今天为大家分享的是《颅脑创伤-神经重症病例周刊》第107期,由淄矿集团中心医院神经外科李业生主任带来的:少年儿童开放性颅脑伤颅骨锁孔手术,文末由四川大学华西医院神经外科颅脑创伤专业组组长、“神外资讯中国颅脑创伤-神经重症专家组”委员杨朝华教授对病例作出了中肯点评,欢迎观看、阅读。
在颅脑外伤的救治中,颅骨的保护在儿童比在成人显得尤其重要。现分享几例儿童开放性颅脑外伤颅骨锁孔手术救治的影像片子,敬请各位大咖指教。
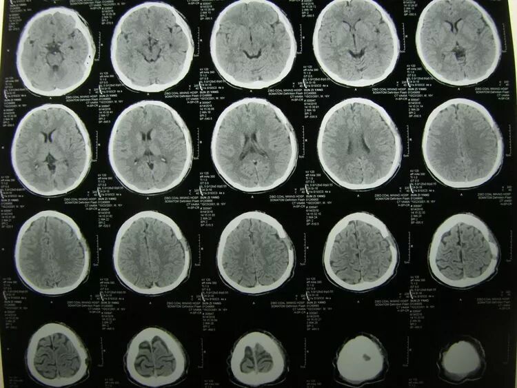
患儿女,12岁,头部车祸伤2小时入院,浅昏迷状,右额部纵形锯齿状裂口,前自眉弓延伸至发际内,可见骨折裂隙。右瞳孔欠规则。
![]()
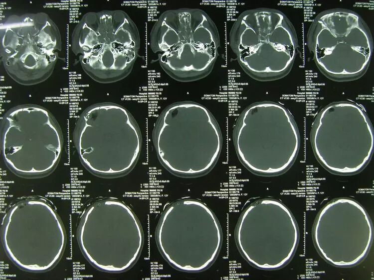
CT示:
右额叶脑挫裂伤,蛛网膜下腔出血,颅内积气,额骨及前颅底骨粉碎骨折,基底池模糊。
![]()
骨窗片显示额骨及颅底骨粉碎骨折
行急症全麻下清创,原头皮创口略作延伸,骨折线处额骨锁孔入路,经硬膜创口清除挫裂伤失活的组织,彻底止血,修补硬膜,放置引流,缝合创口。
![]()
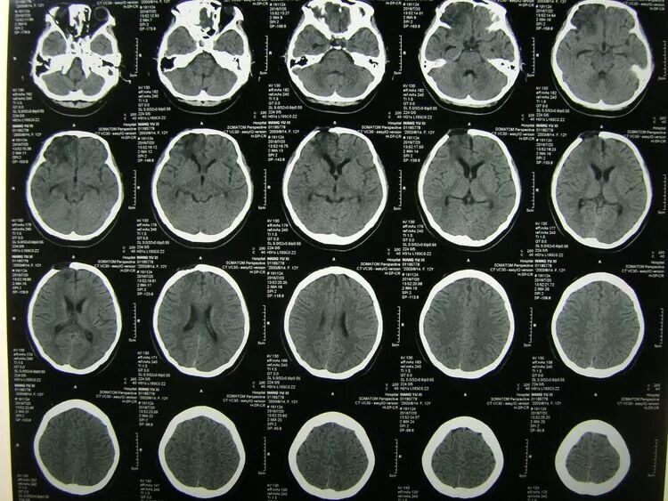
术后1天CT复查,止血减压良好,基底池清晰,中线居中,患儿神志转清。
![]()
术后骨窗片
![]()
术后颅骨三维重建片
![]()
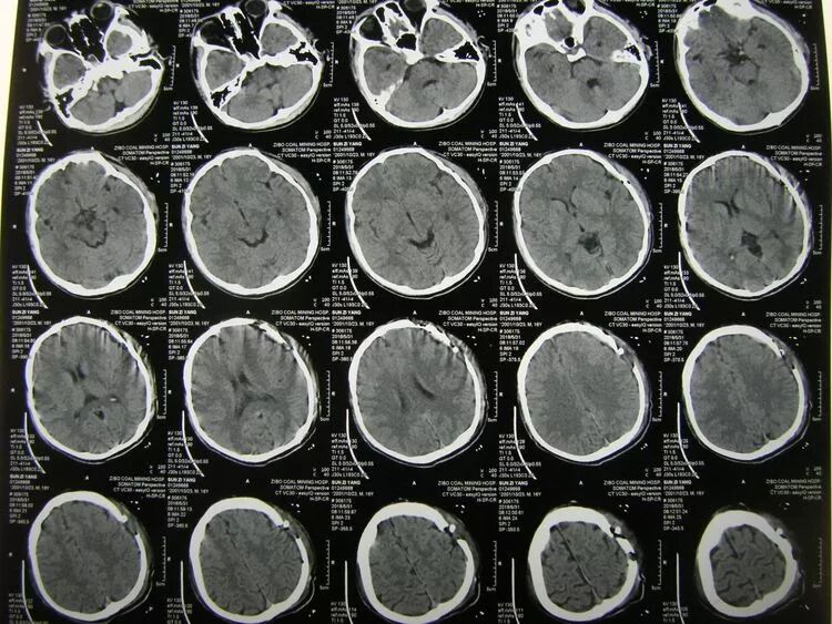
术后3周CT复查,脑水肿消失,中线良好,患儿言语肢体活动良好,无脑脊液漏,创口愈合良好拆线出院。
患儿男,16岁,头部等处车祸伤2小时入院,嗜睡状,左额颞顶处有数处头皮创口,颞顶处创口可见骨折内陷。
![]()
CT示:
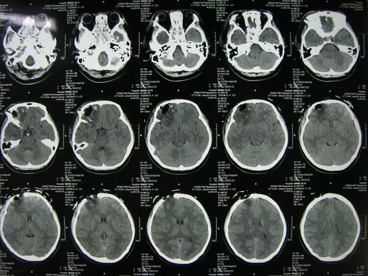
额颞顶部硬膜外血肿,占位效应明显,局部颅骨粉碎骨折并内陷。
![]()
骨窗片显示额颞顶交界区骨折内陷并粉碎。
急症全麻下清创逢合,额颞顶皮瓣开颅,血肿清除骨折整复术。
![]()
头皮创口及皮瓣设计
![]()
术中骨折所见
![]()
清除游离碎骨折片,大骨折片予以复位,经此遗留小骨创口清除硬膜外血肿。
![]()
术后1天CT复查,血肿清除满意,未见迟发出血,患儿神志清醒。
![]()
术后2周CT复查,颅内未见迟发病灶,创口愈合良好,患儿己下床活动,拆线后出院。
1. 清除血肿和挫裂伤灶解除占位,彻底止血,抢救生命为第一原则。
2. 充分利用骨创伤道,尽可能避免骨瓣开颅,最大程度地保护颅骨的完整,是儿童颅脑伤救治的重要原测。
3. 头皮切口要尽可能地利用原头皮创口并酌情适当延长,在充分利于显露和处理病灶的前提下,要兼顾皮瓣的血运和美观。
点滴体会,难免有误,但愿分享,敬请指教。
精彩点评
少年儿童开放性颅脑损伤的救治具有一定的特殊性,淄矿集团中心医院李业生团队成功救治了两例,但手术方式与常规原则不符,其观点值得商榷。
1. 手术切口设计问题:
手术切口必须满足暴露的需要,路径短、避开重要功能区;皮瓣要大于骨瓣;切口不能影响皮瓣的血供;兼顾美容的问题。例1为右额颞叶挫裂伤,前颅底骨折,况且骨折涉及右侧额窦,患者昏迷,环池受压变窄。此时手术不仅要考虑清创、清除脑挫裂伤灶和修补硬膜,还要考虑到术中可能发生脑膨出需要去大骨瓣减压,还有右侧额窦及前颅底骨折可能需要转移带蒂筋膜瓣修补,因此应该采取右额颞大骨瓣开颅更加合理。可以合理利用头皮伤口,把右额部纵形伤口延长并切开至右额颞,再在发际内向左额颞方向附加半冠状切口,相当于形成一个右额颞冠状切口,以便右额颞骨瓣开颅,有利于术中探查处理各种情况。
2. 开放性骨折的处理问题:
既往对开放性颅骨骨折一般都主张清创摘除骨折片。但2006年版美国颅脑创伤手术指南认为,开放性颅骨骨折凹陷深度大于颅骨厚度需手术,如果没有硬膜破裂的临床或影像学证据、无明显的颅内血肿、凹陷小于1cm、 不涉及额窦、穹隆面变形、伤口感染、气颅或大体伤口污染等情况,开放性凹陷性骨折可以非手术治疗。如果伤口无明显的污染,相对比较清洁,在伤后能够及时手术,可以考虑保留骨折片,但这有一定的争议性。例2手术指征明确,手术不仅清创,还清除硬膜外血肿和处理骨折。左颞顶散在的头皮伤口比较小,清创缝合后重新设计皮瓣是合理的。切开皮瓣暴露颅骨后应该骨瓣开颅,清除硬膜外血肿,彻底止血,无明显污染可以整复骨折复位。
3. 治疗原则的辩证认识问题:
颅脑损伤救治的各种指南规范是一种普遍性、纲领的文件,是指导治疗的基本原则需要遵循的。但指南可能无法涵盖每个患者的特殊病情,因此也需要在指南指导下的个体化精准治疗。个别成功的病例尚不能作为普遍规律推广。所谓的颅骨锁孔手术是为了减轻开颅损伤的一种方式。但对急性颅脑损伤来说,特别是开放性损伤,手术不单纯是清除血肿,还要考虑清创、彻底止血、修补硬膜或颅底重建、甚至去大骨瓣减压等,不适合采用锁孔手术。文中所说的“尽可能避免骨瓣开颅”这种表述不准确,应该是骨瓣开颅后尽量避免去骨瓣减压,因为儿童的头颅仍在生长发育中,颅骨缺损后期处理也是一个问题。
杨朝华 教授
颅脑创伤专业组组长
四川大学华西医院神经外科




