
今日与大家分享的是《正海-妙术视界》第一百三十二期,由唐都医院神经外科赵天智、郭为、贺世明、屈延、高国栋带来的精彩手术:“前床突磨除与脑脊液漏处理---中鼻道经筛入路解剖、阅片与手术”,欢迎观看、分享。
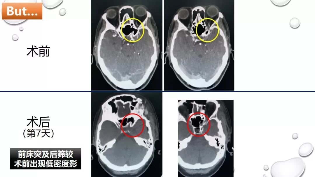
前床突磨除
内镜修补

赵天智 唐都医院神经外科颅底脑干病变治疗组组长,副主任医师,医学博士。
2018中华医学会 “精艺求菁-神经外科青年医生手术技能大赛”全国决赛脑膜瘤组冠军
2018中国医师协会 “第一届神外手术视频展播秀”新锐级认证
2017中国医促会“全国神经外科中青年医生脑膜瘤手术技能大赛”全国决赛冠军
中国医师协会神经外科分会青委会副主任委员
中国医师协会CBNS师资委员会委员
陕西省保健协会脑疾病防治专业委员会副主任委员
陕西省保健协会肿瘤防治委员会委员
《Translational Surgery 》杂志编委
临床长期从事颅底神经外科相关领域疾病诊疗工作,熟练掌握颅底解剖知识及显微神经外科技术,坚持以微创理念诊治患者。擅长颅内各种复杂肿瘤(尤其是颅底肿瘤)的手术治疗,如脑膜瘤、听神经瘤、胶质瘤、垂体瘤、颅咽管瘤、颈静脉孔区肿瘤(颈静脉球瘤、后组颅神经鞘瘤等)、海绵窦区肿瘤(三叉神经鞘瘤、胆脂瘤、畸胎瘤等)、海绵状血管瘤、脊索瘤、转移瘤等病变的微创切除,注重全切肿瘤的同时,保留患者正常神经功能。于西北地区率先开展多种高难度复杂颅底入路手术,如采用额眶颧入路切除巨大蝶岩脑膜瘤或海绵窦肿瘤、Kawase入路切除岩斜脑膜瘤、乙状窦前入路切除岩斜区肿瘤、远外侧入路切除延髓腹侧病变、经迷路入路/中颅窝入路切除侵犯岩骨肿瘤如神经鞘瘤/颈静脉球瘤、经安全区入路切除脑干胶质瘤/海绵状血管瘤等。师从美国匹兹堡大学Juan C. Fernandez-Miranda教授,学习并熟练掌握内镜微创手术技术,确保了颅底肿瘤360度无死角显露和全切,最大程度提高全切率同时保障手术安全。 师从瑞士苏黎世大学Rosmarie Frick教授,学习并熟练掌握显微血管吻合搭桥技术,为避免术中血管损伤带来的脑缺血坏死提供了安全保证,于西北地区率先开展“高流量颅外内血管搭桥辅助切除复杂颅底肿瘤手术”。被聘为“蛇牌学院”及“强生继续教育学院”讲师团成员,带教“唐都显微神经外科培训班”及全国其他显微吻合培训班多期,培训各省市神经外科医生两百余名。并负责“唐都神经外科手术入路解剖培训班”的带教工作,多次担任Takanori Fukushima、Javed Siddiqi等国际知名颅底手术大师的助手进行解剖入路教学工作,积累了丰富的手术入路经验,确保手术安全。科研方向为“中枢神经系统损伤与修复”,主持国家自然科学基金一项,博士后基金特别资助项目一项及面上项目一项,陕西省自然科学基金一项,院精英人才基金两项,院新技术新业务两项,并参与多项国家自然科学基金项目。于SCI及国内核心期刊发表论文20余篇,单篇最高影响因子8分。主编专著1部,并参与人卫版研究生教材《神经外科学》第二版的编写。获得专利4项。












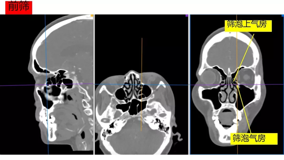
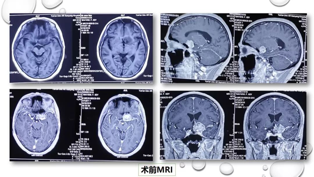
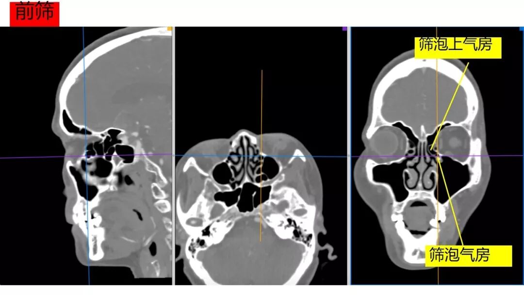
Osirix冠矢轴
(长按并识别二维码即可观看手术视频)





前床突磨除
(长按并识别二维码即可观看手术视频)



























内镜修补
(长按并识别二维码即可观看手术视频)









