
今天为大家分享的是《贝朗时间》第四十九期,由浙江大学附属第一医院詹仁雅教授、俞建波主治医师带来的:眼动脉段动脉瘤的手术治疗,欢迎阅读、分享!
眼动脉段动脉瘤的手术治疗

詹仁雅,教授,医学博士,博士生导师,主任医师,浙江大学附属第一医院神经外科主任,浙江大学神经外科学系主任,卫生部国家临床重点专科(神经外科)负责人。现担任中国医师协会神经外科医师分会全国委员、中国医促会神经外科分会全国常务委员、中国神经科学学会神经肿瘤分会全国常务委员、中国老年协会心脑血管委员会常务委员、浙江省医学会神经外科学分会主任委员、浙江省神经科学学会神经外科学分会主任委员、浙江省抗癌协会神经肿瘤专业委员会主任委员。
从事脑血管病、神经系统肿瘤及颅脑创伤的基础研究和临床工作30余年,是浙江省神经外科学科的领军人物。近年来以第一作者和通讯作者在Neurology、Critical Care、Journal of Neuroinflammation、Journal of Neurosurgery等国际著名期刊发表SCI论文50余篇,单篇论文被《新英格兰医学杂志》等顶尖学术期刊最高引用160余次,在神经外科学领域产生了重要的影响。主编(译)或参编论著6部,以第一完成人获浙江省科技进步奖三等奖、浙江省医药卫生创新奖二等奖。承担国家自然科学基金面上项目等多项课题。担任《中华神经外科疾病研究杂志》、《国际神经病学神经外科学杂志》、《中国临床神经外科杂志》、《浙江创伤杂志》编委,《Reviews in the Neurosciences》(SCI杂志,影响因子3.2)、《中华神经外科杂志》及《中国微侵袭神经外科杂志》特约审稿人。鉴于詹仁雅教授在浙江省乃至我国神经外科学界所做出的重大突出贡献,于2014年荣获我国神经外科临床医师的最高荣誉——王忠诚神经外科医师奖(学术成就奖),这也是目前浙江省神经外科专家中唯一获此殊荣者。

俞建波, 浙江大学附属第一医院神经外科主治医师,医学博士,浙江省医学会神经外科分会第七届青委会副主任委员。师从詹仁雅教授,主要专业方向为脑血管病的外科诊治。
患者陈**,女性,59岁。
主诉:外伤后检查发现颅内动脉瘤10天。
查体:神志清楚,无明显神经系统阳性体征, 双侧视力正常。
既往史:无高血压、糖尿病病史,无烟酒嗜好。
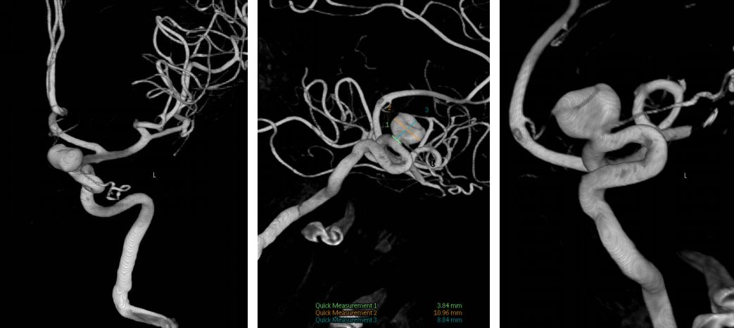
1. 术前CTA:

2. 术前DSA:
![]()
3. 术前3D-DSA:

术前诊断:
左侧眼动脉段动脉瘤(未破裂)
手术方式选择:
充分告知患者及家属可选的手术方式:介入栓塞及开颅夹闭术,患者选择开颅夹闭术。
手术治疗的目的:
夹闭动脉瘤颈;视神经减压。
手术方案:
1. 左侧翼点入路开颅;
2. 左侧颈部暴露准备,以备术中控制颈内动脉血流;
3. 平卧位,头右旋30度,三点头架固定;
4. 术中须磨除左侧前床突,保护视神经。
眼动脉段动脉瘤的手术治疗
患者术后无神经功能缺损;视力视野均无影响。






