提示
“浙二神外周刊”不定期接收外院投稿,审核后发表。欢迎各专业同道联系我们,分享精彩病例、研究热点或前沿资讯。投稿请联系:shishi74@163.com
2019年3月2日,由赛诺菲组织的“针知灼见—赛诺菲神经外科病例大讲堂”在浙江绍兴顺利召开。会议由中华医学会神经外科学分会主委,天坛医院神经外科主任王硕教授和中华医学会神经外科学分会常委兼秘书长,浙江大学医学院附属第二医院神经外科主任张建民教授共同担任大会主席。天坛医院赵元立教授、青岛大学附属医院丰育功教授,浙江大学医学院附属第二医院王林教授,新疆自治区医院杨小朋教授和绍兴市人民医院金国良教授担任讨论点评嘉宾。
华中科技大学同济医学院附属协和医院胡学斌,苏州大学附属第一医院杨博宇,暨南大学医学院附属脑科医院吾太华,徐州医科大学附属医院纪培志及四川大学华西医院任艳明教授各自分享了“脑血管与癫痫”及相关病例。浙江大学医学院附属第二医院癫痫中心副主任朱君明教授作了卒中相关癫痫的主题报告。报告的病例精彩纷呈,讨论热烈,点评到位。与会同道获益匪浅。现选取部分精彩病例,由《浙二神外周刊》刊发,与大家共享。
本例由苏州大学附属第一医院神经外科团队提供。
病史简介
患者女性,59岁,因“头晕伴恶心、呕吐9小时,意识不清4小时”。
患者13小时前无明显诱因突发头晕,伴恶心、呕吐,呕吐物为胃内容物,休息后未见明显好转。4小时前突发意识不清,呼之不应,急诊就诊于当地医院,查头部CT示左侧颞叶高密度影,诊断为左侧颞叶脑出血。为求进一步诊治转入苏州大学附属第一医院。
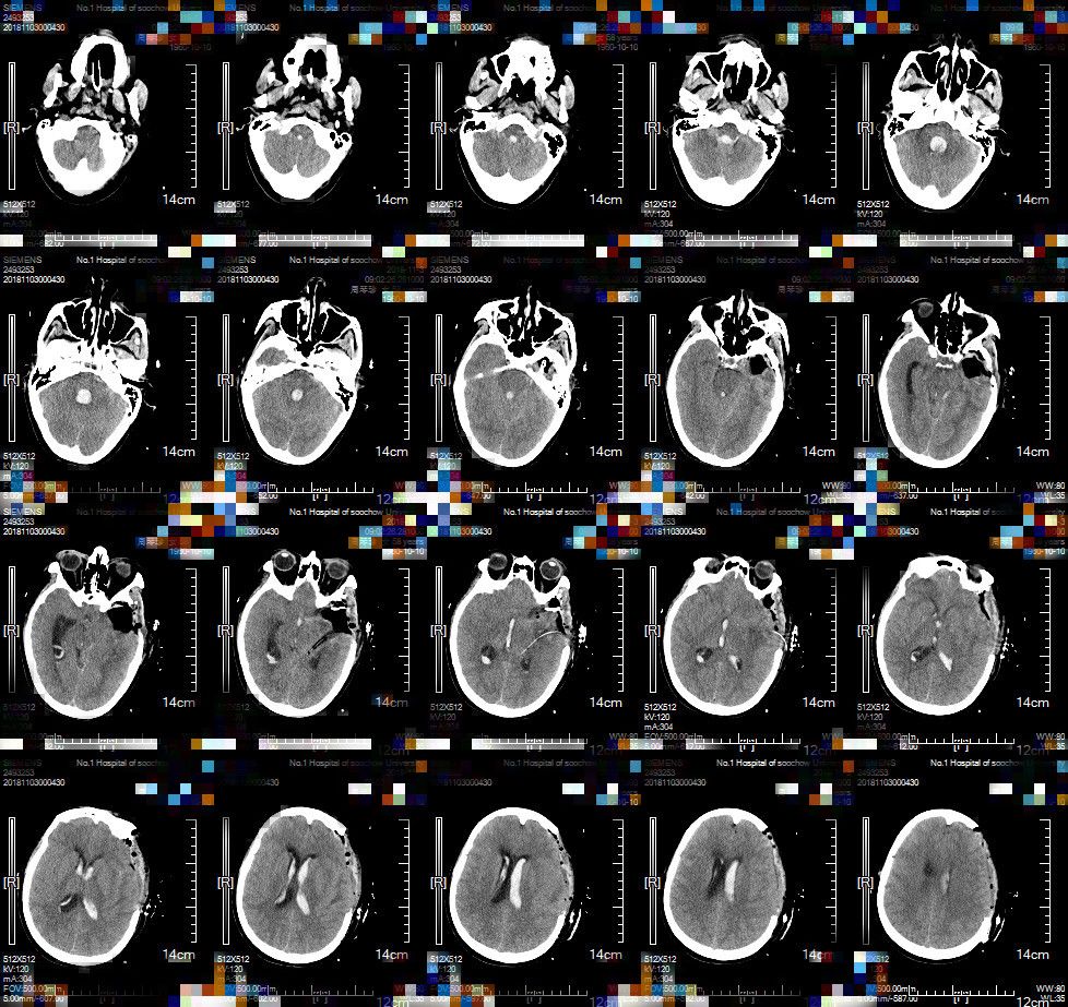
急诊查头部CT提示左侧颞叶脑出血,侧脑室、三脑室、四脑室/环池血肿,伴有蛛网膜下腔出血,较前(外院头部CT)未见明显进展(图1)。CTA示:左侧颞部动静脉瘘伴瘤样扩张(图2)。
![]()
图1. 头部CT示左侧颞叶可见一边界清楚、形状不规则高密度影,其内可见部分低密度影,左侧侧脑室受压明显,左侧侧脑室、三脑室、四脑室、环池可见高密度影,考虑左侧额颞叶出血通过左侧侧脑室后角破入脑室系统。中线结构略向右移位。
![]()
图2. 头部CTA示双侧颈内动脉、大脑中动脉、大脑前动脉显影良好,左侧颈外动脉可见两个大小分别为4cm*2cm*2cm、2cm*1cm*1cm椭圆形异常血管囊性突起,左侧颈内动脉可见部分细动脉小分支与其相关联,远处前上方可见迂曲、粗大引流静脉血管。
患者有高血压病史两年,未规律治疗,血压控制不详。
入院检查:
浅昏迷,双侧瞳孔不等大,左侧瞳孔直径约为4.0mm,光反射消失,右侧瞳孔直径约为2.5mm,光反射消失,颈抵抗,四肢无自主活动,刺激双上肢可定位,双下肢屈曲,肌张力不高,双侧病理征阳性。
血凝常规未见明显异常,血常规示白细胞略高,电解质未见明显异常。
据上情况,诊断考虑左侧颞部中颅窝底动静脉瘘伴瘤样扩张伴左侧颞叶脑出血破入脑室,蛛网膜下腔出血,脑疝。
术前评估
1. 患者动静脉瘘继发出血,血肿量多,侧裂、三脑室、四脑室、环池均有明显血肿,中线结构移位,颅内压里高,同时血液刺激易引起癫痫大发作,癫痫的发作会引起血肿的进一步增多,同时导致脑血管痉挛引起脑梗塞,加重脑损伤,进而出现癫痫频繁发作等恶性循环。故术前需静脉滴注德巴金,常规剂量为800mg,术中剪开硬膜后先予以德巴金400mg静脉推注,随后给与德巴金400mg静脉维持。术后患者需予以德巴金800mg每日两次静脉滴注,持续用药5-7天后,若无癫痫发作,改为德巴金500mg每日2次口服。
2. 患者突发脑出血,病情进行性加重,颅内压力进行性增高,随后出现脑疝(瞳孔扩大,光反射消失),需手术治疗,急诊行动静脉瘘切除术+脑血肿清除术+去骨瓣减压术,术中可能开放侧脑室,将脑室内血肿清除,术后留置脑室外引流管以进一步引流血性脑脊液,防止脑积水,促进血液吸收。
3. 若全麻后气管插管可见气道内误吸食物残渣,则术后行切管切开术,保持呼吸道通畅,便于术后气道护理。
治疗方案选择
经科室讨论,该患者存在动静脉瘘,但颅内血肿较大,且存在脑疝,单纯介入治疗不能降低颅内压缓解脑疝,故不考虑介入栓塞治疗而决定行开颅手术。
仰卧位,头偏右,取左侧额颞瓣;咬平蝶谷脊以充分暴露颅底(考虑瘘口供血动脉为颈外动脉颅底硬膜支、部分颈内动脉及侧裂动脉);为防止阻断动脉化静脉引起出血,先临时阻断可能责任供血动脉,待确定责任动脉后再将其离断,最后处理引流静脉;术中颅内压力高先清除部分血肿,动静脉瘘切除后将剩余血肿全部清除(见图3,术中截图)。因存在侧脑室及四脑室存在血肿,术中开放侧脑室,留置脑室外引流管(含压力测量)。
![]()
![]()
![]()
![]()
图3. 术中手术过程截图
术后继续脱水,抗炎及预防性抗癫痫等治疗。术后复查CT,显示动静脉瘘及扩张血管切除,左侧颞叶血肿清除。侧脑室、三脑室、四脑室血肿残存,中线结构居中(图4)。
![]()
图4. 术后头部CT:动静脉瘘及瘤样扩张均切除,左侧颞叶血肿清除,残存侧脑室、三脑室、四脑室血肿,中线结构居中。
病理报告
![]()
患者术后恢复良好,意识清楚,语言流利,也无其他神经系统异常。
讨论
1. 颞叶动静脉瘘伴瘤样扩张,继发出血,患者术前已出现意识障碍,需急诊手术治疗,因患者脑出血血肿量较多,三脑室、四脑室、环池均存在血肿,故手术介入治疗存在一定弊端,不能有效较低颅内压或预防脑积水,且大量血肿存在更易引起癫痫。因此脑出血患者术前、术后易癫痫,癫痫会加重脑出血进一步增多的风险,故术后需早期、足量、规律使用德巴金,脑出血、脑梗塞、脑外伤患者在规律静脉使用德巴金后术后癫痫发生几率明显减少。推荐常规使用剂量为800mg BID静脉滴注,术后持续使用5-7天。若仍不能控制,可24小时静脉维持,必要时联合地西泮治疗。
2. 手术术中先处理动静脉瘘,离断侧裂动脉、大脑中动脉分支及颅底硬膜上动脉的供血,予以临时动脉瘤夹夹闭供血动脉,夹闭前须仔细观察血管搏动情况,夹闭后需观察动静脉瘘是否明显缩小或出血减少,随后再离断引流静脉。
3. 对于血肿较大且存在占位效应或局部脑压较高的患者,可显微镜下将部分血肿清除,达到局部减压,扩大手术空间,此外必要时可予以内镜进一步清除血肿。对于出血破入脑室的患者根据术中情况可开放侧脑室,术后留置脑室外引流管一枚,并检测颅内压。
4. 术后追问病史,患者既往存在左侧耳鸣,伴隆隆样杂音。动静脉瘘患者往往存在耳鸣及血管杂音。若对于清醒或家属知情的患者往往有诊断意义。
5. 动静脉瘘的诊治:若病情允许,患者术前可完善头部CT、CTA、MRI及DSA检查,明确供血动脉或引流静脉,对于较大的动静脉瘘患者可先行栓塞术,以减少术中出血。
6. 颅内动静脉瘘是罕见的颅内血管病变,其病因包括外伤、炎症及肿瘤引起硬脑膜静脉血管、静脉窦的闭塞或狭窄导致的动静脉短路等病理性改变[1],动脉的大量供血可引起引流静脉血管的动脉化,因此可导致引流静脉或静脉窦内压力增高,导致出血[2]。
7. 颅底DAVF 属于颅内DAVF 中的一种罕见亚型,由于颅底无静脉窦,所以该部位DAVF 具有独特的血管构筑结构,供血动脉大多来源于颅底的脑膜中动脉分支、垂体上动脉脑膜支、通过侧裂静脉、额静脉、嗅静脉等经皮质表面的大脑上静脉引流到上矢状窦,或者经其他静脉通道向海绵窦、蝶咽升动脉及筛前动脉、大脑前动脉嗅支及筛后动脉,少数颞浅动脉也可加入,各血管供血区可重叠形成广泛的异常血管吻合。大量异常血液通过瘘口直接进入皮质软脑膜下静脉,顶窦及基底静脉引流。长期的血流动力学因素以及静脉的退行性变,即“静脉湖”或“动脉瘤样扩张”是导致静脉破裂出血的主要原因。有报道认为50%的颅底DAVF 伴有静脉湖或动脉瘤样扩张改变,通常发生在硬脑膜与软脑膜吻合部位的静脉通道附近[3]。自发性脑出血是该病的主要临床症状。手术是主要的治疗方案,其次为介入治疗。
8. 对于颅内动静脉瘘的治疗原则是将瘘口完全封闭,可手术切除瘘口或介入栓塞瘘口,术前DSA检查可清楚了解动静脉瘘瘘口的部位、大小、类型、供血动脉及引流静脉,并且可以观察颅内倒血情况[4]。部分患者急诊CT上可观察到巨大动静脉瘘的病变,其影像学特点可表现为类圆形稍高密度影,密度低于血肿高密度影,略高于脑白质密度,且边界清楚,位于血肿内后血肿周边,颅底动静脉瘘则病变位于颅底(中颅窝或前颅窝),临近侧裂或伴随于大脑中动脉分支、脑膜中动脉或皮层引流静脉走行。MRI可见血管流空影,明确病变与脑组织、神经解剖的关系[5]。
9. 对于出血患者且血肿量大,患者存在意识障碍的则需早期手术,降低颅内压,尽早解除或降低再出血风险。
参考文献
[1] Funakoshi Y, Hatano T, Saka M, Ando M, Chihara H, Takita W, Tokunaga K, Hashikawa T, Kamata T, Higashi E, Nagata I. Dural and Pial Arteriovenous Fistulas Connected to the Same Drainer in the Middle Cranial Fossa: A Case Report. World Neurosurg. 2018 Oct;118:47-52. doi: 10.1016/j.wneu.2018.06.214.
[2] Biegaj E, Rutkowska-Zimirska J, Radzymińska-Maliszewska M, Zaremba A, Pniewski J. Arteriovenous fistula of superficial temporal vessels - case report.Folia Morphol (Warsz). 2019 Feb 28. doi: 10.5603/FM.a2019.0016.
[3] 刘峥,张尚明。 《外科手术治疗颅底硬脑膜动静脉瘘伴动脉瘤样扩张形成》。 脑与神经疾病杂志,2013年第21卷第6 期。
[4] 杨小平, 李坤成, 卢洁。颅内动静脉瘘的CT和MRI诊断价值。放射学实践,2006年5月第21卷第5期。
[5] Du R, Liu B, Shao J, Chen Y, Li F, Zheng Y. Surgical Management of Congenital Arteriovenous Fistula near Lateral Cranial Base. Ann Vasc Surg. 2017 Nov;45:265.e1-265.e4. doi: 10.1016/j.avsg.2017.06.123.
(本文由浙二神外周刊原创,苏州大学附属第一医院神经外科杨博宇主治医师整理,苏州大学附属第一医院神经外科黄煜伦教授审校,浙二神经外科张建民主任终审)




