
今日与大家分享的是《正海-妙术视界》第一百三十八期,由沈阳医学院附属铁煤集团总医院神经外科孙怀宇主任带来的精彩手术讲解:“神经内镜辅助下小脑血肿清除手术”。欢迎观看、分享。
孙怀宇,主任医师,沈阳医学院附属辽宁省健康产业集团铁煤总医院(三级甲等)神经外科主任,中国医科大学博士研究生,沈阳医学院临床教授,硕士研究生导师。辽宁省医学会神经外科分会委员,辽宁省抗癌协会神经肿瘤分会委员,辽宁省生命科学学会神经外科分会委员,全国矿山系统神经外科专业委员会常委。辽宁省神经创伤疾病质量控制委员会委员,铁岭市神经创伤疾病质量控制委员会主任委员。辽宁省脑出血规范治疗协作组组长。
医学插图画家,人民卫生出版社纸数融合部人才库成员,人民卫生出版社签约兼职医学插图画家。中国医学插画在线联盟主席团专家。
微创外科(Minimally Invasive Surgery,MIS & Minimal Access Surgery,MAS)是通过微小创伤或微小入路,通过特殊设备和器械,在人体内部完成外科手术操作,以达到治疗目的的医学科学分支。
微创是一种理念。通过尽可能少或小的创伤,使患者得到安全有效的外科治疗,是医生不断追求的目标和永恒的主题。早在公元前4世纪,古希腊医学家Hippocrates告戒医生“不要作得过多”,其中就已经蕴涵了“尽可能小的创伤”的观念。1985年英国泌尿外科医生 Payne 和Wickham在内镜治疗泌尿道结石的报道中首次使用minimally invasive procedure一词,中文的词义为“微侵入”或“微侵袭操作”;根据字义的内涵理解和中文的精练与习惯,minimally invasive被译为“微创”并且被广泛采用。
微创外科是临床医学界跨世纪的高新科技,其最杰出、最典型的代表是内镜技术。它是光电领域现代高科技与现代外科学结合产生的一场外科领域技术革命。
早在1806年,Philipp Bozzini就发明了内镜,并逐渐应用于临床多个专业。1918年,Dandy应用膀胱镜观察脑室,并将内镜命名为“神经内镜”。临床上常用的神经内镜包括硬性内镜和软镜,后者的发展经历了光导纤维内镜和电子软镜两个阶段。神经内镜手术已成为现代微侵袭神经外科的主要发展方向之一。

单人双手操作神经内镜脑出血手术

双人三手操作神经内镜脑出血手术
1. 传统枕后开颅血肿清除手术
2. 立体定向置管血肿引流手术
3. 神经内镜辅助血肿清除手术
传统枕后开颅小脑血肿清除手术需要较大的头皮和颅骨切开范围,才能达到满意的深部暴露,手术时间相应延长。
立体定向小脑血肿内置管引流手术属于非直视手术,由于不同病人小脑表面枕骨面与小脑幕的角度差异很大,枕肌和皮肤的厚度差异也很大,所以横窦下方小脑血肿穿刺需要精确计算和丰富的经验。
锁孔入路神经内镜辅助小脑血肿清除手术属于直视下手术,具备开放手术的一切优势,包括:一次清除血肿,解除占位效应,迅速恢复正常ICP和CFP,止血可靠;同时还具备微创手术的优势,包括:创伤小、并发症少、手术时间短、成本低、恢复快等。
下面汇报三例神经内镜辅助下小脑出血锁孔入路血肿清除手术病例。
孙怀宇主任:神经内镜辅助下小脑血肿清除手术1 孙怀宇主任:神经内镜辅助下小脑血肿清除手术2
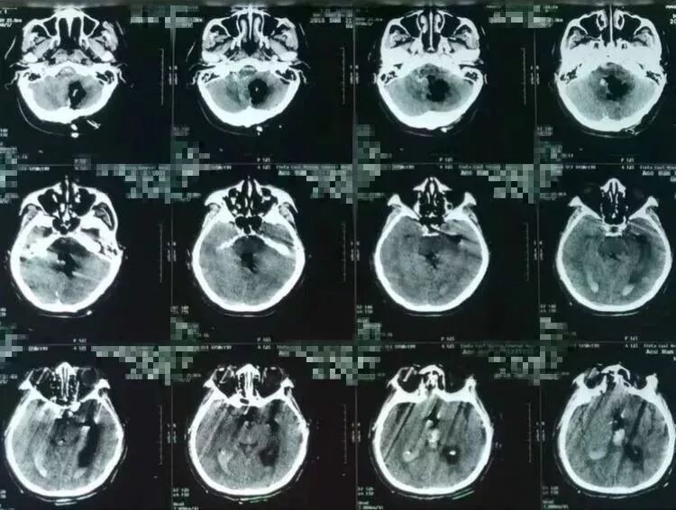
突发意识障碍3小时,既往有高血压病史数年。入院后病人自主呼吸,GCS=6,瞳孔正常。CT提示右侧小脑半球深部脑内血肿,破入IV脑室和III脑室。

急诊行右枕旁正中锁孔入路神经内镜辅助下血肿清除手术。手术取左侧公园躺椅位,头低且左偏,枕部显露充分。手术取枕动脉内侧纵行直切口,长约5.0cm,枕骨鳞部开圆形直径2.0cm骨孔。

术中顺利清除脑内和IV脑室内血肿,可见中脑导水管内有血肿,打通中脑导水管,中脑水管因血肿原因扩张,直至清除三脑室内血肿,清除IV脑室出口血肿,责任血管位于血肿后上壁,确切电凝后术闭。

术后病人生命指征稳定,瞳孔正常,自主呼吸正常,意识障碍较术前改善。复查头CT可见小脑内、IV脑室和III脑室内血肿清除满意。

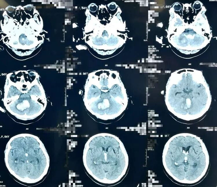
突发头痛2小时入院。既往高血压病史多年。入院后意识障碍逐渐加深,自主呼吸,节律不整齐,瞳孔正常大小。CT显示小脑蚓深部大量脑内血肿,IV脑室积血塑形,III脑室及侧脑室内积血。

手术行左侧旁正中入路,应用锁孔通道技术,骨孔直径2.5cm,皮层通道1.5cm,先用内镜清除血肿,ICP下降,显微镜下清除IV脑室内积血,责任血管止血可靠,术毕。


术后病人意识水平明显改善,刺激睁眼,双侧肢体自主活动。复查头CT显示小脑血肿清除满意。

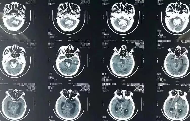
突发头痛,意识不清1小时。既往高血压病史多年,未系统治疗。自主呼吸深大,瞳孔正常大小。CT显示小脑蚓深部大量脑内血肿,IV脑室受压移位,III脑室及侧脑室内积血,左侧丘脑少量出血。
术后病人意识水平明显改善,刺激睁眼,双侧肢体自主活动。复查头CT显示小脑血肿清除满意,左侧丘脑内血肿未见增加,治疗中…

手术行枕下正中入路,应用锁孔通道技术,吸除脑内血肿,进一步清理IV脑室内积血,责任血管止血可靠,术毕。

IV脑室内积血冲洗干净,可见IV脑室底诸结构。

骨孔直径2.5cm(图3白色圈为骨孔范围),皮层通道直径1.5cm(图3黄色圈为皮层通道直径)。

术后病人生命指标稳定,呼吸节律正常,瞳孔正常,意识水平较术前明显好转。复查头CT可见血肿清除满意。
小结小脑出血不同于幕上脑出血,主要体现在以下几个方面:
1. 后颅窝空间有限,代偿空间小,解剖结构重要,小脑出血后病情变化很快。
2. 小脑出血有占位效应后直接压迫脑干,致使病人意识障碍和呼吸节律改变,甚至呼吸停止。
3. 小脑出血可以压迫IV脑室和中脑水管,易导致急性梗阻性脑积水。
4. 小脑出血量超过10ml就具备了手术指征。
5. 在各国历年的脑出血外科治疗指南中,小脑出血手术的推荐意见和指征没有争议,一致认为手术治疗值得推荐。
6. 小脑出血的外科手术治疗后效果肯定,神经功能缺失相对较轻。笔者曾经对若干例深昏迷自主呼吸停止的小脑出血病人实施手术治疗,术后病人均自主呼吸恢复,神志逐渐清醒。所以,对于大量小脑出血来说,短暂深昏迷和自主呼吸短暂停止不是绝对手术禁忌症。
7. 传统小脑出血手术一般切口大,骨窗大,才能满足深部术野的暴露。而神经内镜辅助下的小脑出血手术可以实现“锁孔微创技术”,不需要过大的手术入路,依然可以达到可靠有效的治疗目的和效果。
8. 神经内镜锁孔入路小脑出血手术耗时短、创伤小、成本低、恢复快。




