27例(29%)SIBD患者颅脑MRI扫描无异常发现,51例(54.9%)显示脑组织病理学损伤,15例(16.1%)脑萎缩。VBM分析显示,岛叶、扣带皮层、额叶、楔前叶和丘脑神经元丢失。MRI检查结果异常的患者APACHE Ⅱ、SOFA、GOSE评分较差,谵妄发生率和死亡率高。
——摘自文章章节
【Ref: Orhun G, et al. Neurocrit Care. 2019 Feb;30(1):106-117. doi: 10.1007/s12028-018-0581-1.】
研究背景
重症监护病房(ICU)常有脓毒症诱发病理性神经炎症致使脑功能障碍(sepsis-induced brain dysfunction,SIBD)的患者,有较高的病残率和死亡率。但是SIBD相关的生化指标和影像学特征尚不明确。土耳其伊斯坦布尔大学医学院麻醉学和重症监护室的Günseli Orhun等分析SIBD患者的神经影像学表现以及神经炎症和神经变性因子之间的相关性,发现神经元损失主要发生在大脑边缘系统和内脏疼痛感知区域;通过检测补体分解产物和p-tau能够预测SIBD的预后,结果发表在2019年2月的《Neurocritical Care》上。
研究方法
该前瞻性观察性研究纳入93例SIBD患者,其中45例男性,48例女性;平均年龄50.6±12.7岁。患者均接受神经系统检查和颅脑MRI扫描。使用疾病严重程度评分系统(APACHE Ⅱ、SOFA和SAPS Ⅱ)和神经学科预后评分系统(GOSE)评估病情。通过酶联免疫吸附测定法(enzyme-linked immuno sorbent assay,ELISA)检测血清炎症介质的水平,包括IL-1β、IL-6、IL-8、IL-10、IL-12、IL-17、IFN-γ、TNF-α、补体因子Bb、C4d、C5a、iC3b、淀粉样蛋白-β肽、总tau、磷酸化tau(p-tau)、S100b和神经元特异性烯醇化酶。依据体素形态测定法(VBM)评估SIBD中的神经元丢失状况。
研究结果
结果发现,27例(29%)SIBD患者颅脑MRI扫描无异常发现,51例(54.9%)显示脑组织病理学损伤,15例(16.1%)脑萎缩(图1)。VBM分析显示,岛叶、扣带皮层、额叶、楔前叶和丘脑神经元丢失(图2)。MRI检查结果异常的患者APACHE Ⅱ、SOFA、GOSE评分较差,谵妄发生率和死亡率高。MRI发生病变与C5a和iC3b水平降低相关,脑萎缩与p-tau水平升高有关。
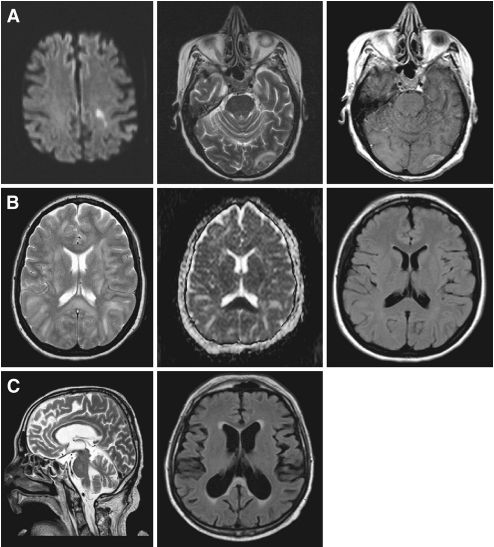
![]()
图1. SIBD患者典型的MRI表现。A.谵妄性脓毒性休克患者的急性缺血表现;在脓毒性休克发作后第6天进行MRI检查,DWI、T2和T1加权增强图像显示大脑左半球深部和皮质分水区的急性缺血引起的弥散受限和高信号。B.26岁的脓毒性休克患者出现可逆性白质脑病综合征(PRES),有局灶性神经系统体征;MRI-T2加权和ADC成像显示,与PRES一致的脑深部白质和胼胝体中的高信号和弥散受限。C.58岁男性患有严重急性呼吸窘迫综合征,MRI 轴向FLAIR和矢状T2加权图像显示,轻度脑萎缩和脑室扩大。
![]()
图2. 依据体素的形态测量分析的代表性图像,与健康对照受试者相比,患者的灰质组织显著减少。A.与“xjview”灰质体积减少相关的区域标记。b.颜色图显示从红色(p=0.5)到白色(p=0)的体素范围t值。t值阈值为5.87(p-uncorrected=0.000)。
结论
作者认为,病情较重的SIBD患者颅脑MRI检查表现为脑组织的病理学改变和脑萎缩;神经元损失主要发生在SIBD患者的边缘系统和内脏疼痛感知区域,如岛叶和扣带回等。补体分解产物C5a、iC3b和p-tau可作为SIBD的神经影像学可能出现异常的标志物。





