![]()
NEXUS是基于美国神经外科医师协会,CNS (Congress of Neurological Surgeons),由Barrow Neurological Institute的Peter Nakaji医生和克利夫兰诊所的Nicholas C. Bambakidis医生组织建立的网站(http://www.cns.org/nexus)。网站完全免费开放,无需任何注册,网站主体基于病例的收集与归类,完美适配移动设备,旨在帮助神经外科医生迅速找到类似病例,并且学习世界各地的神经外科医生如何处理该病例。同时,每一个神经外科医生都可以上传自己的病例,在全世界的神经外科医生面前展示自己的技巧。(病例上传模版扫描下方二维码下载,目前正在与cns积极沟通,未来可在nexus官网上直接下载病例模版。)
神外资讯每周末定期推送一期NEXUS的精选文章,与全中国的神经外科同道分享,共同学习进步。更多更新病例查看与投稿,欢迎登陆NEXUS官网。
右顶叶VP分流术策略与技巧
Benjamin Kennedy, MD, The Children’s Hospital of Philadelphia
编译:
李信晓 宁夏医科大学总医院
审校:
雷 霆 首都医科大学三博脑科医院
![]()
病例展示为1例6岁特发交通性脑积水患者,在计划和实施VP分流手术过程中涉及几点临床决策。
并非所有影像学显示的脑室扩大都是病理性脑积水。
交通性脑积水常需行分流治疗。
![]()
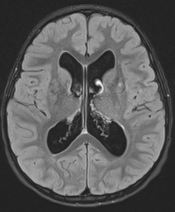
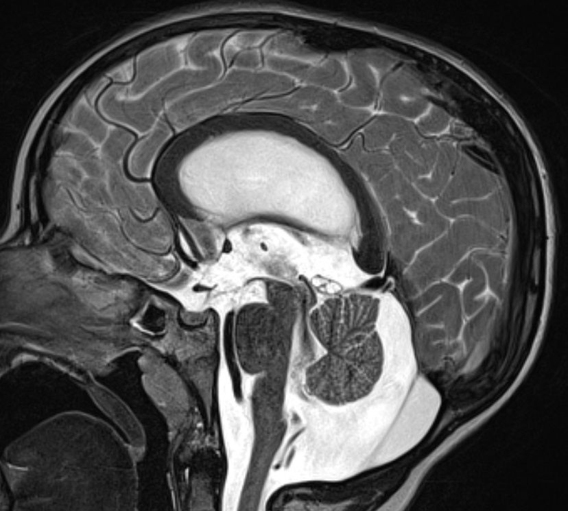
1例6岁男性患儿,有慢性头痛和语言迟缓症状,一次摔倒后撞伤头部遂行影像学检查。
脑室明显扩大。
轻度视乳头水肿伴头痛病史,经眼科检查确诊为脑积水。
交通性脑积水确诊理由:
四个脑室均扩大;
MRI对通过中脑导水管的CSF流动研究显示CSF流动通畅;
CISS/FIESTA 序列精细扫描研究未发现任何阻碍阻碍脑脊液流出的网状物。
![]()
右侧顶叶入路,行VP分流。
顶叶入路的优势在于切口小,手术时间短,感染率低。此外,这种入路对某些人来说术后更美观,因为它避免了分流阀位于头上的凸起。
然而,有证据显示额叶入路术后的设备故障率略低。
(1)立体定向下右顶叶新月形皮肤切口;
(2)颅骨钻小孔一枚;
(3)非常小的硬膜切口;
(4)立体定向规划的近端导管径路进入侧脑室房部,避开脑沟/血管;
(5)该径路止于近额角处,以降低侧脑室房部脉络球进入分流器造成分流器故障风险。
考虑到患儿有轻度头痛伴语言迟缓,可能两者之间并无关系,推荐影像学动态复查随访的保守治疗。行腰椎穿刺(LP)测试脑脊液压力需谨慎。该患儿父母坚决拒绝腰椎穿刺检查。腰椎穿刺伴颅压升高,需行手术治疗。
然而,即使不行LP检查,但该患者有视乳头水肿,也有必要进行手术治疗。
鉴于上述交通性脑积水的诊断,脑室镜下三脑室底造瘘术(ETV)可能不太适用。
ETV伴脉络丛烧灼可以尝试使用,但缺乏有力证据表明在该类患者人群中的疗效。
腹部解剖分层
(1)皮肤
(2)皮下脂肪
(3)浅层腹直肌鞘
(4)腹直肌
(5)深层腹直肌鞘
(6)腹膜
![]()
仰卧位,头部偏转90度。
大的垫肩置于双肩下方:尽量使向下的顺道顺直。
脐上2cm,脐外2-3cm,做一15mm的腹部切口。
通过立体定位做一新月形头皮切口,使所有的硬件设置不会在切口下方交叉。
![]()
分流阀固定于远端导管上,并使用抗生素浸泡。
术者和助手同是手术操作以缩短手术时间,从而降低感染风险。
小开窗颅骨钻空完成后,电凝烧灼硬膜,但不切开。
![]()
鞘锐性切开浅层腹直肌后,由2把直型止血钳将腹直肌牵开,深层腹直肌鞘和腹膜常被止血钳一起提起,用剪刀剪开。
腹膜腔由3把止血钳牵开,通过肉眼检查确认肠蠕动,并确保钝性器械通过切口而无阻力。
![]()
![]()
使用大的止血钳为分流阀做一皮下囊袋,然后使用直通条从头部至腹部做皮下隧道。小心通过锁骨上部位。
![]()
使用丝线系在隧道口末端,并通过分流管隧道向后拉。
![]()
![]()
剪断通条缝合线,绑在分流器远端。将丝线和分流器向后拉,直至分流阀位于囊袋内。
![]()
然后锐性切开硬膜,大小刚好适宜于导管进入,软脑膜电凝烧灼并切开。
使用立体定向计划和导航系统,沿设定轨迹将导管送至靶位置。
![]()
确定脑脊液流动后,将导管裁至合适长度,固定于分流阀近端囊袋中(图示),使用2-0丝线固定。
排空分流器内空气。然后观察脑脊液自发性通过分流管远端。
分流管远端放入腹腔。
![]()
头部与腹部的深层和浅层缝合使用可吸收缝线缝合,腹部用生物胶水粘合。
围手术期24h抗生素抗感染治疗。
术后第2天出院。
隧道内偶感疼痛,常使用对乙酰氨基酚对症治疗。
术后不需要立即常规复查影像学,因为术后即刻复查,患者脑室体积可能不能显示他或她新的基线值,此时的影像学结果可能产生误导。
术后患者感觉良好,术后第二天出院,无并发症,仍接受常规神经检查。
在这种高感染风险的手术操作中,提高无菌意识必不可少。
颈部适当外展对预防颈部皮肤穿孔或额外切口至关重要。
分流问题复杂且困难重重,一定要仔细考虑到所有可能发生的情况,并有相应的补救方案。
Kahle KT, et al. Hydrocephalus in children. Lancet. 2016 Feb 20;387(10020):788-99.





