提示
“浙二神外周刊”不定期接收外院投稿,审核后发表。欢迎各专业同道联系我们,分享精彩病例、研究热点或前沿资讯。投稿请联系:shishi74@163.com
前言
与成人神经外科相比,小儿神经外科有许多特点和不同,因而在诊断及治疗上也与成人有很大的不同。在国外小儿神经外科完全独立,自成一体。为了更好地了解小儿神经外科,我们选编了浙江大学附属儿童医院神经外科诊治的部分有代表性病例,分期刊出供大家了解和参考。希望给大家有所借鉴。
病史简介
患儿1,女,10天,因“早产后被人发现10天,发现脑积水7天”于2012年11月13日入院。
患儿系弃婴双胞胎之一,出生史不详,10天前因发现被遗弃于当地妇幼保健院,予收治住院治疗,当时胎龄评估33周,体重1220g,予抗感染、营养对症支持治疗。2012.11.6头颅B超示脑积水。后复查头颅B超示脑积水较前加重,遂转来我院。
入院查体:体温36.3度,脉率152次/分,呼吸50次/分,血压67/31mmHg,体重1560克,身长41厘米,头围32.5厘米,胸围23.0厘米,反应尚可,早产儿貌,前囟5*5 cm,隆起,骨缝分离。听诊心律齐,未及杂音,二肺呼吸音粗,未及罗音,腹软、膨隆,肝肋下1cm,脾肋下未及。肌张力正常,生理反射减弱。
辅助检查:2012.11.06头颅B超示脑积水:左侧脑室扩张最宽约2.6cm,右侧脑室扩张最宽约2.4cm。11.13头颅B超示重度脑积水:左侧脑室扩张4.5cm,右侧脑室扩张4.7cm,第三第四脑室扩张约0.8cm。11.13急诊血常规:WBC:19.37×10^9/L,N:55.6%,HB:120 g/L,PLT:297×10^9/L,CRP:3mg/L。
初步诊断:1.先天性脑积水(重度),2.早产儿,3.极低出生体重儿。
患儿2,女,系上述弃婴双胞胎之二,体重1280g,查头颅B超示重度脑积水。也转来我院。
查体:体温36.1度,脉率156次/分,呼吸52次/分,血压51/23mmHg,经早产儿奶喂食等后,体重增长至1.4kg。身长42厘米,头围31.0厘米,胸围27.0厘米,反应差,早产儿貌,面色苍白,前囟饱满,约3*3cm,颅骨缝明显增宽。听诊心律齐,心前区可及II/6杂音,二肺呼吸音稍粗,未及罗音,腹软,肝肋下1cm,质软,脾肋下未及。肌张力减弱,生理反射减弱。
辅助检查:2012.11.13头颅B超示重度脑积水:左侧脑室扩张最宽2.7cm,右侧脑室扩张最宽约2.7cm,第三脑室扩张约0.5cm。11.13门诊血常规:WBC19.05*10^9/L,N:37.0%,HB:135g/L,PLT:268×10^9/L,CRP:<1mg/L。
初步诊断:1.先天性脑积水(重度),2.早产儿,3.极低出生体重儿。
诊疗经过
入院后予以常规新生儿监护及治疗,完善腰穿,头颅CT和头颅MR检查。
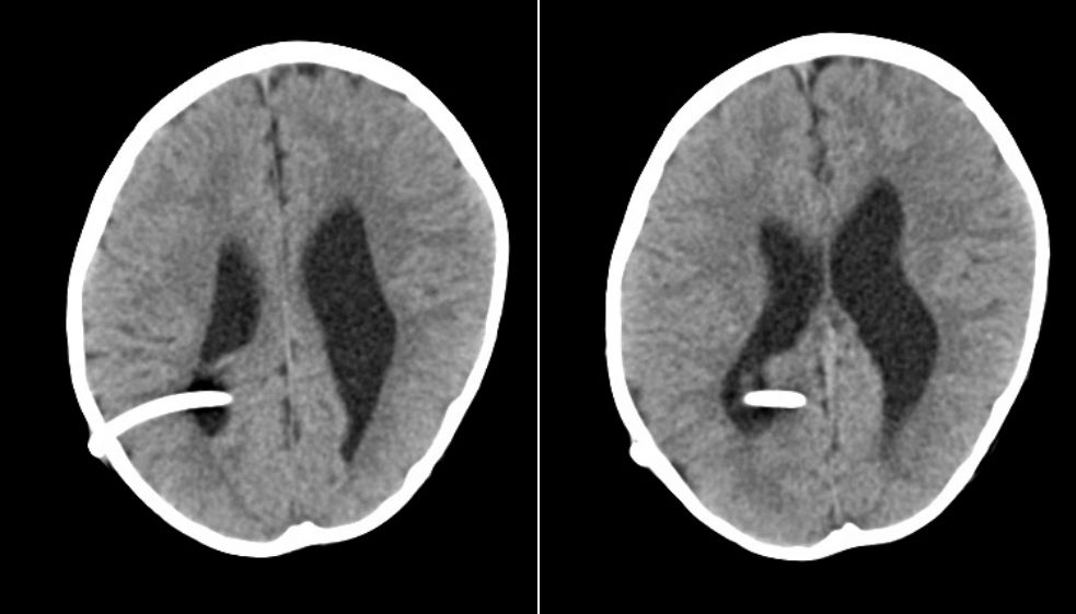
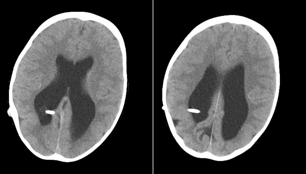
病例1,头颅CT及MRI检查提示:幕上脑室扩张,皮层菲薄,第四脑室形态正常。梗阻性脑积水,导水管部位梗阻可能。(图1)。
![]()
![]()
图1.头颅CT及MRI检查提示:幕上脑室扩张,皮层菲薄,第四脑室形态正常。梗阻性脑积水,导水管部位梗阻可能。
腰穿结果提示:颜色淡黄,白细胞数正常,蛋白高916.7mg/L,糖略低2.64mmol/L,培养阴性。无明显感染迹象(表1)。
表1:脑脊液检查结果
![]()
![]()
病例2,头颅CT及MRI检查,结果与病例1类似。
科室讨论:两例患儿为弃婴双胞胎,出生史胎龄不详,低体重儿,仅1560g和1410g,B超发现脑室扩大,腰穿结果均为淡黄色,无明显感染迹象,CT和MR提示重度脑积水,导水管以上脑室扩张明显,四脑室正常,未见明显占位病变,考虑先天性发育畸形引起的中脑导水管狭窄,不排除新生儿脑室内出血后继发性导水管梗阻或狭窄可能,建议动态观察头围变化和监测B超,间断行腰穿释放脑脊液降低颅内压,有进行性加重可考虑手术干预。
病例1,治疗观察2周后头围较前明显增大,由32.5cm增大至35.0cm,体重由1560g增长至1840g,查B超提示左侧脑室体宽4.42cm,右侧脑室体宽4.95cm,第三脑室扩张约1.1cm。侧脑室形态不规则,B超测量取决层面差异,三脑室有增大情况,考虑脑积水,遂决定行脑室腹腔分流术。
病例2治疗观察2周后复查头围较前变化不大,由31.0cm增加至32.5cm,体重由1410g增加至1910g,查B超提示:左侧侧脑室体宽2.9cm,右侧体宽2.4cm,第三脑室宽1.0cm,有进行性增大趋势,也决定行VP分流术。
2例患儿均行枕角穿刺(图2),植入美敦力公司的可调压分流管,术后压力调节在1.5档。2例患儿术后恢复良好,无感染、分流管堵塞等并发症,顺利出院。并一直随访复查中。
![]()
图2.术中体位,行枕角穿刺。
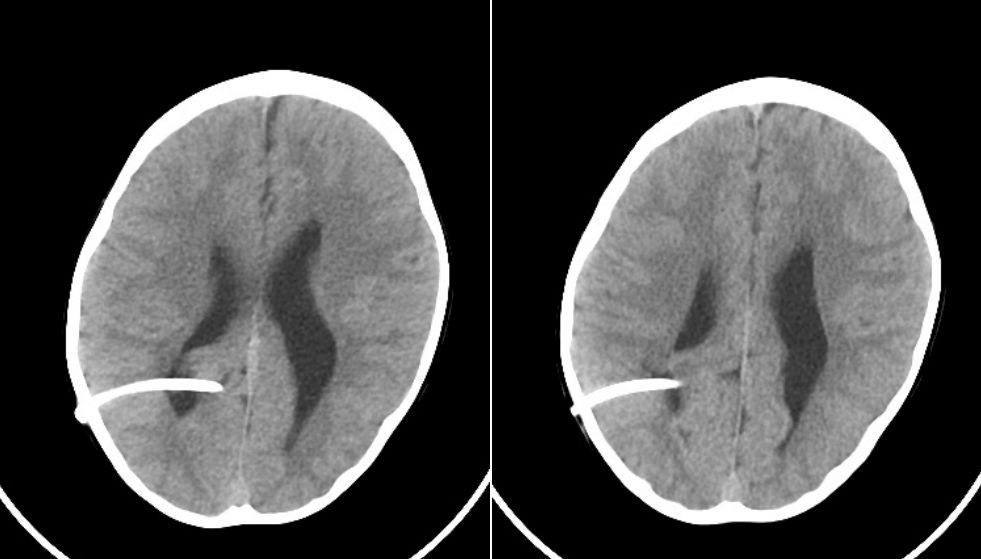
病例1:术后1天CT,见囟门已凹陷。
![]()
术后2年半(2015.7.12)复查CT:脑室形态较前好转缩小,脑实质发育良好。
![]()
术后4年(2016.12.29)复查CT如下:同前相仿。
![]()
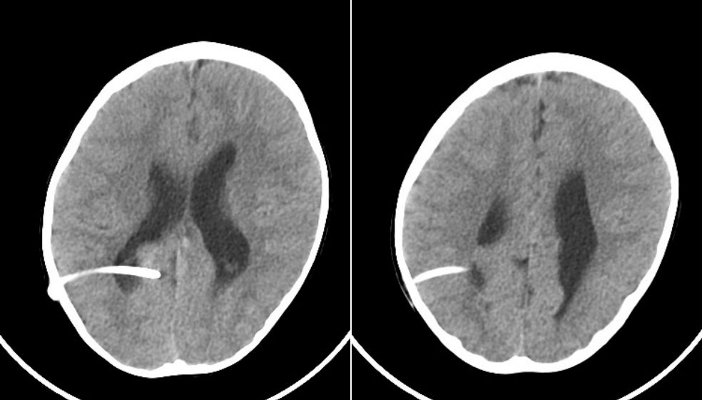
病例2:术后1天复查CT:前囟门较前平坦。
![]()
![]()
术后1年半(2014.5.16)复查CT:脑室形态较前好转缩小,脑实质发育良好。
![]()
术后2年半(2015.7.23)复查CT:较前相仿。
![]()
术后4年复查(2016.12.29)CT:较前相仿。
![]()
目前两例患儿总体生长发育情况良好,未见明显的神经功能后遗症情况,但未进行系统性评估。
![]()
讨论
脑积水(Hydrocephalus)是神经外科医生经常需要面临的问题,尤其在小儿神经外科医师中,儿童脑积水的发生率较成人高,约为1:1000[1]。在美国,每年约有40000例新发脑积水病人需要诊治,耗费约20亿美元医疗支出[2]。
脑积水是指脑脊液因各种病理因素异常的积聚在颅腔内,导致的颅内压进行性增高,引起了神经功能损害,严重的可导致死亡。2岁以内的儿童因颅缝未完全闭合,其颅内压力通常较低,而2岁以上当颅缝闭合形成一密闭的颅腔后,其压力变化符合Monro-Kellie 压力容积曲线[3]。各年龄段的颅内压力情况见表1,新生儿时期的颅内压力不超过3mmHg,低于成人和儿童标准,当颅内压力升高到5-6mmHg时,即可以引起脑室的扩大和头围的增大[4]。而且,新生儿时期的脑室较小,脑脊液可提供的代偿能力小,根据压力容积指数(pressure–volume index, PVI)曲线反应(图3),新生儿对容积变化引起颅内压升高耐受性差,少量的颅腔内容物增多,即可导致颅内压升高到3倍左右,约9mmHg,从而引起继发性的脑室扩大。因此,早期及时的纠正颅内压,对新生儿的脑发育情况有较好的保护。
各年龄段儿童的正常颅内压力
![]()
![]()
图3.压力容积指数曲线
脑积水根据病因不同可分为梗阻性脑积水和交通性脑积水,病因多种多样,有先天性畸形、感染、出血和肿瘤压迫等。先天性中脑导水管梗阻包括狭窄、隔膜、分叉和室管膜下胶质增生(图4),其中真性的狭窄仅占4%-8%[11],更常见的原因多见于室管膜下胶质增生,而引起其增生的原因包括脑室内出血或者宫内感染,如弓形虫感染等。脑室内出血(intraventricular hemorrhage, IVH)是引起新生儿脑积水常见的原因,尤其是早产儿,体重低于1500g的早产儿约20%伴有脑室内出血的情况[5]。随着新生儿监护的提高,早产儿的存活率上升,但随之而来的脑室内出血后脑积水(posthemorrhagic hydrocephalus, PHH)发病率越高。其出血部位通常位于室管膜下生发基质(germinal matrix, GM)。根据出血的范围及是否伴有脑室扩张,Papile[6]将其分为4级。I-II级发生脑积水的概率低,而III-IV级则相对较高,总的脑积水发生率约16%。IVH引起脑积水的机制目前尚不明确,认为出血后的凝血块堵塞脑脊液通路或广泛的蛛网膜下腔粘连影响脑脊液吸收,后期凝血块降解的细胞碎片、细胞因子、白介素、自由基、铁离子等代谢产物影响脑室壁细胞生理,导致胶质增生等。其中转化生长因子(Transforming growth factor β, TGF-β)的升高[7]在形成脑积水过程中起一定促进作用。本报道两例患儿均为早产儿,具体胎龄不详,均为低体重儿,是IVH的高发人群,行腰穿脑脊液呈现淡黄色,考虑有脑室内出血后细胞降解含铁血黄素,检查提示幕上脑室扩张明显,可能为出血后引起的导水管部位室管膜下胶质增生引起的狭窄或梗阻。
![]()
图4.中脑导水管梗阻的常见病因
新生儿脑室内出血Papile分级
![]()
脑积水的症状在儿童也因年龄而异,早产儿 、新生儿、婴幼儿的表现均有所不同(表3)。早产儿可有呼吸暂停、心动过缓、囟门隆起、膨胀的头皮静脉、球状的头型以及快速增长的头围等症状。头围的测量在婴幼儿中评判脑发育情况非常重要:在早产儿中,正常的头围增长速度应约为1cm/周,超过2cm/周的需考虑是否合并有脑积水情况。在足月儿中,头围的增长速度是1-3月为2cm/月,4-6月为1cm/月,7-12月为0.5cm/月。但头围的每日测量变化可能会被测量误差掩盖,但是较长时间如1周的头围变化通常能被识别。早期脑室内出血伴发脑室扩大不一定都发展形成脑积水,有部分患儿能自行缓解,因此动态的观察和监测非常重要。头颅B超是监测的优首选方法,一般I-II级的每周检查1次,III-IV级的每周2次,测量侧脑室和三脑室宽度,如有进行性增大,则考虑并发脑积水。
各年龄段儿童脑积水的症状和体征
![]()
脑室腹腔分流术(VPS)是治疗脑积水的常规方式,但在新生儿中,这项治疗有许多困难之处,新生儿体重轻,头颅体积小,皮肤菲薄,分流装置无专门针对儿童的型号,相对偏大,埋于皮下易引起皮肤穿透坏死,同时早产儿基础抵抗力差,术后容易感染导致分流失败,再则其原因大都数是III-IV级的出血,脑室内大量的凝血块和蛋白易引起术后分流管堵塞。因此大多数中心都将分流术的指征设定为体重大于2500g,蛋白含量低于1.5g,以减少可能出现的分流管并发症[8]。因此,在过渡期产生了多种临时方案来缓解进行增大的脑室,如间断的腰椎穿刺,脑室储液囊植入后穿刺,脑室-帽状腱膜下引流,应用降低脑脊液生成的药物,行三脑室底造瘘(endoscopic third ventriculostomy, ETV)等方法(表4)。众多研究表明,应用药物、脑室内注射纤溶药物,三脑室造瘘等在新生儿效果不佳且增加感染、出血等风险[9],目前临床上已不常用,较多应用的是脑室储液囊植入伴间断穿刺,这一方法在新生儿脑脊液性状未达到要求或极低体重儿以及合并感染的情况下经常使用。本病例1在观察治疗2周期间采用间断腰穿的方法,2周后发现头围增大2.5cm,较正常增长快,提示效果不佳,仍伴有脑积水情况,考虑其蛋白含量低,体重已增长至1840g,遂采取VPS手术治疗。病例2在观察的2周期间未进行干预,头围变化不大,但B超提示脑室有进行性扩大情况,考虑颅内压力高,皮质受压明显,选择积极治疗,遂予行分流术。随访达到预期效果。中脑导水管狭窄是ETV的适应症,但在6个月婴儿内通常不建议进行,据报道在新生儿中ETV的成功率仅28%[12]
新生儿脑室内出血后脑积水的治疗措施
![]()
Endoscopic Third Ventriculostomy(ETV) Success Score
![]()
VP分流后因分流管需伴随一生,可出现较多的分流管并发症,常见的有分流管梗阻、移位、感染、过度引流等,在新生儿中,还需考虑局部皮肤坏死,装置外露,随生长发育可能出现的分流管断裂,脑室端、腹腔端脱离滑出需更换等情况。脑室腹腔分流的脑室穿刺常用的有额角穿刺和枕角穿刺(图3),额角穿刺通常可以避开脑室内脉络丛而降低堵管的概率,但在新生儿,随着头围的增大,会增加阀门与脑室穿刺点的距离,导致脑室端从脑室内滑出的情况,选择枕角穿刺则阀门位置相对固定,分流管不易滑出。另外,分流管的压力调节也需要根据不同年龄阶段进行调节。通常新生儿及婴儿的压力需调在正常水平上限,以保持一定的压力促进头围的增长和颅腔的发育,过低的压力会导致颅缝的提前闭合,从而导致脑发育引起的脑室狭小合并颅内高压等棘手的问题。本病例的我们选择枕角穿刺,虽然有脉络丛堵管的风险,但优先考虑随着患儿生长头围变化导致的分流管位置的影响,压力术后调节在1.5档,则是担心极度扩张的脑室在压力过低后导致皮层的塌陷,颅缝提前闭合引起的小头畸形,在正常偏高的档位,随访观察见脑发育形态和颅腔容积基本达到正常水平。
![]()
图5.脑室腹腔分流术脑室穿刺常用方法
总之,随着二胎的开放,新生儿救治水平的提高,新生儿颅内出血、脑积水的发病率有上升趋势,治疗上应该将如何改善患儿的神经认知功能,提高今后的学习、生活质量放在首位,尽量避免永久性分流管的植入。在新生儿先天性脑积水和出血后脑积水的治疗中,将逐步的将治疗上升至提前预防和病因治疗,比如早期的进行脑室灌洗 (Ventricular lavage)以减少出血后产物对脑组织的影响,而避免脑积水的发生,但此项技术仍处于实验研究阶段[10]。而针对那些脑积水已不可逆转的患儿,我们中心逐步放开了对体重的限制,开展对只有1500g的极低体重儿行脑室腹腔分流术治疗,但需要长期的随访来评价其安全性,同时也希望各医疗器械生产厂家能够配套研发生长适合婴幼儿的装置,来推进小儿神经外科的发展。
参考文献
1. Kahle KT, Kulkarni AV, Limbrick DD, Jr., Warf BC. Hydrocephalus in children. Lancet. 2016;387(10020):788-99.
2. Simon TD, Riva-Cambrin J, Srivastava R, Bratton SL, Dean JM, Kestle JR. Hospital care for children with hydrocephalus in the United States: utilization, charges, comorbidities, and deaths. J Neurosurg Pediatr. 2008;1(2):131-7.
3. Mokri B. The Monro-Kellie hypothesis: applications in CSF volume depletion. Neurology. 2001;56(12):1746-8.
4. Fenton TR. A new growth chart for preterm babies: Babson and Benda's chart updated with recent data and a new format. BMC Pediatr. 2003;3:13.
5. Stoll BJ, Hansen NI, Bell EF, Shankaran S, Laptook AR, Walsh MC, et al. Neonatal outcomes of extremely preterm infants from the NICHD Neonatal Research Network. Pediatrics. 2010;126(3):443-56.
6. Papile LA, Burstein J, Burstein R, Koffler H. Incidence and evolution of subependymal and intraventricular hemorrhage: a study of infants with birth weights less than 1,500 gm. J Pediatr. 1978;92(4):529-34.
7. Chow LC, Soliman A, Zandian M, Danielpour M, Krueger RC, Jr. Accumulation of transforming growth factor-beta2 and nitrated chondroitin sulfate proteoglycans in cerebrospinal fluid correlates with poor neurologic outcome in preterm hydrocephalus. Biol Neonate. 2005;88(1):1-11.
8. Taylor AG, Peter JC. Advantages of delayed VP shunting in post-haemorrhagic hydrocephalus seen in low-birth-weight infants. Childs Nerv Syst. 2001;17(6):328-33.
9. Whitelaw A, Odd DE. Intraventricular streptokinase after intraventricular hemorrhage in newborn infants. Cochrane Database Syst Rev. 2007(4):Cd000498.
10. Whitelaw A, Jary S, Kmita G, Wroblewska J, Musialik-Swietlinska E, Mandera M, et al. Randomized trial of drainage, irrigation and fibrinolytic therapy for premature infants with posthemorrhagic ventricular dilatation: developmental outcome at 2 years. Pediatrics. 2010;125(4):e852-8.
11. Milhorat TH, Hammock MK, Chandra RS. The subarachnoid space in congenital obstructive hydrocephalus. 2. Microscopic findings. J Neurosurg. 1971;35(1):7-15.
12. Kulkarni AV, Drake JM, Mallucci CL, et al. Endoscopic third ventriculostomy in the treatment of childhood hydrocephalus. J Pediatr. 2009;155(2):254-259, e1.
(本文由浙二神外周刊原创,浙江大学医学院附属儿童医院神经外科翁建彬主治医师整理,沈志鹏主任审校;浙二神经外科张建民主任终审)




