
今天为大家分享的是,由复旦大学附属华山医院神经外科陈亮教授带来的精彩手术:内镜辅助鞍结节脑膜瘤切除术,欢迎观看、分享!

陈亮 教授
- 复旦大学附属华山医院神经外科主任医师、博导 
- 中华医学会神经外科分会青年委员 
- 中国医师协会神经外科分会青年委员 
- 上海医学会神经外科分会青年委员会副主任委员 
- 上海市抗癌协会委员 
- 上海市曙光学者 
擅长显微镜与内镜技术治疗脑血管病,脑肿瘤,颅底疾病等。近五年分别以主要完成人获国家科技进步二等奖一次,上海市科技进步一等奖2次、教育部科技进步一等奖2次和上海市医学科技推广奖1次,主持国自然2项,国家重点研发计划课题1项,上海市科委项目3项,申请国家发明专利8项,以第一或通讯作者发表SCI论文30余篇。
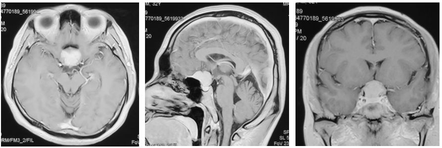
患者,男性,32岁;
主诉:视物模糊1个月;
体检: VOU 0.12,双眼颞侧偏盲,左眼甚。



- 术前诊断 
鞍结节脑膜瘤
- 手术方案 
左侧改良翼点开颅,内镜辅助肿瘤切除




