今日与大家分享的是由上海交通大学医学院附属瑞金医院垂体/泌乳素瘤诊治中心主任吴哲褒教授带来的:垂体肿瘤系列精选病例(三)——卡麦角林治疗耐溴隐亭催乳素腺瘤,欢迎观看、分享。
患者,男,33岁,因“性功能下降2年,右眼视物模糊、怕冷3个月”于2013年2月就诊于上海交通大学医学院附属瑞金医院。
患者平时容易发困,无头痛、面容改变、烦渴多尿,不伴有向心性肥胖、男性乳房发育、肢端肥大等症状。体格检查:神志清,右眼前指数,几近失明,左眼视力0.4,左颞偏盲,双侧瞳孔对称,光反射存在,四肢活动自如。内分泌化验结果:血清催乳素(PRL)水平>470μg/L(正常范围4.04~15.02 μg/L),游离T3水平略低,其余激素水平正常范围。头颅磁共振成像(MRI)显示:鞍区巨大占位,大小约为7.6cm× 5.8cm× 3.8cm,向上突入三脑室,向下侵袭蝶窦和斜坡,向右侧侵犯海绵窦并包绕颈内动脉,肿瘤还突入颅内,于右颞形成巨大占位(图1)。
诊断:侵袭性巨大催乳素腺瘤。
初期给予溴隐亭治疗(溴隐亭的初始治疗剂量为每次1.25mg,3次/d,开始服用后无药物不良反应。1周后加量至2.5mg,3次/d,此为有效的治疗剂量)。患者服用溴隐亭2周即感觉右眼视力有改善,至服药1月视力已经明显好转,右眼视力0.4,左眼1.0,同时视野改善。PRL水平服药1个月后降低至37.05μg/L,至2015年5月PRL降至正常水平,为12.27μg/L,性功能亦得到改善。此后服药期间,PRL均正常并处于较低水平。患者服用甲状腺素片,余激素正常水平未给予替代治疗。
![]()
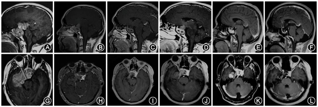
图1. 药物治疗后催乳素腺瘤患者肿瘤体积在增强MRI时的变化(矢状位和轴位)。
A~C,G~I:溴隐亭治疗;D~F,J~L:卡麦角林治疗。
MRI矢状位(图1A~F)和轴位(图1G~L)来说明肿瘤体积的动态变化。根据体积测量结果,颅内部分最初体积为45.8cm³服药1个月后颅内部分体积缩小至20.7cm³,缩小率为55%(图1H)。之后,肿瘤体积持续缩小,至2013年8月31日为5.8cm³(图2A)。另一个改善明显的是鞍内肿瘤的高度,治疗前为6cm,服药1个月时为3.5cm,快速有效解除了视神经的压迫,之后肿瘤高度持续缩小至1.3cm(图1A~C,图2B)。其鞍内部分的肿瘤体积也明显缩小,治疗前为19.3cm³,2013年8月31日为2cm³(图2A)。然而,海绵窦部分的肿瘤体积变化不是很明显,治疗前为3.7cm³,2013年8月31日为3.5cm³,说明海绵窦部分肿瘤对溴隐亭治疗具有某种程度的耐药性(图2A)。
![]()
图2. 催乳素腺瘤患者肿瘤体积、高度变化曲线。A. 颅内、海绵窦、鞍内三部分肿瘤体积缩小的曲线图;B. 鞍内肿瘤高度缩小的曲线图;C. 肿瘤体积缩小百分比的曲线图。
服药到第8个月,即2013年9月在足量溴隐亭继续服用的情况下,发现肿瘤反而增大,出现迟发耐药的现象。其颅内肿部分的肿瘤体积从5.8cm³增加至14.4cm³,同时鞍内部分的肿瘤体积亦有所增大,从2cm³增加至5.6cm³(图1D,J)。从2013年10月开始,患者开始接受卡麦角林治疗 (卡麦角林的初始治疗剂量为每次0.5mg,2次/周,无药物不良反应。2周后剂量增加至每次1mg,2次/周),肿瘤体积又开始缩小,直至肿瘤几近完全消失(图2C),PRL一直维持在正常的低限水平。随访至2014年6月,其中鞍内部分和颅内部分肿瘤几近消失,海绵窦部分肿瘤残留(图1F,L)。
该病例我们主要想说明两点:
一是溴隐亭耐药的病例,卡麦角林治疗有效;二是肿瘤残留或耐药,通常都是发生在海绵窦部分。
该病例显示在肿瘤药物治疗的第1个月即能快速有效地缩小鞍内部分的肿瘤体积,缓解视神经压力,即改善视力。另外,颅内部分的肿瘤体积亦快速有效地缩小,缓解颅内压力和改善症状(图2C)。而海绵窦部分的肿瘤对溴隐亭治疗相对不敏感,与我们以往报道的一致。从另外一个角度来说,如果采用手术治疗,手术能切除的鞍内和颅内部分肿瘤,药物治疗同样能快速有效地缩小,这也从另一个侧面证明了药物作为首选治疗的依据。
由于溴隐亭已经证实其安全有效,且价格相对便宜,在我国大部分医疗部门可以提供,因此溴隐亭为我国推荐治疗催乳素腺瘤的首选药物。然而,有10%~25%的患者会发生溴隐亭耐药。当患者服用溴隐亭15mg连续3个月后PRL水平未降到正常,或者肿瘤体积缩小<50%,则定义为催乳素腺瘤溴隐亭治疗的原发耐药。无疑,对于该病例来说,初始的溴隐亭是敏感的,PRL水平在第2个月即降到正常,肿瘤体积第1个月就缩小约50%以上。为了进一步缩小肿瘤体积,即便PRL水平下降到正常范围,我们仍建议患者服用有效治疗剂量的溴隐亭。然而,到了服药的第8个月,在足量溴隐亭治疗的情况下,发现肿瘤反而增大,被认为是发生肿瘤的迟发耐药。
溴隐亭耐药病例,随后的治疗选择包括改服卡麦角林或考虑手术,或放疗。由于肿瘤主要围绕海绵窦,手术切除风险大,死亡率高,因此手术是不建议的。伽玛刀治疗最好是病灶直径<2.5cm,对该例患者来说,显然病变偏大;另外,伽玛刀对催乳素的缓解率只有不到30%,因此多数患者伽玛刀后仍需要服用多巴胺受体激动剂治疗。卡麦角林在欧美国家已成为催乳素腺瘤的首选药物,卡麦角林除了服用更方便和病人耐受性更好之外,对溴隐亭耐药的患者亦可选用卡麦角林治疗。该病例服用卡麦角林后,肿瘤又开始变得敏感,体积持续性地明显缩小。至2014年6月,鞍内部分和颅内部分肿瘤完全消失,海绵窦部分肿瘤也明显缩小,呈纤维状,达到理想的治疗效果。
本病例的报告显示:
首先肯定多巴胺受体激动剂是垂体催乳素腺瘤的首选治疗,能快速有效改善视力和缓解颅内压。垂体瘤各部分的肿瘤对多巴胺受体激动剂治疗的敏感性是不同的,海绵窦部分肿瘤表现一定程度的溴隐亭耐药性。溴隐亭耐药的肿瘤对卡麦角林治疗有效,能进一步缩小肿瘤体积和控制PRL水平,包括良好控制海绵窦部分的肿瘤体积。
![]()
吴哲褒 教授
上海交通大学医学院附属瑞金医院主任医师、教授、博士生导师。
瑞金医院垂体/泌乳素瘤诊治中心主任、瑞金医院神经外科副主任、中国脑垂体基金主席、中国医师协会内镜医师分会第一届神经内镜专业委员会委员、中国神经科学协会神经肿瘤分会委员、中国抗癌协会专业委员会委员、中国医师协会神经外科分会青年委员会委员、上海市医学会神经外科专科分会第九届委员会委员、中华医学杂志英文版编委。
1996.7温州医科大学本科毕业至温州医学院附属第一医院神经外科工作;2001.9-2004.7在首都医科大学附属北京天坛医院攻读神经外科硕士;2007年-2009年在首都医科大学附属北京市神经外科研究所攻读神经外科博士;2011.9-2013.11在复旦大学附属华山医院神经外科从事博士后研究,师从中国工程院院士、复旦大学附属华山医院神经外科主任周良辅教授。曾先后赴奥地利格拉兹医科大学、美国巴罗神经病学研究所、麻省总医院访问学习,进行显微微创手术和内镜颅底手术的学习。
至今以第一作者和通讯作者发表论文100余篇,其中已在国外专业权威杂志发表SCI论文36篇,如Nature Communications、Autophagy、Neurology、JCEM、Journal of Neurosurgery、Neuro-Oncology、Neurosurgery等杂志,累计影响因子157分,累计引用超过500次。主持国家自然科学基金(四项)、浙江省自然科学基金杰出青年项目等10余项。曾获“王忠诚中国神经外科医师年度奖”;浙江省卫生高层次创新人才和浙江省自然基金杰出青年;上海杰出青年医学人才和上海市优秀学术带头人。在垂体腺瘤的内镜微创手术及药物治疗方面颇有建树,主持的两项成果分获浙江省科学技术奖二等奖和三等奖。
门诊时间:
瑞金门诊时间:每周一上午特约门诊,每周二下午专家门诊
地址:上海市瑞金二路197号(永嘉路口)
温州门诊时间:每月第二个周六
预约电话:0577-67329705
地址:永嘉县瓯北新区公园路6号温州医科大学附属第一医院永嘉分院




