
今日与大家分享的是《正海-妙术视界》第一百五十期,由新乡医学院第一附属医院神经外科周文科教授团队医生刁玉领、马鹏举、马驰、赵锦丽等带来的:“一例迂曲椎动脉致面肌痉挛合并三叉神经痛手术”,欢迎观看、分享。
一例迂曲椎动脉致面肌痉挛合并三叉神经痛手术
![]()
刁玉领,医学博士,副主任医师,来自于新乡医学院第一附属医院周文科教授团队,2006年参加工作至今,毕业于首都医科大学,师从我国著名神经外科专家于春江教授,博士学习期间完成了系统的颅底解剖培训,目前致力于颅底肿瘤及脑血管病的手术治疗。擅长各种复杂颅底手术及脑血管搭桥手术。发表SCI论文三篇。
患者女性,61岁,患者因“右侧面部间断抽搐发作2年余,右下颌间断电击样疼痛2月余”为主诉入院;查体:右侧睑裂变小。
![]()
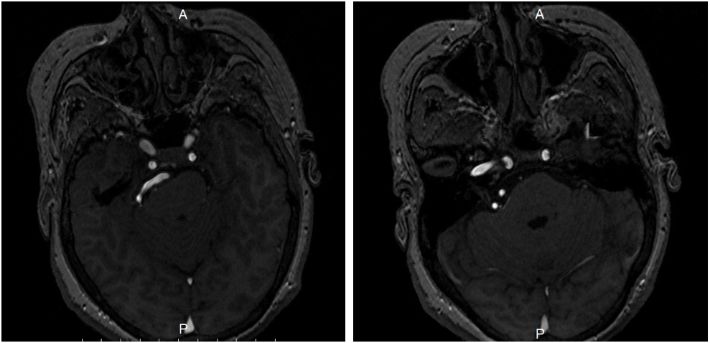
术前影像
![]()
术前阅片考虑责任血管为右侧迂曲椎动脉,同时压迫面神经及三叉神经。
面肌痉挛及三叉神经痛均为右侧,常规右侧枕下乙状窦后开颅。
当责任血管较粗大时,常规的垫棉垫开的方法往往效果不佳,可考虑“多点架桥法”或“生物胶悬吊法”,根据术中具体情况选择。
术中常规电生理检测。
![]()
手术开始前电生理
手术开始前最小2mA刺激可引出AMR波。
术中证实我们对影像结果的判断,迂曲的椎动脉同时压迫面神经及三叉神经,面神经受压变形,三叉神经被压向天幕呈薄片状,尝试多点推开椎动脉,但对面神经仍有向后压迫,无法实施“多点架桥”,故选择“生物胶悬吊”。
![]()
迂曲的椎动脉压迫面神经,面神经受压变形。
![]()
迂曲的椎动脉压迫三叉神经,推开椎动脉可见三叉神经被压向天幕呈薄片状。
![]()
于三叉神经与椎动脉之间临时置入明胶海棉,使椎动脉远离三叉神经,再于椎动脉与脑干之间置入明胶海绵,使椎动脉远离面神经及脑干,使椎动脉临时固定。
![]()
进一步应用生物胶将椎动脉悬吊固定。
![]()
术毕电生理
术毕50mA刺激未引出AMR波。
术后患者面肌痉挛及三叉神经痛症状均消失,术后8天拆线后出院,进一步随访中。
感谢新乡医学院第一附属医院周文科教授对本病例的指导。感谢电生理监测赵锦丽老师的辛勤劳动和付出。
![]()






