
2011年,首个BRAF V600E 靶向抑制剂威罗菲尼(威罗菲尼现已改名维莫非尼)被FDA 批准上市,多种携带该突变型基因的恶性肿瘤患者从维莫非尼的治疗中获益。今天给大家分析一例BRAF靶向治疗妊娠期胶质母细胞瘤的案例。
女,28岁,2017年01月07日,患者因头痛、恶心、呕吐、视力下降,就诊于中南大学湘雅医院,影像学拟诊为右侧顶叶占位,高级别胶质瘤可能。于2018年01月19日行显微镜下右侧顶叶切除手术,病理检测提示为胶质母细胞瘤(WHO IV级),因患者彼时宫内妊娠5月余,考虑到胎儿情况未进行后续规律放化疗。
2017年01月07日,患者初次确诊即为胶质母细胞瘤(GBM),恶性程度极高。

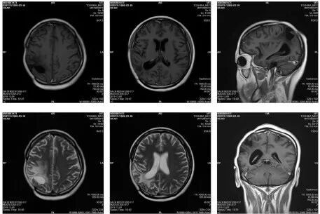
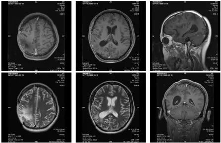
图1. 第一次术前MRI图像(2017.1.11)

图2. 第一次术后颅脑MRI图像(2017.1.22)
患者术后病理检测结果(图3)确诊为(右顶叶)胶质母细胞瘤,WHO IV级。
免疫组化结果:GFAP(+),Ki67(约10%),P53(部分+),IDH1(-),H3 K27M(-),Olig2(部分+)。免疫组化结果显示IDH1突变阴性,提示患者预后极差。

图3. 第一次术后病理结果
2017年3月26日,患者术后不足3个月,再次因头痛头晕2天入湘雅医院神经外科,行急诊颅脑CT示右侧顶叶囊状新鲜低密度灶,边缘见线样高密度影,周围大片水肿,右侧脑室明显受压变形,中线结构向左偏移,提示局部肿瘤复发,脑疝发生。此时患者胚胎移植后宫内妊娠7+月,患者危重并随时可能发生变化,遂入产科终止妊娠(胎儿胎肺成熟后限期终止妊娠,胎儿状态良好),次日晚突发右侧瞳孔散大,意识障碍,立即予脱水等对症处理后,患者意识恢复。行急诊头颅CT(图4)显示右侧顶叶肿瘤复发,瘤周水肿明显,中线移位。立即入手术室全麻同台行剖宫产术+显微镜下右侧顶叶复发病灶切除术,术后母子平安。
![]()
图4. 第二次手术前急诊CT(2017.3.27)

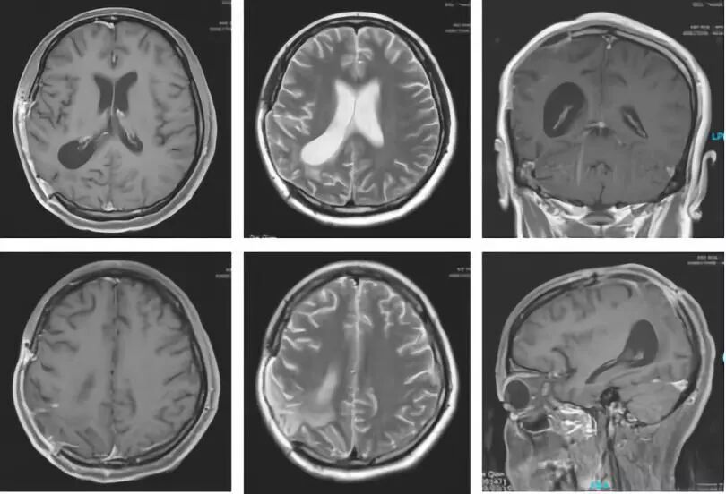
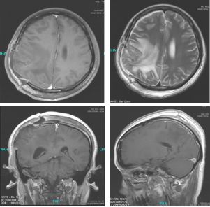
图5. 第二次术后MRI(2017.3.30)
第二次术后病理结果(图6)仍显示为:胶质母细胞瘤 WHO IV级。
免疫组化结果:GFAP (+),Ki67(30%+),P53(部分+),IDH1(-),H3 K27M(-),Olig2(+),MGMT(部分+)。术后于2017年04月17日-2017年05月28日期间进行同步放化疗(图11)。

图6. 第二次术后病理结果
第二次手术后两个月,患者于2017年05月27日于湘雅医院行颅脑MRI复查(图7)未发现明显肿瘤复发迹象,考虑第一次术后肿瘤短期复发,建议患者行基因检测,于北京泛生子基因科技有限公司进行了脑肿瘤68基因和6项基因检测,结果示患者IDH及TERT基因无突变,且MGMT无甲基化,提示患者对化疗抵抗(图8); 然而,检测发现患者存在BRAF-V600E突变,这一重要发现提示患者服用靶向药维莫非尼可获益,遂前往北京天坛医院复发胶质瘤MDT门诊行靶向治疗(图9)。

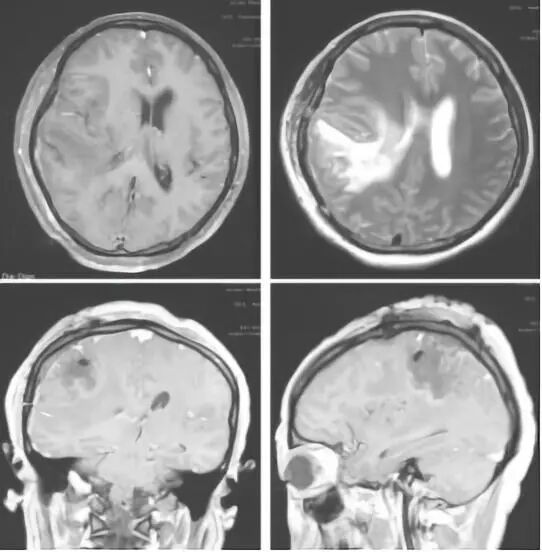
图7. 第二次术后2个月复查MRI(2017.5.27)

图8. 脑肿瘤分子检测结果

图9. Panel 68基因检测结果
2017年6月4日,对患者保肝治疗两天后进入天坛医院血液肿瘤科进行维莫非尼治疗,用药6天半皮疹严重,停药5天后继续用药,用药一个周期后,复查(图10)MRI示病情得以控制,继续6个周期替莫唑胺辅助化疗(图11),持续动态观察(图12,13,14),直至最近于2018年12月08日于湘雅医院复查(图15),病情无进展,患者神清,自主活动,一般情况良好,母子生活质量理想。

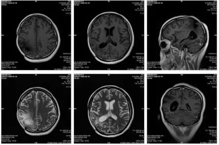
图10. 维莫非尼治疗一个周期后复查MRI

图11. 患者放化疗方案

图12. 维莫非尼治疗后复查(2017.12.14)

图13. 维莫非尼治疗后复查(2018.03.20)

图14. 维莫非尼治疗后复查(2018.06.09)

图15. 最近复查结果(2018.12.08)

图16. 患者诊疗过程时间轴
患者于妊娠期(五个月)发病,初次发病即诊断为胶质母细胞瘤(glioblastoma multiforme,GBM)。GBM是最常见的颅内原发恶性肿瘤,WHO IV级,为脑部恶性程度最高的肿瘤。流行病学数据显示,尽管胶质母细胞瘤治疗方法一再改进,但仍预后不良,中位生存期小于1 年,5 年生存率低于5%。GBM呈浸润性生长,目前主要治疗手段为手术、放疗及化疗,手术的原则是最大程度切除肿瘤、最大程度保留功能。单纯手术治疗后极易复发,临床研究证实,放疗以及联合放化疗可以提高GBM患者的生存期,是GBM术后常用的辅助治疗手段。本病例患者肿瘤初发时恰处于妊娠中期,手术难度及风险均增加,且因处于妊娠状态,术后无法进行放化疗以辅助治疗。
国际权威期刊《Nature Communications》最新研究成果发现TERTpWT-IDHWT(TERT启动子野生型-IDH野生型)胶质母细胞瘤的两种新的分子亚型,并完成了胶质母细胞瘤基因图谱的绘制。该研究由北京泛生子基因科技有限公司科学家团队联同杜克大学及约翰霍普金斯大学研究人员共同完成,值得注意的是,该研究发现在很大比例的TERTpWT -IDHWT的较年轻成年胶质母细胞瘤患者中发现BRAF基因的突变。这为针对BRAF V600E的靶向药物的使用提供了依据。本案例患者基因检测结果显示IDH及TERT基因均未突变,并发现了明确的BRAF V600E突变,与最新研究成果符合。根据患者病情多次复发,病情极其凶险的特点及基因检测结果,选用BRAF V600E突变抑制剂维莫非尼为患者进一步治疗的靶向药。用药后,患者病情被有效控制,母子皆安。
BRAF 是促分裂素原活化蛋白激酶 (MAPK) 信号转导通路重要的转导因子, 是人类最重要的原癌基因之一。BRAF 绝大部分突变发生在BRAF 蛋白激酶激活区或其附近, 其中约70%~90%是BRAF 基因外显子15 的第1799 位核苷酸T 突变为A, 导致其编码的缬氨酸被谷氨酸取代(BRAF V600E), 其次为BRAF V600K 突变 (6%~30%)。发生BRAF V600E 突变的肿瘤细胞中MEK-ERK 通路持续性激活, 促进了细胞增殖、抵抗凋亡与肿瘤侵袭转移。携带BRAF V600E 的肿瘤患者可选择BRAF V600E 抑制剂作为抗肿瘤药物进行个体靶向治疗。2011年,首个BRAF V600E 靶向抑制剂威罗菲尼(威罗菲尼现已改名维莫非尼)被FDA 批准上市, 用于治疗BRAF V600E 突变的晚期黑色素瘤患者, 有效延长了患者无进展生存期及总生存期, 取得了突破性的治疗效果, 也是典型的基于基因诊断选择用药的靶向治疗药物。相比较该信号通路的其他突变抑制剂,BRAF V600E 抑制剂仅抑制V600E 突变的细胞增殖, 具有良好的选择性, 对正常组织毒性较小。因此, BRAF 是一个肿瘤靶向治疗的优秀靶标。
2017年,加拿大的一项低级别儿童胶质瘤研究发现BRAF V600E突变的低级别儿童胶质瘤患者对常规放疗、化疗治疗较不敏感:6名BRAF V600E突变的患者在常规治疗疾病进展后使用了BRAF抑制剂,其他患者进行化疗。经过6个月的治疗,化疗组有23%的患者对化疗响应(肿瘤组织缩小25%),而使用BRAF抑制剂的6名患者对靶向治疗响应显著,其肿瘤缩小49%到80%。近期,VE-BASKET研究也公布了BRAF V600E突变的成人胶质瘤维莫非尼靶向治疗的结果。24名BRAF V600E突变胶质瘤患者包括11名恶性弥漫胶质瘤、7名多形性黄色星形细胞瘤、3名间变节细胞胶质瘤、2名毛细胞星形患者和1名高级别胶质瘤NOS患者。24名患者总体客观有效率为25%,其中恶性弥漫胶质瘤中临床获益率为27%,1位部分响应,5位疾病稳定。另外,中线部位胶质瘤也有获益报道:一名9岁男孩患有丘脑胶母瘤。医生为保护其神经功能将肿瘤部分切除,并进行常规放化疗治疗及贝伐单抗治疗。患儿治疗结束4个月时肿瘤复发。随后,医生根据患儿携带BRAF V600E靶点指导其服用维莫非尼。4个月后,患儿肿瘤消失,且副作用也在可控范围。
目前研究显示胶质母细胞瘤的发生涉及细胞因子、配体-受体、信号通路等多种信号途径的参与。相关其发生机制的靶向药物有:针对TGF-β 通路的反义寡核苷酸药物AP12009(该药物目前已在临床试验中进行测试);针对EGFR的单克隆抗体( monoclonal antibodies,mAb)如西妥昔单抗和EGFR激酶抑制剂,如吉非替尼和埃罗替尼;针对CSF-1R特异性的抑制剂PLX3397;法尼基转移酶抑制剂( farnesyltransferase inhibitors,FTI),如替吡法尼和洛那法尼等。
目前,肿瘤治疗已逐渐进入精准化时代,分子靶向治疗药物的选择必须以对患者个性化基因检测结果为依据,与传统的细胞毒药物不同,分子靶向治疗药物具有高度特异性,其作用和疗效除了药物本身外,很大程度上还取决于其作用的靶分子在肿瘤细胞中的表达与否及其表达水平和突变情况。因此,通过基因检测选择合适的分子靶向药物对在临床应用中取得好的效果至关重要。“先检测,后治疗”已逐渐成为肿瘤临床诊疗规范。

刘庆 教授,医学博士,博士研究生导师,主任医师。担任中南大学湘雅医院神经外科副主任兼颅底神经外科主任,中南大学升华学者特聘教授,湖南省颅底外科与神经肿瘤研究中心副主任,中南大学神经外科研究所副所长,兼任湖南省医学会神经外科专业委员会副主任委员,湖南省抗癌协会肿瘤病因学委员会副主任委员,中华医学会神经外科分会青年委员会秘书长,中华中青年神经外科交流协会常委,湖南省神经外科专业委员会委员,湖南省高层次卫生人才工程学科骨干人才,入选中国名医百强榜专科Top 10医师。

季楠 教授,医学博士,博士研究生导师,主任医师。担任天坛医院神经外科肿瘤6病房主任,首都医科大学神经外科学教授,中国医师协会神经外科分会全国委员,神经肿瘤专家委员会副主任委员,医师考核专家委员会委员,中国医师协会整合神经外科分会全国委员,中国医促会神经外科分会全国委员,中国解剖学会人脑库研究分会委员,北京市神经外科学科骨干。

刘元波 教授,医学博士,博士研究生导师,主任医师。担任首都医科大学附属北京天坛医院血液内科主任,首都医科大学血液病学系副主任,中华医学会北京血液学分会委员,北京医师协会血液内科专科医师分会理事,中国研究型医院学会血液病精准诊疗专家委员会常务委员,中国医药教育协会血液学专业委员会委员,亚太医学生物免疫学会常务委员,亚太医学生物免疫学会血液学分会常务委员,北京海聚工程人才,北京市特聘专家,国家自然基金、教育部科技进步奖、北京市自然基金等评审专家。




