2018年06月20日发布 | 700阅读

《JNS Pediatrics》2018年6月文章速览

张晨冉

上海交通大学医学院附属新华医院

本期编译:

张晨冉、茅伟伟

(上海交通大学医学院附属新华医院小儿神经外科)

田帅伟

(海军军医大学长征医院神经外科)


审校:

张晨冉、马 杰

(上海交通大学医学院附属新华医院小儿神经外科)


主译简介

张晨冉医学博士,副主任医师,上海市医学会神经外科分会委员,美国神经外科医师协会(AANS)会员,国际小儿神经外科学会(ISPN)会员,美国田纳西州孟菲斯Le Bonheur儿童医院和St Jude儿童研究医院(儿童肿瘤治疗全美排名第一)访问学者,师从美国AANS主席(2016-2017)、著名小儿神经外科脑肿瘤专家Frederick A. Boop教授。 2008年硕士毕业于瑞金医院神经外科,导师为孙青芳教授,2008年-2016年在长征医院神经外科工作,师从卢亦成和胡国汉等教授,2016年5月到新华医院小儿神经外科工作。



6月文章速览


1. 单中心研究:经蝶手术治疗儿童颅咽管瘤的疗效分析

Therapeutic outcomes of transsphenoidal surgery in pediatric patients with craniopharyngiomas: a single-center study. 

DOI: 10.3171/2017.11.PEDS17568.

手术视频地址 https://vimeo.com/251496465

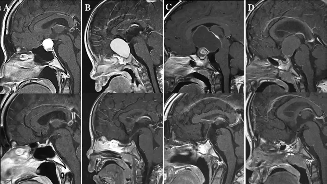
儿童起病的颅咽管瘤是源自鞍内和鞍旁的罕见胚胎源性肿瘤,尽管肿瘤组织学为WHO I级,患儿有较高的存活率(90-95%),但由于肿瘤压迫视神经和下丘脑-垂体轴引起的神经内分泌并发症,存活患儿的生活质量(QoL)严重受损;同时,儿童起病的颅咽管瘤具有更高的致死率,往往继发于脑血管事件死亡。因此,基于开颅手术治疗颅咽管瘤的经验,部分术者反对全切肿瘤(GTR)。来自日本东京的Shozo Yamada教授回顾性分析了1990年至2015年间由他主刀完成的65例(45例为首次手术,20例为再次手术)经蝶手术(TSS)颅咽管瘤的疗效,手术的目标是GTR。他的经蝶手术经历了以下术式演进:显微镜下TSS(唇下-蝶窦入路<10岁,鼻蝶入路>10岁)(2000年以前),内镜辅助下TSS(2000年-2012年),纯内镜下TSS(2012年后)。59例肿瘤(91%)获得GTR,首次手术组的GTR高于再次手术组;GTR后,12%的病例再次复发(平均随访时间7.8年,首次GTR组复发率低于再次GTR组)。首次手术组中,80%的患儿术后有垂体功能低下,83%出现尿崩(DI),而再次手术组全部患儿术后出现上述两种并发症。在57例术前没有肥胖的患儿中,9%的原发手术组和21%的再次手术组患儿术后出现肥胖,提示尽管积极切除肿瘤,下丘脑功能紊乱似乎与GTR关系不大。该研究结果初步认为TSS首次治疗儿童颅咽管瘤要力争全切,当肿瘤无法全切或全切后复发时,推荐行放疗。

经蝶手术治疗鞍内、鞍上、鞍膈上和脑室内型颅咽管瘤手术前后对比


2. 首诊时已播散的儿童中枢神经系统肿瘤的外科治疗策略

Surgical decision-making in the management of childhood tumors of the CNS disseminated at presentation.

DOI: 10.3171/2018.1.PEDS17456.

首诊时已播散的儿童中枢神经系统(CNS)肿瘤较罕见,关于其临床特征、治疗策略和预后分析等方面的文献很少。这类患者的外科治疗极富挑战性,尤其是脑积水的处理。作者分享了他们诊疗首诊时已播散的儿童CNS肿瘤的经验,并与局限性肿瘤进行比较。该研究回顾性分析了2003年至2016年儿童神经外科中心收治的361例患儿的临床资料,肿瘤首诊时已播散53例,肿瘤局限308例。纳入分析5类肿瘤:髓母细胞瘤(播散组29例,局限组74例)、原始神经外胚层肿瘤(PNET) (8例,17例),非典型畸胎样横纹肌样瘤(ATRT)(8例,22例),毛细胞星形细胞瘤(PA)(6例,138例)和室管膜瘤(2例,57例)。肿瘤播散患者和肿瘤局限患者的随访时间无明显差异(64.0vs74.5月)。综合分析上述5类肿瘤患者的数据,首诊时肿瘤已播散的患者脑脊液分流风险高,手术并发症多,肿瘤全切率低。多因素分析发现,没有任何因素可以预测脑室外引流(EVD)后是否需行永久性脑脊液分流术;两种分流术式VP分流和内镜下第三脑室造瘘术(ETV)比较,无明显差异。作者认为肿瘤类型和首诊时已播散是影响患儿预后的主要因素。儿童CNS肿瘤合并脑积水的处理富有挑战性,需要前瞻性研究进一步明确最佳分流方式。

髓母患儿首诊时(A-E)和5年后(F-J)复查的影像学资料


3. 病例报道:脊髓脊膜膨出并腹裂2例

Coincident myelomeningocele and gastroschisis: report of 2 cases.

DOI: 10.3171/2017.11.PEDS17540.

脊髓脊膜膨出和腹裂是儿外科手术中相对常见的病种。然而,两种疾病同时发生却极其罕见。作者报告了2例出生时即同时出现脊髓脊膜膨出和腹裂的患儿,并为其中一名患儿进行了全基因组测序,确定了可能导致该疾病的3个突变: FAM171B和ABCA1的纯合突变,COL4A5的半合子(X-linked)突变。其中,FAM171B和ABCA1都可能与疾病发生相关。

腹裂并腰骶部脊髓脊膜膨出患儿的术中照片


4. 颞叶巨大蛛网膜囊肿儿童的神经发育评估

Neurodevelopmental outcomes in children with large temporal arachnoid cysts.

Doi:10.3171/2017.11.PEDS17490.

颅内蛛网膜囊肿(AC)常常是在评估脑外伤、癫痫和发育迟缓时行影像学检查偶然发现的,儿童AC的发病率大约2.6%,成人AC的发病率为1.1%到2.3%,提示部分AC可自行消失。颞叶AC最常见,按照Galassi分型分以下三型:I型囊肿(局限于中颅窝,呈梭形),II型(体积中等,呈三角或四边形,占据中颅窝前中部,沿侧裂生长),III型(体积巨大,卵圆形或圆形,充满整个中颅窝,可向大脑半球生长波及多个脑叶)。I型囊肿不需治疗,II型和III型囊肿是否需要治疗尚存在争议,且对这些颞叶巨大蛛网膜囊肿(TAC)患者的神经发育研究也很有限。以色列的研究团队选取了该中心25例TAC患儿(其中男性19例)进行研究,GalassiⅡ型 9例(36%),GalassiⅢ型16例(64%),平均年龄11.1岁。囊肿位于右侧12例(48%),左侧12例(48%),双侧囊肿1例(4%)。9例(36%)患者的囊肿行手术治疗。该研究选取21位(84%)患儿的兄弟姐妹作为对照组。神经发育功能采用适应行为评估量表(ABAS)、范德比尔特行为评定量表(VBRS)和发育性共济障碍问卷(DCDQ)评估,生活质量采用治疗为导向的筛查问卷(TOSQ)评估。结果显示,患者的ABAS评分与对照组无明显差异,部分TAC患儿的ABAS评分低于80分,提示他们的适应行为能力可能不如其兄弟姐妹(p= 0.058)。经手术治疗的患者VBRS评分显著低于对照组,但是ABAS、DCD和TOSQ评分并不能体现出该差异;TOSQ的认知和心理项目评分均低于体检项目评分。作者认为巨大TAC儿童的神经发育功能与其兄弟姐妹类似,神经发育评估应成为治疗儿童TAC必不可少的一部分。

不同类型的颞叶蛛网膜囊肿(A:II型,保守治疗;B:III型,保守治疗;C:III型,囊肿术前图片)


5. 脊髓脊膜膨出合并症状性ChiariⅡ型患儿死亡率的预测因素

Predictors of mortality in children with myelomeningocele and symptomatic Chiari type II malformation.

DOI: 10.3171/2018.1.PEDS17496.

合并Chiari畸形II型(CM-II)的脊髓脊膜膨出患儿死亡率高,预后差。作者试图在匹兹堡儿童医院的脊髓脊膜膨出患儿中找出预测不良结局和死亡的危险因素。该研究回顾性分析了1995年至2015年在匹兹堡儿童医院接受首次脊髓脊膜膨出修补术的153例患儿的临床资料。32例患儿合并症状性CM-II并纳入研究,其中12例(38%)预后不佳,8例(25%)患儿首诊时即死亡,5例在出生后1年内死亡,3例在青春期死亡。首诊时即死亡的8例患儿中,7例合并中枢性窒息;16例在生后3月内出现症状的患儿,7例死亡。死亡和存活患儿的1分钟Apgar评分中位数分别是4.5分和8分(p=0.006);脊髓脊膜膨出缺损范围的中位数:死亡组5.75厘米,存活组5厘米(p=0.01)。死亡患儿的脊髓脊膜膨出缺损位置较高,其中4例位于腰2及以上水平。生后1年内死亡的5例患儿就诊时的头围中位数为41.5厘米,其他患儿的头围中位数为34厘米(p=0.01)。研究结果显示即使手术干预,合并CM-Ⅱ的脊柱裂患儿死亡率极高,1岁内出现症状的患儿死亡率更高。尽管采取了积极的外科和医疗干预措施,迟发性死亡与病情进展有关。患儿死亡的危险因素包括出生后3个月出现症状、低Apgar评分、脊髓脊膜膨出缺损范围大位置高、早期中枢性窒息和出生时头围大。


6. 新生儿脊髓脊膜膨出修补术后脑脊液漏致严重低钠血症一例

Development of severe hyponatremia due to cerebrospinal fluid leakage following meningomyelocele surgery in a newborn.

DOI: 10.3171/2017.11.PEDS17386.

脊髓脊膜膨出修补术后脑脊液漏是切口愈合期常见的并发症,常合并切口裂开。脑脊液漏可导致严重的低钠血症,尤见于新生儿和婴儿早期。新生儿期低钠血症可导致神经发育不良,此外,低钠血症的颅内效应能增加神经外科手术并发症(抽搐、脑水肿、精神状态改变和血管痉挛等)。本文作者报道了一例新生儿脊髓脊膜膨出修补术后术区脑脊液漏致严重低钠血症(104mmol/L)的病例,既往文献未见类似报道。


7. 连接型神经管缺陷(JNTD)合并终丝脂肪变一例:一种新的JNTD亚型?

A case of junctional neural tube defect associated with a lipoma of the filum terminale: a new subtype of junctional neural tube defect?

DOI: 10.3171/2018.1.PEDS17492.

中枢神经系统胚胎发育发生在神经胚形成过程中,神经胚形成方式为初级神经胚形成(形成脑和脊髓,直至骶1-2交界处)和次级神经胚形成(形成1-2交界以下的脊髓节段)。连接型神经管缺陷(JNTD)是一种新报道的神经管闭合不全,发生于神经胚形成交界期(初级神经胚形成期结束与次级神经胚形成期开始之间),目前文献报告仅有4例,本病例为第5例,也是至今第1例伴终丝脂肪变的JNTD。患儿,男性,5岁,出生1月内接受过尿道直肠瘘手术,前来就诊评估是否合并神经管闭合不全。患儿有尿失禁、马蹄内翻足以及走路晚等病史。MRI显示脊髓分为两部分,上段止于T11水平,下段在L5-S1水平,合并终丝增粗。

胸腰椎MRI的矢状位T2加权像,显示脊髓的两个节段及其之间的连接组织。上段脊髓止于T11-12(白色箭头),下段脊髓位于L5-S1(灰色箭头)


8. 后路单节段顶椎截骨术治疗儿童重度僵硬性脊柱侧后凸畸形:长期临床和影像学疗效分析

Posterior-approach single-level apical spinal osteotomy in pediatric patients for severe rigid kyphoscoliosis: long-term clinical and radiological outcomes.

DOI: 10.3171/2017.12.PEDS17404.

儿童重度僵硬性脊柱侧后凸 畸形的矫形方法,目前有前路、后路或联合入路,以及多节段的截骨手术。这些手术方案手术时间长,术中出血多。本研究目的是评估一种改良顶椎截骨术(ASO)-后路单节段不对称顶椎截骨术,治疗儿童重度僵硬性脊柱侧后凸 畸形的临床疗效及影像学结果。 作者回顾分析了单中心由一位外科医师在5年内完成的手术病例,病例纳入标准为年龄<14岁、僵硬性 胸段/胸腰段/腰段 脊柱侧后凸 畸形(>70度),随访时间至少2年。共有26例患儿符合纳入标准,通过比较手术前后临床资料,接受该手术后患儿的临床症状、影像学指标和相关功能参数(侧凸后凸的Cobb角,SVA、VAS和ODI评分)均有显著改善。后凸Cobb角由术前的96.54°矫正为术后的30.77°,最后随访时为34.81°;侧凸Cobb角由术前的52.54°矫正为术后的15.77°,最后随访时为19.42°。术前SVA平均为7.6厘米,2年后改善至3.95厘米;平均融合节段为5.69个,平均手术时间为243.46分钟,平均术中失血量为336.92毫升,并发症发生率为15.39%(两例硬膜撕裂,一例伤口浅部感染,一例植入失败)。两年随访期间,25例患儿的神经功能维持稳定或有改善,1例患儿术后即出现截瘫,仅部分恢复。该研究认为该矫形手术对绝大多数重度僵硬性脊柱侧后凸 畸形患儿具有良好的临床及影像学疗效。


9. 劈裂式椎板切开术与传统椎板切开术在儿童患者中的对比研究

Split laminotomy versus conventional laminotomy: postoperative outcomes in pediatric patients.

DOI: 10.3171/2017.12.PEDS17368.

手术视频地址 https://vimeo.com/250630443

劈裂式椎板切开术是一种经后正中到达椎管的术式,可减少肌肉剥离和骨质切除。业已报道在成人患者中该术式可极大减轻术后疼痛和肌肉萎缩。本文作者回顾分析了威斯康星儿童医院于2008年4月到2015年6月因髓内病变而行后正中入路手术的125名患儿的临床资料,其中腰椎手术117例(83例行传统椎板切开术,34例行劈裂式椎板切开术),胸椎手术8例(两组各4例)。研究发现两组间术后疼痛评分无显著差异。与传统椎板切开术相比,劈裂式椎板切开术患者的术后当天和术后第1天的阿片类镇痛药使用量明显减少,而术后第2天的使用量两组无差异。在劈裂式椎板切开术组中,少见有患儿术后使用阿片类镇痛药超过72小时。传统椎板切开术组患儿的短期和长期随访显示脂肪/肌肉比值明显增高,而劈裂式椎板切开术患者术后出现椎旁肌肉脂肪浸润的概率明显降低(p = 0.007),两组患儿的术后并发症无差异。作者认为劈裂式椎板切开术短期内可减轻术后疼痛,长期随访可减少肌肉萎缩和肌肉脂肪浸润的发生,有助于避免慢性疼痛和脊柱失稳的发生。


劈裂式椎板切开术、半椎板切开术和椎板切除术示意图。冠状位(上)和轴位(下)、椎板切除区域(左)和显露区域(右)。A劈裂式椎板切开术、B半椎板切开术、C椎板切开术、D椎板切除术。


10. 颅缝早闭中的颅内静脉生理学研究初探

Pilot study of intracranial venous physiology in craniosynostosis.

DOI: 10.3171/2018.1.PEDS17480.

颅缝早闭患者颅内高压的原因包括颅脑不相称(Craniocerebral disproportion),Chiari畸形I型、阻塞性睡眠呼吸暂停和静脉流出受阻等。本研究通过检测颅内静脉流速,以便更好地描述颅缝早闭复杂的颅内静脉生理学。作者进行了一项前瞻性队列研究,共纳入34例颅缝早闭的患儿,对照组为28例同期就诊的无颅缝早闭的儿童。在门诊首诊时和每次手术术后,行经囟门的超声多普勒检查,评估静脉血流速度,记录大脑内静脉(ICVv)和上矢状窦(SSSv)的平均血流速度和血流波形分数。结果显示,颅缝早闭患儿术前的SSSv较对照组低(7.57 vs 11.31 厘米/秒),两组的ICVv值没有显著差异。术后SSSv明显升高(7.99 vs 10.66厘米/秒)。颅缝早闭组和对照组之间的血流波形分析未见显著差异。据此,研究者认为颅缝过早闭合与上矢状窦血流速度减慢有关,与大脑内静脉流速无关,提示颅缝早闭影响浅表静脉回流而非深部静脉回流。需要进一步的超声多普勒检查来验证在颅缝早闭早期即出现SSSv异常的假说,SSSv和浅表静脉波形的异常都反映了颅缝闭合的进展。


11. 儿童烟雾病中大脑后动脉狭窄及后循环血管重建术的应用

Posterior cerebral artery stenosis and posterior circulation revascularization surgery in pediatric patients with moyamoya disease.

doi: 10.3171/2018.1.PEDS17367.

部分烟雾病患儿在前循环血管重建术术前和术后都会出现大脑后动脉(PCA)狭窄,而需行后循环血管重建术。 本文作者回顾分析了62例烟雾病患儿(<16岁)的病例资料,评估发生PCA狭窄的相关因素,评价后循环血管重建术(直接OA-PCA枕动脉-大脑后动脉搭桥术和间接血管重建术)的疗效。23例(37%)烟雾病患儿在首诊时既伴发PCA狭窄,首诊时即有梗塞与前循环血管重建术前发生PCA狭窄密切相关。 此外,前循环血管重建术(直接STA-MCA搭桥和间接软膜血管融合术)后,12例(19.4%)患儿的PCA狭窄逐渐加重。首诊时即有梗塞和低龄,是前循环血管重建术后出现进展性PCA狭窄的危险因素。12例进展性PCA狭窄患儿中9例行后循环血管重建术,均有症状和或影像学改善。PCA狭窄是导致烟雾病患儿预后不良的重要因素,作者建议在术后随访过程中,主治医生应关注进展性PCA狭窄的发生,并及时行后循环血管重建术。

烟雾病患儿的MRA和123 I-IMP-SPECTSPECT随访结果


枕动脉-大脑后动脉搭桥术和间接血管重建术


12. 儿童钝性脑血管损伤:McGovern评分标准

Pediatric blunt cerebrovascular injury: the McGovern screening score. 

Doi: 10.3171/2017.12.PEDS17498.

钝性脑血管损伤(blunt cerebrovascular injury ,BCVI)在成人人群中已有详尽阐述,但鲜有关于儿童BCVI的研究,尚缺乏儿童BCVI的标准化诊疗路径和危险因素评分标准。作者回顾分析了一家I级儿童(<16岁)创伤中心10年间收治的12614位钝性外伤患者(平均年龄6.6岁),其中460例患儿(3.6%)需行血管造影检查:295(64.1%)例行CTA,107例(23.3%)行MRA,6例(1.3%)行DSA, 52(11.3%)例行多种血管造影检查。研究发现儿童BCVI的发病率(21例,0.17%)低于成人组,平均年龄10.4岁,平均随访时间7.5月,其中11例系交通事故起病,平均GCS评分8.6分。8例有颈动脉管骨折,6例有岩骨骨折,2例就诊时即有梗塞。8例(38.1%)患儿行保守治疗。作者按照下述4种常用的BCVI筛选评分进行回顾性分析: 丹佛评分、改良的孟菲斯评分、美国东部创伤外科学会(EAST)评分和犹他评分,分别错判6(28.6%), 6(28.6%), 7(33.3%)和10(47.6%)例BCVI为“低危”组而未行血管造影检查。整合了受伤机制的McGovern评分,错判率只有4(19%),因此该评分可以更准确的诊断BCVI,从而使患儿免于不必要的放射线暴露。


13. 从口头报告到文章发表:谈两大小儿神经外科会议中报告摘要的发表率

Oral presentation to publication: publication rates of abstract presentations across two pediatric neurosurgical meetings. 

Doi:10.3171/2017.11.PEDS17458.

一年一度的美国神经外科医师协会(AANS/CNS)会议中的小儿神经外科分会以及国际小儿神经外科学会(ISPN)会议,为小儿神经外科医生提供了展示自我、传播研究成果的广阔舞台。作者统计分析了2009年-2011年在AANS/CNS和ISPN会议中口头报告的文章最后发表在同行评议期刊的情况,发现在AANS/CNS会议中做口头报告的摘要,60.6%可以发表在以下期刊:JNS: Pediatrics (52%), Child’s Nervous System (11%), 和JNS (8%); 而在ISPN会议中大会发言的摘要40.6%可以发表在以下杂志Child’s Nervous System (29%), JNS: Pediatrics (14%)和Neurosurgery (9%)。大会口头发言后,大于90%的文章可以在4年内发表。


14. 小儿神经外科医师论文发表能力的研究分析

Taking the next step in publication productivity analysis in pediatric neurosurgery. 

Doi:10.3171/2018.1.PEDS17535.

作者量化分析了2011-2015年间在28家官方认证的小儿神经外科Fellowship培训项目中医生的论文发表情况。一共发表2060篇文章,其中1378篇(67%)是儿科相关,非儿科类文章引用率更高;文章内容以临床为主,基础研究和转化医学类文章引用率更高;具有博士学位的神经外科医生发表的文章数量和引用率更高。按照修正过教职工人数的5年机构赫希指数(反映被引用论文的综合学术影响力),排名从高到低的五家小儿神经外科Fellowship培训中心为多伦多儿童医院,匹兹堡儿童医院,旧金山贝尼奥夫儿童医院,西雅图儿童医院和圣路易斯儿童医院。

最新评论
发表你的评论
发表你的评论
来自于专栏
关键词搜索