【Ref: Caruso R, et al. Int J Surg Case Rep. 2017;33:41-43. doi: 10.1016/j.ijscr.2017.02.025. Epub 2017 Feb 20.】
多形性胶质母细胞瘤(GBM)是原发性脑肿瘤中恶性程度最高和侵袭性最强的一类,但确实也有少数患者生存期较长,甚至在手术切除肿瘤后存活几十年。近期,意大利罗马大学神经病学和精神病学系的Riccardo Caruso等报道1例多形性胶质母细胞瘤术后长期生存无复发的病例,文章发表在2017年2月的《Int J Surg Case Rep》在线。
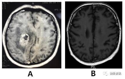
1994年,44岁的男性患者,因剧烈头痛伴左臂无力1月余就诊;头颅MRI成像显示右额后深部肿瘤(图1A),施行手术切除肿瘤。手术过程较为顺利,肿瘤标本的病理学诊断为多形性胶质母细胞瘤。术后患者接受全脑放疗和化疗。随访3周时发现左上肢无力症状消失。3月时头颅CT复查未见肿瘤复发。以后定期复查头颅MRI,均提示肿瘤未复发(图1B),直至2016年7月头颅MRI复查仍未见复发,而患者术后已存活22年。请3位神经病理学家复读病理组织切片,证实为典型的恶性胶质瘤。

图1. 患者术前与术后的头颅磁共振成像比较。A. 术前MRI显示肿瘤位于右额叶后部深处,增强扫描时呈强化灶,内有坏死区,周围脑组织水肿;B. 术后MRI复查未见肿瘤复发。


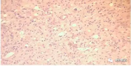
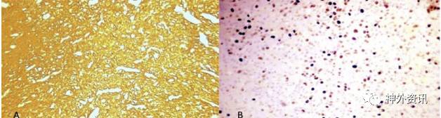
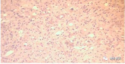
图2. 病理学检查结果。上图:HE染色示伴有微囊性变的胶质瘤多细胞簇,核仁明显,核有高度异型性。下图:A.GFAP免疫反应性强烈;B.免疫染色显示Ki-67增殖指数高。
临床上发现,一小部分恶性胶质瘤患者的生存期大于3年,甚至还有大于10年;该患者术后22年肿瘤未复发,确实罕见。作者认为,少数GBM患者生存期较长可能与年轻、手术切除肿瘤彻底、术前KPS评分良好、术后的放疗化疗有效以及胶质瘤的分子病理学组成相关。
(福建医科大学附属第一医院陈小勇编译,复旦大学附属华山医院寿佳俊博士审校,《神外资讯》主编、复旦大学附属华山医院陈衔城教授终审)




