功能性大脑半球切开术对由后天性病变或先天性皮质发育畸形引发的癫痫控制效果良好,术后无癫痫发作比例达60%-90%,约10%-15%患者症状改善显著。癫痫发作的预后在不同病因和手术类型之间差异较大。
——摘自文章章节
【Ref: Kim JS, et al. J Epilepsy Res. 2018 Jun 30;8(1):1-5. doi: 10.14581/jer.18001. eCollection 2018 Jun.】
研究背景
大脑半球切除术(hemispherectomy)和大脑半球切开术(hemispherotomy)是公认的、用于治疗由严重的单侧大脑半球病变引起的顽固性癫痫的手术方法。大脑半球切除术或切开术的目的在于从功能上隔离或切除致痫区。1928年,Dandy首次采用解剖性大脑半球切除术治疗脑胶质瘤,1938年报道将手术用于治疗难治性癫痫。1966年Oppenheimer和Griffith指出,解剖性大脑半球切除术后的并发症发生率高,如阻塞性脑积水、慢性硬膜下积液和大脑皮质表面含铁血黄素沉积等。为避免解剖性大脑半球切除术的严重并发症,有的学者认为要减少切除范围、采取切断更多的神经联络,对该手术进行技术改革;并提出功能性大脑半球切除术和功能性大脑半球切开术的概念。1990年Delalande等确定功能性大脑半球切开术的原则是隔离或切除致痫灶,保留有生机有血供的脑组织,并与对侧健康的大脑在功能上完全断离。韩国延世大学医学院江南区Severance医院神经外科的Ju-seong Kim等综述功能性大脑半球切除术的指征、手术操作及相关预后;文章发表于2018年6月的《J Epilepsy Res》上。
研究方法
功能性大脑半球切除术或切开术的手术指征是由单侧半球病变所致的婴儿偏瘫伴顽固性癫痫。导致婴儿偏瘫型癫痫病因,包括由神经元迁移障碍引起的先天性皮质发育不良、半侧巨脑症、偏侧惊厥-偏瘫-癫痫综合征以及如先天性脑穿通畸形、围产期脑血管意外、斯特奇-韦伯综合征(Sturge-Weber syndrome,SWS)和Rasmussen脑炎等单侧半球病变。切除病侧大脑半球或切断半球间的连接是控制癫痫发作的理想方法,但增高患者的神经功能缺失、运动障碍及精神问题的风险。因此,确定手术方式必须考虑患者的病因、临床症状、发育情况和年龄等因素。
功能性大脑半球切除术或切开术的术前准备,包括收集患儿家族史、个人史;癫痫发作史,如首次发作、发作症状和发作频率等;神经系统检查;神经心理学检查;24小时视频脑电图(EEG);神经影像学,如脑MRI成像、PET、发作期及发作间期SPECT。
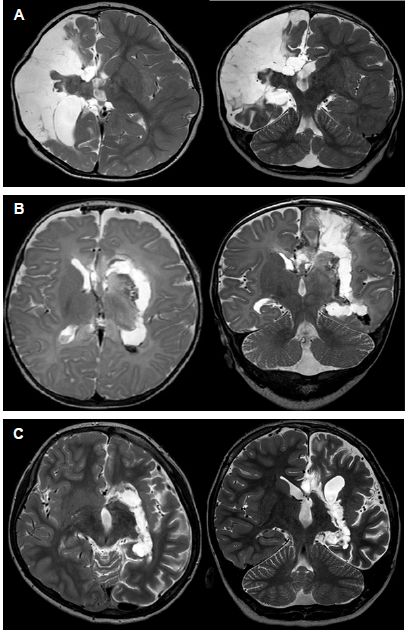
功能性大脑半球切开术的目标是完全隔离病理性半球,控制癫痫发作而且并发症最小。手术的4个要求:离断皮质丘脑束,离断内囊和放射冠传导纤维;切除颞内侧结构;胼胝体全切开;离断眶-额-下丘脑束,切断额叶水平纤维。功能性脑半球切开术的主要入路:经外侧裂岛叶周围入路(图1A)以及胼胝体和侧脑室的垂直入路(图1B、1C)。
![]()
图1. 功能性大脑半球切开术的术后MRI成像。A.岛周功能性半球切开术;B.经皮质、脑室功能性半球切开术;C.经胼胝体、脑室功能性半球切开术。
岛周入路切开术有3个手术步骤:切开上环岛沟(上岛窗)、下环岛沟(下岛窗)和切除岛叶皮质。经上岛窗到达胼胝体,进入侧脑室分离额、顶叶皮质与放射冠白质,包括皮质丘脑束,注意保留动脉和静脉。沿胼周动脉切开胼胝体后,再通过上岛窗在脉络裂至穹隆伞水平向后至海马尾部及向前至基底核前部,离断额叶底部。经下岛窗,在颞上回水平行颞叶切除术,包括钩突、杏仁核和海马。岛叶皮质通过软膜下抽吸或在屏状核水平切开。
矢状窦旁入路切开术是通过额后皮质窗(图1B)或胼胝体(图1C),操作与岛周入路切开术相同。经典的胼胝体切开术通过小骨窗到达侧脑室,经内囊外侧至丘脑部、侧脑室三角区和颞角,进行额、顶皮质和放射冠切开,然后行颞叶切除术。
研究结果
功能性大脑半球切开术对由后天性病变或先天性皮质发育畸形引发的癫痫控制效果良好,术后无癫痫发作比例达60%-90%,约10%-15%患者症状改善显著。癫痫发作的预后在不同病因和手术类型之间差异较大。Rasmussen脑炎、围产期卒中所致继发脑穿通畸形、SWS征的预后比皮质畸形患儿好,这可能与对侧半球受累程度相关。术前脑电图提示双侧大脑半球独立放电,则预后不良。相反,对侧半球的背景电活动正常或双侧半球同步放电,可能与良好预后有关。术前MRI显示对侧半球异常或伴广泛的岛叶和皮质下灰质异位提示预后较差。大多数患者术后认知功能得到改善。认知改善程度取决于病因、术后癫痫有无发作、术前癫痫持续时间和对侧半球功能障碍等。手术前癫痫持续时间越长,预后越差,尤其是在语言沟通能力方面越差。与后天性病变相比,伴先天发育因素的儿童术后癫痫无发作与语言表达能力呈正相关。凝血功能障碍、无菌性脑膜炎、感染、脑梗死、脑积水和脑表层含铁血红素沉积是术后出现的早期或迟发并发症。最常见的并发症是脑积水,占10%-50%,需行脑室-腹腔或硬膜下-腹腔分流术。所有手术患者均有偏盲。约10%的病例由于癫痫持续发作和MRI检查显示不完全切开而需再次手术。围手术期死亡率在1%以上。婴幼儿术后的死亡率较高,需要慎重。
结论
总之,功能性大脑半球切开术是单侧半球病变继发难治性癫痫的有效治疗方式,在控制癫痫发作和改善生活质量方面效果显著。对于神经外科医生来说,应结合患者本身特征选择合适的手术方式。






