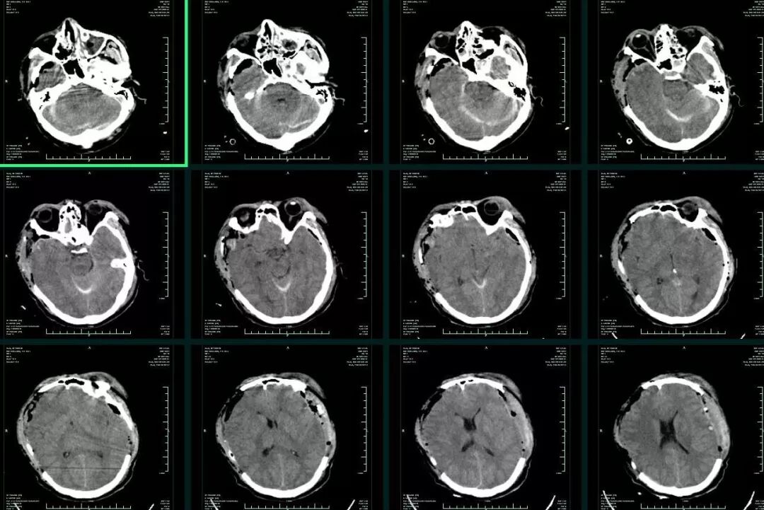
术后硬膜下积液一度缩小,后再次复发(图8,9)。再1个月后行“硬膜下腔-腹腔分流术”后硬膜下积液消失(图10)。因患者持续昏迷状态,伤后3个月放弃治疗。
![]()
图8. 颅骨缺损修补术后第二天头颅CT复查,示硬膜下积液好转。
![]()
图9. 颅骨缺损修补术后1个月,硬膜下腔积液再次出现。
![]()
图10. 硬膜下腔-腹腔分流术后,硬膜下积液消失。
讨论
颅脑手术时,硬脑膜悬吊几乎是每台开颅手术都需要操作的事情,当颅内压增高时,蛛网膜与硬脑膜紧密接触,悬吊硬脑膜时,蛛网膜很容易被一起缝住。若蛛网膜被撕裂、破损,未形成“活瓣”样结构,蛛网膜下腔脑脊液能自由进出,导致硬膜下腔积聚脑脊液可能性不大, 但若形成“活瓣”样结构,脑脊液只出不进,将在硬脑膜下腔不断积聚[1]。
本案例显示蛛网膜被硬脑膜悬吊时缝住,形成“帐篷”样结构,脑脊液从“帐篷”样结构顶端流出,而难以再回流入蛛网膜下腔,导致脑脊液单向流动。“帐篷”样结构比一般状态的“活瓣”样结构更容易导致脑脊液由蛛网膜下腔向硬膜下腔单向流动。当病人咳嗽、屏气等情况时,颅内压一过性升高,脑脊液更容易从“帐篷”顶端喷出,从而进入硬膜下腔。该案例在拆除责任悬吊线、松解蛛网膜后,仍然发生顽固性硬膜下积液,可能原因是“帐篷”样结构虽然已不存在,但蛛网膜“活瓣”样结构仍然存在。通过这个案例分析,作者认为,在开颅手术悬吊硬脑膜时需十分小心,缝针仅能穿过硬脑膜表层,即内骨膜层,避免穿透硬脑膜全层,尤其是颅内高压症患者[2]。对顽固性硬膜下积液患者,需从CT、MR等检查资料中分析,是否存在蛛网膜被悬吊现象,或从临床上分析是否存在创伤性蛛网膜“活瓣”样结构存在。在治疗顽固性硬膜下积液时,可以考虑行硬膜下腔探查,尤其注意硬脑膜悬吊部位。当发现蛛网膜存在“帐篷”样或“活瓣”样结构时,需要彻底开放蛛网膜,通过双极电凝蛛网膜裂口,试图闭合蛛网膜裂口或将蛛网膜裂口更加开放是不可取的方法。在手术显微镜下将蛛网膜裂口充分开放,并切除部分蛛网膜为好[3]。若在手术中未发现蛛网膜粘连、“帐篷”样或“活瓣”样结构时,通过侧脑室外引流或开放侧裂池、鞍上池等脑池的方法是否有效,可参照其他相关文献[4-5]。
参考文献
[1] Yang XF, Wen L, Gong JB, Zhan RY. Subdural effusion secondary to decompressive craniectomy in patients with severe traumatic brain injury. Acta Neurochir. 2010;152(3):555–6.
[2] Messing-Junger AM, Marzog J, Wobker G, Sabel M, Bock WJ. Decompressive craniectomy in severe brain injury. Zentralbl Neurochir. 2003;64(4):171–7.
[3] Tsuang FY, Huang AP, Tsai YH, Chen JY, Lee JE, Tu YK, Wang KC. Treatment of patients with traumatic subdural effusion and concomitant hydrocephalus. J Neurosurg. 2012;116(3):558–65.
[4] Zanini MA, de Lima Resende LA, de Souza Faleiros AT, Gabarra RC. Traumatic subdural hygromas: proposed pathogenesis based classification. J Trauma. 2008;64(3):705–13.
[5] Tzerakis N, Orphanides G, Antoniou E, Sioutos PJ, Lafazanos S, Seretis A. Subdural effusions with hydrocephalus after severe head injury: successful treatment with ventriculoperitoneal shunt placement: report of 3 adult cases. Case Rep Med. 2010;2010:743784.




