随访6个月时,单一血管内栓塞组患者未发生与治疗相关并发症。栓塞结合显微手术切除组,2例持续性非致残性功能缺损患者mRS为1;1例持续性语言障碍和偏瘫残疾者mRS为3。DSA显示30例(96.8%)患者AVM完全消除;单一血管内栓塞组AVM 100%消失,栓塞结合显微手术切除组AVM 95.5%消失。1例5岁男性患儿右侧破裂的小脑半球Ⅲ级AVM有残留。
——摘自文章章节
【Ref: Kocer N , et al. Neuroradiology. 2019 Feb;61(2):195-205. doi: 10.1007/s00234-018-2140-z. Epub 2018 Nov 28.】
研究背景
脑动静脉畸形(AVM)破裂出血是患者死亡或残疾的最主要原因。一项未破裂的脑动静脉畸形随机试验(A Randomized Trial of Unruptured Brain Arteriovenous Malformations,ARUBA)研究表明,未破裂脑动静脉畸形的保守治疗优于外科干预。然而,对症状性脑动静脉畸形伴有既往破裂、顽固性癫痫、进行性神经功能障碍患者建议干预,包括显微手术、血管内介入栓塞、放射治疗或上述手段的综合治疗。对于Spetzler–Martin分级Ⅰ-Ⅱ级的AVM,因显微手术效果好、风险相对小,推荐手术切除。高风险的Spetzler–Martin分级Ⅲ-Ⅴ级的AVM,目前仍缺乏统一的治疗意见或治疗指南。土耳其伊斯坦布尔大学卡拉帕萨医学院神经放射科的Naci Kocer等报道单一使用血管内介入栓塞、必要时结合显微手术一期切除治疗高级别脑动静脉畸形的经验,结果发表在2018年11月《Neuroradiology》在线上。
研究方法
作者回顾性分析2006年1月至2018年接受治疗的130例脑AVM患者临床资料,其中S-M分级Ⅲ-Ⅴ级85例,31例接受单一血管内栓塞或联合显微外科手术切除的治疗方法,术后24h内进行DSA造影、术后1月或6月随访mRS评分。
研究结果
31例患者的术前表现:17例(54.8%)颅内出血、10例(32.3%)癫痫、3例(9.7%)头痛、1例进行性神经功能障碍。术后24例(77.4%)未发生与治疗相关的并发症。7例患者包括4例Ⅲ级和3例Ⅳ级AVM患者出现并发症:其中,3例无神经功能后遗症(含2例脑出血,1例脑缺血症状患者);另外4例中,1例死亡,3例有神经功能缺损。
25例(80.6%)患者术后即刻mRS评分无恶化,有2例短暂神经功能缺损患者在治疗后几天内缓解。14例未破裂的AVM患者中,13例治疗前mRS评分为0或1,术后11例mRS评分维持不变;1例治疗前mRS评分为5的患者,治疗后长期随访中改善至3分。
随访6个月时,单一血管内栓塞组患者未发生与治疗相关并发症。栓塞结合显微手术切除组,2例持续性非致残性功能缺损患者mRS为1;1例持续性语言障碍和偏瘫残疾者mRS为3。DSA显示30例(96.8%)患者AVM完全消除;单一血管内栓塞组AVM 100%消失,栓塞结合显微手术切除组AVM 95.5%消失。1例5岁男性患儿右侧破裂的小脑半球Ⅲ级AVM有残留。
结论
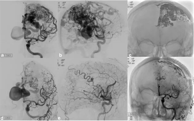
作者认为一期血管内栓塞或者结合显微手术切除是Ⅲ-Ⅴ级AVM患者的合理选择,具有闭塞率高和并发症少的优势。对患者及其家属解释该项技术特点,有利于减轻患者在等待治疗期间的焦虑(图1)。
![]()
图1. 1例67岁未破裂左额顶叶Ⅴ级AVM的患者,因广泛的静脉回流表现为进展性右侧偏瘫、失语及吞咽困难。37年前癫痫发作而进行不成功的显微手术切除;最近 6个月前临床病情恶化,计划一期血管内栓塞结合显微手术切除。a、b图示栓塞前DSA显示,累及整个顶叶和额叶后区的畸形团伴向右侧侧脑室突出的扩张静脉瘤。c、d图显示栓塞AVM的Onyx铸形;为避免栓塞后出血,特意保留少量畸形团的前面部分。e、f 图为一期结合显微手术切除后即刻DSA示畸形团完全消除。随访3年,癫痫发作仅1次,未出现新神经功能缺损,语言和吞咽功能有所改善,偏瘫仍然存在。





