【Ref: Desjardins A, et al. N Engl J Med. 2018 Jul 12;379(2):150-161. doi: 10.1056/NEJMoa1716435. Epub 2018 Jun 26.】
自从1991年采用转基因单纯疱疹病毒在治疗恶性胶质瘤中取得一定效果后,溶瘤病毒受到广泛关注。溶瘤病毒是病毒进行基因改造,能选择性地感染肿瘤细胞,导致细胞死亡并释放抗原。同时,激发机体免疫反应,诱导免疫细胞向肿瘤细胞攻击。如设计适当时,病毒可以启动肿瘤细胞表达新的病毒抗原或增强现有可识别的肿瘤抗原的产生,提高宿主免疫系统对肿瘤细胞的识别。
美国杜克大学医学中心神经外科的Annick Desjardins等在2018年6月的《The New England Journal of Medicine》上报道采用基因编组技术开发靶向胶质细胞瘤的脊髓灰质炎病毒治疗幕上复发胶质母细胞瘤(GBM)的研究。
脊髓灰质炎病毒是单链含RNA的小核糖核酸病毒,没有包膜,可在被感染的细胞中复制,并能破坏被感染的细胞。该病毒具有嗜神经性,能通过在胶质母细胞瘤上表达增加的受体-CD155进入细胞。该研究使用的病毒,称为重组非致病性脊髓灰质炎-鼻病毒嵌合体(PVSRIPO),是对脑胶质瘤细胞具有靶向性的脊髓灰质炎病毒血清I型减毒Sabin疫苗株。
在5年时间内,研究纳入经组织病理学检查诊断为有可测量病灶、肿瘤增强部分≥1cm、最大维度≤5.5cm的成人幕上复发GBM患者。作者在治疗前给患者接种脊髓灰质炎疫苗,确保在滴注PVSRIPO到神经胶质瘤时存在脊髓灰质炎病毒血清I型免疫能力,降低实验病毒向肿瘤之外传播的风险。共设计7个剂量疫苗,首先是剂量递增阶段,然后进入剂量扩大阶段。
2012年5月至2017年5月,61例患者入组并接受至少一剂PVSRIPO。将剂量-1(5.0×107 TCID 50)定为剂量递增阶段的初始剂量。在此阶段,作者观察到剂量限制性毒性作用,即给药剂量为5(1010 TCID50)的患者在给药导管拔除后立即出现4级颅内出血。在剂量扩张阶段,19%患者有3级或以上与PVSRIPO相关的不良并发症。接受PVSRIPO治疗的患者在36个月时总体生存期达到21%(95% CI,11~33个月),对照组仅为4%(图1)。没有任何因素可以预测持续缓解的患者是属于哪种亚型。93%以上的毒性属于1级或2级。在10%以下患者中观察到偏瘫、头痛和癫痫发作等的3级毒性反应。

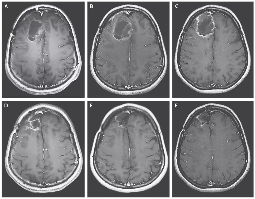
图1. 给予溶瘤病毒后的MRI影像学表现。A.MRI显示接受剂量1(108 TCID50)的PVSRIPO时肿瘤大小;B.PVSRIPO输注2个月后肿瘤扩张;C.输注6个月后肿瘤有所缩小;图D和E分别为给PVSRIPO后12个月和24个月时的结果;F.输注病毒后58个月时的肿瘤残余腔,显示肿瘤缩小。
综上所述,在WHO IV级的复发恶性胶质瘤患者中,PVSRIPO的瘤内输注治疗不会造成神经毒性。接受PVSRIPO免疫治疗患者在24和36个月时的生存率显著高于对照组。溶瘤病毒在初步的临床试验中显示良好的疗效,但方法上仍然存在某些问题。如局部给药如何与全身免疫相互作用,使远离注射部位的病灶得到识别和消除?在体内恢复病毒的致病性或复制能力是否存在危险?是否应该插入一个破坏基因,即允许化疗药物杀死病毒的基因来控制病毒意外扩增?当刺激持续存在时,如何控制过度反应?虽然需要解决的问题很多,但是这种方法展现出的效果是值得进行深入研究的。
(墨尔本大学马辰凯编译,《神外资讯》主编、复旦大学附属华山医院陈衔城教授审校)




