今日为大家分享的是由首都医科大学附属北京天坛医院肿瘤七病房刘丕楠、刘健、毕智勇、杨智君、李朋等多位教授带来的经典教学讲解:“达到海绵窦区内镜手术入路对比解剖”,欢迎观看、分享。
讲者:刘丕楠
审校:毕智勇 杨智君
助手:刘 健 李 朋
内镜解剖培训班风采
神经内镜在颅底外科的应用-内镜解剖培训班风采
一、海绵窦解剖概述
海绵窦是中颅窝底硬膜在鞍旁分层后形成的“扁囊袋”样结构,其外侧壁包裹动眼神经、滑车神经、眼神经、上颌神经及下颌神经。内外侧壁之间有外展神经、颈内动脉海绵窦内段及无瓣膜的静脉丛。
![]()
(图片引自RHOTON解剖图谱)
二、常见海绵窦原发肿瘤类型
![]()
除海绵窦原发肿瘤外,累及海绵区的肿瘤以侵袭性垂体瘤最为多见。
三、不同海绵窦区肿瘤影像特点
![]()
1. 海绵窦内海绵状血管瘤
![]()
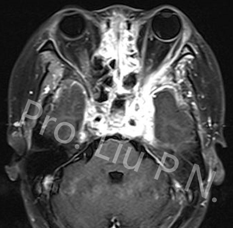
2. 海绵窦内神经鞘瘤
![]()
3. 海绵窦内表皮样囊肿
4. 侵袭海绵窦垂体瘤
5. 海绵窦脑膜瘤
6. 左海绵窦皮样囊肿
7. 海绵窦内神经母细胞瘤
![]()
8. 海绵窦内血管外皮细胞瘤
四、常见到达海绵窦区内镜手术入路
1. 扩大经蝶窦入路:到达海绵窦内侧壁;
2. 经筛-翼突入路:到达海绵窦前壁、内侧壁;
3. 经上颌窦-蝶骨大翼入路:到达海绵窦外侧壁;
4. 经眶外侧壁入路:到达海绵窦外侧壁。
![]()
五、扩大经蝶窦入路内镜解剖
手术通道要点:充分磨除蝶窦前壁及底壁。
适应症:主要用于切除侵袭海绵窦垂体瘤。
六、扩大经蝶窦入路手术案例
--侵袭性垂体瘤
![]()
![]()
七、扩大经蝶窦入路显露海绵窦的局限性
在蝶窦侧壁操作时,由于翼突根部的阻挡,越接近蝶筛交接处操作自由度越差。尤其是当蝶窦前壁窄小或蝶窦外侧隐窝过度气化时,因此,扩大经蝶窦入路对海绵窦内侧壁的前部显露具有一定局限性,涉及蝶窦内侧壁前部的操作时,磨除部分翼突根部甚至移位翼腭神经节以增加器械操作自由度是非常必要的,即经筛-翼突-海绵窦入路。
![]()
八、经筛-翼突-海绵窦入路内镜解剖
(左侧鼻腔手术通道)
1. 切除左侧中鼻甲
2. 切除部分前后筛房
3. 切除后筛,显露蝶窦前壁及翼腭窝前壁
4. 去除蝶窦侧壁及翼腭窝表面骨质
九、经筛-翼突入路显露海绵窦范围
经筛-翼突-海绵窦入路是对蝶窦侧壁、海绵窦区域暴露最好的手术方式,尤其是切除V2神经鞘瘤及翼管神经鞘瘤,有天然的解剖合理性,切除中鼻甲下部有助于海绵窦中下三分之一的暴露。
![]()
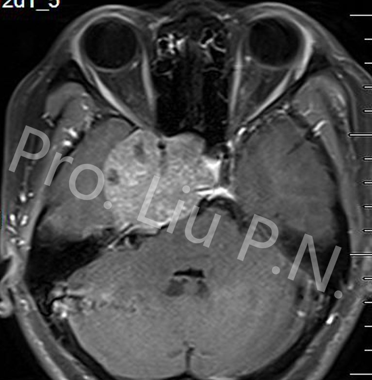
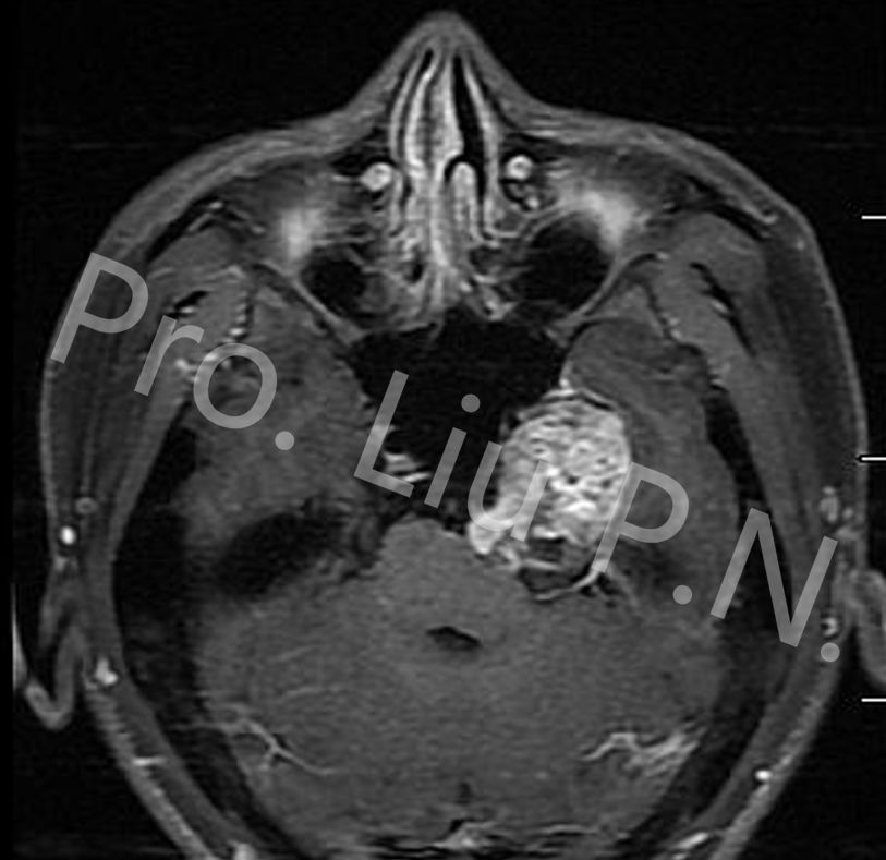
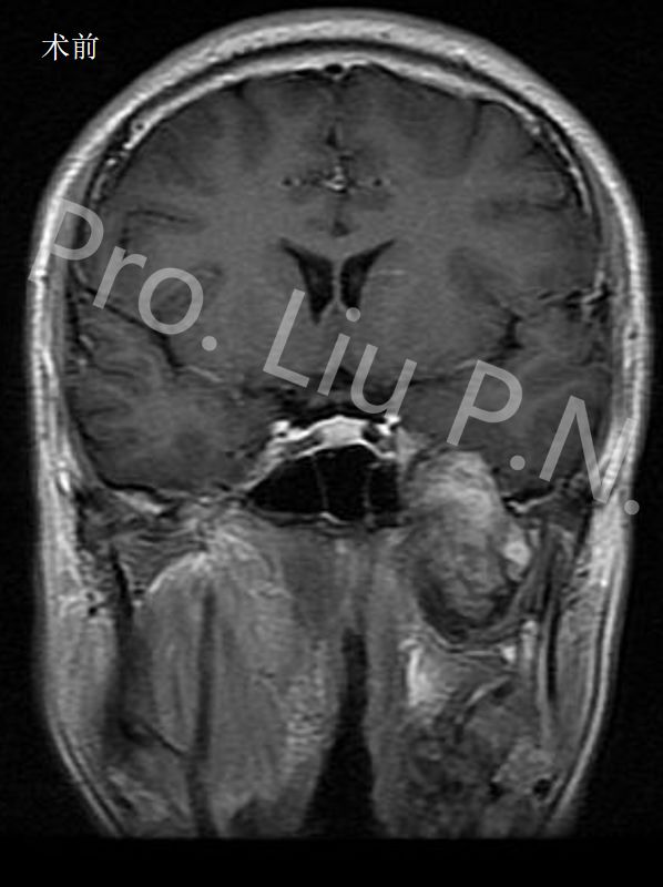
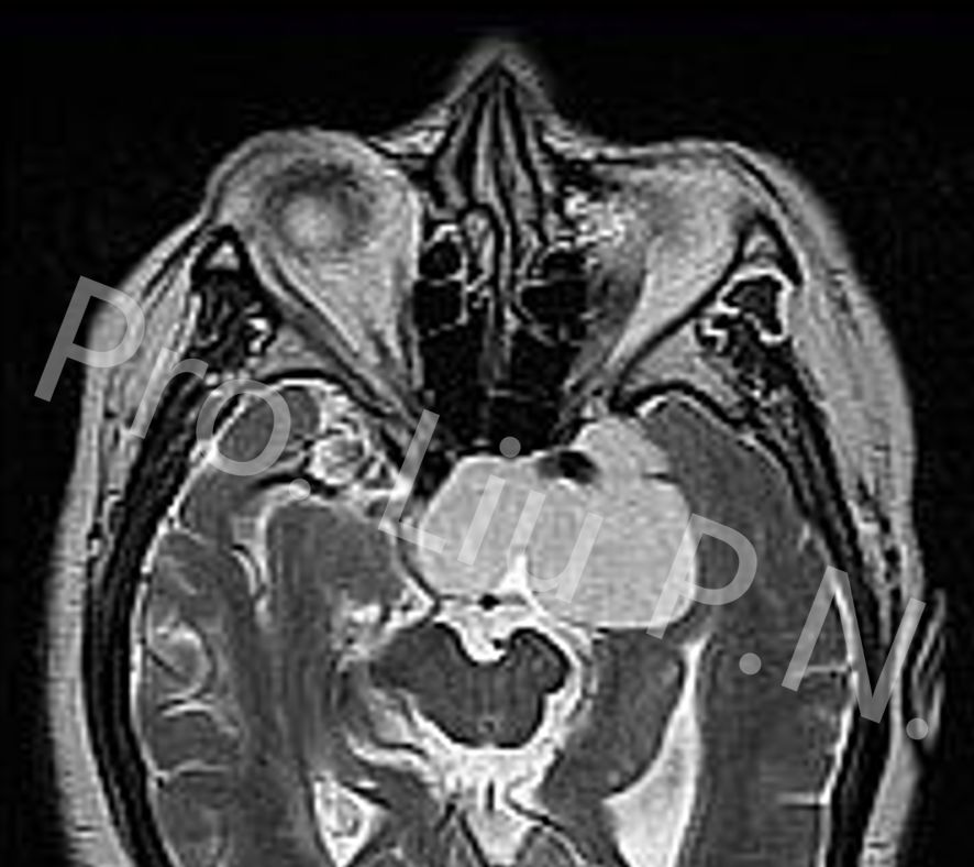
十、经筛-翼突入路手术案例
--左海绵窦神经鞘瘤
![]()
十一、经上颌窦-蝶骨大翼-海绵窦
入路内镜解剖
![]()
![]()
内镜进入上颌窦的手术通道不仅限于经鼻腔开放上颌窦内侧壁(经鼻-上颌窦内侧壁入路;泪前隐窝入路),还包括唇下切口开放上颌窦前壁(Caldwell-Luc入路)、经鼻腔梨状孔切口开放部分上颌窦前壁及部分上颌窦内侧壁(Denker’s入路),此外,传统口腔颌面外科常用鼻侧切开方法开放上颌窦前壁进入上颌窦。无论从什么角度进入上颌窦,最终都可以通过切除上颌窦后外侧壁及翼突进入颞下窝,进而进一步显露蝶骨大翼腹侧面、咽鼓管区、上咽旁间隙等区域。不同进入上颌窦的手术通道其器械自由度、显露范围、手术通道路径、及扩展能力略有不同,也都有各自局限性。
![]()
![]()
![]()
切断翼外肌上、下头在翼突外侧板的附着点,外翻翼外肌上、下头,清理肌间隙内静脉丛及骨膜,显露蝶骨大翼腹侧面
![]()
![]()
去除左侧翼突及蝶骨大翼骨质,显左侧露海绵窦外侧壁、前壁、卵圆孔、颞极、咽鼓管及咽旁间隙
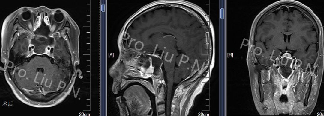
十二、经上颌窦-蝶骨大翼-海绵窦入路手术案例
--下颌神经起源神经鞘瘤
![]()
![]()
十三、经眶外侧壁入路内镜解剖
![]()
![]()
左眼眶皮肤切口
![]()
向内侧牵开眶内容物
![]()
磨除眶外侧壁
切除颞极前方硬膜
十四、内镜经眶外侧壁入路适应症
![]()
小结
与传统的开颅入路到达海绵窦上壁和外侧壁不同,内镜手术入路可以经鼻腔到达海绵窦内侧壁、经翼突根部及蝶骨大翼达到海绵窦前壁,以及经眼眶到达海绵窦外侧壁。内镜到达海绵窦区的多种手术入路为切除海绵窦肿瘤提供了更多选择。对于海绵窦内原发或者累及的肿瘤,如何选择合理的手术入路,主要以肿瘤生长方向为依据,对于经蝶窦内侧壁突向蝶窦的肿瘤,其长轴指向蝶窦,形成天然手术通道,尤其适合内镜经鼻手术入路。
原发海绵窦内V3神经的鞘瘤常常经卵圆孔向颞下窝、咽旁间隙方向生长,形成跨卵圆孔颅内外生长的肿瘤,此时,内镜经上颌窦-蝶骨大翼入路在显露海绵窦外侧壁的同时更兼具向颞下窝和咽旁间隙的扩展能力,比较传统的开颅及颈侧切开,避免了颌面部功能及美容的破坏。
内镜经眶外侧壁入路是近年探索的新的到达海绵窦区手术入路,已有文献证实期解剖合理性,但是在国内外应用均不多,仍处于临床探索阶段,该入路可能存在眼球过度牵拉和视神经损伤风险,但单纯从解剖角度来看,通过磨除眶外侧壁可以充分的显露颞极和海绵窦外侧壁,对于体积较小的窦旁肿瘤可能是一种不错的选择






