提示
“浙二神外周刊”不定期接收外院投稿,审核后发表。欢迎各专业同道联系我们,分享精彩病例、研究热点或前沿资讯。投稿请联系:shishi74@163.com
病史简介
患者,男,17岁,因“双下肢无力伴麻木1月余”于2018-03-29入院。
患者于1月前无明显诱因下出现双下肢麻木,以右下肢为主,上楼梯时更甚,当地医院查腰椎MRI提示:T11-L1椎管内占位性病变。为求进一步诊疗来浙医二院门诊,门诊收住入院。
入院查体:双上肢肌力Ⅴ级,右下肢Ⅳ级,左下肢Ⅴ-级,肌张力正常,双下肢浅感觉减退,深感觉正常,病理征阴性。
诊疗经过
入院后查腰椎增强MRI(2018-04-02)提示:胸10-腰1椎体水平椎管内肿瘤,首先考虑室管膜瘤,椎管内多发播散转移。加行全脊柱及头颅增强MRI提示:小脑、第四脑室、颈、胸、腰段椎管内广泛播散转移灶。2018-04-04行[胸10-腰1]椎管内病损切除术,术中采用铣刀胸10-腰1全椎板成形打开椎管后,见脊膜膨隆,张力较高。显微镜下切开硬脊膜及蛛网膜,见脊髓表面覆盖红色肿瘤样组织,部分沿软膜播散,与脊髓边界欠清, 肿瘤色灰红,质软,部分呈粘稠液状,血供一般,整体约10cm*2cm*2cm大小,分块切除大部肿瘤后,发现肿瘤与终丝关系密切,离断终丝,逐步清除散在的粘连于蛛网膜及神经根的肿瘤。缝合硬脊膜,以二孔钛片回纳椎板重建椎管后结束手术,标本送常规病理检查。术后查体:双下肢肌力基本同术前,肌张力正常,双下肢浅感觉减退,深感觉正常,病理征阴性。
![]()
图1. 入院MRI检查。A、 B: 胸腰椎增强MRI提示胸10-腰1椎管内占位,考虑室管膜瘤(A: 矢状面,B: 横断面);C: 头颅增强MRI提示颅内转移灶;D颈椎增强MRI提示:颈髓亦有播散转移。
![]()
图2. 术后复查胸椎增强MRI提示胸10-腰1椎管内手术区未见明显肿瘤残留,可见胸6-10转移灶。
病理结果
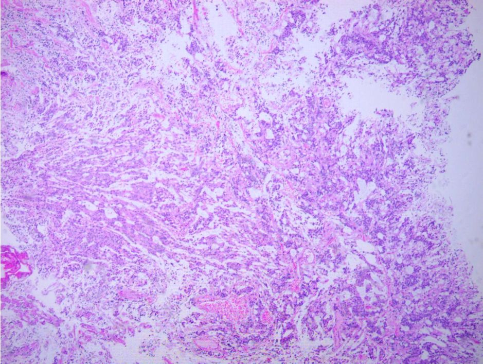
术后病理回报提示为“粘液型室管膜瘤,WHO I级”(图3)。
![]()
图3. 术后常规病理结果:(胸10-腰1椎管内)粘液乳头状室管膜瘤,WHO I 级。免疫组化结果:EMA -,GFAP +,S-100 -,Vimentin +,CD99 +,CD56 +,P53 -,Ki-67 <2%+,CK(AE1/AE3) -,EGFR -。
术后经康复科治疗后出院,当时建议患者行放疗,患者要求暂不放疗,予短期密切随访。术后两月(2018-06-06)复查增强MRI,未见原位复发及转移灶明显增大。术后9个月(2019-01-08)复查胸椎增强MRI提示:胸10-腰1椎体水平椎管内黏液乳头状室管膜瘤术后改变,原手术部位上方约胸7-9节段脊髓表面病灶对比前片(2018.06.06)病变增多增大,建议入院再次手术。
入院查体:
背部后正中可见一长约15cm的手术瘢痕,愈合可,上肢肌力Ⅴ级,下肢肌力Ⅴ级,肌张力正常,双下肢浅感觉减退,深感觉正常,病理征阴性。
诊疗经过:
入院后查全脊柱及头颅增强MRI (2019-01-23)提示:所示颈椎管内脊髓表面、脑干前方、四脑室后缘及小脑半球表面等部位的原有多发强化灶对比前片(2018-04-07)未见明显进展。 决定于2019-01-23全麻下行[胸6-8]椎管内病损切除术+[胸6-8]椎管减压术。术中全椎板切除胸6-8椎板及棘突,切开硬脊膜及蛛网膜后,见多发肿瘤,较大者有3枚,大小约3cm*1cm*1cm、2cm*1cm*1cm,1cm*1cm*1cm,呈灰红色,血供一般,质地稍韧,包绕神经根,部分侵袭突破软膜侵袭髓内,与脊髓边界欠清,沿相对边界尽量切除肿瘤达次全切除,缝合硬膜,去椎板减压。术后背部切口愈合可,四肢肌力Ⅴ级,肌张力正常,双下肢膝关节以下触觉减退,病理征阴性。
![]()
图4. A: 术后2月复查(2018-06-06)未见局部复发及转移灶明显增大;B: 术后9月复查(2019-01-08)见胸6-8水平椎管内转移灶明显增大,建议入院行手术治疗;C: 第二次术后复查(2019-01-25)切除胸6-8水平椎管内肿瘤,未见明显肿瘤残留。
![]()
图5. 胸6-8椎管内病损切除术术中所见。A: 切开硬膜见肿瘤位于胸6-8,脊髓背侧及两侧,色灰红,质地软,血供一般,脊髓受压明显;B: 沿肿瘤与脊髓边界大部切除肿瘤。
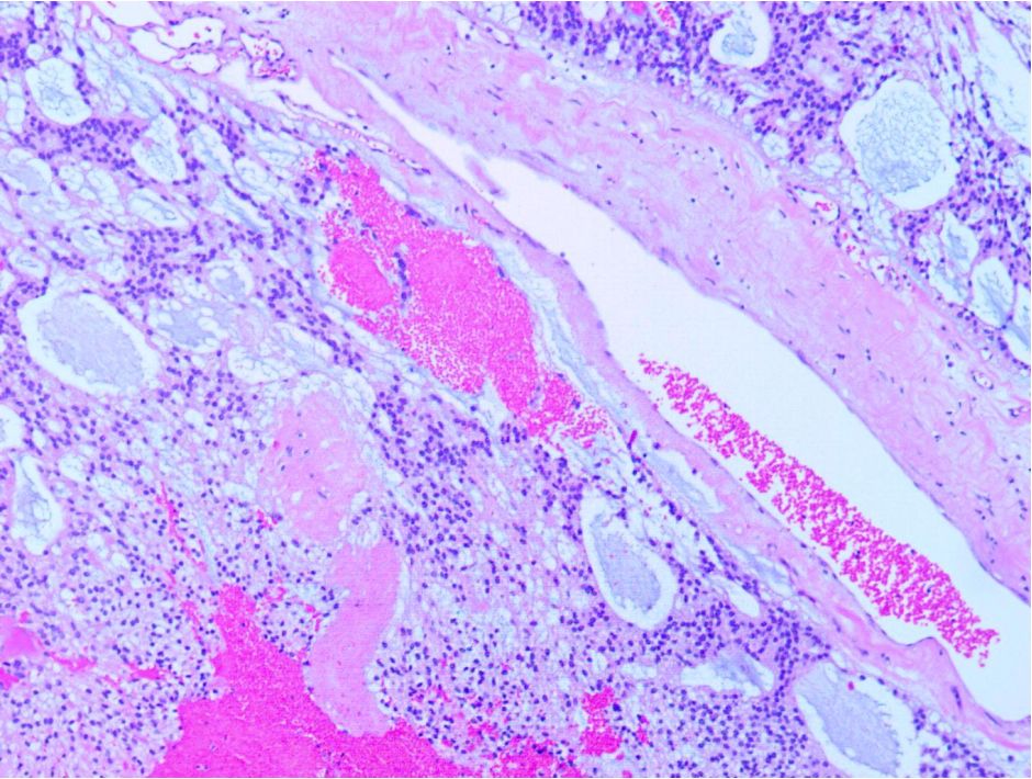
第二次术后病理与第一次相同(图6)。
![]()
图6. 第二次手术术后常规病理结果(2019-02-17):(椎管内)粘液乳头状室管膜瘤,WHO I 级。免疫组化结果:GFAP +,S-100 -,Vimentin +,CD99 +/-,CD56 +,CK (AE1/AE3) -,EMA -,Olig-2 -,P53 散在+,Ki-67 2-5%+。特殊染色结果:PAS -,Masson -,V.G染色 -。
讨论
粘液乳头状室管膜瘤(myxopapillary ependymoma, MPE)主要为髓外膜内室管膜瘤,生长缓慢,WHO I级。常分布于延髓、马尾及终丝部位,在颈髓、胸髓及脑室内也有报道。椎管内MPE的临床症状以慢性腰背部疼痛常见,亦可伴随感觉减退及根性疼痛。在MRI影像学上,椎管内MPE常表现为边界清楚的腊肠形占位,灶性强化。诊断金标准仍然依赖于组织病理学结果,MPE切片镜下可见假乳头状结构、富含粘蛋白的微囊以及胶原空泡,是区别于其它类型室管膜瘤的病理学特征。[1]
尽管MPE通常被认为是良性肿瘤,但已有文献[2-5]报道至少30%的MPE发生复发或转移,种植部位主要在椎管内或颅内,尚未发现累及其它系统的转移灶。Theresa Kraetzig等[2]曾报道了19例椎管内MPE,有11例(57.9%)发生椎管内或颅内转移,其中4例(36.4%)在首诊时已发现转移灶,7例(63.6%)为术后转移,术后首次发现转移灶的平均时间在首诊后20个月。最常见的转移部位为胸髓,共7例(63.6%),此外尚有2例(18.2%)转移至颅内。Damien C. Weber等[5]对183例脊髓MPE患者进行了为期平均60个月的随访研究,发现36.2%的患者出现椎管内或颅内转移。MPE发生转移的机制尚不清楚,Stephen C. Mack及其同事的研究[6]提示,MPE通过上调HIF1α、PI3K/AKT/MTOR等代谢相关通路增加转移几率。
手术切除为治疗椎管内MPE的首选方式。有文献指出手术时肿瘤碎片通过脑脊液播散将导致MPE转移[7-9],但也有部分MPE患者在首诊时已发生转移[2,5,10],因此全切肿瘤对于治疗MPE,降低复发及转移率尤为重要。放疗并不能避免全切肿瘤后原位复发或播散转移的发生[11];然而因为椎管内MPE较难达到完整切除[12],故术后辅助性放疗可以提高无进展生存率(progression-free survival, PFS),Damien C. Weber等对比了181例椎管内MPE患者(96例单纯行手术治疗与85例行手术及术后辅助性放疗)后支持上述观点[5]。化疗对于椎管内MPE的效果尚无明确结论[5]。首诊为单发的MPE,完整切除肿瘤可以治愈,术后可暂不行辅助性放化疗,密切随访。对于已发生转移的或术中未能全切肿瘤的椎管内MPE患者,手术加术后辅助放疗是理想的选择。[5]
以下因素可能影响椎管内MPE预后:
1)年龄。低龄(小于36岁)的患者出现MPE 播散的几率明显增高[5],Fassett及其同事[13]报道了26 例MPE患儿(平均年龄11岁) ,15例(58.3%) 在首诊时即发现椎管内转移,亦有研究[6]指出,低龄患者,尤其是儿童PI3K/AKT/MTOR通路活性较高,可能与MPE患儿的高转移率相关。然而年龄并不影响MPE的生存率,可能是因为高龄患者并发其它系统疾病的概率高于低龄患者,从而淡化了低龄增加MPE转移的效应。
2)手术切除程度。完整全切肿瘤可以显著降低MPE复发或转移的几率。[5]
3)术后辅助放疗。术后立即行辅助性放疗提高10年PFS至70%[5]。MPE可产生粘液样物质,增加了全切肿瘤的难度,因此辅助性放疗可以通过控制放射敏感的肿瘤细胞[12],抑制MPE的复发及转移。
参考文献
1. Jing Wu, Terri S. Armstrong, Mark R. Gilbert: Biology and management of ependymomas. Neuro Onco. 2016
2. Theresa Kraetzig, Lily McLaughlin, Mark H. Bilsky, Ilya Laufer, Metastases of spinal myxopapillary ependymoma: unique characteristics and clinical management. J Neurosurg Spine. 2018
3. Gilhuis HJ, Kappelle AC, Beute G, Wesseling P, Grotenhuis A, Boerman RH: Radiotherapy for partially resected spinal ependymomas: a retrospective study of 60 cases. Oncol Rep. 2003
4. Rezai AR, Woo HH, Lee M, Cohen H, Zagzag D, Epstein FJ: Disseminated ependymomas of the central nervous system. J Neurosurg. 1996
5. Weber DC, Wang Y, Miller R, Villà S, Zaucha R, Pica A, et al: Long-term outcome of patients with spinal myxopapillary ependymoma: treatment results from the MD Anderson Cancer Center and institutions from the Rare Cancer Network. Neuro Onco.2015
6. Stephen C. Mack, Sameer Agnihotri, Kelsey C. Bertrand, et al:Spinal Myxopapillary Ependymomas Demonstrate a Warburg Phenotype. Clin Cancer Res. 2015
7. Abdulaziz M, Mallory GW, Bydon M, De la Garza Ramos R, Ellis JA, Laack NN, et al: Outcomes following myxopapillary ependymoma resection: the importance of capsule integrity. Neurosurg Focus. 2015
8. Plans G, Brell M, Cabiol J, Villà S, Torres A, Acebes JJ: Intracranial retrograde dissemination in flum terminale myxopapillary ependymomas. Acta Neurochir (Wien). 2006
9. Rezai AR, Woo HH, Lee M, Cohen H, Zagzag D, Epstein FJ: Disseminated ependymomas of the central nervous system. J Neurosurg. 1996
10. Bandopadhayay P, Silvera VM, Ciarlini PDSC, Malkin H, Bi WL, Bergthold G, et al: Myxopapillary ependymomas in children: imaging, treatment and outcomes. J Neurooncol. 2016
11. Chan MD, McMullen KP: Multidisciplinary management of intracranial ependymoma. Curr Probl Cancer. 2012
12. Taylor RE. Review of radiotherapy dose and volume for intracranial ependymoma. Pediatr Blood Cancer. 2004
13. Fassett DR, Pingree J, Kestle JR. The high incidence of tumor dissemination in myxopapillary ependymoma in pediatric patients. Report of five cases and review of the literature. J Neurosurg. 2005
(本文由浙二神外周刊原创,浙江大学医学院附属第二医院神经外科任宇骋博士整理,朱永坚主任医师审校,张建民主任终审)




