英国利物浦NHS基金会医院Walton中心神经外科的Mitchell T. Foster等报道1例继发于Rasmussen脑炎的难治性癫痫患儿,采取解剖性全切除病变侧大脑半球术,取得较好疗效。文章发表在2019年1月的《British Journal of Neurosurgery》在线上。
——摘自文章章节
【Ref: Foster MT, et al. Br J Neurosurg. 2019 Jan 17:1-3. doi: 10.1080/02688697.2018.1549316. [Epub ahead of print]】
研究背景
Rasmussen脑炎是一种罕见的免疫性疾病,多见于儿童,病理学主要特征是一侧大脑半球萎缩并发顽固性癫痫;不能依靠药物控制,可考虑行大脑半球切除术。英国利物浦NHS基金会医院Walton中心神经外科的Mitchell T. Foster等报道1例继发于Rasmussen脑炎的难治性癫痫患儿,采取解剖性全切除病变侧大脑半球术,取得较好疗效。文章发表在2019年1月的《British Journal of Neurosurgery》在线上。
研究结果
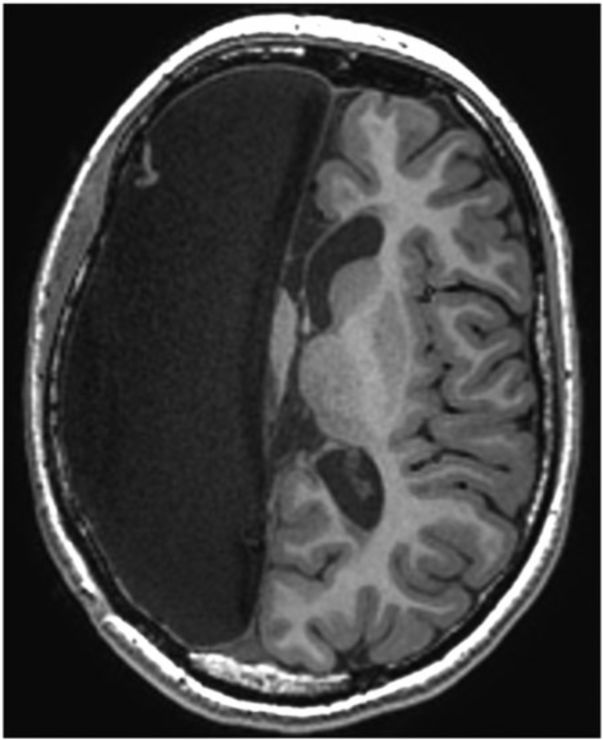
患者女性,五岁半时出现左侧局灶性癫痫发作。药物治疗一年,继发左侧轻偏瘫;颅脑MRI成像显示,右侧大脑半球缺失,诊断为Rasmussen脑炎(图1)。20个月后,七岁时发展为重度偏瘫和癫痫持续状态,药物治疗无效果。患儿语言功能好,学业达同龄人水平。给予施行右侧大脑半球全切除术。术后无并发症,恢复良好,癫痫发作缓解。
![]()
图1. 术前MRI扫描显示,右侧大脑半球缺失,残留右侧下丘脑、萎缩的右侧大脑脚和右侧脑干。左侧大脑半球结构正常。
术后随访11年时,已无癫痫发作,能独立行走,左下肢轻度痉挛,足趾活动少,靠膝关节带动足走路;左上臂痉挛性瘫痪,伴同向偏盲。智力正常,正申请高等教育。MRI检查发现,右侧大脑半球缺失。fMRI检查显示,在左侧大脑半球中央前回的左足部运动功能区同右足运动区重叠(图 2),说明健侧半球运动皮质功能重组。
![]()
图2. 两侧下肢运动时的fMRI表现。a.右足活动时,显示左侧半球运动皮质内侧部分激活。b.左下肢膝关节运动时,也显示左侧半球运动皮质内侧部分激活,表明左、右两侧半球皮质运动功能区融合重建。
结论
该病案报道支持现有文献报告中提出的病侧运动皮质功能移位至健侧的可能性。但不足之处是,术前没有进行功能性MRI成像以判断是否已经发生健侧半球皮质运动功能的重塑。






