2019年05月16日发布 | 1434阅读

楼美清教授:内镜经鼻斜坡切除侵犯脑干的肿瘤

毕云科

上海市第一人民医院

楼美清

上海市第一人民医院

达人收藏

今日与大家分享的是《正海-妙术视界》第一百四十八期上海市第一人民医院神经外科主任楼美清教授带来的“内镜经鼻斜坡切除侵犯脑干的肿瘤”,文末由著名颅底外科专家卢亦成教授、著名神经内镜专家张晓彪教授作出精彩点评,欢迎观看、分享。


楼美清教授:内镜经鼻斜坡切除侵犯脑干的肿瘤


术者简介



楼美清 教授,上海市第一人民医院神经外科主任,医学博士,主任医师,博士生导师。


中华医学会上海市神经外科专委会常委,中国医师协会神经内镜专业委员会委员,中国医师协会微侵袭神经外科专委会委员,世界华人神经外科协会脊柱脊髓专家委员会副主委,中国医师协会脑血管病专业委员会委员,上海市抗癌协会神经肿瘤专业委员会副主委,中华医学会神经脊柱专业委员会委员,中国垂体瘤协作组委员。


从事神经外科工作27年,有高度娴熟扎实的显微镜和内镜神经外科技术操作功底, 在颅内肿瘤、脑血管病、脊椎等神经系统疾病手术中积累了约6000余例的丰富临床经验。


擅长:内镜、显微微创技术治疗垂体瘤、听神经瘤、脑干等各类复杂颅底肿瘤,面瘫、偏瘫患者神经功能修复。微创治疗三叉神经痛、面肌痉挛、椎间盘突出等神经痛疾病。


专家门诊时间:周一下午、周三下午

IMCC精品特需预约门诊: 周四上午


Clinical Presentation

  • 22y, Female headache , double Vision for 4 m;

  • Examination:GCS 15 scores;abducens nerve palsy

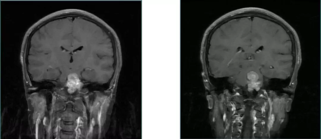
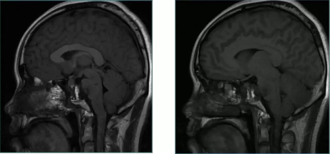
  • MRI Images:Reveals occupying lesions in pre-pon cistern, tumor with a upper clivus extension imbedding into brainstem from anterior.  Part of clivus bone is erosion.


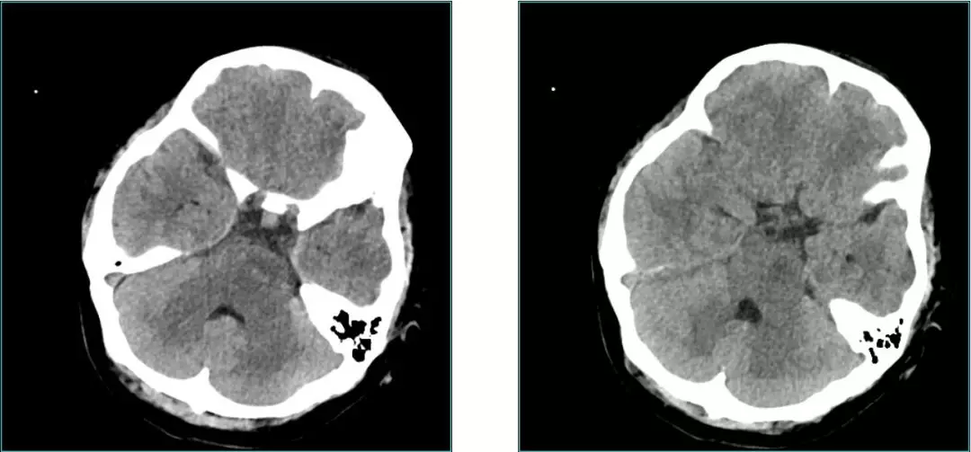
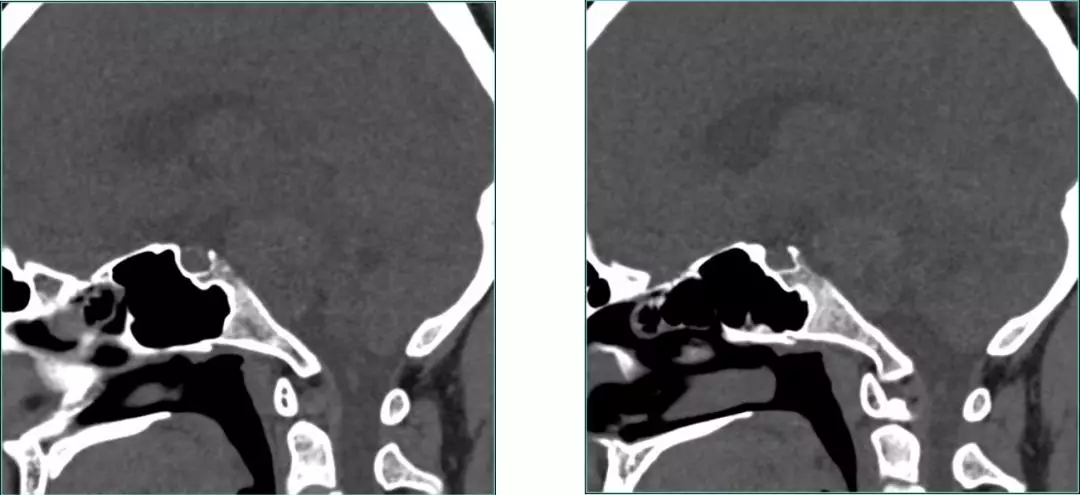
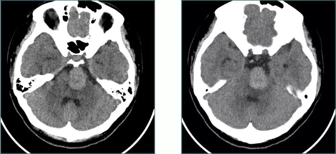
Pre-op CT scan


Pre-op CT scan


Pre-op CT Contrast


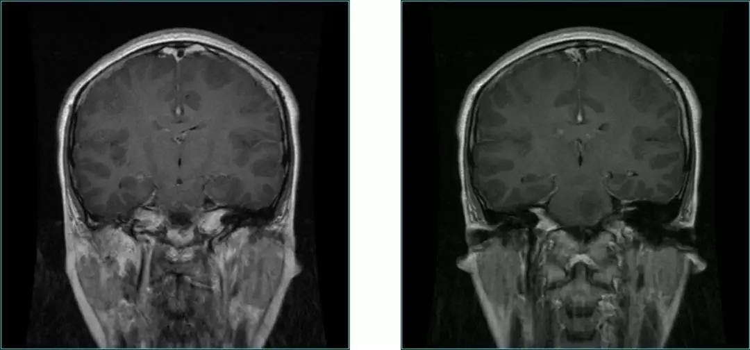
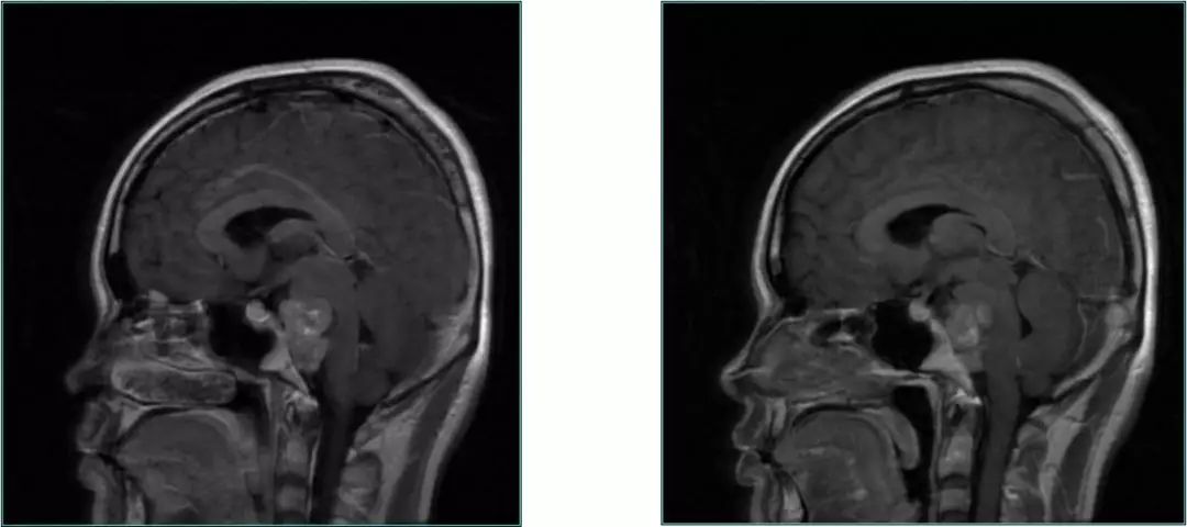
Pre-op MRI Contrast


Pre-op MRI Contrast


Pre-op MRI Contrast


Initial Diagnosis:

Chordoma ?  Meningioma?


Surgical approaches:

1. Kawase approach : Tumor embedding into brainstem, brain tissue cover the tumor, part of cortical-spinal tract maybe damaged  irreversibly. Part of clivus bone erosed, it is difficult to drill away by this approach, maybe part of the tumor be remained.


2. Endoscopic Transnasal approach: Invaded clivus bone can be removed easily, tumor embedding into brainstem can be removed directly and safely, damaging to brainstem tissue reduced maximally.


Endoscopic Transnasal approach was chosen.


• Make nasal septum  pedicle mucosa flap


• Drill sphenoidal anterior wall


• Sellar Floor and Clivus


• Sellar Floor bone removed and dura appear, Part of clivus dura evaded


• Remove rightside Posterior Clinoid Process

 

• Remove leftside Posterior Clinoid Process


• Open Clivus Dura


• Debulking Tumor

 

• After debulking, dissecting tumor margin

 

• Tumor embedding brainstem appeared



• Tumor in CPA, with 30° angle rigid


• After tumor removal,brainstem

 

• The defective area was sealed with artificial dura sutured to the remaining dura


• Sellar floor reconstruction was performed using layers of fat, fascia, and nasal turbinate tissues


Post-op CT


Post-op MRI with contrast


Post-op MRI with contrast


Post-op MRI


Pathological Result

Chordoma

Immunohistological Results:CK(+),VIM (+) ,PR (-),S-100 (+),GFAP,EMA (+),Ki67 (15%+),Desmin(-),Calponin(-),ER(-)。


General condition is good. 

No CSF fistula, double Vision improved.


专家点评

著名颅底外科专家卢亦成教授点评:

PPT和手术视频都已看过,做的非常好。由于我对内镜了解不多,更无颅底方面内镜的实践经验,所以很难把你的精髓总结得恰到好处。看了这个材料,学到很多,能够与时俱进,敢于进取,善于总结,就一定能在神经外科的路上再创辉煌!


著名神经内镜专家张晓彪教授点评:

对于这例年轻女性侵犯脑干的斜坡脊索瘤,楼美清教授选择了内镜经鼻斜坡入路是最佳策略。术中从制作带蒂中隔瓣、保留重建骨片、充分暴露、精细分离并全切肿瘤、直到多层重建,每一步都精心计划和细致处理,最后病人恢复良好。整个过程将内镜经鼻斜坡入路教科书式实施完成,术中操作规范,结果良好。这一例手术的成功实施,说明只要选好适应症、规范化手术,就可以获得满意的疗效,同时降低并发症的发生,真正体现内镜导航微创的优势!


最新评论
发表你的评论
发表你的评论
来自于专栏
关键词搜索