提示
“浙二神外周刊”不定期接收外院投稿,审核后发表。欢迎各专业同道联系我们,分享精彩病例、研究热点或前沿资讯。投稿请联系:shishi74@163.com
前言
与成人神经外科相比,小儿神经外科有许多特点和不同,因而在诊断及治疗上也与成人有很大的不同。在国外小儿神经外科完全独立,自成一体。为了更好地了解小儿神经外科,我们选编了浙江大学附属儿童医院神经外科诊治的部分有代表性病例,分期刊出供大家了解和参考。希望给大家有所借鉴。
病史简介
患儿,男,2Y11M。间歇性头痛1月余,加重伴嗜睡半天入院。
患儿1月余前无明显诱因出现间歇头痛,无呕吐,可缓解,无抽搐,无发热等不适,未予治疗。半天前患儿出现头痛加重伴嗜睡情况,就诊当地医院。查头部CT示:左侧鞍上边界较清的高密度影,诊断“鞍区占位,性质?”(图1)。为求进一步诊疗,就诊我院。
![]()
图1. CT示:左侧鞍上边界较清的高密度影,诊断“鞍区占位,性质?”
否认既往脑膜炎、外伤等病史,家族遗传史无殊。
入院查体:神志清,生命体征平稳,精神可,颅神经检查未见明显异常。四肢活动可,感觉无殊,肌力V级,肌张力正常,双侧巴氏征阴性。
诊疗经过
入院后进一步查垂体激素、肿瘤标记物等未见明显异常。
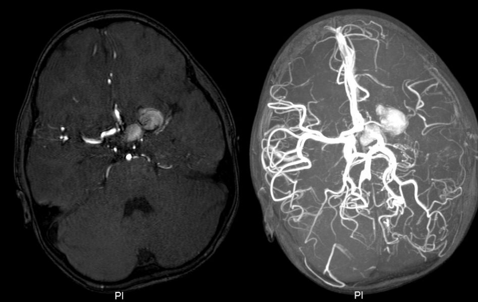
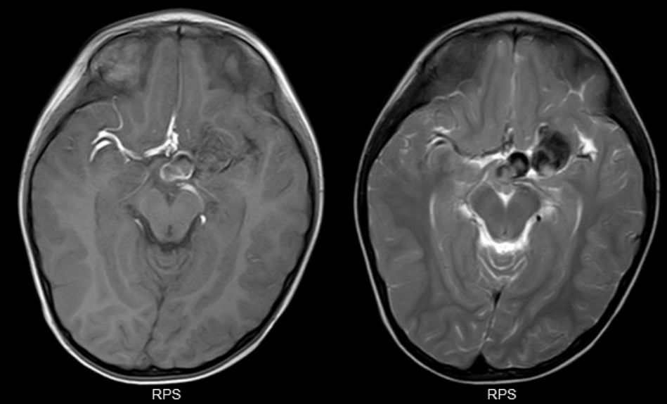
查头颅MRI提示:左侧鞍上可见两处结节状异常信号影,病变内信号不均匀,周围可见扭曲血管流空影,增强后明显强化,血管畸形伴出血可能(图2)。
![]()
![]()
图2. MRI提示鞍上及外侧裂区多发类圆形结节病灶,强化明显,边界清。
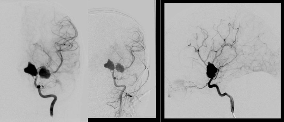
进一步DSA检查提示:左侧颈内动脉末端,大脑中动脉起始段两枚异常瘤体影,形态不规则,大小约12.1mm*15.3mm,13.6mm*12.2mm,左侧A1显示欠佳,考虑左侧大脑中动脉起始部多发动脉瘤。(图3)
![]()
图3. 左侧颈内动脉造影,显示左颈内动脉末端,A1,M1起始处两个动脉瘤
根据DSA检查结果,患儿诊断考虑左侧大脑中动脉起始部多发动脉瘤。由于动脉瘤呈梭型扩张,瘤体大,超过10mm,单纯手术夹闭困难。切除瘤体行动脉端端吻合,两端动脉条件不一定好,手术难度及风险也大。若行血管内介入栓塞该多发动脉瘤,可尝试,但也有复发,中动脉闭塞等风险。同时我院栓塞经验不多,条件不成熟,需转院治疗。在详细告知患儿家属病情及治疗选择后,结合儿童动脉瘤的特殊性,考虑先天性血管异常可能,尝试行颈内动脉缩窄术减少载瘤动脉血供,降低瘤腔张力,改变涡流,动态观察动脉瘤变化情况,期望产生血栓来达到治疗目的。
手术过程:
全麻下行左侧颈内动脉缩窄术。在左颈部胸锁乳突肌前缘,作一斜形切口,长约5cm,切开颈阔肌。牵拉胸锁乳突肌,打开颈动脉鞘,暴露左侧颈内动脉。用临时动脉瘤夹阻断颈内动脉,用7-0线缝扎血管,长度约1.5cm ,使得颈内动脉横截面缩窄约50%,4-0可吸收线缝合颈阔肌以及颈部皮肤(图4)。
![]()
图4. 左颈内动脉缩窄术,术中缝合颈内动脉约1.5cm,缩窄约50%截面。
患儿术后情况良好,无对侧肢体偏瘫及其他脑缺血并发症。术后1周复查MRA,提示左侧大脑中动脉M1及大脑前动脉A1段显示欠清,瘤体仍大小相仿(图5)。出院继续随访。
![]()
图5. 术后1周MRA,显示左侧A1和M1纤细,动脉瘤影变淡。
术后1月复查MRA提示:动脉瘤体内类似血栓形成,中动脉周围可见细小侧枝循环血管形成,中动脉远端血管稀疏(图6)。
![]()
图6. 术后1月MRA,动脉瘤体内类似血栓形成,中动脉周围可见细小侧枝循环血管形成,中动脉远端血管稀疏
术后6月复查MR提示:动脉瘤体无明显显示,考虑血栓闭塞或瘤体自行消退缩小,周围见散在烟雾样侧枝血管(图7)。
![]()
图7. 术后6月MRA,动脉瘤体无明显显示,考虑血栓闭塞或瘤体自行消退缩小,周围见散在烟雾样侧枝血管。
术后10月复查MRA提示:瘤体及左侧A1,M1未显示伴周围侧枝血管形成,较前血管走形略清晰(图8)。
![]()
图8. 术后10月MRA,瘤体及左侧A1,M1未显示伴周围侧枝血管形成,较前血管走形略清晰。
患儿目前一般情况良好,无头痛,无肢体乏力,感觉异常等神经功能损伤症状,门诊随访复查,建议进一步行DSA评估颅内血管情况,但家属依从性较差,一直未来检查,继续随访中。
讨论
儿童颅内动脉瘤(intracranial aneurysms)比较罕见,约占所有颅内动脉瘤的0.5-4.6%[1],好发于男孩[2],病因与发生机制尚不明确,认为动脉瘤的发生可能是内因和外因相互作用的结果。内因是先天性血管发育异常造成血管壁结构异常,导致血管壁自行修复功能短暂或永久性失常,可能与肌纤维发育不良有关,包括马凡综合征,神经纤维瘤病I型,多囊肾病等[3,4],外因则为外伤、感染、免疫等原因引起的继发性血管损害。细菌性或感染性动脉瘤常继发于感染性心内膜炎,败血症,且常表现为双侧多发。外伤性动脉瘤在儿童亦较常见,常由颅底骨折损伤颅内动脉,异物或者骨折片直接损伤动脉壁,颅脑损伤时对动脉的牵拉等引起[2]。颈内动脉分叉处及中动脉是好发部位,后循环动脉瘤发病率较成人高,有报道儿童后循环动脉瘤可占达21%,是成人的3倍[5]。大型、多发、梭形的动脉瘤也较成人常见。本例患儿既往无明显的外伤及感染病史,病因不明确,考虑先天性发育异常可能,位于颈内动脉分叉处,单侧多发、梭形膨胀生长,直径超过10mm,属于复杂的大型动脉瘤。
儿童颅内动脉瘤的症状主要为出血症状、局灶症状和缺血症状[6]。儿童动脉瘤破裂出血的发生率较成人低,考虑原因为儿童大型的动脉瘤比例较高,在其未破裂前即可引起明显的颅内压迫症状而引起重视,如头痛、癫痫发作、短暂意识丧失、神经功能障碍、呕吐,视力视觉障碍,上睑下垂等[5]。随着影像学检查的提高,无症状、未破裂动脉瘤的检出率也在不断提高。
显微外科手术和神经介入血管内治疗是目前儿童颅内动脉瘤最常用的两种治疗手段。前者包括动脉瘤夹闭、动脉瘤包裹、载瘤动脉夹闭、动脉瘤孤立或血管旁路移植后孤立等方法,后者包括单纯动脉瘤囊内栓塞、球囊或支架辅助的动脉瘤栓塞、载瘤动脉栓塞等[7]。总体来说,外科手术治疗的效果相对更加彻底,但血管内治疗有着不开颅,创伤小,恢复快等优点,随着导管技术和栓塞材料的不断改进,血管内治疗儿童动脉瘤日趋成熟,逐步被许多中心采纳为首选方法[2]。除此之外,还有一方面原因是儿童巨大的、复杂的、梭形的、后循环的动脉瘤发病率高,显微外科手术处理常常面临血管吻合、搭桥等较高手术难度和技巧,术后脑缺血、残留严重神经功能后遗症等风险也较高。同时,儿童生命跨度大于成人,考虑到后续的学习、成长和生活,根据动脉瘤的部位、大小、类型等临床特点,选择创伤小、恢复快,效果佳,复发率低的治疗方法尤为重要。在本例中,直接行动脉瘤夹闭困难,可能需行瘤体切除+血管重建吻合搭桥,手术风险难度大。介入栓塞因年龄较小,血管细小,瘤体大,需支架辅助等,亦难以达到完全根治。结合我中心的特点,考虑到儿童动脉瘤的特殊性,主要是血管壁的异常和血流动力学的相互作用引起,国外有在颅内植入管道栓塞装置(Pipeline Embolization Device,PED)以改变其血流动力学达到动脉瘤缩小或栓塞的报道[8],尤其是针对复杂性的动脉瘤,经讨论及患者家属知情选择后,予以行姑息性的颈内动脉缩窄术,以降低载瘤动脉的血流量,降低瘤体局部血流压力,期望达到动脉瘤自行栓塞而治愈的目的。根据随访结果可以看到动脉瘤体已基本消失,但局部脑组织的正常血供亦较少,周围出现了散在的侧枝循环,类似“烟雾病”的表现,虽然临床上暂无脑缺血症状,后续仍有待进一步的观察。
儿童动脉瘤总体预后好于成人,因其缺少成人常见的吸烟、高血压、动脉粥样硬化等常见的诱发因素,病因与成人不同,在经过治疗后通常能达到良好的治疗效果。极少部分患儿有自发性栓塞而自愈的情况。但由于儿童的生存期长,术后仍存在动脉瘤复发和新生动脉瘤的风险,因此,长期的随访观察值得小儿神经外科医生的关注。
总之,儿童颅内动脉瘤的临床特点与成人有显著区别,其发病率低,好发于男孩,巨大动脉瘤、后循环动脉瘤、创伤性、感染性动脉瘤多见,根据其影像学特征和临床特点选择合适的个体化的治疗方案,手术效果和预后良好[9]。除目前常采用的显微外科手术和神经介入手段,针对复杂的动脉瘤,结合国内的国情,姑息性的降低载瘤动脉的血供,或着应用PED装置,改变其血流动力学,可能可以促进其动脉瘤的自然消退,但仍需更多的进一步研究和随访观察。
参考文献
1. Krishna H, Wani AA, Behari S, Banerji D, Chhabra DK, Jain VK. Intracranial aneurysms in patients 18 years of age or under, are they different from aneurysms in adult population? Acta Neurochirurgica. 2005;147(5):469-76.
2. Aws A, Randall CE, Samer KE, Callison RC, Yasir Al K, Hesham A, et al. Treatment of cerebral aneurysms in children: analysis of the Kids' Inpatient Database. Journal of Neurosurgery: Pediatrics PED. 2014;14(1):23-30.
3. Ekhomu O, Naheed ZJ. Aortic Involvement in Pediatric Marfan syndrome: A Review. Pediatr Cardiol. 2015;36(5):887-95.
4. Ramaprabhu K, Prakash O, Davidson N, Bhalero S, Radhakrishnan S, Coelho R. Bentalls Procedure in Pediatric Mixed Connective Tissue Disease Syndrome: Management of Pediatric Aortic Aneurysm - A Brief Review. J Heart Valve Dis. 2017;26(5):610-2.
5. Krings T, Geibprasert S, terBrugge KG. Pathomechanisms and treatment of pediatric aneurysms. Childs Nerv Syst. 2010;26(10):1309-18.
6. Gemmete JJ, Toma AK, Davagnanam I, Robertson F, Brew S. Pediatric cerebral aneurysms. Neuroimaging Clin N Am. 2013;23(4):771-9.
7. Bhogal P, Perez MA, Wendl C, Bazner H, Ganslandt O, Henkes H. Paediatric aneurysms - Review of endovascular treatment strategies. J Clin Neurosci. 2017;45:54-9.
8. Vachhani JA, Nickele CM, Elijovich L, Klimo P, Arthur AS. Flow Diversion for Treatment of Growing A2 Aneurysm in a Child: Case Report and Review of Flow Diversion for Intracranial Aneurysms in Pediatric Patients. World Neurosurg. 2016;96:607 e13- e17.
9. Garg K, Singh PK, Sharma BS, Chandra PS, Suri A, Singh M, et al. Pediatric intracranial aneurysms--our experience and review of literature. Childs Nerv Syst. 2014;30(5):873-83.
(本文由浙二神外周刊原创,浙江大学医学院附属儿童医院神经外科翁建彬主治医师整理,沈志鹏主任审校;浙二神经外科张建民主任终审)




