提示
“浙二神外周刊”不定期接收外院投稿,审核后发表。欢迎各专业同道联系我们,分享精彩病例、研究热点或前沿资讯。投稿请联系:shishi74@163.com
前言
与成人神经外科相比,小儿神经外科有许多特点和不同,因而在诊断及治疗上也与成人有很大的不同。在国外小儿神经外科完全独立,自成一体。为了更好地了解小儿神经外科,我们选编了浙江大学附属儿童医院神经外科诊治的部分有代表性病例,分期刊出供大家了解和参考。希望给大家有所借鉴。
病史简介
患儿,男,2岁5月,因“竹签刺入口腔内致残留伴呕吐5小时”于2019年5月1日晚20点30分入院。
患儿5小时前吃竹签串的烤肠时不慎摔倒,导致烤肠内的竹签刺入口腔深部,家属徒手尝试拔除失败送至当地医院就诊,被告知处理困难,故转诊至浙江大学医学院附属第二医院急诊。到院后患儿呕吐一次,为胃内容物,非喷射性,无呕血等情况。
查体:体温36.5度,脉率135次/分,呼吸26次/分,血压117/69mmHg,当时患儿处于镇静状态,双侧瞳孔等大等圆,光反射可,口腔内可见一竹签,外露约6cm,贴于上颚,未见明显活动性出血,用手触动竹签,见阻力大,不能移动竹签,双侧巴氏征阴性。
辅检:急诊头颅+颌面部CT示:头颅CT平扫未见明显异常;口腔异物,穿至延髓内,延髓损伤可能(图1)。急诊头颅MRI示:口腔内异物穿至颅内,紧贴延髓右侧,未见伤及颅内大血管,延髓异常信号尚不明显(图2)。急诊血常规:WBC:13.15×10^9/L,N:47.7%,HB:119 g/L,PLT:211×10^9/L,CRP<0.5mg/L。
初步诊断:开放性颅内异物;脑干损伤。
![]()
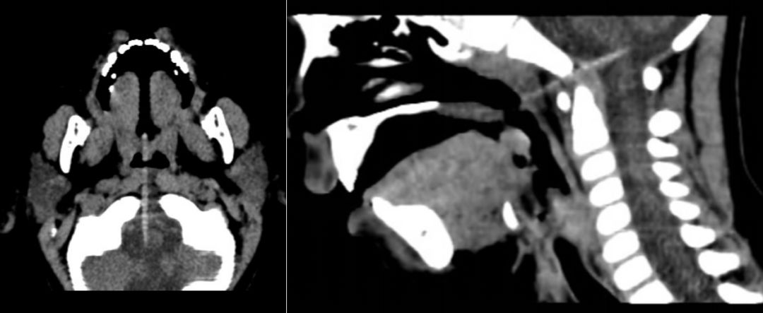
图1. 头颅CT:水平位可见一稍高密度影的竹签从患儿口腔穿入颅底,并固定于患儿右侧脑干旁;矢状位更清楚地看出竹签从口腔内通过颅底枕骨大孔与寰枢椎之间的间隙插入脑干中。颅内未见明显血肿。
![]()
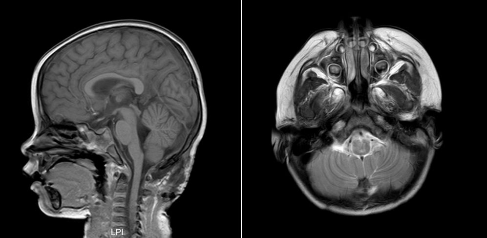
图2. 头颅MRI:T2水平位可见一低信号的竹签影从患儿口腔内刺入患儿右侧脑干旁,距离右侧小脑后下动脉仅0.5cm;从T1冠状位片中的红色区域内可见右侧脑干有一针孔状低信号区,为竹签刺入处。
诊疗经过
患儿至浙江大学医学院附属第二医院急诊后立即请口腔科、整形外科会诊,最后由神经外科会诊。
考虑患儿竹签刺入颅内已超过5小时,建议立即拔除。鉴于家属已尝试自行拔除失败,且查体发现竹签竹签细长,插入较深,拔除过程中容易造成移位甚至折断,且损伤部位为脑干区域,距离小脑后下动脉较近,故采取开颅直视下异物取出术更为安全。完善急诊术前检查,排除手术禁忌后急诊行“开颅探查+颅内异物取出术”。
术中采取经口气管插管,患儿取俯卧位,以后枕部至颈1作纵切口,长约6cm(图3),在枕后隆突下方作一骨窗,打开枕骨大孔,切开硬膜,暴露小脑蚓部,再在显微镜下拉开右侧小脑扁桃体,暴露右侧延髓,见竹签头端已刺入右侧延髓,周围毗邻小脑后下动脉与延髓穿支动脉,在保护好周围组织后由助手从患儿口腔端借助血管钳缓慢逐步拔出竹签。退出竹签后有明显渗血,予以严密止血后反复生理盐水冲洗创面后关颅(图4)。
![]()
图3. 经口插管麻醉,俯卧位
![]()
![]()
图4. 术中所见:A镜下所见延髓处,可见延髓表面有较多迂曲的血管团,而红色方框处为牙签穿通右侧延髓后露出的尖端,紧贴于周围的血管团,并未造成血管的破裂出血。B拔除竹签后,创面明显渗血,予吸除血性脑脊液,反复生理盐水冲洗,并用止血纱布敷于脑干创面。C为止血后创面干净,无明显渗血。D为术中取出的牙签,可见其中段已有毛刺出现,可能造成其穿刺通路上的副损伤。
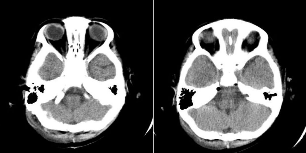
术后第二天顺利脱机,复查头颅CT仅见颅内少许积气,无颅内出血征象(图5)。
![]()
图5. 术后CT复查,未见术区出血等。
术后嘱禁食,并予以美罗培南0.3g q8h联合利奈唑胺 75mg q8h抗感染治疗,辅以脱水降颅压,止血,激素去水肿,营养神经等对症治疗。
术后复查血常规,前两天WBC及中小分类稍高,3天后血常规检查白细胞总数及CRP已完全正常。
患儿术后反复有发热情况出现,体温改变情况如下:
![]()
考虑患儿系异物刺入颅内,且在使用强力抗生素情况下仍出现术后反复的发热,故于5月6日行腰椎穿刺术。结果如下:
![]()
根据患儿该腰穿结果,术后颅内感染明确,且对目前使用的抗生素敏感,在请感染科会诊后,认为患儿异物插入病史明确,不排除有混合感染可能,使用抗生素需要覆盖格兰阴性菌,故继续予以原方案抗感染治疗,并定期复查腰椎穿刺判断疗效。
5月9日患儿再次复查腰穿,结果如下:
![]()
患儿几日来体温情况有明显好转,腰穿结果提示白细胞下降明显,颜色较前清亮,考虑目前抗感染方案治疗有效。
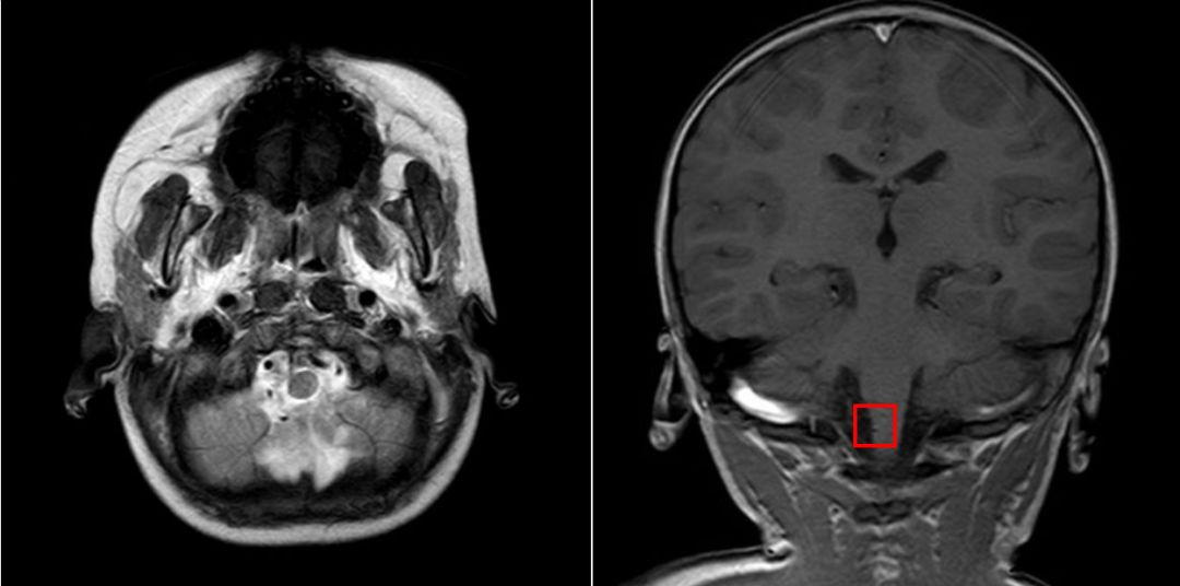
一周后术后复查头颅MRI,未见颅内出血,异物残留征象,未见有颅内脓肿(图6)。
![]()
图6. 术后一周复查MRI,未见出血,异物残留等。
讨论
颅脑穿刺伤(Impalement Craniocerebral Trauma)是指一头端尖锐的物体穿透人体颅骨而进入脑内,从而产生与穿刺物体积相仿的隧道所致的颅脑损伤。文献报道中,此类损伤多见于成人的意外伤害,如车祸、高空作业时失足摔落或是高空坠物砸伤颅脑等,而儿童的颅脑穿刺伤相较于成人在报道数量上要小得多。浙江大学医学院附属第二医院近年来接诊不少此类病人,大部分为学龄前儿童,此年龄段患儿具有一定活动能力,但是又缺乏自我保护意识,在手持筷子、铅笔、毛线针等尖锐物时,一旦摔跤,容易造成损伤。总结近些年来国内外文献的报道,造成儿童穿刺伤常见的异物有金属棍棒、剪刀、镊子、铅笔、铁钉、筷子等。而不同性质的异物、不同部位的穿刺伤有其各自特点:木质异物在CT检查中表现为低密度影,且由于木质由于其本身的特点(如表面出现毛刺、容易折断等),一方面可能增加完整手术取出困难性,使穿刺窦道内有异物残留,最终造成严重的颅内感染,另一方面,木质异物常见于突破患儿较薄的骨质而进入颅内,如经鼻腔、口腔、眶部入颅,而该病例报道的患儿正是木质异物经口腔进入后颅窝的案例。
Hiraishi等人[1]认为,对于一些临床上遇到无法解释原因的儿童颅内脓肿应想到是否有颅内木质异物穿透残留可能;金属异物在CT检查中表现为高密度影,比较容易被直观观察到,且由于金属的质地坚硬,折断可能性低,形成穿刺伤后往往造成颅骨的粉碎性骨折,并引起较严重的贯穿伤,损伤严重程度往往与入颅的部位相关[2]。
由于儿童神经系统尚未发育完全,且颅骨轻薄,抗压及抗冲击能力较差,因此我们应当根据造成颅脑穿刺伤异物的特点及伤及部位的不同,做出不同的个性化治疗方案,绝不能轻易地直接拔出异物。如果在行CT或MRI检查后发现异物与颅内重要血管或其分支相毗邻,则在条件允许的状况下,行CTA或数字减影血管造影(DSA)进一步明确[3]。儿童患者对缺血的耐受性相对较差,因此在术前需要充分备血,并完善术前评估;若异物在颅外的部分较长,则可将其部分离断以减少在搬运、插管时造成的困难和损伤。针对本例患儿情况,由于异物经口腔刺入延髓,浙江大学医学院附属第二医院麻醉科采取的是经口气管插管,有部分学者提出从口腔内入颅的异物取出术采取经鼻气管插管,可以更有效地避免气管插管过程中因异物干扰所导致的副损伤[4]。
对于儿童颅内异物取出术的手术入路选择同样也非常重要,可以根据异物性质的不同、穿刺部位的不同而做出不同的选择,以达到术后出现最少并发症的效果。Sepehr等人曾报告过1例12岁男童颅底贯通伤通过内窥镜经鼻前颅底异物取出术,从该微创手术而有效地避免了患儿术后脑脊液漏的发生[5]。对于经大脑凸面入颅的异物在设计皮瓣时,应使骨瓣尽量覆盖颅内损伤,拔出异物前充分翻开皮瓣,暴露异物周围颅骨,先拔出颅内异物,后再用铣刀锯骨瓣,借此避免因铣刀震动使异物对脑组织再造成不必要的损伤,然后彻底清创,严密修补硬脑膜,必要时可用带蒂肌肉、带蒂骨膜、医用胶等封堵穿刺部位,避免造成术后脑脊液漏。
本例患儿颅内异物为木质,形态规则,影像学上观察颅内段无明显断裂,但插入颅内时间已较久,极易引起感染,同时尖端刺入延髓内,毗邻小脑后下动脉、椎动脉,贸然拔出风险极大,而且竹签细长,插入较深,拔除阻力大,拔除过程中容易造成移位甚至折断,故选择后颅窝开颅直视下取出异物,待暴露延髓观察到竹签头端后,让助手借助血管钳从口腔内用力缓慢拔出整个竹签,拔出后检查其完整性,同时发现其表面有细小的毛刺,确认创面无活动性出血后使用大量生理盐水冲洗延髓区并再次确认无渗血后再关颅。术后及时复查头颅CT,关注有无在拔出时有延髓内部的损伤。患儿术后反复有发热,最终行腰穿后明确了存在颅内感染,故需标准方案足量足疗程的抗感染治疗。
参考文献
[1] Hiraishi T,Tomikawa M,Kobayashi T,et a1.Delayed brain abscess after penetrating transorbital injury[J].No Shinkei Geka,2007,35(5):481-486.
[2] Solarino B,Reckentwald K,Burrows Beckham AM.An unusual case of child head injury by coat hanger[J].Forensic Sci,2008.53(5):1188-1190.
[3] 王喆,闫红梅,曹培成,等.颅眶颌面部钩形金属异物贯通伤一例[J].中华创伤杂志,2007,23(4):287.
[4] 肖顺武,续岭,张学军,等.儿童颅脑贯通伤三例[J].中华创伤杂志,2015,31(5):407.
[5] Sepehr A,Karam AM,Wong BJ.Novel endoscopic management of penetrating intracranial trauma[J].Ann Otol Rhinol Laryngol,2010,119(11):782-786.
(本文由浙二神外周刊原创,浙江大学医学院附属儿童医院神经外科章培良主治医师整理,沈志鹏主任审校;浙二神经外科张建民主任终审)




