提示
“浙二神外周刊”不定期接收外院投稿,审核后发表。欢迎各专业同道联系我们,分享精彩病例、研究热点或前沿资讯。投稿请联系:shishi74@163.com
前言
与成人神经外科相比,小儿神经外科有许多特点和不同,因而在诊断及治疗上也与成人有很大的不同。在国外小儿神经外科完全独立,自成一体。为了更好地了解小儿神经外科,到本期为止,《浙二神外周刊》连续选编了9个由浙江大学医学院附属儿童医院神经外科经治的有一定代表性的病例,分期刊出供大家了解和参考。相信会给大家有所借鉴。
![]()
沈志鹏,浙江大学医学院附属儿童医院神经外科副主任(主持工作),任浙江省医学会神经外科分会委员兼小儿神经外科学组委员兼秘书,浙江省医师协会神经外科分会常委,中国研究型医院学会儿童肿瘤专业委员会委员、神经再生与修复委员会委员等职,在小儿神经肿瘤,脑血管病、小儿神经创伤及先天性疾病诊治方面有较深的造诣。
浙江大学医学院附属儿童医院是“国家儿童健康与疾病临床医学研究中心”,其神经外科初建于2000年,2015年独立建科。虽建科较晚,但建科后这几年发展迅速,业务量增加很快。目前拥有普通床位26张,独立ICU床位10张,2018年手术量达到1400余台,以诊治儿童中枢神经系统肿瘤为特色,涵盖脑血管疾病、颅脑外伤、先天畸形、癫痫外科等所有小儿神经外科各个亚专业。随着2022年医院二期工程建成,科室床位将扩张到50张,业务发展有望再上一个台阶。
病史简介
患儿,女,4Y3M。因“颅内出血后头围进行性增大4年余”于2010年6月8日入院。
4年余前,即患儿出生后发现脑室内出血,于当地医院给予抗炎止血对症支持治疗后好转出院(具体情况不详),后复查头颅CT提示“脑积水”,并头颅进行性增大,伴反应较同龄孩子差,4年来家长曾多次去多家医院就诊,查头颅CT均提示“脑积水”,但均未行手术治疗。现患儿头颅明显增大,头围达64cm,行走需掺扶,无发热抽搐,也无头痛呕吐及视力下降等情况。家属为求进一步治疗来浙江大学医学院附属儿童医院门诊,拟"脑积水" 收入病房。
既往史:G2P2,出生时有颅内出血病史,生长发育评估较同龄人落后。
入院查体:神志清,精神可,双侧瞳孔等大等圆,直径约3mm,对光反应存在,眼球活动尚可,头围明显增大,达64cm,前囟已闭,心肺无殊,四肢无明显肿胀畸形,活动可,肌力V级,巴氏征阴性。
辅助检查:外院头颅CT示“重度脑积水”
诊疗经过
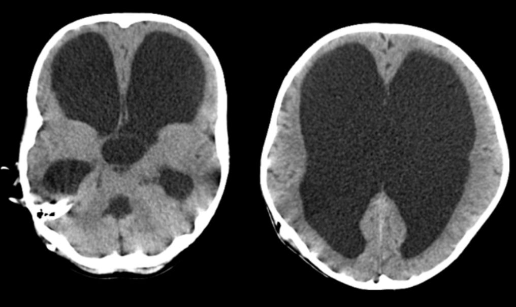
入院后予完善相关术前检查,无明显禁忌后行脑室-腹腔分流术,当时植入为美敦立可调压分流管,术后压力为1.5。术后复查CT如图1。
![]()
图1. 脑积水分流术后复查CT:见侧脑室、三脑室增大明显,四脑室大小正常,考虑颅内出血后导致中脑导水管狭窄引起的梗阻性脑积水。
因患儿头围巨大,达64cm,术后仍行走不稳,易摔跤,家属希望能控制脑积水后减轻头部重量,缩小头围,经科室讨论后,决定计划实施全颅腔重建缩颅手术。因需配合计算机三维数据计算成型,方案设计等,暂出院,待准备完善后再次入院手术。
随后行患儿头颅三维重建检查(图2),并制定相应手术方案。考虑以下几点:1. 手术目的达到缩颅效果,头围能减少5cm以上,颅高减少2cm以上;2. 分流管位置保持原位,避免移位后导致分流管故障;3. 缩颅后减少的容积通过术前创造硬膜下积液以及术中抽吸脑脊液来获得空间;4. 固定上采用嵌插的方案增加固定的稳定性;5. 方案中骨瓣的设计尽量避开重要的静脉窦和骨嵴。
![]()
图2. 患儿头颅三维CT检查。
患儿VP分流术后6月,美敦立分流管调整压力致1.0,造成硬膜下积液(图3)。在患儿无明显症状前提下,持续动态观察硬膜下积液量。
![]()
图3. VP分流术后8月硬膜下积液。
在进行一系列手术方案设计、手术3D导板制作等充分准备后再次于2011年4月入院,运用Rhinoceros软件进行术前、术后设计方案,计算出预期缩颅效果(图4,表1),行颅腔重建缩颅手术。
![]()
![]()
图4. 运用Rhinoceros软件进行术前、术后设计方案。
表1. 术前设计方案以及预期
术前脑容积 | 3114600 mm3 |
术后脑容积 | 2346703.11 mm3 |
硬膜下积液体积 | 671514.88 mm3 |
差值 | 96383 mm3 |
头围(颅骨) | 56 cm |
术中取抬颌俯卧位,大冠状切口,骨膜下分离头皮和颅骨,分流管处保留部分骨膜及帽状腱膜以固定分流管位置。按计划设计导板标记骨瓣线,于关键点位钻孔后成形骨瓣并标记。取下骨瓣后颅脑暂用导板保持原位,按术后导板将骨瓣多余部分切除,于骨瓣边缘打孔备用,准备完善后首先行硬膜下积液引流,再次分流管囊穿刺,缓慢抽吸脑脊液约100ml后颅腔压力下降,按标记拼接骨瓣后回纳骨瓣,并用丝线予以固定。术后皮下放置负压引流管,出血约350ml,输红细胞2U。手术时间6小时,术毕调整压力致1.5。术中图片如下(图5):
![]()
图5. A手术3D导板; B全头颅暴露; C切割颅骨;D 颅骨重拼。
术后复查CT效果图如下(图6):
![]()
图6. 颅腔重建术后复查三维视图。
与术前对比,头围缩小致57cm,颅高降低较明显,约有7cm,总颅腔体积缩小24.7%(图7)。
![]()
![]()
图7. 术前术后外观及头围比较(左:术前,右:术后)
缩颅术后7年随访复查,显示外观基本正常,颅骨三维重建愈合良好(图8)。
![]()
![]()
图8. 术后7年随访,外观基本正常,头颅三维CT显示颅骨愈合良好。
目前术后随诊中,侧脑室腹腔分流管压力1.5,头围58.5cm,正常上学。
讨论
巨颅(macrocephaly)通常定义为头围增大超过同龄期头围平均水平2个标准差以上,或超过同龄头围的97%分位数。需要和巨脑畸形(Megalencephaly)相鉴别[1](表2),巨脑畸形特指因脑组织的重量和体积超过正常水平而引起的头围增大,而巨颅则可以是一些疾病的病理表现,如脑积水,硬膜下出血等,或是一种良性的状态,如家族性巨颅,良性蛛网膜下腔增大(benign enlargement of the subarachnoid spaces, BESS)等[2,3]。临床上通常需要手术干预治疗的主要是脑积水后巨颅或慢性硬膜下出血后巨颅[1]。
表2. 巨颅的鉴别诊断
![]()
脑积水后巨颅的治疗根据年龄不同有不同的治疗重点。早期针对1岁以内颅缝被撑大未闭合的孩子,治疗的重心在脑积水上。随着可调压分流管的应用,通过调节压力可以使患儿的颅脑发育和颅腔发育得到平衡的发展,但需要注意避免过度引流导致的颅骨重叠而引起继发性的颅缝早闭。尤其是一些严重的低龄儿童脑积水患儿,如何处理好脑积水和巨颅之间的关系是一大难题[4]。有作者[5]提出早期的实行颅腔重建,用可吸收材料搭建一相对较稳定的颅盖骨,可以有效的避免颅骨的塌陷畸形,改善后期的外观。而针对晚期头围增大已超过成人水平,即使缓解了脑积水颅内高压的情况,但其巨大的头颅已难以恢复到正常水平,与其较为小的下颌及面骨构成特殊的面容,在美学上常影响其今后的生活。部分合并生长发育落后的患儿,因颈部肌肉力量的不足,导致日常活动也受限,因此,分流术后根据颅骨的特点施行部分或者全颅腔的重建,也是治疗的重要内容。本例脑积水患儿,早期未能得到有效的治疗,就诊时已4岁龄,脑室扩张明显,皮层受压菲薄,分流术后巨大的头部重量仍对其生活有影响,也是浙江大学医学院附属儿童医院神经外科选择手术干预的一大原因。
全颅腔重建手术时间长,创面大,手术风险也较大,常见的并发症有出血、感染、矢状窦损伤、脑脊液漏和颅内出血等,早期报道手术死亡率达4%左右[6]。随着麻醉技术、围手术期管理的提高,手术的安全性也在提高,尤其是近代计算机信息技术的飞速发展,电脑模拟的三维成型,3D打印技术及新兴材料的出现,使的手术的时间大大缩短。通过术前的模拟演练,可以修正以往术中才能发现的问题,使术者更加熟悉手术操作过程,根据既定方案达到满意的手术效果。目前此项技术已被广泛的应用于各种颅面的矫形手术中,包括颅缝早闭、颅骨缺损等[7,8]。
但是方案的设计仍是一大难题,神经外科医生难以熟练的运用各种软件,而软件工程师则对现实的解剖和手术难以深入的理解,本例中颅底面的线状切割在实际操作过程中遇到较大的困难,因此如何在交叉学科上加强交流,深入探讨,包括加入整形外科医生的美学,工程力学的稳定,最终得出较完美的解决方案,以提高总体的治疗效果。尽管脑积水后巨颅的发病率已越来越罕见,但该项技术仍可以广泛的应用于颅缝早闭患儿,以及推广至其他专业疾病。
参考文献
[1].Winden KD, Yuskaitis CJ, Poduri A. Megalencephaly and Macrocephaly. Semin Neurol. 2015;35(3):277-87.
[2].Orru E, Calloni SF, Tekes A, et al. The Child With Macrocephaly: Differential Diagnosis and Neuroimaging Findings. AJR Am J Roentgenol. 2018;210(4):848-59.
[3].Sampson MA, Berg AD, Huber JN, et al. Necessity of Intracranial Imaging in Infants and Children With Macrocephaly. Pediatr Neurol. 2019;93:21-6.
[4].Manwaring JC, Truong D, Deukmedjian AR, et al. Cranial reduction and fixation with a resorbable plate combined with cerebrospinal fluid shunting for difficult-to-manage macrocephaly related to hydrocephalus. J Neurosurg Pediatr. 2013;11(2):210-3.
[5].Iyer RR, Carey CM, Rottgers SA, et al. Early postnatal cranial vault reduction and fixation surgery for severe hydrocephalic macrocephaly. J Neurosurg Pediatr. 2018;21(5):486-95.
[6].Mathews MS, Loudon WG, Muhonen MG, et al. Vault reduction cranioplasty for extreme hydrocephalic macrocephaly. J Neurosurg. 2007;107(4 Suppl):332-7; discussion 0-1.
[7].沈志鹏. 计算机辅助设计在小儿颅骨畸形治疗中的临床应用 [硕士]: 浙江大学; 2012.
[8].王占祥, 朱宏伟, 马永会, et al. 颅腔重建治疗脑积水继发巨颅畸形. 第八届全国神经外科年会论文集;南昌2009. p. 657-.
(本文由浙二神外周刊原创,浙江大学医学院附属儿童医院神经外科翁建彬主治医师整理,沈志鹏主任审校;浙二神经外科张建民主任终审)




