荷兰奈梅亨拉德堡大学医学中心神经外科的Ronald H.M.A. Bartels 等报道1例特发性脊髓疝患者个案,研究手术标本后提出该疾病是胚胎期发育异常的观点。文章发表在2018年6月的《World Neurosurg ery》杂志上。
——摘自文章章节
【Ref: Bartels RHMA , et al. World Neurosurg. 2018 Jun;114:30-33. doi: 10.1016/j.wneu.2018.02.187. Epub 2018 Mar 10.】
研究背景
特发性脊髓疝(idiopathic spinal cord herniation)是一种少见的疾病,其病因没有定论。荷兰奈梅亨拉德堡大学医学中心神经外科的Ronald H.M.A. Bartels 等报道1例特发性脊髓疝患者个案,研究手术标本后提出该疾病是胚胎期发育异常的观点。文章发表在2018年6月的《World Neurosurg ery》杂志上。
研究方法
24岁男性患者,出现胸髓左侧半切综合征(图1),无外伤史。在严密的电生理监测下行手术治疗,术中切除部分疝出物,占位效应缓解(图2),术后无神经功能障碍。手术标本进行HE染色、免疫组化染色及甲基化检测。
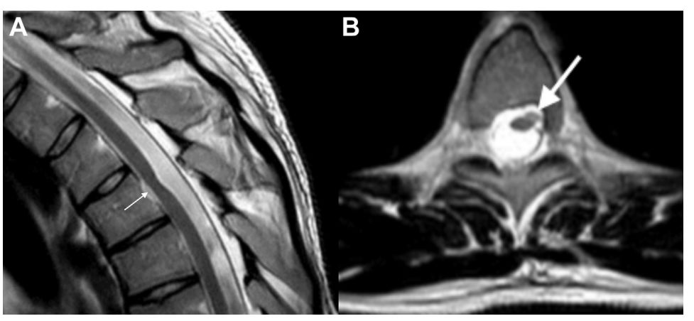
![]()
图1. A.MRI-T2 矢状位可见T4节段疝出;B.轴位脊髓疝出偏向左侧。
![]()
图2. 手术中所见:A.将脊髓(SC)推向右侧暴露疝出物(HM);B.在硬膜上分离疝出物;C.切除部分疝出物组织;D.用人工脊膜修补。
研究结果
组织病理学染色发现,病灶是以星形细胞为主的神经胶质细胞增生,偶见神经元细胞。免疫组化显示,整个病灶胶质纤维酸性蛋白(GFAP)强阳性,NeuN蛋白染色弱阳性,提示神经元分化;在病灶外缘部位可见起源于硬膜的纤维囊。囊壁内和周边有神经纤维的轴突。病灶内只有少量神经纤维,无髓鞘,证明该病灶为无功能性组织。甲基化检测未发现中枢神经系统肿瘤。
结论
最后作者指出,特发性脊髓疝不是后天获得性疾病,而是在胚胎发育30-60天时发育异常所致的病变。所谓的“脊髓疝”是硬膜组织来源的胶质增生组织,建议命名为“脊髓闭合不全伴错构样生长病变”。






