![]()
今天为大家分享的是《贝朗时间》“脊柱裂”专题,由解放军总医院第一医学中心神经外科尚爱加教授带来的:脊髓纵裂畸形手术经验分享,欢迎阅读、分享!
![]()
尚爱加,解放军总医院第一医学中心神经外科主任医师,副教授,研究生导师,脊髓脊柱病区负责人。专业特色为小儿神经外科和脊髓脊柱疾病的显微外科治疗。目前担任国家卫计委全国出生缺陷培训专家委员会先天神经畸形专业组组长,中国神经修复学会神经遗传发育疾病分会副主任委员,中华医学会神经外科分会脊柱脊髓学组委员,中国医师协会小儿神经外科专家委员会委员,北京医学会脊髓脊柱专业组委员。
陶本章,解放军总医院第一医学中心神经外科主治医师,毕业于解放军医学院,师从尚爱加副教授,从事脊髓脊柱疾病的相关研究和临床诊疗工作6年,擅长脊髓拴系、椎管肿瘤、chiari畸形等脊髓疾病的外科治疗。
患者王某某,33岁女性,以“腰痛9年,加重伴二便障碍、右下肢肌力减退15天入院”,患者腰部酸痛9年,当地医院行“腰麻”下剖宫产术后腰痛症状突然加重,并伴有严重排尿困难,大便费力,右下肢肌力减退,入院时右下肢肌力II级。
![]()
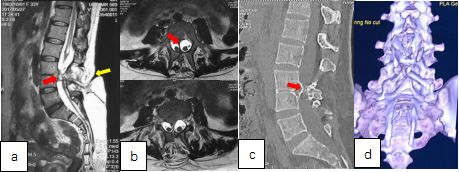
患者术前影像学检查。
MRI检查矢状位(图a)可见椎腰3、4水平椎管内横行骨棘(红色箭头处),脊髓内局部异常信号,横断位(图b)可见脊髓分为左右两支,脊髓位于左右两支脊髓之间。另可见患者背部皮毛窦、终丝增粗、双棘突畸形。CT(图c)可见腰3、4椎体分节不全,部分融合,骨棘为高密度,考虑为骨性。棘突形态欠规则。CT三维重建(图d)可更直观反映双棘突及骶椎裂的情况。
该患者术前几乎涵盖了脊髓纵裂畸形的所有临床表现,包括皮肤表现、二便症状、下肢力量等。患者症状由“腰麻”后突然加重,考虑可能由腰椎穿刺脊髓损伤导致,因此此类患者脊髓圆锥低位、张力高,硬膜下麻醉应非常谨慎,临床上如遇腰骶部毛发、皮毛窦等异常表现的,应高度怀疑脊髓纵裂或脊髓拴系,需行相关检查确认。
![]()
由骨棘四周向中间逐步咬除椎板,充分显露出骨棘背侧的轮廓,如图中黄色虚线标识。
磨钻磨除骨棘。磨钻的使用需要非常小心,我们常选用较小的磨砂钻头,防止钻头打滑误伤周围组织。使用磨钻前,清理操作区域周围杂乱组织,防止卷入高速旋转的钻头,不建议在此附近使用棉片,防止卷入。及时降温,防止热损伤。
![]()
骨棘处理完成后,可显露出两侧硬膜囊中间的硬脊膜分隔,如图中黄色箭头所示。
![]()
在硬脊膜分隔两侧梭形切开硬膜,显露出左右侧脊髓。
![]()
硬脊膜分隔处理完成后,进一步松解、游离蛛网膜粘连。探查见脊髓张力明显降低。
![]()
缝合硬脊膜切口,将两侧硬膜囊合为一个,脊髓与背侧硬脊膜切口之间可用不可吸收人工硬脊膜隔开,防止脊髓与硬膜切口粘连。
![]()
术后5个月影像学复查见骨棘切除满意,脊髓无卡压及粘连,患者主诉腰痛症状明显减轻,大便费力缓解,仍残留有小便困难,下肢肌力恢复至IV级。
脊髓纵裂畸形 (split cord malformation, SCM)又称脊髓纵裂、双杆脊髓、脊髓分裂症、二重脊髓症。是指由于各种原因,椎管内出现骨性或纤维性的间隔,使部分脊髓被分为左右两干,左右两侧脊髓有其各自的功能。脊髓纵裂diastematomyelia这一概念最早由Ollivie于1837年提出,随着对脊髓纵裂发生机制研究的深入,有学者建议使用split notochord syndrome,以更好贴合其胚胎学发生机制,但目前最为普遍使用的仍是1992年Pang提出的split cord malformation这一概念。
脊髓纵裂的发病机制目前尚未明确,目前普遍认为是在胚胎发育第3-4周神经管形成过程中,由某种因素导致的内胚层和外胚层发生粘连,无法彻底分开,粘连的局部由间充质细胞填充,这些间充质细胞逐步分化为骨、软骨、纤维、血管等组织,横贯椎管,将脊髓从中间隔开,使脊髓的局部分为左右两部分,形成脊髓纵裂畸形。导致内外胚层粘连的因素目前唯一较为确认的为叶酸缺乏或代谢异常,随着研究深入,逐渐认为基因改变或物理、化学、生物因素作用,也可导致内外胚层分离异常。
Pang将脊髓纵裂分为I型和II型,I型为两条脊髓间为骨性或软骨性间隔,间隔水平两侧脊髓分别在各自的硬膜囊内,中间被骨性或软骨性纵隔分隔。II型两条脊髓处于同一硬膜囊内,两条脊髓间为纤维性间隔。特征性皮肤表现(腰背部异常毛发、皮毛窦、血管痣等)、双下肢发育不对称、大小便异常、脊柱侧弯等是脊髓纵裂畸形的常见临床表现。在成人患者中,腰背部和下肢的疼痛症状也是脊髓纵裂的常见临床表现。
脊髓纵裂患者产生症状的实际原因是脊髓拴系,但I型和II型造成拴系的情况不同。
I型脊髓纵裂骨性纵隔在脊髓纵裂处的卡压,是形成拴系的直接原因,且这种因素对脊髓的固定作用严重。因此对I型脊髓纵裂应早期手术,即使患者无症状也建议手术治疗,手术可解除骨棘对脊髓的卡压,松解神经根的牵拉,也有助于阻止因脊柱的生长或日常运动引起的继发性损害。除骨性纵隔外,硬脊膜形成的纵隔对脊髓的卡压也应去除,尤其应仔细松解纵裂尾侧对脊髓的卡压。术中切除纵隔部分的硬膜,使双硬膜囊成为单硬膜囊,彻底解除硬膜囊对脊髓的卡压。
对于II型脊髓纵裂的治疗目前仍有争议,有人认为应积极手术探查,有人则认为无需手术。笔者认为,对无症状或症状轻微的II型脊髓纵裂可以观察,这些病例占II型脊髓纵裂的多数。对有明显脊髓拴系表现的患者,应考虑手术治疗。手术可根据脊髓拴系的原因进行。对影像上有明确纤维分隔者,应切除分隔行松解术。对无纤维性隔卡压的SCM,应考虑是否为终丝牵张引起脊髓拴系而行终丝切断术。有的纤维分隔比较细小,我们建议对于II型脊髓纵裂,应对于脊髓分叉处尤其是尾侧的分叉处进行薄层磁共振扫描,以明确是否有纤维纵隔,避免漏诊。
I型纵裂的手术治疗相对手术难度高,风险大,现将我们在I型脊髓纵裂手术方面积累的经验总结如下:
1. 切除骨棘与切开硬膜的先后顺序。
有神经外科医生在切除骨棘时为追求骨棘的充分显露,选择先切开硬膜,将脊髓向两侧牵开后处理骨棘,这种方法在获得骨棘充分显露的同时也增加了手术操作的风险,脊髓与骨棘之间无脑脊液、硬膜保护,磨钻和双极电凝产生的热效应、磨钻可能产生的机械损伤、脊髓的牵拉损伤都会导致术后神经功能障碍的加重,因此我们建议在骨棘处理满意后再打开硬膜,把处理骨棘变为硬膜外操作,使操作区域和脊髓之间有硬脊膜和循环的脑脊液作为缓冲,可以明显降低上述风险的发生率。另一方面,骨棘内或周围有大量增生或畸形血管,切除时可能有大量出血,如先切开硬膜再处理骨棘会不可避免的使部分出血流入蛛网膜下腔,影响手术操作并可能引起相关并发症。
2. 骨棘的切除方法。
切除骨棘对器械要求很高,好的器械可以有效降低骨棘切除难度和风险,我们常用的有窄口咬骨钳、磨钻、超声骨刀,对于细小的骨棘可选用窄口咬骨钳或持针器、止血钳等直接咬除;对于粗大的骨棘,我们建议选用磨钻先将骨棘内部分的骨质磨除,使周围仅留薄层骨皮质,再使用持针器、止血钳等咬除,这样可以更大程度的减少磨除骨棘时对周围硬膜的损伤。配有磨头的超声骨刀具有产热少、运动幅度小的优点,更加适用于此类手术。如使用磨钻切除骨棘,应尽量避免磨除区域周围使用棉片,防止被高速旋转的钻头卷入。
3. 脊髓腹侧硬脊膜裂口是否需要缝合。
如操作空间允许,缝合是最理想的选择。但一般情况下,骨棘切除后尾侧脊髓分叉处会不同程度上移,占据了腹侧硬膜囊的操作空间,缝合困难。由于一般情况下腹侧硬脊膜与后纵韧带上多无潜在腔隙,如无空间进行缝合,可双极灼烧切口使其紧贴于后纵韧带上,我们既往手术均采用此方法处理,未见腹侧的脑脊液漏。但如果骨棘根部处理过多,显露出椎间盘,或腹侧有明显腔隙或缺损,则应尽可能修补,如无法修补,可采用Neuro-Patch补片固定于此处。
4. I型脊髓纵裂合并脊柱侧弯的手术策略。
在I型脊髓纵裂合并脊柱侧弯的处理上,传统上多建议先行脊髓纵裂切除再二期进行侧弯矫正手术,近年来,一期手术同时处理脊髓纵裂和脊柱侧弯也逐渐被接受,对有经验的医院,一期治疗脊髓纵裂和脊柱侧弯不会增加相应并发症,是安全有效的。建议应由神经外科和骨科医生配合进行手术。我们认为,无论一期同时处理脊髓纵裂和脊柱侧弯还是分期手术,均应处理骨赘后再行矫正手术,以免矫正脊柱曲度时骨棘与脊髓的相对位置发生变化,而加重脊髓的卡压损伤。
5. I型脊髓纵裂是否切断终丝。
脊髓纵裂本身即是一种特殊类型的脊髓拴系,I型脊髓纵裂的临床症状主要是由于骨棘的卡压或纤维组织的牵拉导致,我们认为,成人脊髓圆锥与脊柱的相对位置已较为固定,如果纵裂彻底解除后脊髓张力已明显减低(由重力作用垂至椎管腹侧),可不再另作切口进行终丝切断,反之,如果纵裂处理完,脊髓仍处于紧绷状态,则应延长切口或另做切口行终丝切断。对于儿童脊髓纵裂患者,由于处于生长发育期,脊髓圆锥和脊柱的相对位置仍会发生变化,因此不论纵裂处理完脊髓张力如何,均应预防性作终丝切断。
小结:I型脊髓纵裂的手术虽有一定的难度和风险,但注意细节、改善方法后,是可以达到满意的手术效果的,I型纵裂儿童患者推荐一期预防性行终丝切断,成人患者可根据纵裂处理完后脊髓张力的变化选择终丝切断与否。不同类型、不同年龄的脊髓纵裂患者需针对性、个体化选择不同的治疗方案。




