今天为大家分享的是由上海交通大学医学院附属新华医院郑璇医师、海军军医大学附属长征医院徐涛副教授带来的:慢性/亚急性硬膜下血肿的手术策略与技巧,欢迎观看、阅读!
虽然亚急性硬膜下血肿(sSDH)和慢性硬膜下血肿(cSDH)与急性硬膜下血肿(aSDH)三者均表现为相同潜在腔隙内的血液积聚。但是它们在病程时长、出血原因、手术方案选择上不尽相同。
根据定义,此三者因头部外伤后发生血肿时间的不同而分类,急性(aSDH)、亚急性(sSDH)、慢性硬膜下血肿(cSDH)分别指头部外伤后72小时内,4~14天内、14天及14天以上所出现的硬膜下血肿。sSDH与cSDH因其发生时间较晚,血肿内水分含量更多,所以外科处理方式不同于aSDH。
尽管典型的aSDH由外伤引起,但cSDH患者也常有各种外伤史。有些患者外伤史明确,有些外伤史不明确,另一些患者甚至缺乏外伤史。实际上,据报道约有40~50%的cSDH患者无外伤史。cSDH的其他病因包括药物,如抗凝药或抗血小板药的使用,以及非常罕见的的基础疾病,例如血管畸形、蛛网膜囊肿、硬脑膜肉瘤及脑膜炎。慢性硬脑膜下血肿在老年人及酗酒者中更为常见。
典型cSDH患者可出现以下一种或多种症状:如头痛、共济失调、意识模糊以及失语。若血肿体积较大,可能造成显著的占位效应,最终导致轻瘫、癫痫或昏迷。
尽管cSDH在MR及CT上均可发现,但目前仍将CT作为金标准。CT在检测血肿的发生和评估其发生时间方面具有优势,并且价格低廉、扫描快速、适用性广泛。另外,很多老年患者体内可能含有植入物,不适合行MR检查。
非增强CT不仅用于识别cSDH的存在,也用于明确血肿形成时间,这对选择术式有意义重大。与正常脑组织相比,aSDH表现为高密度,sSDH表现为等密度,而cSDH则表现为低密度。这种密度上的差别是由于血肿成分随时间演变而造成的。血肿通常包含一种主要成分,但同时伴有多种其他成分。
随着时间的推移,血肿的液体含量逐渐增多,导致其在CT上表现为低密度。这种血液粘度的变化也使得外科干预措施有所变化。确诊一般无需加做增强CT,但是,对于等密度的亚急性硬膜下血肿,增强CT可准确显示血肿边界。

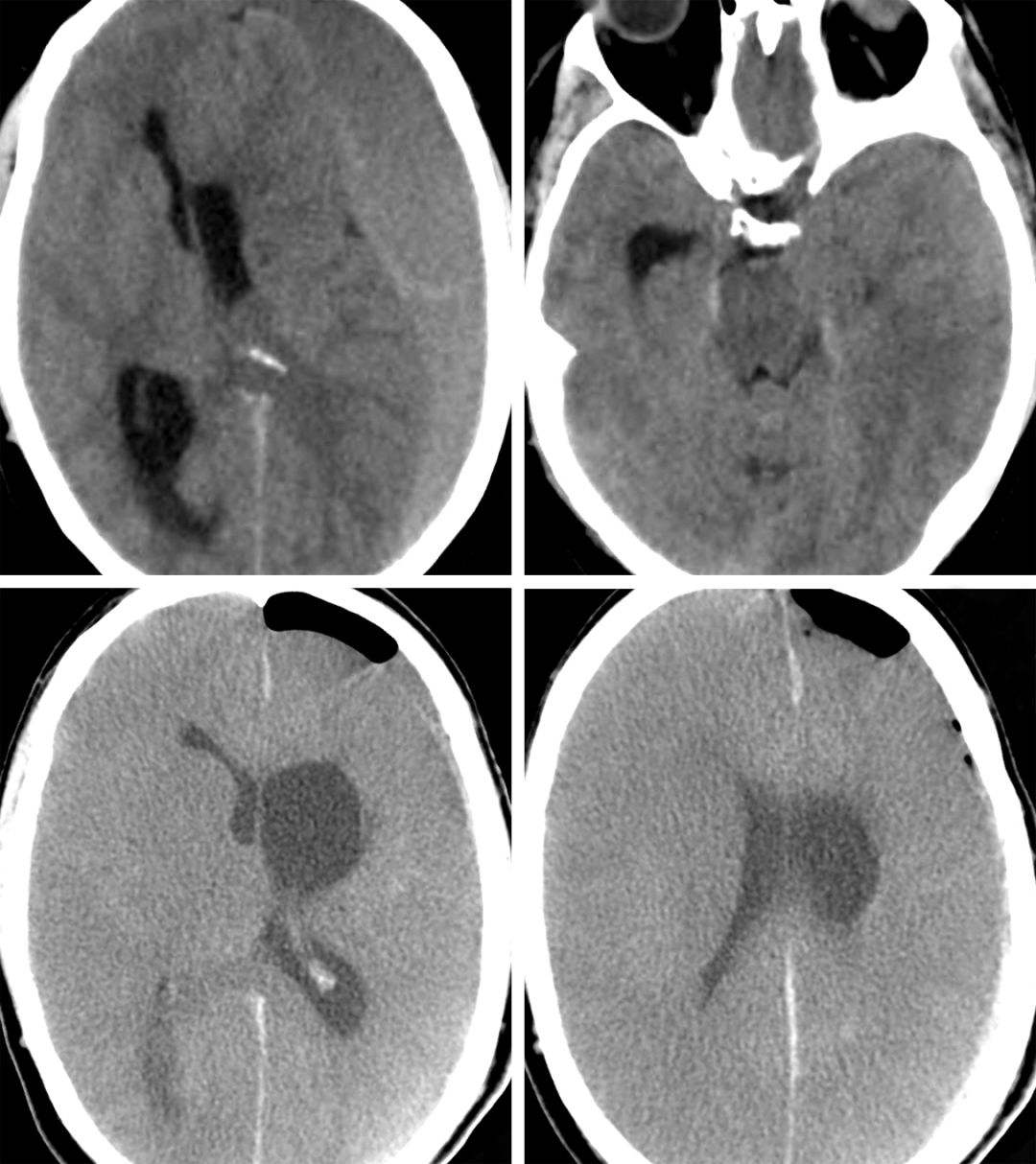
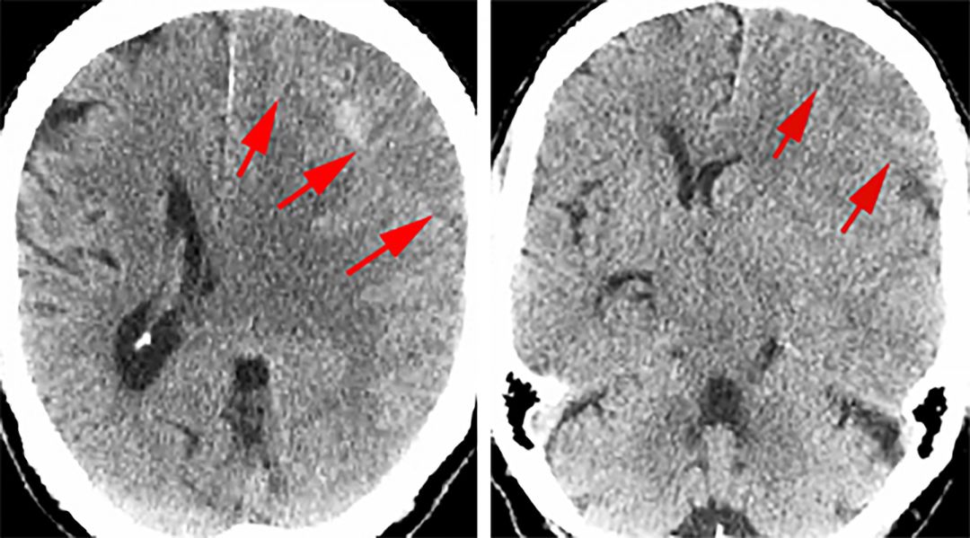
图1. 图示左侧额叶sSDH的CT影像,病变呈等密度。红色箭头标注了血肿的边界。由于其与大脑正常组织密度相仿,因此较难判断。另外,此CT展示了SDH的占位效应导致的中线偏移。

图2. 图示一慢性、亚急性混杂SDH。请注意位于后方的亚急性血肿。

图3. 左图示急性SDH(高密度区),右图示慢性SDH(低密度区)。请注意慢性SDH所形成的腔隙间隔,这使得钻孔完全引流血肿的难度增大。
cSDH是否可采取保守治疗仍有争议。无症状、无显著占位效应的小血肿可停用抗凝药物进行期待治疗。一段时间后复查CT一般可显示血肿体积减小。若占位效应无明显改善,则需行外科治疗。
尽管一些研究提示,单纯地塞米松治疗而不行外科干预也对慢性或亚急性SDH有效;但是临床证据表明该方法无效或者会延长患者住院时间。
例如,轻度言语障碍或轻偏瘫、无明显中线移位的中等大小硬膜下血肿患者若有明显麻醉禁忌,可试行短程地塞米松治疗。
一般而言,对于有明显占位效应的cSDH患者来说,外科干预是更可靠的选择。
因为根据报道,主诉无特异性急性症状的患者可能出现急性代偿失调和小脑幕疝,因此,表现为显著占位效应、中线移位和剧烈头痛的患者,应急诊行血肿清除术。
CT扫描可明确患者的cSDH为单侧或是双侧。尽管大多数cSDH是单侧的,但仍有16%到25%的病人具有双侧cSDH。如果为双侧病变,两侧的cSDH需在同一时间处理。若仅行单侧引流,则会使对侧的腔隙增大。但如果对侧SDH体积相对较小,可以考虑行单侧引流。
术前应强制停用抗凝药物,保证凝血功能在相对正常范围。需告知患者及家属血肿复发的可能。尽管大部分情况下,血肿都可以通过颅孔得以清除。若CT显示患者血肿分隔较多,则优先考虑骨窗开颅术,而非钻孔引流术。
如果血肿内含有少量急性出血成分,虽然钻孔引流并非禁忌,但是建议将颅孔策略性地设计于急性出血部位。
清除慢性硬膜下血肿可有数种术式,如钻孔引流术(单孔或双孔)(burr hole(s) drainage),锥颅引流术(twist drill craniostomy)、骨窗开颅术(small craniotomy)。其中,笔者认为双孔法钻孔引流术最为有效。使用双孔而不是单孔的原因在于,使用单孔可能导致血肿不能完全清除,尤其是sSDH。笔者常规放置硬膜下引流管(术后1~2天拔除),若术中受压脑组织复位致使硬膜下腔消失,则可省略这一步骤。
根据手术医生的偏好及患者的承受能力选择麻醉方式,全麻或清醒镇静麻醉均可。患者取仰卧位,头部垫马蹄形头枕。如果患者的cSDH为单侧,则将患者头部向对侧倾斜约30°;若为双侧,则取正位。

图4:图示右侧单侧亚急性/慢性硬膜下血肿患者的准确体位摆放。图中已标记患者头颅中线及2处头皮切口。切口位置可根据血肿最厚部位做轻微调整。
完成两处头皮切口后,笔者使用2个小号乳突撑开器暴露颅骨。钻孔后十字型打开硬脑膜,从而引流血肿。此外,在硬膜下腔使用大量冲洗液冲净血肿的固体成分。在双孔引流中,一孔进入的冲洗液从另一颅孔流出时可充分冲刷出血凝块。持续冲洗直到冲洗液清亮。

图5:上方插画及术中照片显示了大量冲洗液经双孔清除硬膜下血肿的过程。术中采用冲洗器将冲洗液从前孔注入,血凝块等固体成分即可随之从后孔流出。顶部插画显示了硬膜下血肿随冲洗液的下移过程,底部照片则展现了术者视角。笔者会通过颅孔检查脑部表面,小心打开较易触及的血肿分隔,使冲洗液顺利通过。如果脑表面尚不可见,则需要在确保安全的前提下通过有限的暴露野,对分隔进行谨慎分离。若脑组织向颅骨移位则提示预后良好,也表明血肿已被彻底清除。
但凡有任何硬膜下腔轻微静脉渗血的迹象,术者都应耐心地经颅孔进行轻柔的冲洗处理。笔者不建议通过常规使用红色橡胶导管来去除硬膜下腔内不可触及的凝血块,从而加速血肿的清除。
当冲洗液变得相对清亮时,笔者会经前颅孔在硬膜下腔向后颅孔方向置入9号圆形Jackson-Pratt引流管,此时需注意避免损伤软脑膜。引流管经皮下隧道潜行穿出后,以皮钉固定或与头皮缝合,避免引流管脱落移位。

图 6:如图所示,经前颅孔放置引流管并与头皮固定。上图示引流管如何在皮下潜行,下图示如何使用皮钉将引流管与头皮充分固定。
术后第一天常规复查CT,明确血肿是否成功清除。若影像学提示血肿已充分清除,可拔除引流管。这样可防止脑脊液的过度引流,并降低并发远处颅内出血的风险。
值得注意的是,硬膜下腔残余积液的情况并不罕见,但该液体的密度值与术前CT所示血肿的密度值不同。若有新的症状出现,可考虑术后数天再次复查CT。
术后24h患者常规接受抗生素治疗,术后一周接受抗癫痫药物治疗。若患者术前平素服用抗凝药物,术后不可立即恢复用药,需待影像学检查示硬膜下血肿完全或大部分消失后才可恢复用药。
尽管cSDH血肿清除术属于神经外科手术中常见且难度相对较低的类型,但我们仍需关注术后处理,降低血肿复发率。大约8%~16%的慢性硬膜下血肿患者在术后1周及1周后可复发。由于cSDH好发于老年群体,故需特别关注患者的既往健康状况,尤其应对抗凝药物的使用进行评估,选择适当的时机恢复用药,以此降低复发风险。
笔者通常会安排患者术后1月时复查CT以评估血肿的消散情况。若患者血肿几乎完全消散,则可考虑恢复术前常规应用的抗凝药物。
分隔严重的慢性/亚急性硬膜下血肿及普通钻孔引流效果不佳者可考虑经额颞部小骨窗行血肿清除术。
若硬膜下血肿的分隔及小腔与周围神经、血管结构无粘连,可予以切除。由于大多数分隔可延伸至颅骨边缘侧,故打开骨窗时大部分分隔已被横断。
尽管患者入院就诊时可没有相对明显的神经功能障碍,但占位效应显著的巨大硬膜下血肿可导致突发的不可逆转的急性神经功能失代偿。在病情恶化时行急诊引流术可能无法改善患者术后的神经功能恢复情况。因此,对于无明显症状但占位效应显著的患者,应采取及时紧急的处理。

图7:这是一名不幸的年轻外院男性患者,仅表现为轻度的意识障碍(第一行图片,注意其右上角图像显示的早期脑疝征象)。考虑到患者平素规律服用阿司匹林,并有输注血小板的可能,手术被推迟至第二天进行。但该患者在第二天早晨病情突然恶化,遂于急诊行钻孔引流术。虽然血肿被充分清除,但由于患者术前突发脑疝可能导致了大脑弥漫性缺血(底行图片),患者最终死亡。
- 尽管所有的SDHs血液均积聚在相同的解剖腔隙,亚急性/慢性SDHs在血肿发生时间、外伤史、手术方案等方面与急性SDHs不尽相同。 
- 对于亚急性/慢性SDHs,双孔法钻孔引流术是最有效的手术方式。 
DOI: https://doi.org/10.18791/nsatlas.v8.ch01.3
中文版链接:
https://www.medtion.com/atlas/2327.jspx
- Branko S, Rasouli J, Levy AS, Raksin PB, Ullman JS. Chronic subdural hematomas, in Ullman JS, Raksin PB (eds): Atlas of Emergency Neurosurgery, Chapter 2, Thieme and the American Association of Neurological Surgeons, 2015. 
- Maggio WW. Chronic subdural hematoma in adults, in Apuzzo MLJ (ed): Brain Surgery: Complication Avoidance and Management, Vol 2, New York: Churchill Livingstone, 1993, 1299-1314. 





