提示
“浙二神外周刊”不定期接收外院投稿,审核后发表。欢迎各专业同道联系我们,分享精彩病例、研究热点或前沿资讯。投稿请联系:shishi74@163.com
前言
2018年12月29日由默沙东公司承办,在杭州召开了“浙江省胶质瘤MDT年终总结交流会。浙江大学医学院附属第二医院,浙江大学医学院附属邵逸夫医院,浙江省肿瘤医院,浙江省人民医院,宁波市第一医院和金华市中心医院共6家单位的神经肿瘤MDT各相关科室专家参加了交流会,各团队提供了许多很好的病例,各有特色。专家讨论热烈,精彩纷呈。参会者普遍反映获益匪浅。现由《浙二神外周刊》分期刊出,与大家共享。
本病例由浙江大学医学院附属邵逸夫医院胶质瘤MDT团队提供。
病史简介
患者男,18岁,因“久站后双小腿不自主颤动10余天”于2018.6.22入院。
患者十余天前无明显诱因下出现久站后双小腿不自主颤动,呈无力状。休息后可缓解。自觉体育运动能力较前有下降(患者为体校生)。无四肢抽动、无意识丧失、无二便困难。无明确外伤史。
查体:
神清,精神软,四肢肌力V级,深浅感觉无殊。
术前检查:
入院后头颅MRI增强显示:右侧海马占位伴出血,胶质瘤考虑(图1)。MRS:右侧海马病变部位NAA峰明显降低,Cho明显升高,Cho与NAA的比值明显加大。右侧海马病变以肿瘤可能性大。ASL灌注提示右侧海马占位明显高灌注(图2)。
![]()
图1.患者术前头颅MRI增强:右侧海马占位伴出血,胶质瘤考虑。
![]()
图2. 患者术前ASL灌注提示右侧海马占位明显高灌注。
结合病史和影像学资料,诊断首先考虑:左海马颞叶高级别胶质瘤
诊疗经过
第一次MDT讨论:
参加科室:
神经外科、放射科、放疗科。术前诊断:右颞叶高级别胶质瘤可能性大,有手术指征。可行的手术方案包括:开颅肿瘤切除和病灶立体定向活检。考虑肿瘤位于可切除部位,拟行开颅肿瘤切除术。
术中所见:
右颞叶皮层下3cm见肿瘤,色灰红,质软,血供丰富,紧贴侧脑室三角部,下缘临近小脑幕。切除肉眼可见肿瘤。冰冻病理提示:胶质瘤可能。切除标本送病理常规及分子病理检查。术后CT复查示术区肿瘤切除,无明显出血、梗死表现(图3)。
![]()
图3. 术后CT复查示术区肿瘤切除,无明显出血、梗死表现。
病理结果
病理回报:
(右颞部)胶质母细胞瘤,IDH野生型。MGMT启动子无甲基化。分子病理结果如下:
![]()
![]()
患者术后淡漠,少语,行走及二便困难逐渐加重。术后十余天开始右臀部及下肢疼痛。查腰椎MRI平扫见L5-S1椎间盘稍突出,并未见到明显椎管内肿瘤(图5)。
图5. 术后腰椎MRI平扫仅L5-S1椎间盘稍突出。
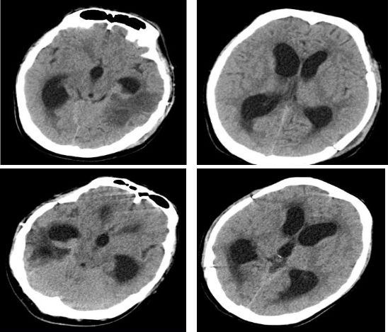
术后2周余复查头颅CT:
脑室系统扩大及,侧脑室旁白质间质性水肿(图6)。
![]()
图6.术后2周头颅CT:脑室系统积水及颅内高压进行性发展。
术后1月余,进行性右侧肢体偏瘫失语伴意识不清。查体:昏迷,GCS 1+1+5,右侧瞳孔5mm,对光反射迟钝,左侧4mm,对光反射灵敏。双侧肌力查体不配合,肌张力高。
复查头颅CT:右内叶侧脑室旁见结节状等高密度。脑积水伴间质性水肿。急诊行侧脑室外引流,术中测压>400mmH2O。留取脑脊液标本行脱落细胞检查提示:可见异性细胞,胞体大,胞浆比例增高,胞浆染色深,核仁可见。
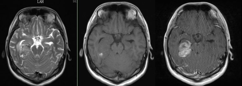
外引流术后症状稍改善。外引流术后3天复查头颅 MRI:
1. 右侧海马异常强化影,部分软脑膜播散转移可能。
2. 幕上脑积水伴间质性水肿。
3. 左侧额顶枕叶、右侧丘脑及侧脑室旁新发梗塞灶考虑(图7)。
![]()
图7. 头颅 MRI:1. 右侧海马异常强化影,部分软脑膜播散转移可能。 2.幕上脑积水伴间质性水肿。 3.左侧额顶枕叶、右侧丘脑及侧脑室旁新发梗塞灶考虑。
第二次MDT讨论:
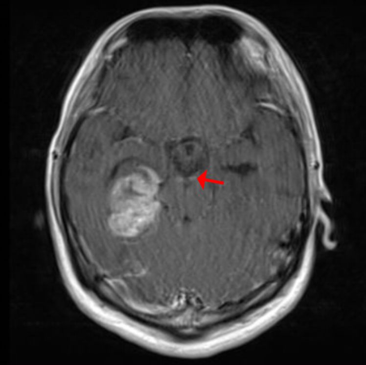
结合最近的MRI报告、脑脊液脱落细胞结果,证实患者胶质瘤经脑脊液及软脑膜播散。同时回顾病史及患者第一次术前MRI表现,右侧海马病灶无法解释双下肢的症状(排除癫痫),而脑干软脑膜上可见部分点状增强病灶(图8),因此考虑患者术前已存在肿瘤播散。目前治疗首先考虑通过脑室-腹腔分流解除颅内高压。待一般条件允许时考虑行进一步放、化疗。
![]()
图8.术前增强头颅MRI。红色箭头示脑干周围点状增强病灶为可能的播散病灶。
外引流术后12天拔除外引流,放置脑室腹腔分流管,分流泵压力15cmH2O。术后症状无持续改善。分流术后20天意识障碍突发进一步下降,GCS:2+1+3,右瞳4mm,对光迟钝,左侧4mm,对光灵敏。脑室腹腔分流泵回弹差,堵塞可能。家属放弃治疗,自动出院。
讨论
本病例的肿瘤实体部分位于可切除部位,手术切除亦满意,但术后病情进展很快,表现为意识障碍加重。影像学表现为肿瘤软脑膜下播散,脑积水并伴有皮层梗死。本文旨在通过本病例讨论胶质瘤术后肿瘤软脑膜下播散的诊治要点。
胶质瘤软脑膜播散的危险因素
软脑膜下播散在进展期实体性肿瘤中约占5%。其发生的危险因素包括:(1)术中侧脑室开放:Rozle等认为术中侧脑室开放是造成胶质瘤软脑膜下播散的最主要的危险因素[1]。(2)病理特征为小细胞GBM:Kondo等的研究认为小细胞GBM是胶质瘤中易于播散的亚型。主要因为其一,小细胞GBM中约70%伴随EGFR 扩增,因此血管生成能力强;其二,小细胞GBM较多IDH野生型,所以侵袭性高;其三,小细胞GBM肿瘤通常位于软膜下区域,易于经蛛网膜下腔迁徙,同时也有有沿室管膜播散形成脑室内种植的倾向性等[2]。本例GBM虽不符合小细胞型,但肿瘤紧贴侧脑室三角部,分子病理提示IDH野生型,这种特殊的位置结合特殊的分子类型可能是该例早期发生软脑膜下播散的病理基础。
胶质瘤软脑膜下播散的影像学诊断与鉴别诊断
肿瘤软脑膜下播散典型的影像学表现包括:(1)明确的脑室系统扩大(非梗阻性)。(2)局灶性的脑回强化或弥漫性的软脑膜强。(3)如肿瘤累及软脑膜并侵犯血管可能造成CT/MRI上类梗死性的病灶。
软脑膜下播散的影像学特征需要与以下情况相鉴别。
(1)增强磁共振血管伪影与软脑膜强化:点状的软脑膜强化与软脑膜血管影,特别是伴运动伪影时鉴别较困难。但肿瘤播散处T2 flair上多存在高信号,可供参考。
(2)肿瘤播散继发的脑积水(如本病例)与单纯的肿瘤术后脑积水:胶质母细胞瘤术后有症状的脑积水发生率平均为10%(3.4-25.9%)[3]。除了播散的肿瘤细胞以外,术中脑室开放和CSF中高的蛋白含量也是造成脑积水的重要危险因素。因此不伴有软脑膜强化的脑室扩张病例不宜直接诊断为肿瘤播散。
(3)肿瘤播散并侵袭血管后引起的梗死(如本病例)与其他病理因素所导致的梗死:胶质瘤术后急性脑梗死其他原因包括:术中直接的血管损伤;放射性血管损伤;继发于抗血管生成药物;肿瘤本身的占位效应,以及继发于肿瘤的全身高凝状态[4]。
胶质瘤软脑膜下播散的实验室和病理诊断
脑脊液(CSF)的常规与生化检查是简便易行的方法,但特异性不高。存在软脑膜下播散的病例其CSF 通常是异常的,主要表现为ICP初压升高(50%>200mmH2O),蛋白含量升高,细胞数增高(淋巴细胞为主),糖含量降低[5]。
脑脊液脱落细胞学找到异型细胞或肿瘤细胞是直接证据。其特异性高但敏感性较低,且不同文献报道差异较大。提高阳性率的要点包括:(1)细胞学检查要求每次脑脊液样本量至少达10-30ml。(2)新鲜的CSF应立即用乙醇固定液固定。(3)从距离病灶较近处采集CSF,如怀疑脑内播散,从脑室端采样优于从腰大池采样。(4)独立采集至少两次样本。对于其中的某些病例,脱落细胞借助免疫组化染色也有助于提高诊断率。然而尽管如此,CSF脱落细胞学检查仍有约20%的假阴性率。这可能与部分肿瘤粘附于脑表面而不易脱落有关。对于这部分临床疑诊而脱落细胞阴性的患者可考虑通过影像学诊断[6]。
胶质瘤软脑膜下播散的治疗和预后
软脑膜下播散的胶质瘤患者的治疗总体上参考复发胶质瘤的治疗原则。可供选择的方案包括最大耐受剂量下的放疗、同步化疗、鞘内化疗和抗血管生成治疗[7]。文献中也有个别单用替莫唑胺较长时间控制肿瘤进展的报道[8]。对于肿瘤播散导致脑积水致颅内高压症状者,采用脑室腹腔分流术一般短期内有望改善症状。但该类患者脑脊液中蛋白及细胞含量通常较高,因而具有较高的分流管堵塞概率。一旦发生堵管,可能致病情突然恶化。总体而言,胶质瘤一旦发生脑内播散,预后较差,一般在证实播散后10-20周内死亡。
参考文献
1.Roelz R, Reinacher P, Jabbarli R, Kraeutle R, Hippchen B, Egger K, Weyerbrock A, Machein M: Surgical Ventricular Entry is a Key Risk Factor for Leptomeningeal Metastasis of High Grade Gliomas. Sci Rep 2015, 5:17758.
2.Kondo N, Barth RF, Miyatake SI, Kawabata S, Suzuki M, Ono K, Lehman NL: Cerebrospinal fluid dissemination of high-grade gliomas following boron neutron capture therapy occurs more frequently in the small cell subtype of IDH1(R132H) mutation-negative glioblastoma. J Neurooncol 2017, 133(1):107-118.
3.Montano N, D'Alessandris QG, Bianchi F, Lauretti L, Doglietto F, Fernandez E, Maira G, Pallini R: Communicating hydrocephalus following surgery and adjuvant radiochemotherapy for glioblastoma. J Neurosurg 2011, 115(6):1126-1130.
4.Kreisl TN, Toothaker T, Karimi S, DeAngelis LM: Ischemic stroke in patients with primary brain tumors. Neurology 2008, 70(24):2314-2320.
5.Clarke JL, Perez HR, Jacks LM, Panageas KS, Deangelis LM: Leptomeningeal metastases in the MRI era. Neurology 2010, 74(18):1449-1454.
6.Glantz MJ, Cole BF, Glantz LK, Cobb J, Mills P, Lekos A, Walters BC, Recht LD: Cerebrospinal fluid cytology in patients with cancer: minimizing false-negative results. Cancer 1998, 82(4):733-739].
7.Burger MC, Zeiner PS, Jahnke K, Wagner M, Mittelbronn M, Steinbach JP: Addition of Anti-Angiogenetic Therapy with Bevacizumab to Chemo- and Radiotherapy for Leptomeningeal Metastases in Primary Brain Tumors. PLoS One 2016, 11(6):e0155315.
8.Bae JW, Hong EK, Gwak HS: Response of Leptomeningeal Dissemination of Anaplastic Glioma to Temozolomide: Experience of Two Cases. Brain Tumor Res Treat 2017, 5(2):99-104.
(本文由浙二神外周刊原创,邵逸夫医院神经外科马力副主任医师整理。邵逸夫医院神经外科杨树旭主任医师手术。神经外科王义荣主任,病理科金梅主任,放疗科孙晓楠主任,放射科张峭巍副主任参与多学科讨论。浙医二院神经外科孙崇然副主任医师审校,张建民主任审校并终审)




