![]()
今天是个值得Mark的日子,“浙二神外周刊”自2015年8月创刊以来,巳走过了近4个年头,出刊200期了!在这特殊的日子,我谨代表“浙二神经外科”,代表“浙二神外周刊”向关心、支持和帮助我们的各位同仁,各位朋友致以衷心的感谢。向为“浙二神外周刊”付出辛勤劳动的各位编者,审稿者致以深深的谢意。也感谢神外资讯4年来的精诚合作,将这一学术盛宴共同分享给广大的神外同道。
“浙二神外周刊”以每周一期(周一发刊)刊出如病例讨论,手术视频,会议信息,热点研究,学术讲座,疑难解答,简讯等临床实用问题。旨在加强和国内外同行的交流,促进相互学习,以期共同提高。经过四年的病例积累,我们也将作一整理,并分类编辑出版。
“浙二神外周刊”作为浙二神外的品牌之一,经过近四年的成长,深受同行的认可和好评,在国内已有相当的知名度,并为同行处理类似病例时提供了有益的借鉴。但随着时间的推移,病例的不断推出,挑选出好的病例也会越来越困难。在此,真诚希望大家能一如既往地给予支持和帮助;希望有更多的同道来参与;希望在大家的共同努力下,“浙二神外周刊”办得更精,更好。
![]()
张建民
2019年6月17日
病例介绍
患者男,49岁,右利手,突发意识不清1次入院。
患者一周前(2019年4月8日)无明显诱因突发意识不清,伴口吐白沫,持续约2分钟后意识转清,无肢体抽搐及大小便失禁等。于当地医院就诊,头颅CT检查示左额低密度病灶,边界尚清,考虑肿瘤可能。来院进一步头颅MRI及MRS检查,提示左侧额叶占位性病变,左额星形细胞瘤或神经节细胞瘤可能(图1)。门诊以“左额肿瘤,继发性癫痫”收住入院。
既往史:一年余前因缺血性心脏病,做过冠脉内支架植入术。本次术前评估心功能和CT冠脉造影无明显异常。
![]()
图1. 头部CT、MRI和磁共振影像。 显示左额中回后部团块状异常信号,胶质瘤可能性大。MRS示Cho峰明显升高,NAA峰降低,Ch/NAA=6.56。
术前讨论
根据病史及影像学检查结果,诊断明确,有手术指证。病变性质考虑胶质瘤,低级别胶质瘤可能大。病变位置位于颞中回后部,紧邻中央前回和Broca’s区(图2)。考虑在影像引导、皮层诱发电位(SSEP和MEP)监测下(保护运动和感觉功能)行唤醒手术(保护语言功能)。家属沟通后,签字同意手术。
![]()
图2. 肿瘤与功能区位置关系。 A. 肿瘤与初级运动皮质关系:红色为中央前回,绿色为右手的运动区;B. 肿瘤与运动性语言中枢的关系:红色显示额中回和额下回,绿色为Broca's区。
手术经过
患者进入手术室行术前核对时发作性恶心、干呕。经与麻醉医生讨论,考虑既往冠脉支架植入术手术史,病灶并非位于Broca’s区,为避免术中意外,决定只做MEP和SSEP监测,取消术中唤醒步骤。
术中可见肿瘤位于额中回后部,以脑沟为界,部分与周边脑组织无明显边界,质地软,色灰黄,血供较丰富(图3)。运动诱发电位MEP和感觉诱发电位SSEP在手术切除之前、之中和之后均无波幅和潜伏期的改变。肿瘤镜下全切,术中冰冻快速病理提示:左额:胶质瘤,级别待常规。
![]()
图3. 术中所见。A:肿瘤边缘被静脉包绕;B:沿脑沟分离肿瘤边缘;C:根据术前导航界定切除深度;D:肿瘤镜下全切。
患者术后一般情况良好,肢体运动无殊,但有语言不利。CT,MRI复查,显示术腔无出血,肿瘤基本全切(图4)。
![]()
图4. 患者术后头部CT和磁共振增强影像
术后语言功能评估:患者术后开始表现出不典型的运动性失语(Broca失语),约2周后自发恢复,但患者的阅读和书写功能出现迟发性受损,在术后2周左右,运动性失语已基本恢复,但阅读和书写能力仍有一定程度受损。患者术后语言功能评价见表1。
表1. 患者术后语言功能动态变化
![]()
病理结果
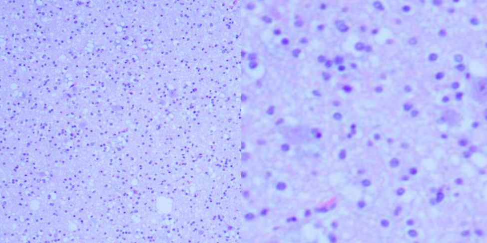
术后病理回报:左额弥漫星形细胞瘤,WHO II 级,IDH突变型(图5)。
![]()
图5. 术后病理:左额:弥漫星形细胞瘤,WHO II 级,IDH突变型。免疫组化结果:PTEN +,MGMT -,Ki-67 3-5%,NF +,NSE +,P53 +,S-100 散在+,Olig2 +,ATRX -,BRAF-V600E -,H3K27M -,INI-1 +,NeuN 神经元+,IDH1 R132H +,GFAP +。
讨论
本病例是一例涉及语言功能区的胶质瘤。但是肿瘤并非位于典型语言中枢位置。患者手术后失语形式也不典型,并随时间变化,从不典型的运动性失语逐渐发展为不典型的阅读和书写障碍,运动性失语自发恢复,书写障碍尚未恢复。本病例提示我们:语言功能的定位比较复杂,并且具有较大的可塑性。术后语言功能的受损有可能自发恢复或通过语言康复手段得到恢复。另外,汉语言和西方语言的皮层定位有所不同,并且表现出较大的个体差异。
我国的医学教材中,语言中枢往往是基于西方语言的。通常认为和语言相关的功能区包括(图6):
1.运动性语言中枢(Broca’s区):位于Brodmann 44及45区,位于额下回后1/3处,此处如受损,病人与发音有关的肌肉虽未瘫痪,却丧失了说话的能力。
2.听觉性语言中枢(Wernicke区的一部分):位于Brodmann 22区,位于颞上回后部。此区域如受损,患者能讲话,但混乱而割裂;能听到别人讲话,但不能理解讲话的意思(听觉上的失认)。
3.书写性语言中枢:位于额中回的后部,此处受损,根据人卫版《系统解剖学(八年制)》,此区域如受损,虽然手部的运动功能仍然保存,但写字、绘画等精细运动发生障碍,临床上称为失写症。
4.视觉性语言中枢(Wernicke区的一部分):位于Brodmann 39和37区,顶下叶的角回,靠近视中枢。此中枢受损时,患者视觉无障碍,但角回受损使得视觉意象与听觉意象失去联系,导致原来识字的人变为不能阅读,失去对文字符号的理解。
![]()
图6. 语言中枢的分布,每个区域的功能如上所述。
但中文同西方语言有较大差异。汉语言是表意文字,因而和西方语言的功能定位也有很大的不同[1]。吴劲松等报道:通过唤醒手术和术中皮层刺激,额中回后部在汉语言的口语表达中也有额中回后部的激活[2],这同本例患者术后出现一过性口语表达障碍相吻合,但是在本病例中,我们发现额中回后部损伤的患者的运动性失语是不完全的,语言可以发起,但是讲几个字后就难以维持。并且这种功能障碍在本病例中可以自发恢复。这在术中唤醒评估中很难发现。
本例肿瘤累及的区域在西语系人群中为书写中枢,称为Exner区(见图7)。Exner区根据奥地利生理学家Sigmund Exner命名,在西方语言中,Exner区被认为是联系拼写规则和书写程序性运动的脑区[3]。人卫版《系统解剖学(八年制)》中描述:此区域损伤产生的失写症状同患者手部的精细运动功能受损有关)。我们对此患者的观察发现,此区域引起的失写,并非是精细运动变差产生,而是由于患者对文字特征无法识别和再现造成。患者术后2周,右手的精细运动功能并不受损,仍无法写出正确的内容,如视频1。
![]()
图7. Exner区的位置:位于额中回后部。
患者术后第15天门诊语言功能评估,患者右手精细运动不受损,但让患者写出自己生日(1970.3.13)时,患者写成 1970.3133,并且在旁人暗示有误后也无法更正(图8)。
![]()
图8. 术后15天,书写功能仍有障碍。
实际上,语言功能区远远比教科书上描述的复杂,根据文献报道,如下区域同患者的语言功能密切相关:
1.尾状核头:尾状核头和双语患者的语言切换功能有关,如在术中刺激尾状核头,患者已掌握的两种语言均不受损,但是无法从一种语言切换为另一种语言[4]。
2.小脑:临床上,小脑蚓部受损的患者往往表现为“吟诗样语言”。而在神经心理学研究中,小脑和词汇的流利程度、语法的处理、书写、阅读均有关系[5]。
3.对于掌握两种语言的双语者,两种语言的功能定位和语言学习的时间有关。如在儿童早期学习第二语言,两种语言的功能定位通常“融为一体”,而在较晚时间学习第二语言,第二语言的功能定位往往位于第一语言定位的周边,位置比较“分散”[6]。
血氧水平依赖的磁共振检查(BOLD-MRI)理论上可以勾画出不同语言任务的相关区域。不同语言任务的BOLD激活区是不同的。但是由于BOLD的信号受噪音影响和阈值选择的影响很大,因此只能用于参考。唤醒手术下的皮层刺激是保护语言功能的的金标准。
尚不清楚为什么本例失写在术后一段时间出现,而运动性语言障碍在术后早期即出现,并可以恢复。有待于进一步研究。
参考文献
1. Chee M W L, Tan E W L, Thiel T. Mandarin and English single word processing studied with functional magnetic resonance imaging[J]. Journal of neuroscience, 1999, 19(8): 3050-3056.
2. Wu J , Lu J , Zhang H , et al. Direct evidence from intraoperative electrocortical stimulation indicates shared and distinct speech production center between Chinese and English languages[J]. Human Brain Mapping, 2015, 36(12):4972-4985.
3. Roux F E , Dufor O , Giussani C , et al. The graphemic/motor frontal area Exner's area revisited[J]. Annals of Neurology, 2009, 66(4):537-545.
4. Wang X, Wang Y Y, Jiang T, et al. Direct evidence of the left caudate’s role in bilingual control: An intra-operative electrical stimulation study[J]. Neurocase, 2013, 19(5):462-469.
5. Marien P, Borgatti R. Language and the cerebellum.[M]// The Cerebellum: From Embryology to Diagnostic Investigations. 2018.
6. Jasińska KK, Petitto LA. Development of neural systems for reading in the monolingual and bilingual brain: new insights from functional near infrared spectroscopy neuroimaging[J]. Developmental Neuropsychology, 2014, 39(6):421-439.
(本文由浙二神外周刊原创,浙江大学医学院附属第二医院神经外科孙崇然副主任医师整理,张建民主任审校并终审)




