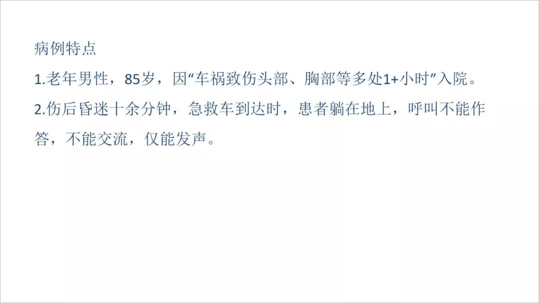
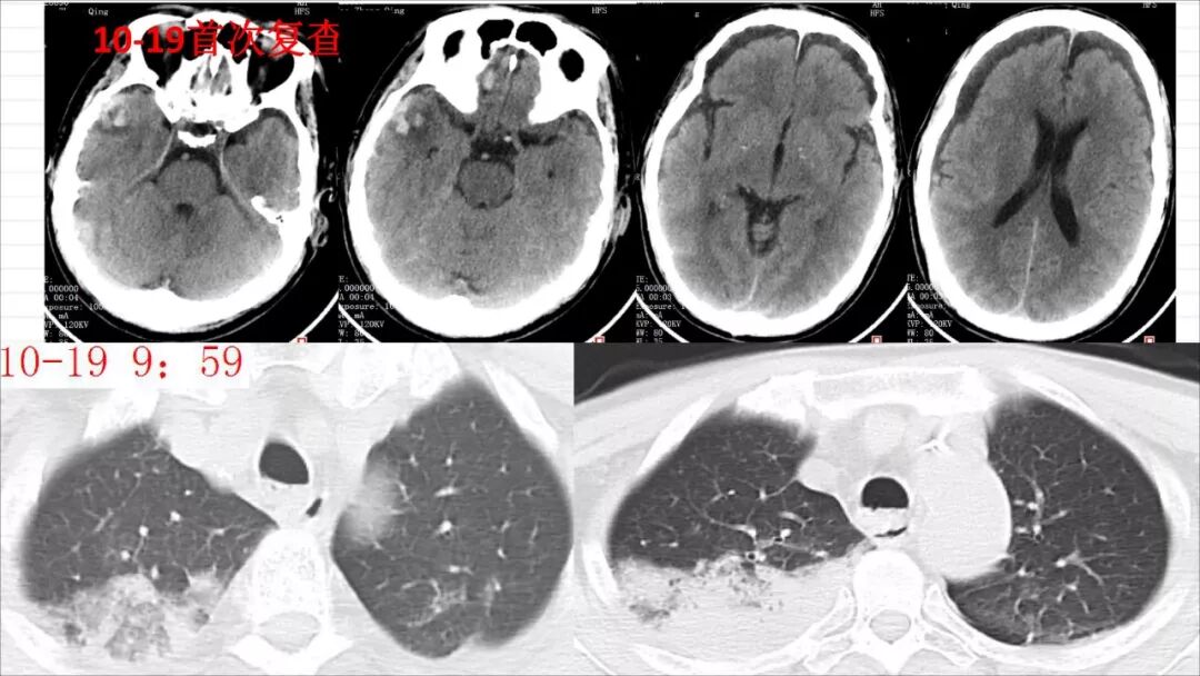
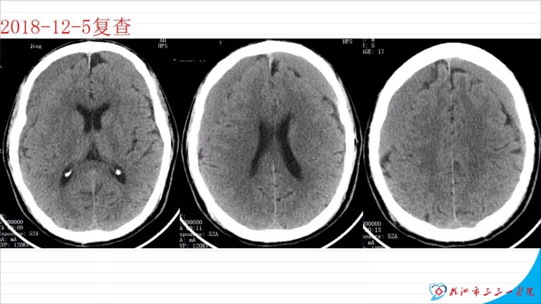
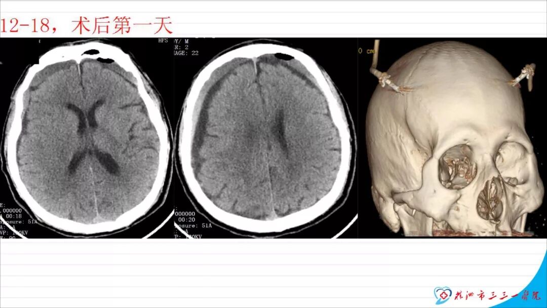
![]()
今天为大家分享的是《颅脑创伤-神经重症病例周刊》第113期,由株洲市三三一医院神经外科毛德龙医师带来的:老年病人慢性硬膜下血肿自然演变一例 ,天津医科大学总医院神经外科副主任兼NICU主任、“神外资讯中国颅脑创伤-神经重症专家组”委员江荣才教授对病例作出了精彩点评,欢迎观看、阅读。
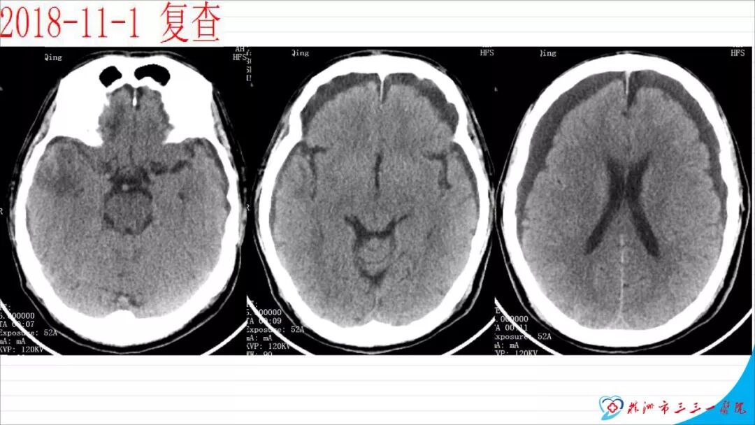
本文以“慢性硬膜下血肿自然演变一例”为题,恰当!因为此例患者系从急性硬膜下血肿自然演变而来。只是长期口服他汀没有起到预防作用。本例患者与其说是阿托伐他汀治疗慢性硬膜下血肿无效,还不如说是阿托伐他汀不能阻止急性硬膜下血肿向慢性硬膜下血肿演变的过程,当然,后续急性血肿变成慢性后,阿托伐他汀似乎也没有发挥治疗作用。需要指出的是,单药阿托伐他汀治疗急性硬膜下血肿并无成功病例报道,但是,本例报道还告诉我们,它还不能阻止急性硬膜下血肿向慢性血肿演变,值得关注。 谈到阿托伐他汀治疗慢性硬膜下血肿,我们是始创者。为此,看到作者似乎有点抱怨的情绪,我得做些解释。我们ATOCH试验,验证的是阿托伐他汀治疗慢性硬膜下血肿比安慰剂能更有效促进血肿吸收,没有发现也没有努力去验证阿托伐他汀治疗慢性硬膜下血肿100%有效,因此发生治疗无效很正常。 保守治疗的始作俑者是英国人,他们1962年就提出地塞米松治疗慢性硬膜下血肿。但是,迄今为止,无论是英国人提出的地塞米松、美国人提出的氨甲环酸或血管紧张素转换酶抑制剂,还是德国人提出的塞來西布,日本人提出的汉药,国内许多单位自行研究提出的血府逐瘀丸,作者单位的“传统”方法红花注射液治疗慢性硬膜下血肿都没有经历严格随机双盲安慰剂对照研究,也从未被大宗病例报道证实过有效。由于未被RCT(随机对照临床试验)证实过,加上一部分慢性硬膜下血肿不必治疗也可以自我吸收(这在我们ATOCH里的安慰剂组中已经观察到,但我们发表论著时没有刻意提出这一点而已),除他汀疗法之外的药物疗法被怀疑是否真具有疗效就顺理成章了。这也是我们的阿托伐他汀治疗慢性硬膜下血肿在保守治疗药物队伍中“一骑绝尘”的理由。后续西南医科大学和香港中文大学还均报道使用阿托伐他汀可以预防慢性硬膜下血肿术后复发。而且,除了有RCT结果支撑其有效性外,安全性明显优于上述各个西药又不像中药或汉药那么含糊,也使得阿托伐他汀成为目前保守治疗慢性硬膜下血肿应用最多的药物。 但毫无疑问,实践中确实屡屡有发现效果不佳的病例。为什么会这样呢?可能有2个理由: 1、确实存在一部分对他汀治疗反应不佳的患者。我们的ATOCH中,阿托伐他汀试验组就有11例患者因无效转去接受手术(对照组则多达23例); 2、ATOCH试验长达8周,有些患者家属和医生都没有耐心等待8周。也就是说,没有等到药物作用显现就转保守治疗为手术治疗。在同样状况下,即使作为发明者,我也不敢“阻扰”患者转手术治疗,因为这意味着风险转嫁。而这种“保守治疗未到时间”(这样提可能不严谨,因为没有规定时间,只有经验时间)就转手术治疗,会增加阿托伐他汀治疗慢性硬膜下血肿的“无效率”。 有鉴于此,我们团队在张建宁教授指导下,从2014年就开始优化阿托伐他汀疗法,本人以此优化的独门方法就治愈了多达200余例各种慢性硬膜下血肿患者。最近,有上海同行私下告诉我,他用类似我的优化方法保守治疗慢性硬膜下血肿多例,还没有失败过。我跟他开玩笑:“那是你治疗的病例还不够多。”实际这不是开玩笑,因为本人有失败经验。目前,我们团队正积极推进ATOCHII试验,就是要证明我们的优化疗法更加有效,期待奉献给世界一个更加好用的治疗慢性硬膜下血肿新方法。 最后需要特别指出的是,慢性硬膜下血肿与急性硬膜下血肿和亚急性硬膜下血肿并非一定有如父如子的“传承”关系。实践中,绝大多数患者都没有急性硬膜下血肿过程,尤其是老年患者第一次查影像学多数就可以确诊慢性硬膜下血肿了,患者之前并没有经历急性硬膜下血肿这种剧烈损伤过程。还有,脑转移癌可以发生类似慢性硬膜下血肿的血肿性病变,先天性蛛网膜囊肿、脑池囊肿术后常见并发症就包括硬膜下血肿。笔者诊疗慢性硬膜下血肿接近300多例,还见过教科书和个案报道没有记载的各种非脑外伤相关慢性硬膜下血肿的病例。相比于脑外伤引起的急性和亚急性硬膜下血肿,慢性硬膜下血肿是处理简单且病情稍显轻微的疾病,但其发生机制却远比急性和亚急性硬膜下血肿更为复杂,值得进一步深入研究。 江荣才 教授 副主任兼NICU主任 天津医科大学总医院神经外科![]()
![]()
![]()
![]()
![]()
![]()
![]()
![]()
![]()
![]()
![]()
![]()
![]()
![]()
![]()
![]()
![]()
![]()
![]()
![]()
![]()
![]()
![]()
![]()
![]()




