今天为大家分享的是由福建医科大学附属第一医院陈小勇、海军军医大学附属长征医院徐涛副教授带来的:脑室外引流术的手术策略与技巧,欢迎观看、阅读!
脑室外引流(EVD)是神经外科住院医师要掌握的最基本的技术之一,然而如果操作不遵守原则,即使是经验丰富的临床医生也会面临困难。对于罹患致死性脑积水以及脑室内出血的患者,EVD是一项可以挽救生命的措施。
脑实质内压力监测装置只能用于监测颅内压(ICP),而EVD兼具诊断与治疗的作用。EVD在引流脑脊液CSF的同时可以缓解因CSF产生过多或吸收不足所导致的颅内压过高。然而,与脑实质内的颅内压监测装置相比,EVD创伤性更大,发生颅内出血与感染(脑室炎)的风险也更大。
放置EVD引流管是根据外部解剖标志进行的“盲法操作”。由于脑室的解剖常因某些潜在疾病而改变,导管的放置路径则需要根据CT进行个体化调整。如果脑室体积较小,没有立体定向技术的帮助,穿刺常常较为困难。
经非优势半球额叶(右额叶)置入EVD是常规首选方案,但在特定情况下,也会选择将导管放置在左侧。比如,如果左额叶存在损伤或疾病,仅剩右额叶完整,EVD的导管则应放置在左侧。例如,右额角出血铸型的患者,如果选择在右侧放置导管,则会在短时间内造成导管堵塞,这种情况下只能选择左侧进行脑室穿刺。另外,孤立性左侧侧脑室也是选择左侧放置导管的原因之一。
对于颅脑弥漫性损伤,GCS小于8分的患者,由于ICP为生理性升高,并无脑积水产生,也不需要引流脑脊液,因此这类患者可能更适合放置脑内ICP监测装置。然而,存在一小部分患者会发展成难治性颅内压升高,这时则需要利用EVD引流脑脊液。
手术过程的关键标志是:中线,鼻根,同侧耳屏,同侧瞳孔以及内眦。在清楚的情况下冠状缝也是一个很有帮助的标志。引流的穿刺点称为Kocher点,位于鼻根后方10-11cm,中线旁3cm,冠状缝前1cm(沿中瞳线)。
![]()
图1. 左上图标示了大脑表面的冠状缝与矢状缝。右上图显示了 Monro孔的位置。下图显示冠状切片上Monro孔的位置。导管尖端朝向内眦,靠近Monro孔,这一点也被认为是颅内空间的零点,颅内压的测定与此相关。(图片由AL Rhoton, Jr授权)
导管的路径朝向一个点:矢状面上耳屏前1cm,冠状面上指向内眦。一般来说,引流管应当垂直进入颅骨到达Monro孔。但运用这些解剖标志的前提是Monro孔位于标准的中线位置,未被潜在的病灶所推移。
病人取仰卧位,床头抬高约30-45°。患者头应摆放在正中的解剖位置,因为轻微的头部旋转也会导致术者标记的定位错误。由于操作常在昏睡或麻醉的患者中进行,助手需要扶住患者头部,尽量减小钻孔(开颅)时头部的摆动。
夹住头发暴露出Kocher点后,通过鼻梁清楚地勾勒出中线后双次核对。标记出Kocher点并过该点画出1-2cm的切口。
![]()
图2. 内侧蓝点是标准的Kocher点。为了避开矢状窦静脉,笔者通常会在Kocher点的标准位置外1cm进行钻孔(外侧蓝点)。
![]()
图3. 显示Kocher点与冠状缝与中线的关系。导管尖应当指向Mnoro孔,假设的颅内空间的“零点”。上图显示了导管放置的重要原则,即垂直进入颅骨。下图显示了Kocher点在冠状缝前1cm,矢状缝外侧3cm。
在切口周缘以及操作后期导管在帽状腱膜下的隧道周边对头皮进行局部浸润麻醉。切开切口并放置好小型自动牵引器后,分离颅盖骨的骨膜。
![]()
图4. 钻头必须垂直进入颅骨,并与EVD导管路径相同(上图)。因为钻头的直径较小,颅骨又相对较厚,这个操作细节很有必要并且会决定导管进入大脑的角度与轨迹。由于开颅的不充分导致的轻微偏移也会造成导管尖端最终轨迹的严重移位(下图)。由于这些偏移发生在导管进入大脑之后,术者将无法发现。
开颅不充分的定义是:钻孔过小以及颅盖骨内板边缘不规则,导致EVD柔软的导管尖端偏移。因此:
1. 应当使用较大直径的钻头
2. 钻头应当以颅骨的厚度多次进行回抽与前插,保证开颅的内缘充分磨开并且无骨性突起出现造成导管偏移。
![]()
图5. 如果钻头还未穿过硬脑膜,可以用钝针切开硬脑膜。然后,引流管与探针按照原定的轨迹前进(如上述),深度距头皮约6-6.5cm。
如果导管前进超过7cm才获得脑脊液,术者应当提高警觉,此时有可能穿刺角度错误或导管尖端进入颞角,大脑纵裂,第三脑室,外侧裂甚至基底池。这种情况下,需要移动导管位置,向中间与后方稍微倾斜角度。
![]()
图6. 从术者的视野透过大脑观察脑室。冠状位上引流管的路径朝向内眦,点在矢状面上耳屏前1cm。导管尖端靠近Monro孔。
导管尖端穿过室管膜后会有“噗”一下的感觉,然后确认到CSF流出。移除探针,引流管在脑室内继续前进1cm,使导管尖端到达Monro孔。引流管远端在皮肤下穿行并固定,关闭小切口时必须注意不要将引流管缝住。
![]()
图7. 在帽状腱膜下小心地穿行引流管可以降低感染风险。用无齿镊固定引流管,可以将拔出导管或无意中把导管推向脑室深部的风险降至最低(上面的插图与下面的照片)。
![]()
图8. 将引流管多点固定在皮肤上可以减少脱出的风险。笔者通常用皮肤钉将导管固定在皮肤上。
有时,CSF并未从导管插入处流出,这是因为脑室内CSF压力过低,并非导管位置不佳。术者不能贸然移开和重新插入导管,而应该用1个10cc的注射器从导管缓慢地回抽脑脊液。这一方式也证实EVD导管的位置摆放正确。
如果引流管连续3次未插入脑室,应当停止操作并由更有经验的同事执行或在立体定向引导下进行操作。在3次连续尝试之后颅内出血的风险明显增加。
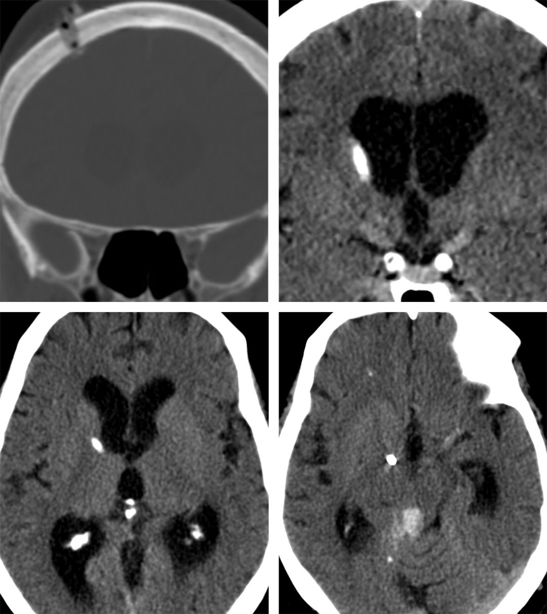
下面是一个由于开颅口过小导致EVD导管位置错误的例子。
![]()
图9. 这个EVD导管可能只是因为小孔的内边缘导致轻微偏移(左上冠状位CT)。导管刚刚好偏出侧脑室(右上图)。由于未进入脑室,术者将导管插入大于允许的深,导管尖端位置过深(下列)。
如果笔者多次穿刺或怀疑导管位置错误,术后会立即要求行CT扫描以确定EVD引流管位置摆放正确以及无血肿形成。
对于破裂动脉瘤的患者必须特别小心。如果将EVD压力限定在0或5cm水柱,很可能造成动脉瘤囊壁跨壁压力的迅速变化导致动脉瘤二次破裂。不稳定的破裂动脉瘤引流压力必须不低于10cm H2O。
后颅窝存在巨大病灶可以引起显著占位效应或甚至引发小脑幕裂孔疝,这些病人可能由于梗阻性脑积水而需要做脑脊液引流。如果幕上脑室系统压力过低,这些病人就可能发生向上的致死性小脑幕裂孔疝(反疝)。他们脑室引流不应低于15cm H2O。
颅底或脊柱水平存在脑脊液漏的患者不应积极引流,因为这一行为会导致患者颅腔迅速积气以及神经功能下降。如果鼻腔与颅内相沟通,感染与脑室沿可能会沿着颅内异物(EVD导管)的表面进行扩散。
而长期使用EVD(>2周)将导致感染率以及脑室炎的风险上升。对于活动性脑脊液感染的患者,应尽可能不置入EVD。
如果多次穿刺均未成功,向内向后稍稍倾斜可以提高成功率。另外一个方法就是固定引流管再进行CT扫描查看。在最后一次定位下纠正导管的路径。
如果术者自信引流管在脑室内,但未见CSF回流,用10ml注射器做测压计或轻轻地从脑室内吸出低压力的脑脊液。
DOI: https://doi.org/10.18791/nsatlas.v1.ch16
中文版链接:
https://www.medtion.com/atlas/2126.jspx





