![]()
NEXUS是基于美国神经外科医师协会,CNS (Congress of Neurological Surgeons),由Barrow Neurological Institute的Peter Nakaji医生和克利夫兰诊所的Nicholas C. Bambakidis医生组织建立的网站(http://www.cns.org/nexus)。网站完全免费开放,无需任何注册,网站主体基于病例的收集与归类,完美适配移动设备,旨在帮助神经外科医生迅速找到类似病例,并且学习世界各地的神经外科医生如何处理该病例。同时,每一个神经外科医生都可以上传自己的病例,在全世界的神经外科医生面前展示自己的技巧。
神外资讯每周末定期推送一期NEXUS的精选文章,与全中国的神经外科同道分享,共同学习进步。更多更新病例查看与投稿,欢迎登陆NEXUS官网。
颈椎前路椎间盘切除加融合术(ACDF)
治疗神经根型颈椎病
Daniel J. Hoh MD, Associate Professor - Department of Neurosurgery, University of Florida, Gainesville, Florida
编译:
寿佳俊 复旦大学附属华山医院
审校:
王寅千 首都医科大学三博脑科医院
通过以下这个病例阐述了与单节段颈椎间盘骨赘复合体引起的神经根型颈椎病的评估和手术治疗相关的问题。
讨论了颈椎前路椎间盘切除加融合术(ACDF)的操作技术。
![]()
男性,27岁,6月前出现右臂向拇指和示指的放射性疼痛。
保守治疗失败:包括物理治疗和非甾体类抗炎药(NSAIDs)。
无既往病史、手术史、过敏史、用药史等。
体格检查:
运动:四肢肌力5度
感觉:沿着右侧C6分布区的轻触觉减弱
反射:正常和对称
病理征阴性
正常步态
保守治疗
物理治疗,NSAIDs药物,颈椎牵引,硬膜外类固醇注射,选择性神经根阻滞
此病例中患者经超过6个月的保守治疗失败。
前路手术
颈椎前路椎间盘切除术和融合术(ACDF)
患者最终决定采用单节段ACDF进行减压和稳定运动节段。
颈椎前路椎间盘置换术
颈椎间盘置换术(“颈椎关节成形术”,“颈椎人工椎间盘”)是该患者的合理替代术式。颈椎间盘置换术通常会产生与ACDF相同的益处。其优点是可以更好地保留相应节段的活动度。单节段椎间盘置换术与ACDF对邻椎病的长期效益尚不清楚。
前路椎间孔切开术(即钩突切除术)
这种非融合技术用于单侧颈神经根的前路减压。一般来说,它主要用于无脊髓压迫的突入椎间孔的椎间盘减压。鉴于与椎动脉非常接近,这是一种技术上具有挑战性的入路。
后路手术
后路椎板-椎间孔切开术
这种非融合技术用于减压单侧颈神经根。一般来说,它主要用于无脊髓压迫的椎间盘突出。与前路手术相比,因为它涉及分开椎旁肌肉组织,所以可能存在更多与手术相关的并发症。
椎板切除术,椎板切除加融合术,或椎板成形术
这些用于脊髓和/或脊神经根减压的后路方法通常涉及更广泛的后方脊柱旁肌肉组织的解剖,从而有相关的并发症可能。相比之下,当涉及多个节段水平的脊髓压迫时(在没有颈椎后凸的情况下),这些后路方法是优选的。
手术涉及的重要解剖结构:
神经系统:
椎管外:
喉返神经
喉上神经
迷走神经
交感神经链
椎管内
脊髓
颈神经根
血管:
椎管外
颈动脉鞘(颈总动脉,颈内静脉)
椎管内
椎动脉
软组织
食管
气管
胸导管
![]()
仰卧位
杰克逊或标准手术台
头部处于中立位或略微后仰
术中辅助
透视
手术显微镜或放大镜
术中电生理神经监测
对于单节段ACDF,从胸锁乳突肌(触诊)的中间边缘到中线进行单个水平切口。
确定切口选择的左右侧
右利手的外科医生通常首选右侧切口。
对于左侧切口,左侧喉返神经一般位于气管-食管沟中,理论上不易受伤。
需要考虑的一点是单侧椎间盘骨赘复合体更容易用来自对侧的Kerrison咬骨钳来切除(例如,可以从左侧切口接近右侧椎间盘-骨赘复合体)。
![]()
![]()
从对侧处理是首选方法
![]()
颈椎节段的体表标志:舌骨:C3;甲状软骨:C4-5;颈动脉结节:C6
皮肤切开后,颈阔肌被识别、提起并水平分开。
颈阔肌下间隙充分游离,以提供更大的头尾端暴露。
确定胸锁乳突肌(SCM)的内侧边界。
提起颈深筋膜的浅层并纵向锐性分开。
侧方扪及颈动脉,在其内侧识别食道和气管。
在这个潜在的间隙中进行钝性分离到颈椎体前方。
钝性分离椎前筋膜。
确认两侧颈长肌。
将穿刺针放置在椎间盘中,进行术中透视以确认正确的节段位置。
提起椎间盘两侧的颈长肌并适当游离。
将叶片式牵开器放置在提起的颈长肌鞘下方。
将气管内插管的气囊放气并轻轻地再次充气至较低的压力以降低气管-食管沟(和喉返神经)的压力。
卡斯帕针放置在椎间盘上下方的椎体中。
分开穿过带成角(内收)的卡斯帕针,打开椎间盘空间并产生脊柱前凸。
在放大镜或显微镜下,切开前纵韧带和纤维环前部。
用咬骨钳和刮匙除去椎间盘组织。
注意保持在横向的钩突关节(白色箭头)的边缘内。椎动脉(红色圆圈)位于其侧面外侧。
分离后纵韧带并切除。
可以在头端和尾端椎体后面轻轻地穿过神经探钩以确认脊髓减压充分。然后神经钩可以从椎间孔中穿出以确认神经根减压。
![]()
去除前部和后部骨赘(头侧和尾侧)以形成用于插入椎间融合器的平行通道。
用刮匙和/或锉刀进行终板准备以增强椎间融合。
![]()
![]()
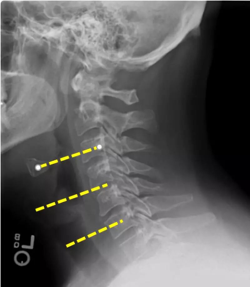
前板需选择适当的尺寸,避免过长延伸影响到相邻的椎间盘空间。
矢状面上将螺钉置于“发散”状态以使压力传递到椎间植入物上。
轴位平面上将螺钉内聚(“三角”)放置以防止拉出。
![]()
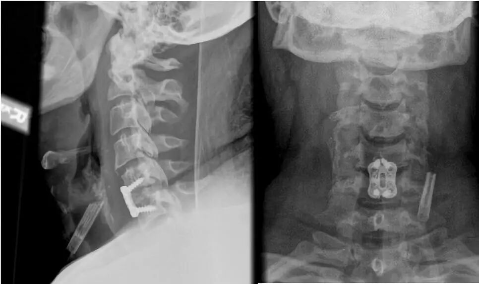
进行术中透视以确认前板、螺钉和椎间植入物的位置。
进行仔细的止血。
可以放置Jackson Pratt引流管以防止血肿形成从而导致呼吸系统受损的风险,此时切口需要紧急重新开放用于血肿清除。
颈阔肌复位。
皮下用可吸收的缝合线连续缝合。
切口用皮肤胶覆盖。
![]()
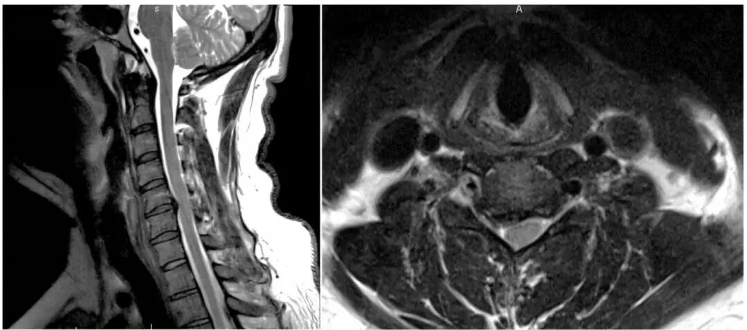
患者在4年半后再次出现急性颈痛发作。
但进行MRI复查证实在C5-6融合处减压稳定。
暴露
仔细并充分游离软组织结构以暴露颈前部,保留自然界面以及细致止血,有利于后续的手术步骤。这也可使软组织牵拉最小化,否则可能增加喉返神经麻痹或吞咽困难的风险。
最大限度地减少沿颈长肌表面的电灼,这可能导致交感神经链的热损伤。
椎间盘切除和减压术
仔细使用刮匙和咬骨钳(与使用钻截然相反),需确保保持在钩突(侧向)和骨性终板的界限内。
术前评估后纵韧带骨化(OPLL)。如果存在OPLL,则在减压期间做好可能的硬膜撕裂或硬膜缺损的准备。
融合器/植入物和前路固定
去除前部和后部骨赘将确保放置适当大小的融合器/植入物。
避免融合器/植入物过大。这可能导致破坏骨性终板并最终导致过度下沉。
小心地去除前骨赘以提供平坦的表面以使前方钛板能沿着椎体表面齐平。翘起的前板可能导致食道机械性阻塞,引起吞咽困难。
避免使用侵入相邻椎间盘空间的过长前板,因为这可能加速临近节段的退变。
切口关闭和术后处理
细致的止血和必要的引流将降低术后血肿和潜在呼吸损害的风险。
对于接受单节段ACDF的患者和没有明显的假关节危险因素(例如:吸烟,长期类固醇使用)的患者,通常不需要颈托。
对于单节段ACDF,考虑让患者在手术当天或第二天早晨出院也是合理的。




