今日为大家分享的是由首都医科大学附属北京天坛医院刘丕楠、杨智君、毕智勇、李朋以及大连医科大学附属第二医院刘健带来的:“经鼻内镜自体阔筋膜连续缝合颅底硬膜重建技术”,欢迎观看、分享。
作者:刘 健
审校:杨智君
术者:刘丕楠、毕智勇
助手:杨智君、刘 健、李 朋
刘丕楠教授:经鼻内镜自体阔筋膜连续缝合重建颅底硬膜重建技术

刘丕楠
教授,博士生导师
首都医科大学附属北京天坛医院神经外科肿瘤七病区主任
北京市神经外科研究所神经重建室主任
北京市卫生系统学科带头人
中国医疗保健国际交流促进会副主任委员兼秘书长
中华神经外科杂志编委
中国医师协会神经内镜专业委员会副主任委员
中国抗癌协会神经肿瘤分会常委
近年,内镜技术在神经外科领域飞速发展,经鼻内镜手术能够完成绝大多数鞍区病变切除,尤其是垂体腺瘤、颅咽管瘤、鞍结节脑膜瘤,高质量的切除案例屡见不鲜。相对于开颅手术,内镜手术在到达垂体窝、鞍结节、蝶骨平台、鞍上池、脚间池、三室底等中央颅底区域具有无可比拟的解剖合理性。但于术中颅底的开放,内镜切除硬膜下肿瘤术后脑脊液漏及感染的发生率远高于开颅手术。
解决脑脊液漏、颅内感染问题的核心是可靠的颅底重建。目前国际报道最多的是以带蒂鼻中隔粘膜瓣结合多层自体组织进行颅底重建的技术,多层颅底重建技术和带血管蒂粘膜瓣技术的应用大大降低了内镜术后脑脊液漏和颅内感染的发生率。然而多层颅底重建技术的成功率各家报道不同,有报道称,在鞍结节脑膜瘤或颅咽管瘤患者中,内镜术后脑脊液漏的发生率达到了 4.6%~40%。内镜颅底外科需要更可靠的颅底硬膜重建技术,为患者的快速康复提供保证。
结合国际文献与我们自己的经验,我们认为颅底重建的核心是重建颅底硬膜的严密性。2015年,日本筑波大学神经外科的 Hara 医生等统计该中心125例术中脑脊液漏患者应用硬脑膜缝合技术,结论中提到LELLY 3级术中脑脊液漏患者经硬脑膜缝合联合粘膜瓣技术重建后脑脊液漏发生率为4.5%。我们自2017年底开始尝试内镜下以自体阔筋膜修补缝合颅底硬膜的技术,取得了不错的疗效。目前已完成36例,术后脑脊液漏1例,脑脊液漏发生率2.8%,无术后因填塞物移位引起视力下降,无反复感染、脑积水及长期腰穿外引流的患者。
经鼻内镜自体阔筋膜
连续缝合颅底硬膜重建过程
![]()
图1. A:肿瘤切除后鞍结节及蝶骨平台颅底硬膜缺损;B:天意福人工硬膜置入硬膜下作为第一层修补材料;C:裁剪合适大小的自体阔筋膜;D:单手缝合右侧颈内动脉远环附近硬膜缘;E:沿缺损硬膜缘逆时针方向连续缝合;F:助手持吸引器配合保障术野清晰,术者单手缝合左侧远环附近硬膜缘。

图2. A、B、C:连续缝合蝶骨平台硬膜缘;D: 自体阔筋膜连续缝合作为第二层修补材料; E: 自体脂肪片贴敷作为第三层修补材料;F: 带蒂鼻中隔粘膜瓣贴敷作为第四层颅底重建材料。
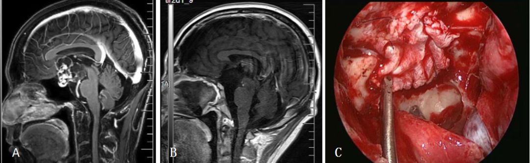
病例1:颅咽管瘤

图3. A:颅咽管瘤术前矢状位MRI;B: 颅咽管瘤术后矢状位MRI;C:自体阔筋膜连续缝合修补颅底硬膜。
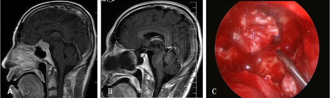
病例2:鞍结节脑膜瘤

图4. A:鞍结节脑膜瘤术前矢状位MRI;B:鞍结节脑膜瘤术后矢状位MRI;C:自体阔筋膜连续缝合修补颅底硬膜。
总结
鞍结节脑膜瘤和颅咽管瘤内镜手术后都会有较大范围的颅底硬膜缺损,尽管带蒂鼻中隔粘膜瓣的使用使脑脊液漏概率大大降低,但传统的多重颅底重建技术仍不能使脑脊液漏发生率降到令人满意的程度。内镜下自体阔筋膜连续缝合修补颅底硬膜技术具有明显优势,一方面近水密性缝合,减少了脑脊液自漏出的可能,一方面硬膜缺损处解剖学复位,利于伤口愈合。同时缝合硬膜后可保持局部张力,避免修补物的移位,降低了修补物压迫视神经、下丘脑的可能。另外此技术避免了硬膜下填塞自体组织,减少了修补区域自体组织的使用,这些为减少术后反复感染提供了有效帮助。
内镜下自体阔筋膜连续缝合重建颅底硬膜技术具有一定难度,对术者和助手技术水平要求较高,需要经过一定时间的训练和实践。无论术者持镜还是助手持镜,通常需要双鼻孔操作完成缝合,缝合8-12针不等,缝合过程中,在接近远环的硬膜缘缝合时需注意避免损伤颈内动脉。缝合完成后,没有必要使用硬性支撑材料,修剪薄的脂肪片覆盖阔筋膜有助于缝合缘早期瘢痕封闭,带血管蒂的鼻中隔粘膜瓣是另一有效屏障。






