
今日与大家分享的是《正海-妙术视界》第一百三十五期,由新乡市中心医院神经外科程振国教授团队带来的:单侧入路夹闭左右双侧大脑中动脉瘤(镜像动脉瘤)+右侧大脑前2枚动脉瘤病例分享 ,欢迎观看、阅读。

程振国 教授,新乡市中心医院神经外科二病区主任,河南省医学会神经外科分会肿瘤学组委员、内镜学组委员;河南省医学会显微外科分会委员;河南省医学会抗癫痫分会委员;河南省卒中学会颈部血管分会常务委员;河南省抗癌协会神经肿瘤分会委员;新乡市医学会神经外科分会副主任委员,中国研究型医院学会神经外科学专业委员会颅神经疾患诊疗学组委员,主要从事颅内肿瘤、脑血管病、功能神经外科方面的诊治、研究工作,对重型颅脑损伤的抢救及治疗有丰富的经验和独到之处,擅长功能性神经疾病、颅内肿瘤及脑血管病的诊治。发表SCI、核心及国家级学术论文20余篇,获得地厅级科技进步二等奖五项,现主持省部级科研项目一项。

杜宝顺 副主任医师,新乡市医学会神经外科分会委员(秘书)。从事神经外科工作10余年,发表SCI论文一篇,核心期刊论文、国家级及省级杂志上发表论文数篇。主持河南省卫计委及科技厅科研项目各一项,获得市科技进步二等奖2项。擅长:重型颅脑损伤抢救治疗、脑血管病、脑肿瘤的手术治疗等,对重型颅脑损伤及脑血管意外的救治有丰富的临床经验。

李远超 主治医师,新乡市中心医院住院医师规范化培训神经外科基地教学秘书,在颅内肿瘤、脑血管病、重型颅脑损伤的抢救及治疗方面有丰富的临床经验,擅长功能性神经疾病、颅内肿瘤及脑血管病的诊治。发表国家级、省级学术论文多篇。

张家旗 硕士研究生,在颅内肿瘤、脑血管病、重型颅脑损伤的抢救及治疗方面有丰富的临床经验,擅长功能性神经疾病、颅内肿瘤及脑血管病的诊治。主攻脑血管病方向,发表国家级、省级学术论文多篇,SCI论文1篇。
病史简介
患者陈XX,女,55岁,以“突发意识障碍4小时余。”为代主诉入院。
患者入院前4小时就餐时突然头晕,四肢抽搐,意识不清,呼之不应,伴恶心、呕吐,小便失禁。发病后由家人急送至当地县医院就诊,行头颅CT示:脑内血肿、蛛网膜下腔出血,家属为求进一步诊治随转入新乡市中心医院,以“蛛网膜下腔出血”收入神经外科。
入院查体:
T:36.3℃;P:63次/分;R:12次/分;BP:147/89mmHg,GCS评分4分,HH分级Ⅳ级,神志昏迷,双侧瞳孔等大等圆,直径为3mm,光反应迟钝,颈抵抗强阳性,四肢刺痛无反应,肌力无法查,病理征未引出。患者入院后,急查头颅CTA提示:左右双侧大脑中动脉瘤(镜像动脉瘤)+右侧大脑前2枚动脉瘤,结合影像学评估及家属意愿选择单侧入路夹闭左右双侧大脑中动脉瘤(镜像动脉瘤)+右侧大脑前2枚动脉瘤+颅内血肿清除术。术后给予抗血管痉挛、降颅压、控制血压、促脑细胞代谢等药物治疗,患者现痊愈出院,回归正常生活。

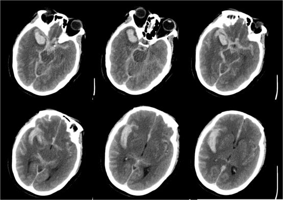
头部CT提示右侧颞叶血肿、蛛网膜下腔出血


头颅CTA示:
左右双侧大脑中动脉瘤(镜像动脉瘤)+右侧大脑前2枚动脉瘤。根据CT及CTA影像,考虑右侧大脑中动脉动脉瘤破裂,为责任动脉瘤。
经新乡市中心医院神经外科,神经介入科会诊,并结合患者家属意见,拒绝介入,手术治疗。
手术方案
平卧位,头左偏30°,右侧额颞跨中线切口,经右侧扩大翼点入路(骨瓣至中线),分离右侧侧裂清除脑内血肿。显露右侧大脑中动脉M1、M2段及动脉瘤瘤颈,夹闭瘤颈。经右侧额下,分离双侧视神经、视交叉及双侧大脑前动脉,并显露对侧颈内动脉末端及A1、M1段,循对侧M1段向远端分离侧裂,显露对侧M2段及动脉瘤,分离瘤颈并夹闭后剪开动脉瘤,确定瘤颈夹闭完好。头部旋转至正中位,经纵裂显露大脑前动脉A3段及2枚动脉瘤,分离瘤颈后分别夹闭。手术顺利,脑组织张力不高,搏动好,常规关颅,还纳骨瓣。

术前手术切口,右额颞骨瓣开颅(内侧至中线)

右侧大脑中动脉瘤显露瘤颈

右侧大脑中动脉瘤夹闭瘤颈

显露视交叉、双侧大脑前动脉及对侧颈内动脉

显露对侧颈内动脉、及对侧A1和M1

显露左侧大脑中动脉瘤瘤颈

夹闭左侧大脑中动脉瘤瘤颈

显露右侧大脑前动脉远端动脉瘤

夹闭右侧大脑前动脉远端动脉瘤瘤颈

显露右侧大脑前动脉近端动脉瘤

夹闭右侧大脑前动脉近端动脉瘤瘤颈

患者术后8小时复查CT

术后复查CTA显示四个动脉瘤夹闭良好,分支血管无狭窄

术后患者,KPS评分100分




