
今日与大家分享的是《正海-妙术视界》第一百五十二期,由中山大学肿瘤防治中心神经外科赛克副主任医师带来的:“显微镜联合内镜切除巨大三叉神经鞘瘤”,欢迎观看、分享。
术者:赛 克
助手:蒋小兵、陈晓琦

赛克,中山大学肿瘤防治中心神经外科副主任医师、硕士生导师、主诊教授。毕业于中山大学医学院七年制全英班,2009年于中山大学医学院获得博士学位。2004年在美国临床肿瘤学会及美国癌症协会的全额资助下,至澳大利亚参加澳大利亚及亚太地区临床肿瘤研讨班。2007年至2009年于美国德克萨斯州里大学MD安德森癌症中心神经肿瘤科进行博士后研究,合作导师国际著名神经肿瘤专家Alfred WK Yung教授,专注于神经肿瘤,尤其是恶性胶质瘤的实验研究及临床治疗。2009年因业绩突出,获得MD安德森癌症中心Trainee Excellence奖。2019年获评为“广东医院最强科室之实力中青年医生”。
临床专业特长:颅底肿瘤:如海绵窦区肿瘤、颅颈交接区肿瘤及颅内外沟通性肿瘤等;神经内镜:垂体瘤;胶质瘤及转移瘤的外科及综合治疗。
学术兼职:中国抗癌协会神经肿瘤专业委员会常委;广东省抗癌协会神经肿瘤专业委员会秘书长;广东省医学会神经外科分会青年委员。
科研业绩:以第一及通讯作者身份发表SCI论文10篇,完成国自然青年项目1项,主持国自然面上项目1项。
1. 病史:患者,女性,46岁,慢性起病;患者3年前出现左侧面部麻木,并伴左颌面部阵发性疼痛,未予特殊处理。10余天前,面部疼痛加剧,并出现头痛、恶心、左眼视力下降、左侧上睑下垂。
2. 体检:神清,语利。左侧上睑下垂,左眼球固定,稍向内斜视,瞳孔直径5mm,直接间接对光反射消失。左侧面部痛温觉减退。伸舌居中,悬雍垂居中,口咽未见异常隆起。四肢肌张力、肌张力正常。余未见异常。

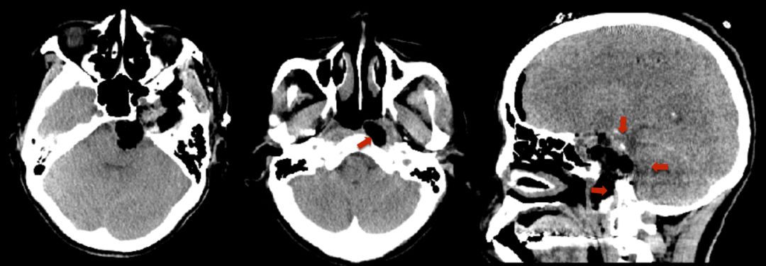
3. CT:左侧中颅窝、海绵窦、鞍区、咽后间隙稍低密度肿块,大小约65x48x40 mm,垂体及左颞叶受压移位。斜坡及左侧岩尖骨质受压吸收。
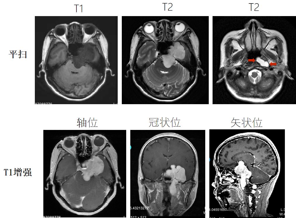
4. MRI:左侧中颅窝、海绵窦、鞍区、咽后间隙稍低密度肿块,大小约78x52x41 mm,T1WI低信号,T2WI高信号,DWI稍低信号,增强扫描明显强化。垂体及左颞叶受压移位。考虑三叉神经鞘瘤。
5. MRA:左侧ICA海绵窦段受压向前移位,部分被肿物包绕,未见充盈缺损,基底动脉受压向右移位。
![]()
术前CT平扫
![]()
术前MRI
中年女性,慢性病程;
三叉神经分布区域感觉及痛觉异常起病;
MRI:T1低信号,T2高信号,DWI稍低信号,强化明显;
病变位于三叉神经分布范围:以Meckel氏腔为中心向鞍上、海绵窦、中颅窝、后颅窝及颞下窝方向生长;
诊断为:左侧海绵窦区、中后颅窝及颞下窝巨大占位,三叉神经鞘瘤;
鉴别诊断:脑膜瘤、海绵窦海绵状血管瘤、胆脂瘤。
1. 单纯显微镜下耳前颞下窝入路
优点:损伤相对较小。
缺点:对于长入颞下窝、咽旁间隙的肿瘤存在观察死角,无法彻底切除。
2. 耳前颞下窝入路联合头颈科侧方入路
优点:肿瘤暴露清晰,易于全切。
缺点:需要处理腮腺、离断下颌骨、切除翼内翼外肌、术野须使用带血管蒂肌瓣填充。
3. 显微镜联合内镜切除
显微镜切除肿瘤主体;内镜置入颞下窝,切除肿瘤。
损伤小,可达到全切。
术前腰大池置管。
平卧位,额颞切口。
大腿外侧消毒备用。
![]()
![]()
筋膜间分离、暴露颧弓。
![]()
游离颧弓,翻起颞肌。
额颞瓣开颅。
![]()
![]()
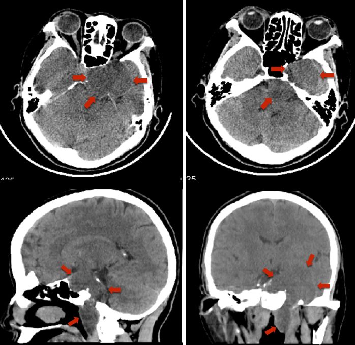
术后当日CT平扫
![]()




