![]()
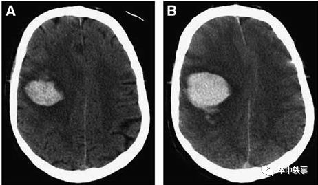
脑出血(上图)一般指脑小血管破裂,血液进入脑实质,形成 “外军入侵” 的占位性效应。严重时脑组织受压,脑室闭塞,中线结构移位。脑出血造成原发性脑损伤,占位效应加上血液 “毒性”,导致继发性脑损伤。
原发和继发性脑损伤造成脑出血后的脑水肿和高颅压,而脑水肿和高颅压是脑出血致死致残的主要病因。
历史上大概从认识到脑出血这种病理状态起,人们就开始探讨如何清除血肿,降低占位效应。
开颅手术清除脑血肿虽然可能减少占位效应和血液毒性,但是开颅手术同时会带来第二次脑损伤,对老年和病情严重的病人更是雪上加霜,“出师未捷身先死”,时常得不偿失。
在颅骨上钻个小孔的微创手术,理论上应该是理想的脑血肿清除方法,“垂死成功亦未晚,安知无人叹微管“,可以减少开颅手术造成的脑损伤。
难题是脑出血晩期血肿液化,钻孔用穿刺针抽吸血液容易,可惜对临床改善不大。脑出血早期清除血肿有益,但是早期时血液凝固,抽吸坚难。
所以在1975年之前临床上仍然以开颅手术清除血肿为主。
![]()
“欲破曹兵,宜用火攻,万事俱备,只欠东风”。
脑出血微创手术清除脑血肿,宜早不宜晚,急需东风。
1970年后因为 CT 和立体定位技术已经进入临床实践,因此,微创手术清除脑血肿的 “东风” 是如何把凝胶样的血块,咫尺天涯,一寸一个世界,如同从瓶中用针吸取出稀饭一样,吸取出来。
三国演义中的借东风是吴蜀抗曹,时值隆冬,独缺东风,难将火势引向曹营。诸葛亮料定甲子日东风必降,在南屏山搭筑坛台,登台作法,“借得” 东风(上图)。
“七星坛上卧龙登,一夜东风江水腾。不是孔明施妙计,周郎安得逞才能”?
![]()
第一个 “借到东风” 发明使用立体定位 “螺旋泵” 微创清除脑血肿的是瑞典 “卡罗林斯卡 - Karolinska” 医院神外医生 Erik-Olof Backlund(上图左)和 Hans von Holst(上图右),他们1978年在 Surgical Neurology 发文,“立体定位部分清除脑血肿 - Controlled Subtotal Evacuation of Intracerebral Haematomas by Stereotactic Technique”,开创了历史的先河。
在文中 Backlund 和 Holst 展示了一种立体定向清除脑血肿的新仪器,称为 “螺旋泵/刀 - 吸引技术 - Combined Screw-and-Suction Technique”,可以切碎吸出已经凝固的血块。
Backlund 和 Holst 仪器的概念来自古希腊科学家 “阿基米德 - Archimedes of Syracuse(公元前287年)” 的 “阿基米德螺旋泵 - Archimedes Screw”。阿基米德是数学家,物理学家,工程师,发明家和天文学家,他发明的螺旋泵(下图)很像中国的水车,可以把水从低处推动到高处。
于是 Backlund 和 Holst 设计了一个20厘米长的螺旋泵,像是现在用的钻头刀,外面是直径4毫米密封的金属套,上端有孔,连接着一根抽吸管。虽然外套是密封的,里面的螺旋泵-钻头刀是可以转动的,所以可以在抽吸压力下推动液体和固体螺旋上升。
![]()
用立体定位仪把螺旋泵头插入到脑血肿中心,在螺旋泵上端吸压,然后转动螺旋泵,脑血肿被 “削碎 - Piece-Meal” 螺旋上升吸出。同时血肿向中央的螺旋泵塌陷,更多血块进入螺旋泵,吸出后流入一个玻璃瓶来计算容量。
第一例病人是个55岁的工程师,高血压,1974年9月突发半昏迷,左侧偏瘫,CT 显示100多毫升血肿。一周后病情加重,实施上述的脑血肿清除术,吸出70毫升部分凝固的血块,病人迅速好转,手术10个月后重返工作岗位。
随访 CT 显示脑组织部分复原,无脑室扩大。
在 CT 和立体定位仪的基础上,螺旋泵解决了凝固血肿的吸出难题,借到了东风,可以用于脑出血后早期清除血肿,微创手术清除早期脑血肿成功了。
“我料定了甲子日东风必降,南屏山设坛台足踏魁罡”。
![]()
Backlund 和 Holst 认为部分清除脑血肿即解决占位的危害又防止诱发再出血,有效又安全。不知道为什么他们4年后才发表了这个病例报告。
这篇文章像是一颗炸弹,震撼了全世界的神经外科。
两年后,1980年美国北卡州杜克大学神外医生 Alfred Higgins 和 Blaine Nashold 改良了 Backlund 和 Holst 的发明,他们在 Neurosurgery 报道了改进后的螺旋泵(上图)。
在螺旋泵外套上加了一根细管,与螺旋泵并行相通,使抽吸压力可以直接下达到泵头,既可以输入液体冲洗防止堵塞,同时可以测压和造影,又可以检查血肿清除的效果。
1982年 Alfred Higgins 和 Blaine Nashold 再次改良了螺旋泵,使其对固体血块吸取效果更好。
Alfred Higgins 和 Blaine Nashold 的改良进一步提高了脑出血后早期清除血肿的能力。
神外医生的初心本质是工匠,用手和仪器恢复或重建病人的颅脑。因此,他们热爱发明创造来改变工具和环境,这种工匠精神保持至今。
![]()
1982年西班牙 Valencia 的三位神外医生使用 Backlund 和 Holst 设计的仪器,在 Applied Neurophysiology 报道了16例病人脑血肿的清除结果(上图)。
其中一例失败,二例效果不好,十三例几乎彻底清除了血肿,解除了占位效应。
但是病人死亡率高达81%(二例术后好转后因肺炎而死,二例术后好转后因再出血死亡),死亡率与入院时意识障碍有关,与开颅手术清除脑血肿死亡率83%类似。
任何发明创造一开始都是三种临床结果,一是改善,二是无效,三是恶化,Backlund 和 Holst 的新仪器也是如此。
虽然削碎血块创意称佳,然而螺旋泵的理念尚未普及就被另一种思路 - 溶解血块取代了。
“堪叹万般皆有定,算来由命不由人”。
![]()
除了欧美神外医生之外,日本神外医生对脑血肿微创手术做出重大贡献。可惜多数文章发表在日语杂志上,不易评论。
日本学者对微创手术清除脑血肿的最大贡献是另辟新径,没有使用螺旋泵,而是用尿激酶溶解血块,更安全更有效。
首先在脑出血病人使用尿激酶来帮助清除血肿的文章:Doi E, Moriwaki H, Komai N: Stereotaxic Operation for Hypertensive Intracerebral Hemorrhage - Especially for Thalamic Hemorrahge. Neurol Med Chir 20 (supplemental): 124-125, 1980。
1984年日本德岛大学神外医生 Keizo Matsumoto 和 Hideki Hondo 在 Journal of Neurosurgery(此文1983年先发表在日本神外杂志 - No Shinkei Geka)报道了微创手术清除脑血肿,他们将内径2.1毫米的硅胶管插入血肿,然后直接用针管抽吸(上图)。
51例脑出血病人,平均抽出29-46毫升血块。血肿清除术后再灌入6000单位的尿激酶,夹闭6-12小时,然后再吸出残余血肿。
![]()
这项研究发现用硅胶软管在急性,亚急性和慢性脑血肿病人抽吸出的陈旧血液量为35.7%,43.3%和50.8%,以慢性血肿效果为好。灌入尿激酶后再抽吸,基本上可以完全清除 CT 影像上的血肿。
与94例开颅清除血肿手术病人相比,Matsumoto 和 Hondo 微创清除血肿手术似乎有减少死亡率和致残率的趋势(样本量太小,上图)。
有人报道在脑出血40-60天后再清除血肿没有导致明显的临床改善,因此,Matsumoto 和 Hondo 提议在脑出血28天后应该 “早点” 清除血肿。
如果说发明螺旋泵是 “借东风”,使用尿激酶则如同 “草船借箭”,借尿激酶之箭,最终射下微创手术清除脑血肿这个靶,一举改变了脑血肿的治疗历史。
日本学者溶解血块后抽吸微创手术思想主导了随后的国际临床试验研究。
![]()
中国神外医生微创手术清除脑血肿的临床实践在80年代已经站在了与先进世界的同一条起跑线上。
第一篇中文报道大概是由中国医大一附院神经外科郎国林,陈久荣(上图)和沈阳第一人民医院神经科韩世福和曹国详1986年在《中华神经外科杂志》发表的,题目是 CT 定位脑内血肿的锥孔抽血治疗。
从1984-1985年用尿激酶溶解抽取急性到慢性脑血肿20例。其中18例好转,出院时13例可以行走,1例无效,1例合并出血。
大概是使用针吸,早期血液凝固不易抽出,作者推荐脑出血一周后穿剌抽吸血块。
这篇文章的参考文献全部是日本杂志,估计作者曾进修于日本。
1988年赵兰海在《中风与神经疾病杂志》报道了CT 定位钻孔血肿抽吸尿激酶注入治疗脑出血的初步观察。
1989年三位护士李秀兰,姜美新和文经伦在《吉林医学》报道了24例血肿内注射尿激酶并引流治疗高血压脑出血的护理,不知道吉林的医生为什么没有写文章。
可以说中国学者早期主要是参考了日本的经验,跟进在 “尿激酶之路” 上。
![]()
但是与日本学者相比,中国学者更为病人所急,把手术时间大幅度提前了,强调早期清除血肿,与现在脑出血的手术理念一致。
1990年第四军医大学神经内科和急诊科的郝登荣和粟秀初在《中国神经精神疾病杂志》报道了3例经皮枕骨钻孔穿刺抽吸治疗自发性小脑出血性血肿(上图),都是急性期手术。
第一个病人第六天用脑血管造影穿刺针抽出血块12毫升,打入尿激酶6000单位,6小时后又抽出40毫升血块。术后头痛减轻,3个月后恢复。第二例四天时抽出8毫升血块,打入尿激酶6000单位,6小时后又抽出12毫升血块,三个月后恢复。第三例四天时抽出19毫升,两次尿激酶后又抽出14毫升。术后八天因肺炎死亡。
作者认为微创手术加尿激酶简单安全,推荐使用。
![]()
同年齐齐哈尔医学院附属二院神经科徐景林,王文举,周杰信和赵俭在院学报上发表了用14号脑穿针钻颅血肿抽吸疗法与药物疗法各30例比较(上图)。
都是急性期手术,初次抽取后注入一万单位尿激酶,然后再抽取血肿。手术组好转率86%,药物组60%,死亡率手术组13%,药物组40%,皆有显著区别。
作者认为微创手术加尿激酶创伤小,简单,安全,有效,积极推荐。
兵来将挡,水来土掩。清除血肿,复原空间。
“叹只叹东风起火烧战船,曹营的兵将无处躲藏。
这也是大数到难逃罗网,我诸葛在坛台祝告上苍”。
![]()
中国脑出血微创手术治疗的早期英语文章大概是中国海军总医院神外医生刘宗惠(上图),田增民,康桂泉,李士月,陈小菡,崔月汉和蔡厚珍七人1991年在 “中华医学杂志 - Chinese Medical Journal” 发表的,描述了从1986-1989年38例 CT 指导下的立体定位脑血肿微创清除手术。
其中18例在脑出血24小时内做了微创血肿清除手术,14例2-3天手术,6例在脑出血4-7天手术。
同年刘宗惠等人又在 《中华外科杂志》再次用中文描述了 “CT 指导下的高血压脑出血立体定位血肿微创清除术 - CT-guided Stereotaxic Evacuation of Hypertensive Intracerebral Hematomas”(29: 443-445)。
文章例举了50例病人,使用穿刺针或 Bucklund 螺旋泵/排空器。9例血肿液化,完全抽出,28例血肿凝固,80%被破碎抽出,13例破碎抽出60-80%的血块。
其中预后良好的14例(28%),轻度神经功能障碍的16例(32%),重残的15例(30%),5例死亡(10%)。
“似这等巧机关世间少有,学轩辕造指南大破蚩尤”。
![]()
除了 CT,术中 MRI 也被用来指导血肿清除术。
美国密西西比州立大学神经外科的 Donny Tyler 和 George Mandybur(上图左1,左3是我,2000年在西安)1999年在 Stereotactic Functional Neurosurgery 报道了10例 “术中 MRI 指导下的急性/亚急性脑血肿立体定位手术 - Interventional MRI-guided Stereotactic Aspiration of Acute/Subacute Intracerebral Hematoma”。
使用 “术中 MRI - Intraoperative MRI Scanner”,脑出血1-34天,手术时间控制在2小时之内,平均血肿31毫升,平均血肿清除率为70-90%。其中2例使用了阿替普酶,血肿清除率略升为80-90%。
4例(其中3例为脑室出血)病人需要术后脑室引流。所有病人都无并发症和再出血,不需要永久性脑室分流手术。
所有病人都出现不同程度的改善,包括血压控制,语言和认知功能。
作者认为术中 MRI 指导下的急性/亚急性脑血肿立体定位手术安全有效。
我在1997-2002年是密西西比州立大学神经外科的科研副主任,同时每周与 Mandybur 一起做深部脑刺激功能神经外科手术。Tyler 是住院医,在我实验室里工作过。
![]()
微创脑血肿清除术也从临床研究逆向转化到基础研究。
在 Backlund 和 Holst 创意螺旋泵微创手术二十年之后,1996-1999年美国的实验脑出血研究专家 Kennith Wagner 团队在 Stroke 和 Journal of Neurosurgery 报道阿替普酶溶解及抽吸清除猪脑出血模型脑血肿,降低了颅内压和脑水肿。
1998年加拿大的病理医生,脑出血研究专家 Marc Del Bigio 团队在 Stroke 报道了在大鼠胶原酶脑出血模型上超早期血肿清除的长期影响:“大鼠脑出血,抽吸血肿的疗效 - Intracerebral Hemorrhage in the Rat, Effects of Hematoma Aspiration”(上图)。
其中一组脑出血4小时后向血肿区打入链激酶,然后1小时后再用注射器抽吸出血肿平均20-100微升。大鼠观察28天,检测行为和组织学。
![]()
神经功能检查发现在28天内清除血肿对大鼠几乎无帮助,只是在第1-2和第28天时比不清除血肿组有轻微改善(上图)。
组织学检查发现抽吸血肿组脑室扩大和脑萎缩显著减少,但是对脑水肿无益。
作者认为脑出血的原发脑损伤是无法挽救的。脑血肿占位性影响可能减少血肿周围的脑血流,出现类似脑缺血时的半暗带,所以抽出血肿减压,保护了血肿周围的脑细胞。
至此,动物模型对脑血肿微创手术的帮助不大。
![]()
回顾历史,古希腊的西医之父 “希波克拉底 - Hippocrates” (460-370BC,见希波克拉底一章)对 “卒中 - Apoplexy” 的最初描述主要来自脑出血病人:病人像是被闪电打倒,几天内死去。
古罗马的 Claudius Galen(129-200,见 Galen 一章)认为卒中是因为脑室中有痰或黑胆汁,阻滞了神经传递,而出现肢体瘫痪。
法国的 Jean Fernel (1497-1558,见 Fernel 一章,上图) 在尸检时按照希波克拉底和 Galen 的理论仔细探索,发现卒中病人脑室中并没有痰或黑胆汁,脑室内却有血块。
Fernel 在1544年发表的 “医学全书 - Universa Medicina” 中描述了这一发现。但是 Fernel 过度相信希波克拉底和 Galen 的错误理论,没有着重强调脑出血的意义,所以错过了首次报道卒中是脑出血的千载之机。
![]()
因此,历史上第一个把卒中定性为脑出血和脑血管病,是瑞士的 Johann Jacob Wepfer(1620-1695,见 Wepfer 一章,上图)。
1658年 Wepfer 在 “卒中病人的尸检观察 - Observationes Anatomicae ex Cadaveribus Eorum,Quos Sustulit Apoplexia" 一书中报道了四例在尸检中发现卒中病人脑室中有血块,因此卒中从那时起就成了脑出血的代名词。
苏格兰的 Alexander Monro Secundus(1733-1817,见 Monro 一章)和他的学生 George Kellie(1770-1829,见 Kellie 一章)认识到脑组织和血液是颅内二种固定成份,当其中一种容量增加时,另一种容量必须下降以求新的平衡,否则颅内压将上升。这种关系被称为 Monro-Kellie 法则。
脑出血后血液进入脑实质,占据额外空间,打破平衡,造成颅内压上升。
![]()
英国神外先驱 William Macewen(1848-1924,上图左)1883年在历史上第一次成功的做了脑出血后血肿清除术以降低颅内压。随后多人重复改良了血肿清除术但临床效果仍然不佳,人们逐渐放弃了研究脑出血。
2003年美国脑出血研究大师 Julian Hoff(1936-2007,见 Hoff 一章,上图右)团队在 Neurosurgery Focus 指出在2003年之前已经有了315个脑缺血治疗的临床试验,78个蛛网膜下腔出血治疗的临床试验,而只有8个小样本脑出血治疗的临床试验,其中4个手术清除血肿,4个内科治疗,而且都是阴性结果。
人们对脑出血研究的兴趣可见一斑。
脑出血内科治疗主要是重症监护,癫痫,血压和颅内压管理。
![]()
脑出血外科治疗则进退两难。小血肿病人不需要手术,大血肿昏迷病人手术效果不佳,所以脑血肿手术是针对GCS 6-12而且继续恶化的病人群(上图)。
2003年以前脑血肿清除术的临床试验都是漏洞百出,千窗百孔,无法结论。
理论上神外医生都认为清除血肿可能减少血液毒性,降低脑水肿和缺氧,预防血肿扩大,应该减少死亡率,改善神经功能。所以,美国每年做了7000例血肿清除术,但是临床试验不能证明手术有效。
理论很丰满,现实很骨感。
![]()
外科手术的原则是微创或 “无创 - Atraumatic”,对脑出血病人,无创性淸除血肿尤其重要。
最早开颅手术清除脑血肿的临床试验是英国的 Wylie McKissock, Alan Richardson, Julien Taylor 1961年在 Lancet 上报道的(上图)。当时无 CT,180个病人分两组比较内科和手术效果,六个月后手术组死残率80%,高于内科治疗组的66%。
第二个临床试验发表于30年后的1989年,只有52个病人,无明确结果。同年第三个临床试验收入100个病人,立体定位内窥镜手术比较内科治疗,手术组好转率高,但无统计学差别。
一年后又一个小样本试验,只有17例病人,无明确结论。1990年仍然出现一个小样本研究,127例病人,还是无可靠的结论。
![]()
美国的 Mario Zuccarello(上图)1999年在 Stroke 报道了20例病人,比较了内科治疗,开颅手术和立体定位微创手术三组,脑出血8.5小时内手术。小样本当然没有结果。
同时第七个试验1998年有34个病人,2001年又一个试验有11个病人(被中途叫停),2003年有一个71个病人比较内科和立体定位微创手术加阿替普酶,六个月后死亡致残都无区别。
不知道为什么这些小样本无结论的文章会被接受发表?为了促进更多的临床试验?
“我正在城楼观山景,耳听得城外乱纷纷”。
![]()
光阴似箭,日月如梭。
2019年美国夏威夷迎来了微创手术清除脑血肿的 “最后” 报告。美国的重症医生 Daniel Hanley(上图)在卒中会议上公布了历时多年的 “影像指导下的微创脑血肿清除手术 - MISTIE III” 三期临床试验结果,对脑出血病人的预后并无改善。
MISTIE III(微创手术加阿替普酶清除脑血肿)试验:78个中心,506个幕上脑出血病人,出血量30毫升以上,12-72小时内血肿中心插管然后灌入阿替普酶,微创手术清除血肿,目标是减少血肿在15毫升以下。
250个病人在 MISTIE 组,249个在内科治疗组。虽然手术减少了69%的血肿,但是只有50%多的病人血肿降到15毫升以下。一年后 Rankin(mRS)评分,手术组与内科治疗组 Rankin <3(好转)是45%比41%,无显著区别(下图)。7天死亡率1%比4%,MISTIE 组显著减少。
![]()
但是,如果手术把血肿量降低至15毫升以下时,病人的死亡率下降,功能显著改善(P<0.03)(非原始设计,只供参考)。
手术组非症状性脑出血明显增多,32%比8%。
血肿清除越多,病人情况越好。15毫升残血是阀值?
MISTIE 试验的结论是不推荐使用 MISTIE 微创手术。
至此,开颅手术 STICH 和微创手术 MISTIE 清除脑血肿临床试验全部失败。
“上帝到此止步 - God Ends Here”。
脑出血手术清除血肿的反复失败,像是三国演义的长坂坡:
“寒风透体夜已深,满天星斗起浮云;
英雄至此无限恨,不是愁人也断魂”。
![]()
千年万卷卒中史,三言两语茶后诗。
10年基础和临床试验,包括2013年4月完成的 MISTIE II 试验,导致了 MISTIE III 试验,最终还是失败(上图 Hanley 2019年2月在夏威夷卒中会宣布 MISTIE III 结果)。
Hanley 文章发表在 Lancet 2019: Efficacy and Safety of Minimally Invasive Surgery with Thrombolysis in Intracerebral Hemorrhage Evacuation (MISTIE): a Randomized, Controlled, Open-label, Blinded Endpoint Phase 3 Trial。
历史常有巧合,2013年也是2月,也是卒中会议,也在夏威夷,也是 Hanley 报告了 MISTIE II 的试验结果,结论也是 MISTIE 操作安全,可能有效。
2013年还见证了开颅手术清除血肿 STICH II 的失败(见 STICH 一章,Mendelow et al: Lancet 2013)。
![]()
有意思的是在 MISTIE III 失败消息公布的几个月前,美国神外医生 Christopher Kellner(上图)团队2018年8月在 Stroke 发表了 Meta 分析,从15个临床试验,2152个病人得出结论,微创手术比较内科治疗,开颅手术都更有效果,减少了死亡率和致残率。
历史在发展,技术在完善,理论上微创手术清除脑血肿应该有效,MISTIE III 降低血肿量在15毫升以下时提示有效。
“一霎时白茫茫满江雾露,顷刻间观不出在岸在舟”。
“革命尚未成功,同志仍需努力”。
MISTIE 败了,虽败犹荣。
![]()
从1883年英国神外先驱 William Macewen 历史上第一次成功的做了脑出血后血肿清除术,到1978年瑞典的神外医生 Erik-Olof Backlund 和 Hans von Holst 成功的创立立体定位螺旋泵微创清除脑血肿的手术,到2000年后的 MISTIE 临床试验,历史上了三个台阶,我们仍然坚信清除脑血肿可能会改善病人预后(上图)。
值得一提的是 Erik-Olof Backlund 和 Hans von Holst 发明螺旋泵的文章发表在 Surgical Neurology,十几年来影响因子一直在1左右。日本神外医生 Doi 等人创造性使用尿激酶溶解血块帮助抽吸血肿的文章发表在 Neurol Med Chir 的增刊,没有影响因子。
有谁敢说这两个原创研究不是真正的影响?
随后的清除脑血肿临床试验主要发表在新英格兰医学杂志和 Lancet,试图验证这两个原创,当然结果与大多数临床试验一样是阴晴不定,昨是今非。
宋人苏轼在《书王定国所藏》一诗中提到:“江山清空我尘土,虽有去路寻无缘”。
《三国志.魏志·司马朗传》也提到:“清除羣秽,广举贤士”。
《诗经·北山》云:溥天之下,莫非王土;率土之滨,莫非王臣;大夫不均,我从事独贤。
看来老祖宗告诉我们,清除脑血肿需要有缘分;清除脑血肿才能恢复颅内空间,保命防残;为清除脑血肿我们需要广举贤士,从事独贤。
![]()
重庆医大三附院神经科主任张云东(上图)教授认同脑出血历史的曲折发展观,“脑出血是一个上千年的话题”。
张教授说,近代医学表明,脑出血对生命的主要危害在于占位形成对局部和远隔部位的压迫,以及血液物质对脑组织的继发性毒性损害。
因此,历史上脑出血主要的治疗思想始终围绕这两个方向进行。
张教授指出,医学干预的目标在于用最小附加损害使病人获得最大的收益。所以,当科技进步使得脑出血的微创治疗成为可能时,这一技术迅速应用于世界各地,成为当仁不让的首选。
微创手术,即清除血肿占位,又减少血液毒性,一箭双雕。
“能将一箭落双雕,万里胡尘当日销”。
但是,反复个例验证的微创手术在正规进行脑出血临床试验 MISTIE 后却 “失败了”,令人诧异。
张教授认为我们需要深思熟虑,微创手术这一选择对吗?个例成功之处在哪里?多中心试验存在哪些限制性条件?今后临床试验改进的方向又在何方?
![]()
广州中山医三附院神内主任陆正齐(上图)教授强调清除脑血肿,减低占位效应,可能会改善血肿周围的脑组织缺血带,一种与缺血性脑血管病类似的缺血半暗带。
陆教授说,如果减少占位效应可以保护这个脑出血后血肿周围的半暗带,微创手术则属于神经保护性手术,应该改善病人的预后。
陆教授科里近两年来对10例脑基底节出血量大于30毫升的病人开展微创手术血肿清除加血肿腔内给阿替普酶24小时后,双管引流术(血肿腔加上对侧脑室置管)。三个月 mRS 评分小于2分的有7人,获得显著疗效。
“我本是卧龙岗散淡的人,论阴阳如反掌保定乾坤”。
陆教授说脑出血后的炎症反应也影响预后,在微创手术时如果兼顾内科治疗,加用 PPAR-Gama 激动剂吡格列酮或罗格列酮,减轻炎症反应,可能会有益。
陆教授深悟脑出血治疗道路的艰辛和曲折,他认为虽然 MISTIE 试验不是阳性结果,只要坚持,路就在脚下。
![]()
哈尔滨医大一附院神外的史怀璋(上图)教授认为脑出血的规范治疗目前仍处于探索阶段,无论是手术还是内科治疗均存在争议。
史教授坚信手术清除血肿是治疗危重脑出血患者的有效手段。传统开颅清除血肿去骨瓣减压的方式尽管能够有效缓解脑组织肿胀问题,但手术时间长,患者往往损伤大。
钻孔引流手术作为脑出血的一种治疗方式在临床取得了一定效果,但仍面临一些问题:对于临床出血时间短、血量多,有脑疝的病人,微创手术不能够有效的确切止血,同时也无法解决由于机械损伤及炎症因子刺激的脑组织肿胀问题。
“不要人夸颜色好,只留清气满乾坤”。
史教授期待内镜技术的兴起或许能够解决止血困难的问题,结合内减压清除血肿及坏死脑组织或许是将来的发展方向?
![]()
美国加州大学尔湾分校综合卒中和脑血管中心主任喻文贵(上图)教授认为 Dan Hanley 有组织能力与毅力,但设想步骤太复杂,不适合现在的临床对照试验。
脑出血是一临床表现和预后相对难于预测的疾病。MISTIE III(微创手术加阿替普酶清除脑血肿)虽名为微创,但操作步骤多,放置引流导管后,每8小时注入阿替普酶,数据收集任务繁重。
喻教授指出,在78个中心做双盲对照实验,质量控制非常困难。原设计是9个剂量阿替普酶或残余血量15毫升以下停药。但实际结果是平均治疗组病人得到4(2-6)个剂量阿替普酶,仅59%治疗组病人达到目标残余血量15毫升以下。所以最后是阴性结果不足为奇。
现实是美国的神外住院医非常辛苦,每8个小时按严格要求花1个多小时给阿替普酶难度其实很大。神经外科医生自己不会按 NIH 课题设计的低工资去亲自做这类实验。
“东边日出西边雨,道是无晴却有晴”。
喻教授说,如能坚守质量,只选择神外与神经重症中心,风投资本赞助的一次性精简微创手术试验 ENRICH,MIND,或 INVEST 更有希望成功。
![]()
这里顺便提一下,2019年4月上海市徐汇区中心医院神经外科孙树杰(上图)和南京大学金陵医院神经外科王汉东团队在 World Journal of Neurosurgery 报道了13例60岁以上恶性大脑中动脉脑梗死病人采用方体定向钻孔穿剌抽吸坏死脑组织的内减压手术,与微创手术清除脑血肿在思想和操作上异曲同工。
平均脑梗死体积在150毫升以上,发病72小时内抽吸。一个月内2例死亡(15%),六个月 mRS 小于3的有6例(53%)。
而2014年发表在新英格兰医学杂志的恶性大脑中动脉脑梗死去骨瓣临床试验 DESTINY II 60岁以上死亡率高达33%,六个月只有7%的病人预后好 mRS=3。
作者认为微创手术内减压对60岁以上卒中病人安全有效。
将来的神经外科是否只会剩下两根管子,一个是血管内介入无创手术,一个是颅外插管微创手术?
![]()
俗称:失败是成功之母。
Kellner(上图)认为现在尚有 ENRICH(Early Minimally-Invasive Removal of Intracerebral Hemorrhage, Sponsored by NICO 公司),MIND(Artemis in the Removal of Intracerebral Hemorrhage,Sponsored by Penumbra 公司)和 INVEST(Minimally Invasive Endoscopic Surgical Treatment with Apollo/Artemis in Patients with Brain Hemorrhage,Sponsored by Penumbra) 三个正在进行的临床试验,如果这些方法比 MISTIE 清除血肿更有效,我们仍有希望。
“春蚕到死丝方尽,蜡炬成灰泪始干”。
“鞠躬尽瘁,死而后已”。
否极泰来。
“预见” 曙光,心有希望。
送给努力研究脑出血的各位学者们一首辛弃疾的《南乡子·登京口北固亭有怀》(下图):
![]()
何处望神州,满眼风光北固楼。
千古兴亡多少事,悠悠,不尽长江滚滚流。
年少万兜鍪,坐断东南战未休。
天下英雄谁敌手?曹刘,生子当如孙仲谋。




