急性高原性脑水肿在首次MRI成像显示白质区微出血灶。白质区血管源性脑水肿和弥散受限程度在第1周内一定程度加重。然而,微出血灶在第一周内不加重并且能够持续数年存在,随时间推移发生融合。高场强的MRI-SWI成像更易观察微出血灶的变化。
——摘自文章章节
【Ref: Hackett PH, et al. Am J Neuroradiol. 2019 Mar;40(3):464-469. doi: 10.3174/ajnr.A5897. [Epub 2019 Jan 24]】
研究背景
高原性脑水肿(high-altitude cerebral edema,HACE)的1.5T磁共振(MRI)成像显示,胼胝体MRI的FLAEIR和T2序列图像呈现异常高信号,以胼胝体膝部和压部最明显,为血管源性脑水肿。最近,对1-35个月前发生过HACE的患者进行3T磁敏感加权成像(SWI)研究,发现胼胝体区有微出血灶。但胼胝体区脑水肿和微出血的时间过程、吸收情况不明确。美国科罗拉多大学安舒茨医学中心高原研究所的P.H. Hackett等分析8例重度HACE患者的影像资料,研究胼胝体区脑水肿和微出血的演变规律。文章发表于2019年3月的《American Journal of Neuroradiology》。
研究方法
2011年至2017年期间8例高原性脑水肿患者,在海拔2500-3000m的科罗拉多山区发病后转至丹佛治疗。在急性期和出院随访期均行MRI检查。8例患者共有18套3T和8套1.5T的MRI成像;7例包括急性期、恢复期和随访期的MRI图像,1例是急性期MRI影像。其中,1例为2006年发病后的10年MRI随访资料。8例患者均有高原性肺水肿的临床和影像学典型表现,同时符合高原性脑水肿的诊断标准。
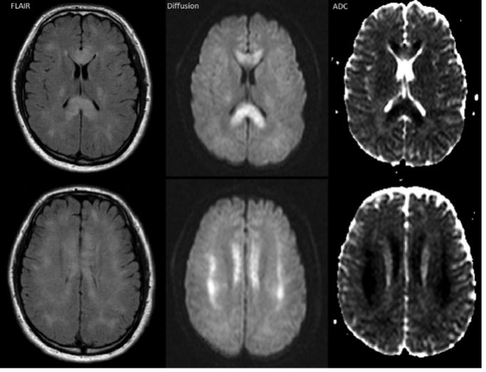
8例患者首次MRI成像的FLAIR和T2序列显示高信号(图1)。其中,5例高信号出现在胼胝体和皮质下白质、2例仅在皮质下白质和1例在脑室周围白质内。10天内再次行MRI成像,5例显示白质区水肿较前加重。
![]()
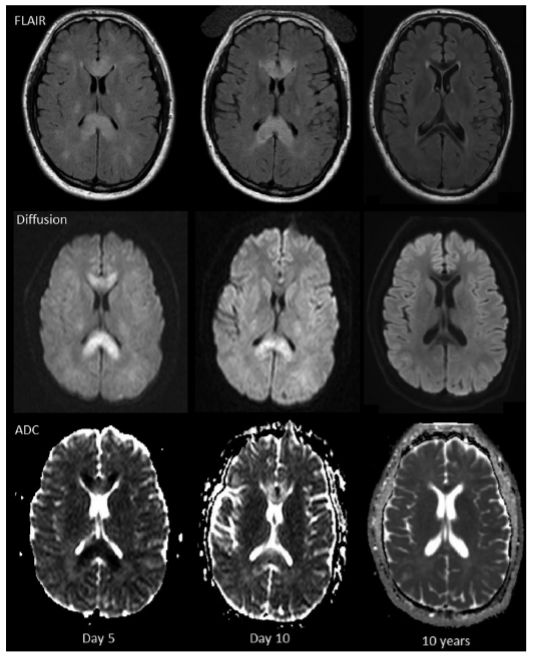
图1. MRI轴位FLAIR、diffusion和ADC成像提示整个胼胝体及双侧皮质下白质区高信号和弥散受限。
8例患者的MRI-DWI成像显示弥散受限,提示细胞毒性脑水肿。7例弥散受限主要在胼胝体和皮质下白质区,与FLAIR异常信号区相对应。随访时发现弥散受限程度随着时间而消失,比FLAIR及T2序列异常变化快(图2)。
![]()
图2. 第5和第10天的1.5T及10年后的3T MRI图像。第10天FLAIR上胼胝体的信号增强,10年后消失;弥散受限程度第10天减弱,10年后消失;在第10年FLAIR上胼胝体膝部和压部的低信号由含铁血黄素沉积所致。
研究结果
6例患者在首次3T MRI-SWI成像上显示广泛的微出血灶,类似“胡椒粉样”。随访MRI-SWI成像提示微出血灶持续存在,主要分布在整个白质区,包括深束和小脑脚,特别是胼胝体和皮质下白质。第1周内微出血量和程度未增加;在2.5-10年的MRI随访图像上显示,微出血逐渐融合(图3)。另2例患者在随访3T MRI- SWI成像时确定发生微出血,但首次行1.5T MRI-T2序列成像并未发现微出血灶。
![]()
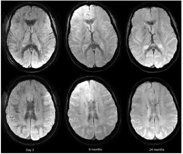
图3. 第3天、第8月和第2年的3T MRI-SWI的成像显示,出血瘀斑持续存在并随时间推移微出血灶逐渐融合。
结论
急性高原性脑水肿在首次MRI成像显示白质区微出血灶。白质区血管源性脑水肿和弥散受限程度在第1周内一定程度加重。然而,微出血灶在第一周内不加重并且能够持续数年存在,随时间推移发生融合。高场强的MRI-SWI成像更易观察微出血灶的变化。既往研究资料表明,海拔高直接导致白质区微出血并不常见,只有发生高原性脑水肿和伴有高原性肺水肿时才有明显的脑微出血。延迟性脑水肿可能为血红蛋白降解物促进血管源性水肿发生;细胞因子等转运紊乱导致细胞外谷氨酸增多、胞质肿胀从而限制水的扩散;胼胝体富含谷氨酸和细胞因子受体,发生细胞水肿表现为弥散受限。因此,细胞毒性脑水肿和血管源性脑水肿在高原性脑水肿的形成中均起重要作用。随着高原性脑水肿的发展,血管性脑水肿转向出血性改变,随着红细胞外渗,加重脑水肿程度。该转化的发生可能与血管自动调节受损、毛细血管压过高和血管通透性改变有关,最终白质区微血管的完整性遭到破环。
高原性脑水肿是致命性神经系统病变,MRI成像上出现广泛而持久性的微出血灶。病理生理学机理为可逆性血管源性和细胞毒性脑水肿发展为微血管破坏导致微出血灶。通过3T MRI-SWI成像能及时检测脑水肿和微出血,为临床上诊断高原性脑水肿及其分期和治疗提供有价值的依据。






