

两年前的黄浦江溿,由海军军医大学附属上海长海医院牵头协办的"WLNC2016"直播来自美国、土耳其、阿根廷、日本、上海及北京等各大神介中心的手术实况,精彩仿佛就在昨天!

如今,WLNC2018移师日本神户,精彩拉开帷幕,话不多说大家来看干货。

上午主要讨论了两个热点


来自美国芝加哥的kiffon教授介绍了美国卒中救治体系,对建立区域性救治体系的障碍做了分析,进一步解释了卒中中心的认证标准。
AHA/ASA早在2005年就介绍了卒中救治体系,包括卒中中心标准、远程医疗的使用、药物及血管内外手术的干预、院前急救、分诊和转运、康复治疗等方面问题 。
目前,美国卒中体系中仍存在一些问题,诸如,偏远地区的病人急救不及时、卒中中心水平差异较大、不同卒中中心缺乏国家统一调控、部分地区缺乏神经介入专科医师、拨打911和急救服务的宣教缺乏等。此外,参会的专家对上述问题进行了讨论,并介绍了各自国家的卒中体系建设的经验。

来自荷兰的ZWAN教授总结了目前取栓治疗的进展和仍然存在的问题。
最近关于长期随访、成本效益等方面的多个研究均表明取栓治疗能够大大改善患者预后,并大大降低医疗成本;从病人选择和技术选择两个角度提出目前取栓治疗中存在的问题,病人选择方面争议主要集中在超过6小时时间窗的患者、低Aspect和NIHSS评分的患者、既往MRS大于2分、M2-3段血栓的患者是否适合血管内治疗;技术选择方面争议主要集中于是否需要在血管内治疗前静脉溶栓、麻醉选择、阿司匹林的使用、球囊导引导管的使用;最后他总结根据目前文献和经验,有明确证据的有大于6小时但核心梗死区较小的患者,既往MRS大于2分的患者适合取栓治疗,阿斯匹林可以作为术后药物使用,球囊Guiding在治疗上具有明显优势;其他的争议问题还需要进一步的研究论证。
然后就是大家拭目以待的手术直播环节,首先登场的是来自土耳其伊斯坦布尔手术团队。
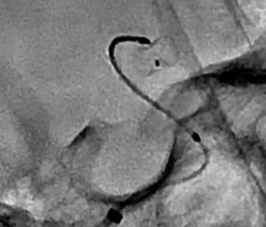
CASE 1 DAVF





-动脉入路栓塞:颈内动脉脑膜垂体干;大脑后动脉的硬膜供血分支
-可解脱的Apollo微导管(3cm,1.5cm)
-栓塞材料是PHIL,CT伪影小
-DAVF含有软膜血管的供血,有医生提出可能需先栓塞,但多数专家包括Wakhloo,Civan等认为这些供血最终还是供应到硬膜上的,也就是说软膜血管没有直接瘘到静脉,它们之间还有硬模膜上的动脉,软膜血管只是近端的供血动脉,他们认为不栓塞软膜供血动脉而通过硬模膜供血完全闭塞静脉端应该可行
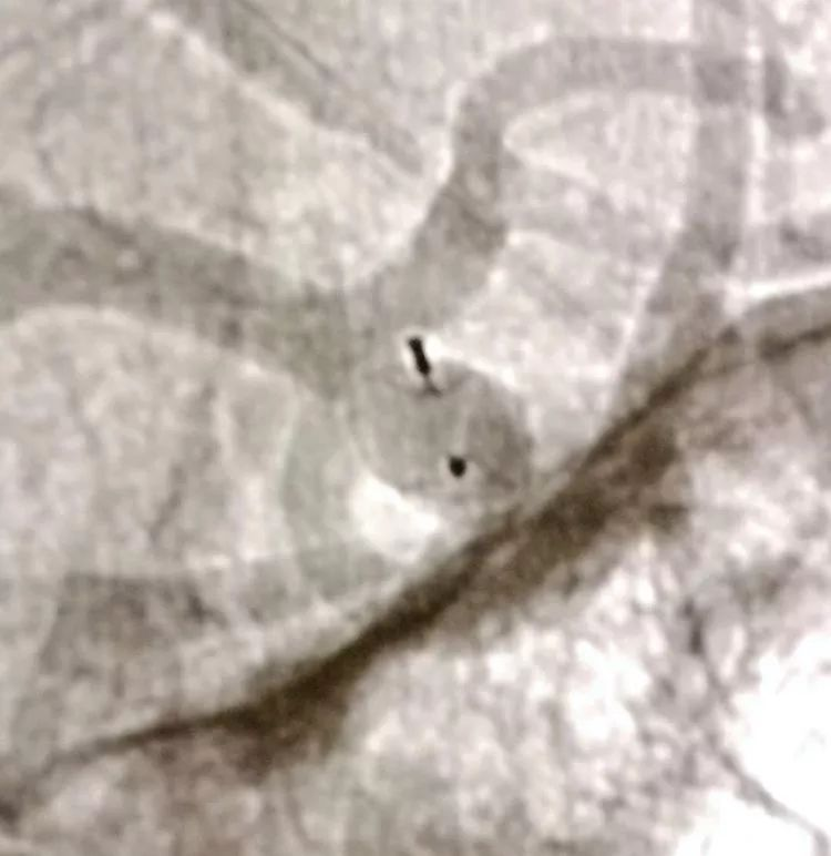
CASE 2 AN



-责任动脉直径约2mm,使用新型血流导向装置FRED Jr. 实现血流重构
-FRED Jr. 为双层支架,远端无导丝
CASE 3 AN


-左侧大脑中动脉大型动脉瘤,上干累及,较为细小
-采用Pipeline shield,4毫米直径的具有磷脂涂层FD,动脉瘤区域稍外膨,支架网丝密度更大可能有利于愈合
-重点是血流导向重构治疗动脉瘤和保留上干
CASE 4 AN



-也是FD治疗,FRED Jr.血流重构
-采用最短的Fred jr,工作段在动脉瘤所在的细小分支,Jr近端无效工作段覆盖了较大分支
CASE 5 AN




-WEB是治疗分叉部动脉瘤的新武器
-WEB治疗复发的原因分析:一种解释是压缩造成的,wakhloo认为另外一个可能的原因是血栓的机化,机化的血栓可能牵拉WEB造成复发
CASE 6 AN


-又是FD ...不评论了
CASE 7 AN



- 对不起,还是FD...趋势啊
-一个下午6台动脉瘤,一个COIL都没有用,血流重构的重要性不言而喻


今天的直播到此结束,明天继续!
神户牛🐮,我们来了!
作者:洪波
执笔:戴冬伟、赵开军、张琪、Zhora







