今天为大家分享的是《贝朗时间》第五十九期,由湖南省儿童医院神经外科主任吴水华带来的:婴幼儿颅内巨大动脉瘤夹闭病例分享,欢迎阅读、分享!
吴水华,副主任医师,医学硕士,湖南省儿童医院神经外科主任。中国妇幼协会小儿神经微创学组常务委员,福棠儿童医学发展研究中心神经外科专业委员会常务委员,中华医学会神经外科分会长沙市神经外科委员会委员,非公立医疗协会神外专委会委员。长期从事小儿神经外科的临床工作,擅长小儿神经系统先天性结构畸形、儿童重型颅脑外伤、脑血管病、儿童脑肿瘤、难治性癫痫、痉挛性脑瘫等疾病的诊治。尤其是对脊髓栓系综合征、狭颅症、脑积水、颅内蛛网膜囊肿、儿童脑肿瘤、脑血管畸形的外科手术治疗积累了非常丰富的临床经验。发表核心期刊专业论文10余篇,目前主持厅级课题一项。








患儿邓某某,女,1个月,因“呕吐1周”入院。患儿1周前无明显诱因出现呕吐,非喷射性,进食后明显,呕吐物为胃内容物,无咖啡色样液体及胆汁。于消化内科就诊,予内科保守治疗呕吐症状缓解不明显,进一步行头部CT检查提示:双侧脑室内少量出血、幕上梗阻性脑积水(轻度);右枕区和左枕顶区硬膜下血肿;蛛网膜下腔出血。为求进一步诊治,入住湖南省儿童医院神经外科。
入院查体:神清,精神反应可,前囟平软,余神经系统检查(-)。
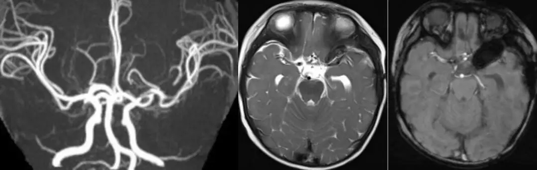
入院后进一步行头颅MRI平扫+增强示:左侧额叶类圆形异常信号影,呈明显均匀强化,考虑动脉瘤或血管畸形可能性大;蛛网膜下腔出血,颅后窝及左侧颞顶硬膜下血肿;双侧侧脑室扩张,第三脑室较饱满。进一步在全麻下行股脑动脉DSA造影示:左侧大脑中动脉巨大动脉瘤。
术前诊断:1.左侧大脑中动脉巨大动脉瘤 2.蛛网膜下腔出血 3.硬膜下血肿
治疗策略:开颅探查颅内动脉瘤夹闭术。
全麻满意后,患者仰卧位,取左侧翼点入路开颅。弧形切开硬膜,显微镜下仔细操作。见脑组织稍膨隆,分离外侧裂,探查见大脑中动脉M2段一巨大球形动脉瘤,直径约2cm,与周围组织粘连紧密,仔细分离粘连,切开瘤体,见瘤腔内形成血栓,清除瘤腔内血栓,切除部分动脉瘤壁,用Mini动脉瘤夹夹闭瘤颈,确认载瘤动脉通畅,用棉纤维包绕残端,手术顺利。
术后:术后患儿恢复可,生命体征平稳,一般情况可,术后一周出院。术后复查头颅MRI+MRA示原左侧大脑中动脉动脉瘤已未见显示,左侧额颞顶叶脑水肿,左侧额颞部少量硬膜下出血和蛛网膜下腔出血,颅内少量积气。
病理诊断:考虑动脉瘤并血栓形成及钙化。患儿于术后6月、12月再次来院随访复查。生长发育良好,无明显临床症状及神经功能障碍。先后两次复查头颅MRI+MRA未见明显新发异常改变。
对于颅内动脉瘤是选择显微开颅夹闭术还是介入栓塞术,除考虑动脉瘤位置、大小、医院技术条件等,还需要考虑患儿年龄大小,以及造影设施能否在小婴儿病例中实施,如介入治疗需考虑患儿血管管径导致的穿刺置管困难,及手术本身的创伤和出血的危害,微导管是否能进入治疗血管和栓塞过程中的操作可行性以及所选择的治疗方式带来的损害和长期暴露在射线下可能出现的毒副反应,远期预后等情况。
术前我们对患儿的病情及手术方式进行了仔细评估,考虑该年龄段无介入治疗经验,加上瘤体大,可能栓塞不全,且术前不排除瘤腔有血栓形成,故选择开颅行动脉瘤夹闭术。
虽婴幼儿血管细小,行股脑DSA术穿刺困难,但DSA检查对婴幼儿脑血管病的诊断和治疗极其重要,建议尽可能开展。我们的经验是在术中超声辅助下进行股动脉穿刺置管,选择4F导管进行全脑血管造影,可大大提高穿刺成功率。
婴幼儿颅内动脉瘤虽然临床少见,但仍不可忽视,对于婴幼儿突发出现不明原因的呕吐、抽搐,需考虑颅内出血等病变,MRI增强+MRA可帮助诊断,当怀疑颅内动脉瘤时建议行全脑血管造影明确诊断,以免漏诊、误诊。经早期积极治疗,可避免动脉瘤破裂而导致的严重后果,加上婴幼儿脑组织修复能力强,往往临床预后良好。