提示
“浙二神外周刊”不定期接收外院投稿,审核后发表。欢迎各专业同道联系我们,分享精彩病例、研究热点或前沿资讯。投稿请联系:shishi74@163.com
前言
与成人神经外科相比,小儿神经外科有许多特点和不同,因而在诊断及治疗上也与成人有很大的不同。在国外小儿神经外科完全独立,自成一体。为了更好地了解小儿神经外科,我们选编了浙江大学附属儿童医院神经外科诊治的部分有代表性病例,分期刊出供大家了解和参考。希望给大家有所借鉴。
病史简介
患儿,男,12岁,因“反复腰背部疼痛、双下肢无力1年半余”入院。
患儿1年半余前无明显诱因下晨起出现腰背部疼痛,以腰椎偏右侧持续性疼痛为主,后逐渐蔓延至四肢,并出现行走受限伴小便失禁,尿色清,尿量可,入住浙江大学医学院附属儿童医院神经内科。
查体:T:37.2℃,P:84次/分,R:20次/分,BP:103/63mmhg,神志清,精神可,皮肤弹性可,听诊双肺呼吸音清,未及啰音,心音中,律齐,未及杂音,腹平软,肝脾肋下未及。神经系统:眼球活动正常,双侧瞳孔等大等圆,对光反射存,颈软,克氏征、布氏征阴性,颅神经检查无殊,左下肢肌力Ⅱ-Ⅲ级,肌张力正常,右侧腱反射亢进,左侧巴氏征阳性。
血常规检查:细胞计数6.45×10^9/L,淋巴细胞28.9%,中性粒细胞61.2%,血红蛋白127g/L,血小板计数328×10^9/L。超敏C反应蛋白4mg/L。红细胞沉降率:40mm/h;前降钙素<0.500ng/L。
腰穿:脑脊液常规:白细胞数8.010^6/L。脑脊液生化:葡萄糖4.32mmol/L,氯126.4mmol/L,微量总蛋白408.0mg/L。脑脊液培养鉴定:阴性。脑脊液水通道蛋白:IgG阴性。肠道病毒、单纯疱疹病毒检测:阴性。
脊柱X线:全脊柱未见明显骨质异常。全脊柱CT:颈椎、胸椎、腰骶椎椎体目前骨质未见明显异常。
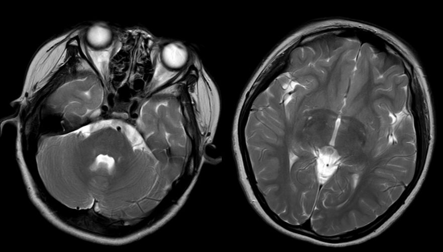
头颅MR:左侧小脑半球异常信号,左侧脑室体部后外侧异常信号,双侧半卵圆中心、侧脑室旁血管周围间隙增多。颈胸髓及腰骶部MRI提示:C3-T4平面脊髓肿胀,伴多发异常信号,胸髓全段肿胀,伴信号异常,腰骶髓异常信号影,考虑脊髓炎可能(图1)。
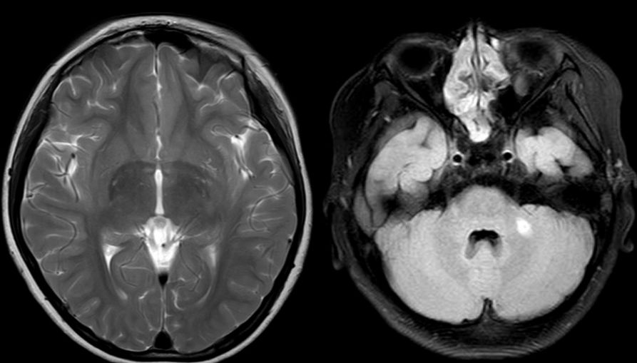
综合以上检查,诊断考虑“病毒性脑脊髓炎”。予“阿昔洛韦”抗病毒、“金璐捷”营养神经、“甲强龙”激素冲击等对症治疗15天,好转后出院。出院后继续口服“强的松”治疗1年余。出院后平时可下地行走,但未能坚持长时间,爬楼梯吃力,可短程小跑,剧烈运动或行走时间长后有腰背部疼痛、四肢酸痛,休息后可好转,感冒后症状加重,行走困难,站立不稳,伴腰背疼痛及排尿困难,有时大便失禁。感冒好转后症状可缓解,恢复至平时状态。现双下肢可行走,无腰背部疼痛、四肢酸痛,来院复查磁共振见脊髓粗细正常,未见明显异常信号(图2),为进一步诊治,门诊拟“病毒性脑脊髓炎”再次收住入院。
再次住院时查体:体温正常,一般情况良好,颈软,克氏征、布氏征阴性,颅神经检查无殊,四肢肌力V级,肌张力正常,膝、跟腱反射亢进,双巴氏征阳性。
![]()
![]()
![]()
![]()
图1. 第一次住院头颅及脊髓MRI,显示左侧小脑半球异常信号。脊髓全段肿胀,伴信号异常,腰骶髓异常信号影,考虑脊髓炎可能。
![]()
![]()
图2. 治疗1年后复查头颅及全脊髓磁共振:左侧小脑半球与前片比较异常信号基本消失。全脊髓粗细正常,未见明显异常信号。
诊疗经过
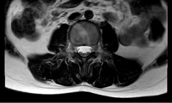
再次入院后予完善相关检查,相关病毒检测均提示阴性,炎症指标不明显。请神经外科会诊:结合患儿有下肢乏力,行走不稳,腰背部及双下肢疼痛,小便困难,大便失禁及便秘等症状,需排除存在脊髓栓系可能。回顾阅片初次的腰骶髓MR(图1):可见膀胱充盈扩张明显,横断面似见终丝脂肪浸润,建议再次复查MRI,可见终丝脂肪信号(图3)。
![]()
![]()
图3. 腰骶髓MR:箭头所指处可见终丝脂肪信号,T1上高信号,T2上低信号。
请放射科等多学科MDT讨论后认为:脊髓圆锥末端位于L1下缘水平,腰膨大形态较僵,终丝处于绷紧状态,位置偏后,横断面T2上终丝信号偏低,脂肪浸润可能,需考虑脊髓栓系综合征。
与家属沟通后,选择行脊髓栓系松解术。考虑患儿为单纯终丝脂肪浸润紧张型,仅离断终丝即可,遂选择经棘突间隙终丝离断术。
手术过程
体位及切口:俯卧位,定位腰4/5椎间隙,直切口,约2.0cm(图4)。切开棘上韧带至黄韧带,暴露硬脊膜,再切开硬脊膜探查椎管内:明确脂肪变的终丝,游离周围神经,电凝终丝血管,切断终丝。缝合硬膜及切口(图5)。
![]()
图4. 术中俯卧位,腰背部L4/5棘突切口
![]()
![]()
![]()
图5. A切开棘上韧带至黄韧带,暴露硬脊膜,B再切开硬脊膜探查椎管内:C明确脂肪变的终丝,游离周围神经,D电凝终丝血管,切断终丝。E缝合硬膜及切口
术后保持俯卧位,留置导尿次日拔除,自解小便,大便3天解,无脑脊液漏及切口感染等并发症,术后5天出院。
术后病理结果:(终丝)小片纤维脂肪血管组织,可见神经纤维,区域伴玻璃样变。
术后1月门诊复查,患儿腰背部及下肢疼痛已消失,行走较前明显改善,大小便基本正常,复查MR:终丝离断后改变(图6)。
![]()
图6. 术后1月复查MRI,示终丝离断后改变
随访半年后,患儿双下肢肌力V级,能正常行走,腰背部及下肢疼痛消失,大小便基本正常,无排尿困难及大便失禁情况。复查MRI示:终丝脂肪信号较术前明显(图7)。
![]()
图7. 术后半年复查MRI:终丝脂肪信号较术前明显
讨论
脊髓栓系综合征(Tethered cord syndrome, TCS)是指先天或后天因素导致的使脊髓受牵拉、压迫、圆锥低位,造成脊髓神经血管出现缺血、缺氧,逐渐发生变性坏死或呈退行性改变,临床上出现下肢感觉、运动功能障碍或畸形、大小便功能障碍等神经损害的症候群[1]。
正常胚胎发育的早期,脊柱与脊髓的长度大致相等,随后脊柱的生长速度快于脊髓,进而造成脊髓的位置逐渐上升,至出生后3个月,脊髓位置可达到成人水平,即位于腰1-2水平[2]。如果这一过程中脊髓与周围组织粘连或因其他因素造成脊髓上升受限时,脊髓被牵拉而紧绷,引起血管机能不全及继发性的缺血缺氧、变性而出现症状。
TCS多见于新生儿和儿童,成人少见,根据磁共振的特点通常分成脊髓脊膜膨出型、脊髓脂肪瘤型、终丝紧张型、脊髓纵裂型和术后瘢痕粘连型[3]。其中脊髓脊膜膨出型、脊髓脂肪瘤型、脊髓纵裂型有比较突出、典型的影像学特征,临床诊断上并不困难。而对于终丝紧张型,传统的观点认为脊髓因受到下方的拉力影像一定会导致圆锥处于低位,但随着人们对TCS研究的深入以及临床观察中发现一些圆锥位置正常且无明显神经受压迫的患者,一样表现出类似TCS神经损伤的症状,并且在切断终丝后神经功能损伤得到一定恢复,进而提出了隐性TCS(occult TCS, OTCS)的概念[4],即圆锥位置正常的脊髓栓系综合征。OTCS可简单的分为2类,即终丝脂肪变和终丝非脂肪变。正常终丝的直径约为0.5mm,终丝在脂肪浸润、纤维变性的情况下会增粗至1.0-1.5mm,甚至大于2mm。伴有终丝脂肪变的TCS在MRI上通常可见到终丝内含脂肪信号,诊断较为容易,但是对于终丝无脂肪变的TCS则诊断难度大,临床容易出现误诊和漏诊。
本例患儿的临床表现同TCS引起的神经功能症状相似,但其磁共振检查上圆锥位置正常,终丝脂肪信号微弱,在缺乏经验的放射科诊断及临床医生面前易出现漏诊情况,且同时伴有颈胸髓长节段的信号异常,最初诊断为病毒性脊髓炎,予以卧床休息、激素冲击、营养神经等治疗,患儿脊髓缺血缺氧情况有改善,临床表现上有一定的效果,肌力较前有所恢复,但未能完全恢复正常。
因为栓系对脊髓产生的张力可以使脊髓的小动脉、小静脉和毛细血管拉伸、扭曲和变形,导致神经元间歇性缺氧和蓄积性损伤。反复的脊柱拉伸、伸曲性运动或Valsalva动作时腹部肌肉紧张,导致静脉淤血作用于脊髓,脊髓会出现反复的缺血缺氧状态,进而加重脊髓的损伤[5]。因此该患儿在剧烈运动、上楼梯等时候会出现症状加重的情况,提示脊髓已处于失代偿的边缘。临床多次遇到儿童在学习跳舞练习下腰动作时不慎扭伤后出现双下肢瘫痪的情况,可能提示存在TCS的情况,突然的外力导致脊柱拉伸,脊髓瞬时的损伤导致脊髓休克,部分患儿经治疗后好转,而部分则残留较严重的后遗症。
机械损伤通常受力大,脊髓呈现横贯性的损伤,表现为肌力下降与大小便失禁共同发生,而慢性的代谢损伤则首先发生在脊髓神经元需氧量大的部位,比如神经元间的轴突连接处,相反,支配肌肉运动的神经长束则对早期的缺氧状态相对不敏感[5]。因此,自然病程的OTCS通常一开始表现为膀胱功能障碍,进而发展到下肢功能障碍。据报道泌尿系统功能障碍在OTCS中的发生率可达68-100%[6],在儿童中通常表现为尿频和尿失禁,在一些患儿中,反复的尿路感染也可能提示存在膀胱功能障碍。因此,尿流动力学检查可作为诊断OTCS的一项重要依据,尤其是在影像学终丝脂肪变阴性的患儿中,合并神经源性膀胱的可能是诊断TCS的存在一项重要证据。另外一些检查如行俯卧位的MRI[7]、肌电图等可以提高临床诊断率[1]。
TCS的自然病程提示约有50%的患者会出现神经功能的损害,彻底的松解栓系可以提高患儿的预后,因此,积极的手术是目前治疗脊髓栓系的公认方法[8]。 对于单纯终丝紧张型的TCS,目前主张仅行终丝离断即可,预后在所有类型中最佳。浙大儿院神经外科目前开展小切口经棘突间隙入路进行终丝离断术,手术切口在2-3cm,无需切除椎骨,手术创伤小,而疗效确切,降低了术后瘢痕形成再次栓系的几率,同时患儿恢复快,住院时间4-5天,符合目前微创、快速康复的理念,值得推广。
参考文献
[1].Tuite GF, Thompson DNP, Austin PF, et al. Evaluation and management of tethered cord syndrome in occult spinal dysraphism: Recommendations from the international children's continence society. Neurourol Urodyn. 2018;37(3):890-903.
[2].Warder DE, Oakes WJ. Tethered cord syndrome and the conus in a normal position. Neurosurgery. 1993;33(3):374-8.
[3].Lew SM, Kothbauer KF. Tethered cord syndrome: an updated review. Pediatr Neurosurg. 2007;43(3):236-48.
[4].Selden NR. Minimal tethered cord syndrome: what's necessary to justify a new surgical indication? Neurosurg Focus. 2007;23(2):E1.
[5].Lee TT, Arias JM, Andrus HL, et al. Progressive posttraumatic myelomalacic myelopathy: treatment with untethering and expansive duraplasty. J Neurosurg. 1997;86(4):624-8.
[6].Steinbok P, Kariyattil R, MacNeily AE. Comparison of section of filum terminale and non-neurosurgical management for urinary incontinence in patients with normal conus position and possible occult tethered cord syndrome. Neurosurgery. 2007;61(3):550-5; discussion 5-6.
[7].Sysoev K, Tadevosyan A, Samochernykh K, et al. Prognosis of surgical treatment of the tethered cord syndrome in children. Childs Nerv Syst. 2018;34(2):305-10.
[8].Seki T, Hida K, Yano S, et al. Surgical Outcomes of Pediatric Patients with Asymptomatic Tethered Cord Syndrome. Asian Spine J. 2018;12(3):551-5.
(本文由浙二神外周刊原创,浙江大学医学院附属儿童医院神经外科翁建彬主治医师整理,沈志鹏主任审校;浙二神经外科张建民主任终审)




