今天为大家分享的是《中国颅脑创伤-神经重症病例周刊》第117期,由李小勇脑脊液医学中心李小勇教授带来“脑外伤后脑脊液鼻漏+脑积水+颅内感染历时1年半成功治疗经验分享”,文末由上海市东方医院神经外科主任、中国医师协会神经内镜专业委员会委员、“神外资讯中国颅脑创伤-神经重症专家组”委员钟春龙教授作出精彩点评,欢迎阅读、分享。
病人诊疗经过
病史简介
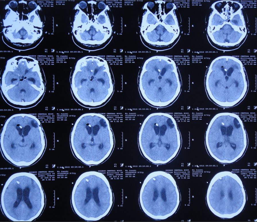
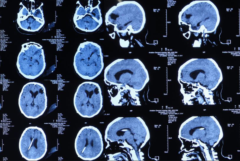
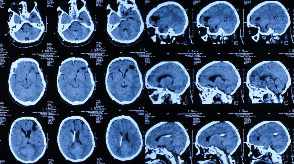
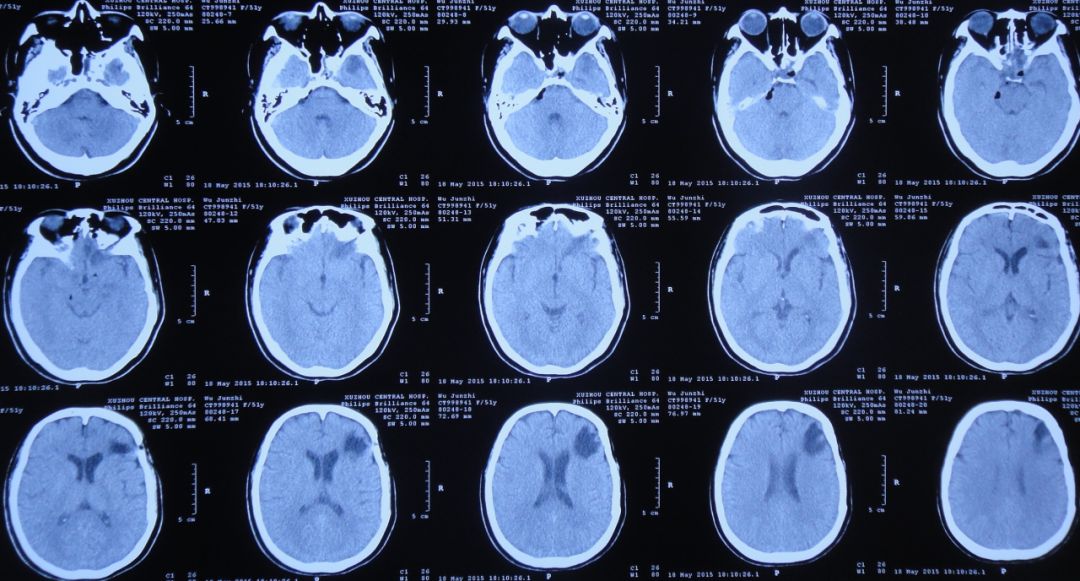
患者女,50岁,安徽省淮北市人。2014年12月14日,患者因高处坠落伤(2米左右)伤及头胸部及四肢,致昏迷,左耳、左鼻流血性液体,急诊前往安徽省淮南市潘集区某医院急查头CT显示左额叶脑挫伤、左侧颞骨凹陷性骨折、脑肿胀、颅内积气(图1);眼眶CT显示双侧眼眶内侧壁骨折(图2);胸部CT显示左侧肋骨骨折伴肺挫伤;右上肢X片显示右桡骨远端粉碎性骨折;左肩部X片显示左侧锁骨骨折。立即给予住院,保守治疗。
![]()
图1:2014年12月14日头CT:左额叶脑挫伤、左侧颞骨凹陷性骨折、脑肿胀、颅内积气
![]()
图2:2014年12月14日眼眶CT:双侧眼眶内侧壁骨折
入院后第一天即2014年12月15日,患者神清,出现左眼肿胀,视力消失,左眼瞳孔增大,对光反射消失,左侧外耳道见澄清液体溢出,复查头CT:左额叶脑挫伤较前加重(图3)。
![]()
图3:2014年12月15日头CT:左额叶脑挫伤较前加重
入院后第二天即2014年12月16日为求进一步治疗,患者被转入淮南市某人民医院,查头CT:左额叶脑挫伤、脑组织弥漫性肿胀(图4);胸CT:双下肺感染(图5)。
![]()
图4:2014年12月17日头CT:左额叶脑挫伤、脑组织弥漫性肿胀、颅内积气消失
![]()
图5:2014年12月17日胸CT:双下肺感染
给予脱水、止血、营养神经、预防感染等保守治疗。之后约20天时间内,患者左耳溢液逐渐停止、左眼肿胀逐渐好转。但至外伤后19天即2015年1月2日,患者坐起后发现左鼻腔流液;复查头CT显示颅内大量积气(图6),给予保守、卧床、抗炎处理。
![]()
图6:2015年1月2日头CT:颅内大量积气
2015年1月7日转骨科进行右桡骨远端骨折及右尺骨茎突骨折手术。
2015年1月12日,患者仍有脑脊液鼻漏;复查头CT:颅内积气有所减少(图7)。
![]()
图7:2015年1月12日头CT:颅内积气较前有所减少
2015年1月19日,患者仍有脑脊液鼻漏;复查头CT:颅内积气有所减少(图8)。
![]()
图8:2015年1月19日头CT:颅内积气有所减少
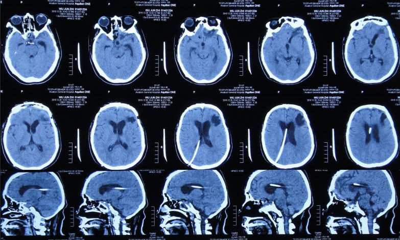
2015年1月26日转入中煤特殊凿井公司医院,继续半卧位保守治疗,治疗期间患者起床活动后仍有鼻腔流液现象,伴间断头痛。2015年1月30日复查头CT:左额颞软化灶形成,颅内积气明显减少(图9)。
![]()
图9:2015年1月30日头CT:左额颞软化灶形成,颅内积气明显减少
2015年5月18日患者因鼻腔流液增多,被转入徐州市某中心医院,头CT显示左额叶软化灶形成,颅内积气(图10)。
![]()
图10:2015年5月18日头CT:左额颞软化灶较前减小,颅内积气少量积气
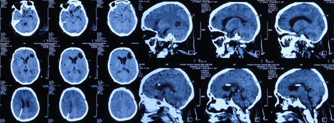
2015年7月27日患者突发高热,体温高达39.0 ℃,伴呕吐,意识转差,腰椎穿刺颅内压力极高,并留取脑脊液进行细菌培养;复查头CT检查显示脑室系统显著扩张,颅内积气(图11)。当日急诊进行了右侧侧脑室钻孔引流术,术后入住ICU给予重症监护、抗炎、抑酸等治疗。
![]()
图11:2015年7月27日头CT:脑室系统显著扩张,颅内积气
脑室引流术后第2天即2015年7月29日,患者神志恢复清楚,但仍有发热;复查头CT:脑室引流术后,脑室较前缩小(图12)。2天前腰穿留取的脑脊液细菌培养结果为白色假丝酵母菌,对氟康唑敏感,给予抗炎、抗真菌治疗。
![]()
图12:2015年7月29日头CT:脑室引流术后,脑室较前缩小
脑室引流术后第5天即2015年8月1日,患者体温恢复至正常,复查头CT:脑室扩张程度较引流术后减小(图13)。
![]()
图13:2015年8月1日头CT:脑室引流术后,脑室轻度扩张
当地医生认为长期保留头部侧脑室外引流管易导致颅内感染,故拔出了头部侧脑室外引流管。
拔除头部侧脑室外引流管后第2天即2015年8月3日,患者仍有脑脊液鼻漏,再次出现发热、头痛症状;复查头CT:脑室较前扩张,室旁水肿明显,颅内积气(图14),医生给予甘露醇脱水治疗。
![]()
图14:2015年8月3日头CT:脑室较前扩张,室旁水肿明显,颅内积气
2015年8月6日,复查头CT:脑室显著扩张,室旁水肿明显,颅内积气(图15)。患者仍有脑脊液鼻漏,但当地医院不予脑脊液漏修补治疗。
![]()
图15:2015年8月6日头CT:脑室显著扩张,室旁水肿明显,颅内积气
李小勇脑脊液中心的治疗经过与结果
家属为求进一步治疗,在2015年8月7日患者急诊转来李小勇脑脊液中心。
2015年8月7日,患者入院时表现(图16):神志清楚,坐起低头后感左鼻孔湿润、有液体流出,咽喉部稍发痒、疼痛,常有异物感,查体合作。左侧额部可见一长*宽约5*5cm的L形手术刀口,愈合良好。右侧额部可见一长约3cm手术瘢痕,结痂未脱落。右侧眼睑正常,左侧眼睑下垂,无眼球突出、内陷或斜视;双侧瞳孔不等大,右侧瞳孔约3.0mm,左侧瞳孔约6mm;右侧瞳孔对光反射正常,左侧瞳孔对光反射消失;右侧视力正常,左眼视力丧失。左侧下肢肌力3级-,右侧下肢肌力3级,双上肢肌力5级。肌张力:双侧肢体肌张力基本正常。
![]()
图16:2015年8月7日入院时表现
入院后第1天即2015年8月8日,复查头CT头:脑脊液蝶窦瘘征象。脑室扩张,双侧额叶片状密度减低,左侧额叶软化灶形成;脑沟、裂变浅;鞍上池及右侧脑室前角积气(图17)。
![]()
图17:2015年8月8日头CT:脑室扩张,鞍上池及右脑室前角积气
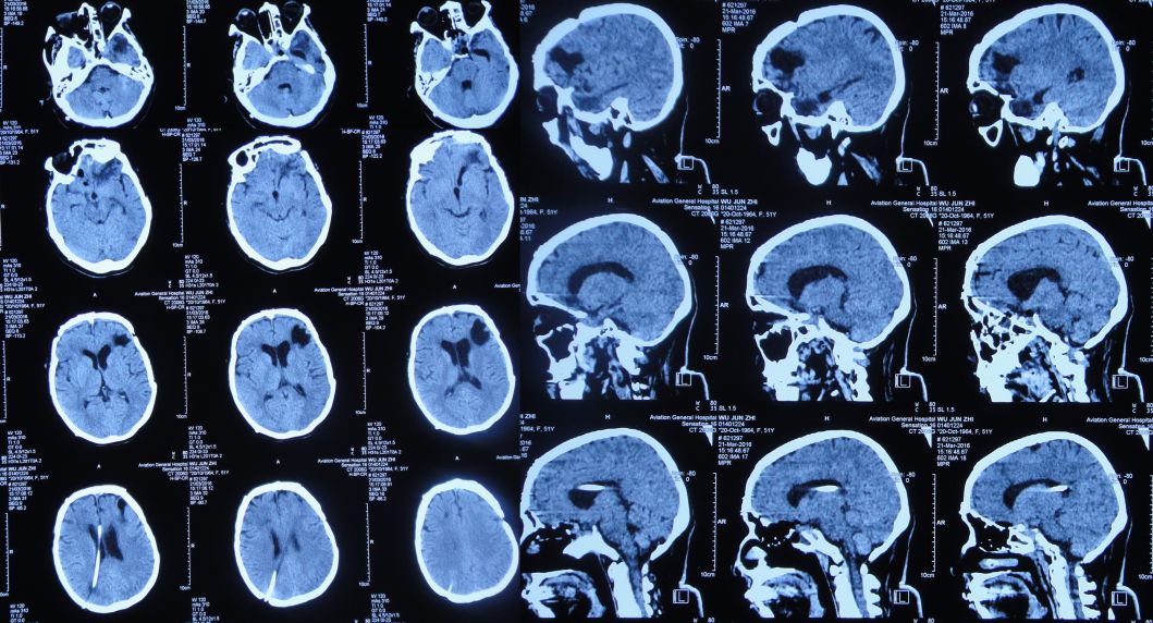
在入院后第2天即2015年8月13日,患者接受了“开颅脑脊液漏修补、右侧侧脑室腹部外引流术”。术后复查头CT:术区未见出血,脑室引流管位置良好(图18)。
![]()
图18:2015年8月13日头CT:术区未见出血,脑室引流管位置良好
开颅术后第1天即2015年8月14日,患者神清,精神差,高热达39.0℃,气管插管固定在位,口腔内可见血性液体,呼吸尚平稳,侧脑室腹部外引流管引流通畅,可见淡黄色脑脊液流出,管壁少量血性沉淀,量约300ml(图19)。
![]()
图19:2015年8月14日开颅术后第1天 精神差,气管插管固定在位
开颅术后第3天即2015年8月16日,患者神清,呼吸平稳,口中无明显液体流出,将气管插管拔除。
开颅术后第4天即2015年8月17日,患者神清,咽喉部稍发痒、疼痛;复查头CT:右侧脑室前角及额骨颅板下气体密度影明显吸收,脑室扩张程度有所缓解,双侧额叶见片状混杂密度影,左侧额叶内示软化灶形成(图20)。
![]()
图20:2015年8月17日头CT:右脑室前角及颅板下气体明显吸收,脑室扩张较前缩小
开颅术后第26天即2015年9月8日,患者神清,咽喉部仍有异物感;复查头CT:脑室大小正常,鞍上池及鞍区积气(图21)。考虑患者仍存在脑脊液鼻漏,继续给予预防感染治疗。
![]()
图21:2015年9月8日头CT:鞍上池及鞍区积气
开颅术后第39天即2015年9月21日,患者神清,咽喉部仍有异物感;复查头CT:鞍上池、双侧侧脑室前角及鞍区积气(图22)。
![]()
图22:2015年9月21日头CT:鞍上池、双侧侧脑室前角及鞍区积气
考虑患者仍存在脑脊液鼻漏;在开颅术后第40天即2015年9月22日,患者接受了“经鼻鼻内镜下脑脊液鼻漏修补术”(图23)。
![]()
图23:2015年9月22日患者行经鼻鼻内镜下脑脊液鼻漏修补术
术后当日复查头CT显示术区未见明显异常(图24)。
![]()
图24:2015年9月22日头CT:术区未见明显异常
患者鼻内镜术后第1天即2017年9月23日,神清,精神差,头部稍痛,无呕吐,侧脑室腹部外引流管引流通畅,可见淡黄色脑脊液流出,管壁少量血性沉淀,量约360ml。左鼻腔碘仿沙条填塞,无明显分泌物(图25)。
![]()
图25:2015年9月23日术后第1天
术后第2天即2015年9月24日,患者神清,精神好转,可交流,诉鼻腔稍有不适,偶有打喷嚏,无呕吐,侧脑室腹部外引流管引流通畅,可见淡黄色脑脊液流出,管壁少量血性沉淀,量约320ml。左鼻腔碘仿沙条填塞、膨胀海绵填塞,无明显分泌物。给予拔除鼻腔处膨胀海绵后,鼻腔处流出少许分泌物,无其他不适(图26)。
![]()
图26:2015年9月24日术后第2天
术后第6天即2015年9月28日,患者神清,言语流利,诉鼻腔稍有不适,打喷嚏较前明显减少,无呕吐,查体合作。侧脑室分流下段外置管引流通畅,可见淡黄色脑脊液流出,管壁少量血性沉淀,量约360ml。鼻腔碘仿沙条填塞,少量分泌物(图27)。
![]()
图27:2015年9月28日术后第6天
患者术后第16天即2015年10月8日,患者神清,无明显不适,脑脊液呈淡黄色透明(图28);复查头CT:鞍区积气(图29)。
![]()
图28:2015年10月8日患者一般情况可,脑脊液呈淡黄色透明
![]()
图29:2015年10月8日头CT:头CT:鞍区积气
鼻内镜修补术后29天即2015年10月21日,患者神清,一般情况可,鼻腔及口腔无液体流出;复查头CT:脑室较前缩小,鞍区及右额角积气(图30)。当日在鼻内镜下查看患者鼻腔内,未见明显异常,并取出碘仿沙条,覆盖少量明胶海绵压迫止血。
![]()
图30:2015年10月21日头CT:鞍区及右额角积气
鼻内镜修补术后35天即2015年10月27日晨起,患者神清,诉前胸部闷痛,查心电图:I,AVL,V2-6导联T波倒置。急请心内科会诊考虑不除外急性非ST段抬高型心肌梗死。建议急查肌钙蛋白,监测心电图变化;口服阿司匹林、波利维双重抗血小板治疗。查头CT:颅内气体消失,余未见异常(图31)。
![]()
图31:2015年10月27日复查CT:颅内气体消失,余未见异常
当日上午患者诉上腹部、下胸部疼痛。急查腹部CT:肝内多发囊肿;胆囊结石、胆总管结石(图32)。
![]()
图32:2015年10月27日腹部CT肝内多发囊肿;胆囊结石、胆总管结石
因两次心肌酶检查无明显变化,心内科会诊:基本可排除心肌梗死,但考虑患者有轻度冠心病可能。患者神清,精神差,呼吸急促,间断呕吐、腹痛。普外科会诊:考虑患者有胆囊结石、胆总管结石,目前症状与此有关,可采取保守治疗或手术治疗。与家属沟通后,决定暂给予抗感染、补液等保守治疗。
2015年10月29日患者病情进一步恶化,神志朦胧,精神差,呼吸急促,心率132次/分,呼吸36次/分,血压95/59mmHg,血氧饱和度98%。请消化内科急会诊:考虑患者目前病情严重,当日急诊进行经内镜逆行性胰胆管造影术(ERCP)手术(图33)。
![]()
图33:2015年10月29日患者接受急诊ERCP
ERCP术后第一天即2015年10月30日,患者症状仍无改善,精神差,呼吸急促,喘憋,张口呼吸,言语不清,持续胃肠减压。白细胞:19.3*10^9/L↑,中性细胞比率:94.0%↑,血红蛋白:74g/L↓,血小板:51*10^9/L↓,白蛋白:26.3g/L↓。急查腹部CT:胆囊增大、胆囊结石。
![]()
图34:2015年10月30日腹部CT:胆囊增大、胆囊结石
ICU及普外科会诊,考虑患者目前存在感染性休克,感染源头可能来源于胆囊。与家属沟通后,当日急诊在手术室进行了“胆囊造瘘术”。术中见:大网膜包裹右上腹,胆囊炎性质脆,张力较高,局部片状坏疽。术后当日即入ICU后给予抗炎、静脉营养、输血等治疗,患者胆囊造瘘管引流液呈巧克力色。
![]()
图35:2015年10月30日急诊接受了“胆囊造瘘术”
胆囊造瘘术后第3天即2015年11月2日,患者神志朦胧,发热,最高T39.0℃;查胸CT:双肺感染(图36)。查腹部CT:胆囊造瘘术后改变,胆囊较术前缩小,无结石影(图37)。
![]()
图36:2015年11月2日胸CT:双肺感染
![]()
图37:2015年11月2日腹部CT:胆囊较术前缩小
胆囊造瘘术后第7天即2015年11月6日,患者神志转清;因左下肢深静脉血栓形成,在局麻下接受了“下腔静脉造影、下腔静脉滤器置入术”。
胆囊造瘘术后第11天即2015年11月10日,患者病情恢复至平稳,再次转入脑脊液病科。胆囊造瘘管内留取的液体进行细菌培养为屎肠球菌,给予针对性抗感染治疗。
胆囊造瘘术后第13天即2015年11月12日,患者神清,无发热,再次诉咽喉部异物感,可经口少量进食、但间断呕吐;查头CT:鞍上池及鞍区积气(图38)。
![]()
图38:2015年11月12日头CT:鞍上池及鞍区积气
胆囊造瘘术后第17天即2015年11月16日,患者神清,仍间断呕吐;查腹部CT:与2015年11月2日腹部CT比较:1.胆囊内高密度影消失,壁模糊。2.肝内多发囊肿较前无明显变化。3.腔静脉支架术后改变(图39)。
![]()
图39:2015年11月16日查腹部CT
普外科会诊,考虑患者胆囊周围仍有渗出水肿,可能导致消化道梗阻;并进行了胆囊局部松解引流处理,缓解局部压力。查胸CT:肺部感染伴右侧胸腔积液(图40),给予对症处理。
![]()
图40:2015年11月16日胸CT:肺部感染伴右侧胸腔积液
胆囊造瘘术后第21天即2015年11月20日,患者接受了上消化道造影检查,明确胃瘫诊断(图41)。
![]()
图41:2015年11月20日上消化道造影:胃瘫
胆囊造瘘术后第25天即2015年11月24日,患者接受了“空肠营养管置入”,之后经空肠营养管进食营养液,无呕吐。2015年11月25日,患者咽喉部无异物感,查头CT:颅内积气吸收(图42)。
![]()
图42:2015年11月25日头CT:颅内积气吸收
在2015-12-3局麻下进行了“髂股静脉造影、下腔静脉造影、下腔静脉滤器取出术”,术后患者病情平稳。胆囊造瘘术后第53天即2015年12月22日,患者一般情况可,可少量经口进食(图43)。
![]()
图43:2015年12月22日患者一般情况可,可少量经口进食
胆囊造瘘术后第56天即2015年12月25日,复查头CT:颅内无异常(图44)。查腹部CT:胆囊造瘘术后,改变(图45)。
![]()
图44:2015年12月25日头CT:颅内无异常
![]()
图45:2015年12月25日腹部CT:胆囊造瘘后改变
当日普外科会诊:建议先行LC,去除腹腔感染灶。
胆囊造瘘术后第59天即2015年12月28日,患者接受了“腹腔镜下胆囊切除,肝囊肿开窗引流术”(图46);术中所见:胆囊与前腹壁紧密粘连,肝脏、网膜、结肠、胃及十二指肠围绕胆囊广泛粘连。
![]()
图46:2015年12月28日行腹腔镜下胆囊切除术,肝囊肿开窗引流术
胆囊切除术后第1日即2015年12月29日,患者神清,一般情况可(图47)。术后根据右腹部引流管内液体培养结果,给予抗感染治疗。
![]()
图47:2015年12月28日胆囊切除术后
胆囊切除术后第8日即2016年1月5日,患者神清,精神差,脑脊液呈无色透明;肝囊肿引流液呈咖啡色(图48)。
![]()
图48:2016年1月5日肝囊肿引流液呈咖啡色
胆囊切除术后第17日即2016年1月14日,患者神清,精神好转,可独自在坐在床边经口进食可,排便正常,给予拔除空肠营养管(图49)。
![]()
图49:2016年1月14日可独自在坐在床边经口进食可
胆囊切除术后第25日即2016年1月22日,患者神清,精神可,可在搀扶下下床活动(图50)。
![]()
图50:2016年1月22日可在搀扶下下床活动
胆囊切除术后第28日即2016年1月25日,患者肝囊肿右腹部外引流管基本无脓性液体引流,将右腹部外引流管拔除(图51)。
![]()
图51:2016年1月25日:拔除右腹部外引流管后
胆囊切除术后第33日即2016年1月30日,患者一般情况可,复查头CT:颅内无明显积气(图52)。
查腹部CT:胆囊切除术后改变,无明显异常(图53)。
![]()
图52:2016年1月30日头CT:颅内无明显积气
![]()
图53:2016年1月30日腹部CT:胆囊切除术后改变,无明显异常
胆囊切除术后第65日即2016年3月3日,患者脑脊液达到分流标准,在全麻下进行了“右侧侧脑室腹腔分流腹腔端置入术”。术后第1天即2016年3月4日,患者一般情况可(图54)。
![]()
图54:2016年3月4日患者一般情况可
分流术后第18天即2016年3月21日,患者神清,精神可,生活自理;复查头CT显示垂体窝周围积气(图55),考虑脑脊液鼻漏复发可能。
![]()
图55:2016年3月21日头CT:垂体窝周围积气
分流术后第60天即2016年5月4日,患者神清,精神可,生活自理;复查头CT显示脑室恢复正常,颅内无积气(图56),办理出院。
![]()
图56:2016年5月4日头CT:脑室恢复正常,颅内无积气
出院后随访
出院后6个月即2016年10月24日来院复查,患者神清,精神好,思维及肢体活动完全恢复正常(图57)。复查头CT:脑室正常,颅内无积气(图58)。
![]()
图57:2016年10月24日思维及肢体活动完全恢复正常
![]()
图58:2016年10月24日头CT:脑室恢复正常,颅内无积气
精彩点评
感谢北京脑积水脑脊液病研究中心李小勇主任团队报告的这例典型病例。该患者由于迁延不愈的创伤性脑脊液鼻漏、伴发严重颅内感染并继发脑积水及全身多种并发症,病情凶险跌宕,历时一年四个多月,最终治愈出院。
做得好的方面:
1. 本例病史资料收集完整,详实记录了病情的发生发展及诊治经过,是一个难得的教学案例。
2. 该医疗团队针对治疗过程中遇到的各种复杂状况见招拆招、积极救治,最终使患者化险为夷、取得满意疗效,较好地体现了神经重症医生不畏艰险的专业精神和韧性。
3. 在严重颅内感染及脑积水诊治过程中,能及时甄别胆囊炎急性发作导致的感染性休克、下肢深静脉血栓形成等其它系统疾病并妥善规范处置,体现了多学科合作的大局观。
4. 该患者因脑积水伴发感染行侧脑室腹部外引流术、分流管腹腔端旷置达半年之久,等感染控制后分流管腹腔端再重新植入腹腔的做法值得借鉴,也体现了该团队的伤口护理实力。
有待商榷改进的地方:
1. 该患者原发性脑损伤并不严重,其病情加重及恶化因颅底骨折导致的创伤性脑脊液鼻漏、继发颅内严重感染而引起。原则上脑脊液鼻漏持续4周以上无法自愈就应该尽早积极行脑脊液漏修补手术,以减少颅内感染的发生。该患者受伤第2天除了脑脊液鼻漏、还出现左侧视神经损伤进行性加重、视神经管周围可疑骨折,条件允许的话甚至有指征马上行神经内镜下经鼻视神经探查减压及脑脊液漏修补术。而限于当地治疗条件,该患者高流量脑脊液鼻漏持续长达8个月才转院行脑脊液漏修补,具有较明显的延误,此时已经继发严重的颅内感染和脑积水。
2. 该患者第一次脑脊液漏修补选择开颅手术有待商榷,该术式仅适用于修补额窦和前颅底前部的漏口,而无法有效封堵前颅底后部及中颅底的漏口。考虑到该患者颅底CT薄扫显示多发前、中颅底骨折,同时伴有筛窦和蝶窦积液,应优先考虑行神经内镜下经鼻脑脊液漏修补术。而事实也证明患者开颅行脑脊液漏修补后仍有高流量的脑脊液漏。
3. 该患者第二次改行神经内镜下经鼻脑脊液漏修补,从结果看彻底不漏才确保颅内感染最终治愈。本例未详细说明其经鼻修补的具体方法和探查细节。原则上不管脑脊液鼻漏是单侧为主还是双侧,均应尽量行双侧前颅底、鞍底和斜坡的探查,在对每个漏口行有效填塞修补的同时,还应该采用“带血管蒂的鼻中隔粘膜瓣”技术对整个颅底区域进行广泛的贴敷加固。大部分的脑脊液鼻漏可通过此微创入路获得良好的修补效果。当然,广泛的颅底骨折、多个漏口、长期感染窦道形成等因素均可能导致最终修补的失败。
4. 本例颅内感染时间较长,应定期行脑脊液病原学培养甚至采用二代测序等新型检测方法,以快速明确致病菌的演变并不断动态调整使用敏感的抗生素。必要时还可以结合鞘内注射、脑室脑池冲洗等技术进行积极有效的抗感染治疗。
钟春龙 教授
上海市东方医院神经外科主任
中国医师协会神经内镜专业委员会全国委员




