
今天为大家分享的是《颅脑创伤-神经重症病例周刊》第106期,由佛山市三水区人民医院神经外科胡建军、元少鹏、麦剑培、钱卫添、廖伟强、邓妙峰、简志聪、陈耿树带来的:一例特殊类型急性创伤性硬膜下血肿演变及诊治经过,文末由天津医科大学总医院神经外科副主任兼NICU主任、“神外资讯中国颅脑创伤-神经重症专家组”委员江荣才教授对病例作出了精彩点评,欢迎观看、阅读。
患者,女,71岁,因“头颅外伤后头痛、头晕约5小时”于2018-12-21 15 :10入院。
患者于入院前约5小时晨运中因拉住栏杆时手滑导致向后摔倒致伤头部,以枕顶部为受力点,当时无昏迷,觉头痛,以枕顶部为主,呈持续性钝痛,非剧烈,伴头晕,为头部昏沉感,非天旋地转样,有恶心、呕吐过数次非咖啡样胃内容物,无肢体抽搐、偏瘫,无大小便失禁,自行回家后,由家属带至本院急诊诊治,完善头颅CT:1.右侧额颞顶部硬膜下血肿,中线略向左移位2.考虑少量蛛网膜下腔出血3.考虑两侧基底节及右侧放射冠区腔隙性脑梗塞4.脑白质变性,脑萎缩;两侧颈内动脉末端粥样硬化,予止血等处理,为进一步治疗急诊以"颅脑外伤"收入院。
患者既往有“原发性高血压2级 很高危”病史约3年,“急性ST段抬高型心肌梗死、冠状动脉支架植入后”病史约1年,长期服用“硫酸氢氯吡格雷片(波立维) 75 mg PO qn”等药物治疗,近期无心悸、胸痛不适发作,自诉监测血压在正常范围内。
T 37℃,R 20次/分, P 86次/分 Bp 180/90mmHg。枕顶部可见局部头皮挫伤,无破溃,神志清,GCS评分15分(自主睁眼,对答切题,遵嘱动作),双侧瞳孔左:右= 2.5mm:2.5mm,对光反射迟钝。颈软,无抵抗,肢体肌力Ⅴ级,肌张力正常。膝反射等生理反射存在,双巴氏征等病理征未引出。
辅助检查:静脉血常规、血栓弹力图、生化、凝血4项、肝功能8项、TNT、心肌酶5项、尿检、tHCY、血脂4项大致正常;DDi 5750 ↑ ug/L FEU;PRO-BNP 1849 ↑ pg/ml;S100 0.128 ↑ ng/ml。

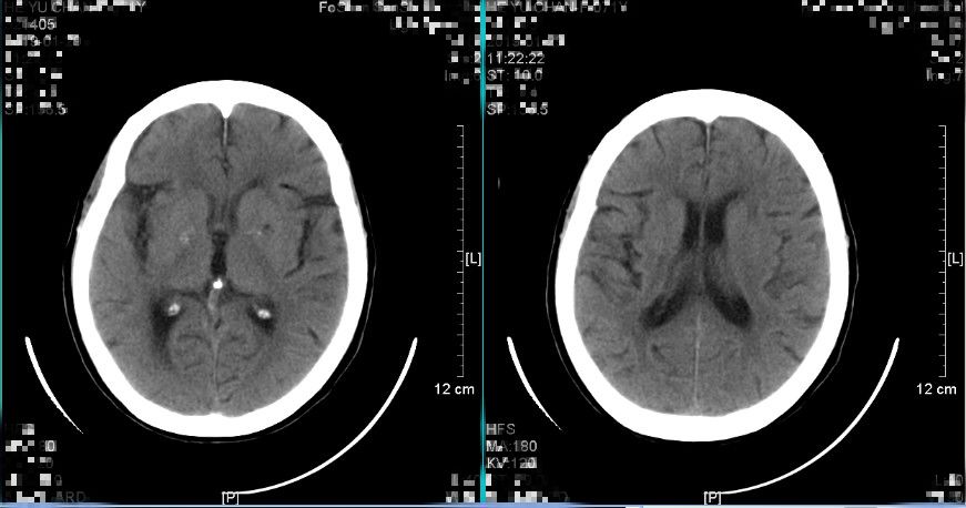
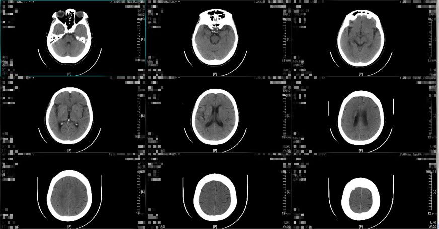
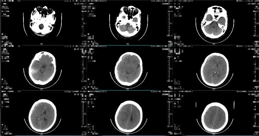
图1. 入院前急诊查头颅CT提示:1.右侧额颞顶部硬膜下血肿,中线略向左移位2.考虑少量蛛网膜下腔出血(2018-12-21 12:53)

图2. 入院前急诊查血栓弹力图(普通杯)

图3. 入院前急诊查凝血4项
中型颅脑损伤:右侧额颞顶部硬膜下血肿 枕顶部头皮挫伤2.高血压2级 极高危组3.冠状动脉支架植入后状态。
患者入院时受伤程度轻,无昏迷,GCS评分15分,提示脑挫伤轻微;入院时头颅CT提示沿硬膜下间隙分布的窄弧带样高密度影,呈断线样高低密度混杂影,中线结构向左偏移约0.5cm,最大血肿厚度约0.8cm,基底池无受压,血肿多位于侧裂附近额顶部,且患者为老年女性,脑萎缩提供了一定的代偿空间,综合考虑此病例为“早期快速自然消散”的特殊类型急性创伤性硬膜下血肿。详细与患者及其家属讲解病情后,采取保守治疗观察方案,密切观察生命体征变化,保持呼吸道通畅,密切观察神经系统体征,给予止血、维持水电解质平衡、控制血压等对症支持处理,未予脱水药物处理,拟伤后12小时再次复查头颅CT检查。
![]()
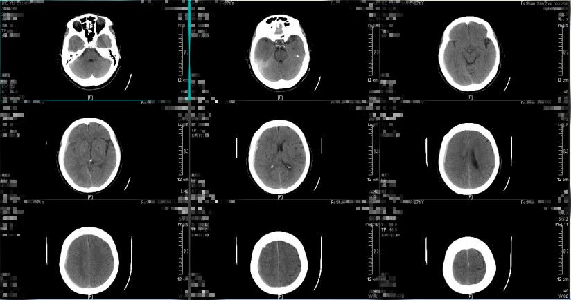
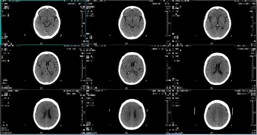
图4. 伤后约10小时复查头颅CT提示:硬膜下血肿较前减少消散,以低密度血肿减少为主,中线结构偏移程度减轻。(2018-12-21 20:16)
患者入院后仍保持清醒状态,头痛等症状无继续加重,根据复查头颅CT检查提示硬膜下血肿较前减少,最大血肿厚度约0.5cm,中线向左偏移约0.3cm,提示此病例为“早期快速自然消散”的特殊类型急性创伤性硬膜下血肿,继续予保守治疗观察。

图5. 入院后第二天复查头颅CT提示:硬膜下血肿继续较前减少消散,中线结构大致居中。(2018-12-22 14:53:08)

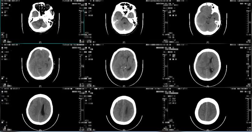
图6. 入院后第九天复查头颅CT提示:亚急性硬膜下血肿形成,血肿量较前增多。(2018-12-29 15:36:23)
患者入院后第七天至九天诉头痛较前稍有加重,以夜晚为主,无呕吐,神志仍清醒,精神状态尚可,复查头颅CT提示亚急性硬膜下血肿形成,最大厚度约0.9cm,中线向左偏移约0.5cm,环池尚清晰,右侧稍有受压,评估有硬膜下血肿继续进展的趋势,考虑与患者年龄大、长期服用氯吡格雷抗栓治疗等因素有关,详细与患者及其家属讲解病情及治疗方案,选择予以立普妥药物治疗,拟治疗1周复查头颅CT,如继续进展予外科手术治疗,根据病情动态复查头颅CT检查评估颅内情况。
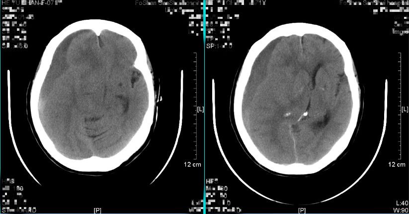
患者于2019年1月3日早上8点左右出现意识障碍,神志模糊,GCS评分10分,考虑硬膜下血肿继续增多、颅压高引起,予20%甘露醇250ml 快速静滴并同时送至CT室复查头颅CT提示(图7、图8):亚急性硬膜下血肿继续较前增多,最大厚度约2cm,中线向左偏移大于1cm,环池受压,有明确的手术指征。经脱水药物处理后,患者神志转清,GCS评分上升到14分,再次与患者及其家属讲解病情及治疗方案,选择予微创手术治疗方案。遂于当天早上9点左右行右额部微创针穿刺亚急性硬膜下血肿引流术,术中予生理盐水反复置换冲洗,术后行定时开放、夹闭引流,行阶梯性减压,利用脑复张促进血肿引流。

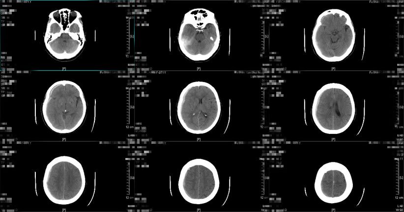
图7.(2019-01-03 08:34:45)

图8
留置头部微创针引流管引流1天,引流量约200ml,患者神志清,头痛等症状减轻,复查头颅CT提示亚急性硬膜下血肿大部分消除,最大厚度约0.2cm,中线大致居中,环池清晰,手术效果明显,予拔除微创针引流管,继续与立普妥药物治疗。

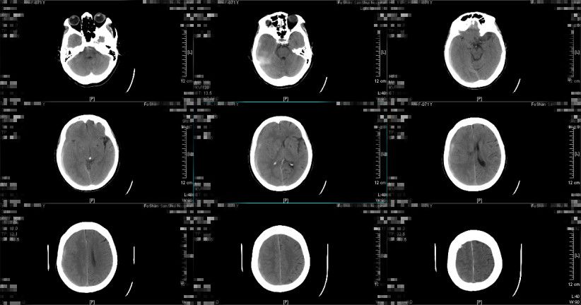
图9. 术后24小时复查头颅CT提示:亚急性硬膜下血肿大部分消除,中线大致居中,环池清晰。(2019-01-04 10:01:05)

图10. 术后9天复查头颅CT提示亚急性硬膜下血肿基本吸收。(2019-01-12 16:17:43)
经治疗后,患者神志清,头痛等症状缓解,无遗留神经系统缺损体征,复查头颅CT提示亚急性硬膜下血肿基本吸收,病情稳定,于2019年1月14日出院。
2019年1月29日门诊复查头颅CT(图11、图12)如下:提示亚急性硬膜下血肿已吸收,未见新发血肿形成。

图11

图12
急性硬脑膜下血肿占外伤性颅内血肿的比例很高,约占40%,随着CT的进一步普及和早期动态颅脑动态CT检查的逐渐开展,急性硬脑膜下血肿有早期快速自然消散的病例,该病例在神经外科鲜见,由于早期识别,采用了积极的保守治疗,避免了开颅手术给患者带来的巨大创伤及经济负担。
结合文献及本科室病例,总结该类型病例的特点:
①受伤程度较轻,昏迷时间不长,入院时大多数GCS≥13分,因此病情相对较轻。
②中线结构无移位或移位<10 mm;
③基底池无受压或受压较轻:
④血肿量多<40 ml,且脑挫裂伤较轻;
⑤部分患者首次CT检查可见沿硬膜下间隙分布的窄弧带样高密度影,有的呈断线样高低密度混杂影,有的与颅骨内板局部或全部有低密度间隙;
⑥急性硬膜下血肿多位于侧裂附近的额颞或颞顶部,此处较大的蛛网膜下腔间隙利于血肿的消散和再分布;
⑦急性硬膜下血肿合并骨折时,为其再分布和快速自然消散提供新途径,使血肿顺压力差由颅内到骨膜下;
⑧动态复查头颅CT或MRI,可见到硬膜下血肿消散的全过程;
⑨平均年龄偏高,以45岁以上中老年人居多。
综合国内外文献考虑该类型急性硬膜下血肿的演变的原因如下:
①脑脊液经蛛网膜破口进人蛛网膜下腔对血肿溶解稀释.在硬膜下腔再分布,并经破口回流入蛛网膜下腔吸收;
②急性脑肿胀和颅内高压对血肿的挤压,利于其溶解稀释及脑脊液返流;
③急性硬膜下血肿溶解后重新分布分散于整个硬膜下腔,形成很薄的薄层.致使CT因分辨率达不到而出现“完全吸收”的假象,或出现于腔内其他部位
④存在伴有硬脑膜破裂的颅骨骨折,血肿通过硬膜破口和骨折缝被挤出颅腔达头皮软组织下,快速吸收或形成头皮血肿,或者随脑脊液漏而快速消散。
本病例早期复查头颅CT提示硬膜下血肿大部分减少,后来逐渐演变为亚急性硬膜下血肿,并增加明显,可见此类型病例血肿减少是消散或再分布,非吸收。
以前,颅脑创伤主要发生于年轻人,而现在,颅脑创伤患者的平均年龄正在增加,超过50%的TBI患者已经超过50岁。在这些老年患者中,受伤前使用药物治疗(如口服抗凝剂或者血小板抑制剂)会导致出血风险增加。根据一项分析,TBI患者服用华法林其不良结局发生的风险是不服用华法林患者的两倍。其他的一些研究表明尽管在较轻微的TBI患者中,伤前服用抗血小板药物发生创伤性ICH的风险比未服用抗血小板药物的患者高两倍,老年人的风险明显升高。伤前服用氯吡格雷或华法林是创伤性ICH进展和预后不良的独立预测因子。
本病例由早期的急性硬膜下血肿向亚急性硬膜下血肿转变,并由减少向逐渐增多转变,考虑与患者伤前长期口服氯吡格雷抗血小板聚集有关,提示对于这一类型的患者有血肿继续进展及复发的高风险,临床工作中需要进行更严密的观察及提高动态复查颅脑CT的密度。
目前,慢性硬膜下血肿(CSDH)主要的治疗方法仍是手术,且钻孔引流为主的CSDH手术以其方便、安全和快捷的特点已经成为全世界神经外科医生的首选,但该病的术后病死率、致残率、复发率都较高,而老年CSDH患者体弱多病,术后易并发感染、肺水肿、脑水肿及各脏器功能不全,其病死率更加高。相关描述性研究结果提示,CSDH为炎症反应性疾病,白细胞介素-6、IL-10等炎症介质参与其中,而血管生成在整个过程中发挥了关键作用,他汀类药物调节炎症与血管生成可能促进CSDH的吸收与转归。日前国内张建宁教授团队对阿托伐他汀治疗CSDH的随机对照双盲II期临床试验表明,每日服用20mg阿托伐他汀治疗慢性硬膜下血肿安全而有效,特别适用于年龄>65岁或血肿体积>30ml的患者。且已有多篇文献报道他汀类药物治疗也可预防术后慢性硬膜下血肿复发。
本病例治疗中出现亚急性硬膜下血肿形成,基于慢性硬膜下血肿的治疗经验,曾尝试予他汀类药物治疗亚急性硬膜下血肿,但出现血肿的继续增加,及时调整治疗方案,予手术治疗,后辅助予他汀类药物预防血肿的复发,后续动态复查头颅CT提示血肿吸收并无新发血肿形成。对于亚急性硬膜下血肿,他汀类药物治疗仍需更多的经验指导,并选择合适的病例进行治疗;对于预防亚急性硬膜下血肿术后复发,可选择他汀类药物治疗,降低术后血肿复发率。
精彩点评
急性硬膜下血肿被认为是急性脑外伤最常见类型,其中多数合并蛛网膜下腔出血或脑挫裂伤。如果GCS大于13分,手术死亡率可为0;如果GCS偏低,手术死亡率超过30%。2016年美国Neurocrit Care一篇文献认为,从病程考虑,该部位血肿从形成到被发现如果迁延超过3天小于20天,就定义为亚急性血肿;如果迁延超过21天,则为慢性硬膜下血肿。这种定义是否完全正确,在多数教科书里语焉不详。
治疗就如作者所述,以手术治疗为主。近年我们开发的阿托伐他汀治疗慢性硬膜下血肿已经明确对部分患者有效且安全。但在急性或亚急性硬膜下血肿的应用没有报道。我们自身经验,选择GCS较高,基础疾病不严重,允许观察的患者,可以他汀治疗急性或亚急性硬膜下血肿,已有成功案例。但考虑血肿可能会增大导致病情恶化,因此一定是收患者入院、做好手术准备且有严密监测保证患者安全条件下才可以选择保守治疗。
本例患者出血后等待约8天施以他汀治疗,治疗6天后血肿增加,然后转钻孔引流手术,术后继续给予他汀防止复发,最后结果良好。病例治疗并无不妥。这是结合病情轻重和家属社会意愿的恰当决策,关键是有良好的保护措施保证这种保守治疗的顺利安全进行。如果是内科或无条件保证患者安全的科室,绝对不可如此决策,而应交患者到有条件做严密监护和急诊手术的神经外科治疗观察。
这也是我作为他汀治疗慢性硬膜下血肿主要发明人和专利持有人一直以来坚持的原则。为此建议:
1. 急性或亚急性硬膜下血肿意识良好症状不重,如果拟选择保守治疗,可以跟家属做良好沟通,在做好手术准备和严密监护条件下,然后可以早期就开始阿托伐他汀治疗;2周左右复查,基本可以确定是否有疗效。无效时应该转手术或调整方案;
2. 无论是急性亚急性还是慢性硬膜下血肿,只有部分患者对他汀治疗反应良好,交待病情时需要心中有数,作为调整治疗方案的准备;
3. 冯华教授团队已经发表文献支持术后应用他汀预防硬膜下血肿复发,但尚需要大病例数据支持。
江荣才 教授
副主任兼NICU主任
天津医科大学总医院神经外科




