
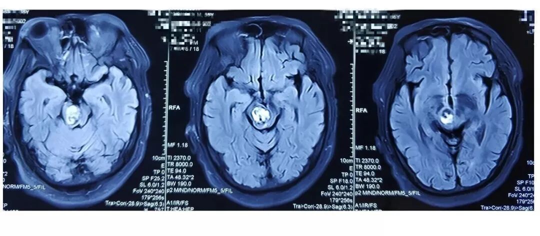
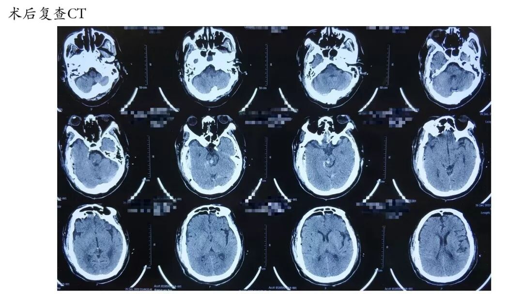
今天为大家分享的是《贝朗时间》第五十一期,由河南省人民医院神经外科步星耀教授团队带来的:脑干海绵状血管瘤伴出血手术病例分享,欢迎阅读、分享!

步星耀,医学博士,神经外科博士后,主任医师,二级教授,研究生导师,享受政府特殊津贴专家、优秀青年科技专家、中青年科技创新人才、跨世纪学科带头人、留学回国先进个人、杰出青年和杰出人才创新基金获得者,国家科技奖励评审专家。
擅长颅脑肿瘤(胶质瘤、脑膜瘤、垂体瘤、听神经瘤等原发肿瘤和转移瘤)、椎管肿瘤、颅脑损伤、脊髓损伤、脑血管病(脑动脉瘤、高血压脑出血、血管畸形、烟雾病海、绵状血管瘤等)、脑积水、小脑扁桃体下疝畸形并脊髓空洞、肿瘤相关癫痫、疼痛等疾病的精准微创手术治疗,尤其对胶质瘤为代表的中枢神经肿瘤个体化综合治疗、颅脑损伤、脊髓损伤综合修复治疗及脑出血、脑损伤后持续昏迷修复促醒治疗有深厚研究和丰富经验。
临床研究获奖成果:
《颅脑、脊髓损伤个体化综合修复治疗研究》、《脑胶质瘤分子病理及微创个体化靶向综合治疗研究》、《人脑膜瘤临床生物学特性研究》、《人脑胶质瘤发生、发展的分子病理机制及治疗研究》、《脑血管病的手术联合自体干细胞动员治疗研究与应用》、《颅内肿瘤分子病理机制、SV40在其发生中的意义与磁导向化疗研究》、《脑胶质细胞瘤的分子病理与侵袭性研究》等获得省部级成果奖10项。
国家发明和实用新型专利:
《带肌蒂窗的颅脑三维成形修复体及其制备方法》、《可调式颅骨缺损区护脑保健帽》、《植入式脑损伤修复治疗器》、《植入式椎管内治疗器》、《颅内肿瘤立体治疗器》、《颅骨修补手术保护器》等10多项。
出版著作:
主编《小儿神经外科手术图解》、《新编实用外科学》、参编《神经系统肿瘤学》、《现代微创神经外科》、《计算机辅助神经外科手术学》等5部。

屈鸣麒,副教授、硕士研究生导师,四川大学华西医院博士,瑞典乌普萨拉大学及卡罗林斯卡医学院(诺贝尔医学奖评审学院)博士后。熟练掌握颅脑及脊髓肿瘤的显微手术治疗,在重症颅脑外伤救治及出血性脑卒中的外科治疗方面具有丰富的经验,尤其在中枢神经系统肿瘤的诊治及基础研究方面有较深的造诣。现主持国家自然科学基金一项、省及教育部科研基金各一项。已在SCI收录的专业期刊上发表学术论文七篇。

孙勇,副主任医师,中山大学医学院硕士研究生毕业,擅长脑肿瘤、脊髓肿瘤、脑血管病变、脑积水及神经系统先天畸形等诊断与治疗,致力于对脑膜瘤、垂体瘤、动脉瘤、听神经瘤及脊髓肿瘤的显微微创手术,创伤小,术后恢复快,全切率及治愈率高。对于急性重症颅脑损伤和脑出血有丰富的手术治疗经验。已主持参与省厅级课题3项,发表研究性论著10余篇。

闫兆月,主治医师,郑州大学七年制硕士毕业,基础理论扎实,显微手术操作熟练,精于处理颅脑外伤、脑出血、蛛网膜下腔出血等危急重症,熟练掌握脑肿瘤(胶质瘤、脑膜瘤、听神经瘤、垂体瘤、颅咽管瘤等)、椎管肿瘤、脑血管病(烟雾病、动脉瘤、动静脉畸形、海绵状血管瘤等)、颅颈连接畸形及脑积水的诊治,能熟练处理手术并发症。






















